JavaScript is disabled in your browser. Please enable JavaScript to view this website.
AB251877

Anti-DNAJB9 antibody

Be the first to review this product! Submit a review

|

(2 Publications)

Anti-DNAJB9 antibody (ab251877) is a rabbit polyclonal antibody detecting DNAJB9 in IHC-P, ICC/IF. Suitable for Human.

View Alternative Names

MDG1, UNQ743/PRO1471, DNAJB9, DnaJ homolog subfamily B member 9, Endoplasmic reticulum DNA J domain-containing protein 4, Microvascular endothelial differentiation gene 1 protein, ER-resident protein ERdj4, ERdj4, Mdg-1

5 Images
Immunohistochemistry (Formalin/PFA-fixed paraffin-embedded sections) - Anti-DNAJB9 antibody (AB251877)
  • IHC-P

Unknown

Immunohistochemistry (Formalin/PFA-fixed paraffin-embedded sections) - Anti-DNAJB9 antibody (AB251877)

Paraffin-embedded human kidney tissue stained for DNAJB9 using ab251877 at 1/200 dilution in immunohistochemical analysis.

Immunohistochemistry (Formalin/PFA-fixed paraffin-embedded sections) - Anti-DNAJB9 antibody (AB251877)
  • IHC-P

Unknown

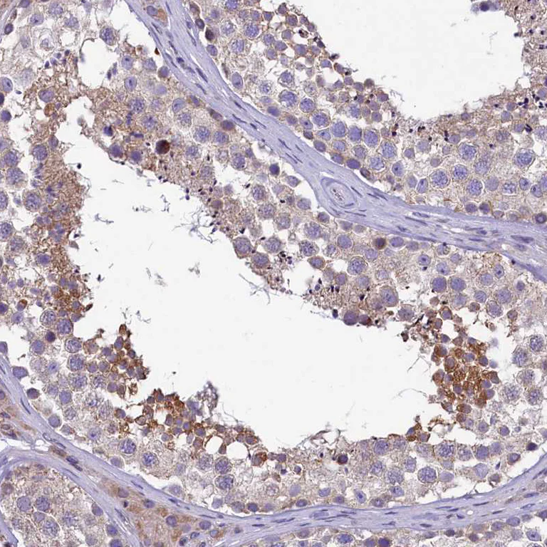
Immunohistochemistry (Formalin/PFA-fixed paraffin-embedded sections) - Anti-DNAJB9 antibody (AB251877)

Paraffin-embedded human testis tissue stained for DNAJB9 using ab251877 at 1/200 dilution in immunohistochemical analysis.

Immunocytochemistry/ Immunofluorescence - Anti-DNAJB9 antibody (AB251877)
  • ICC/IF

Unknown

Immunocytochemistry/ Immunofluorescence - Anti-DNAJB9 antibody (AB251877)

PFA-fixed, Triton X-100 permeabilized BJ cells stained for DNAJB9 (green) using ab251877 at 4 µg/ml in ICC/IF.

Immunohistochemistry (Formalin/PFA-fixed paraffin-embedded sections) - Anti-DNAJB9 antibody (AB251877)
  • IHC-P

Unknown

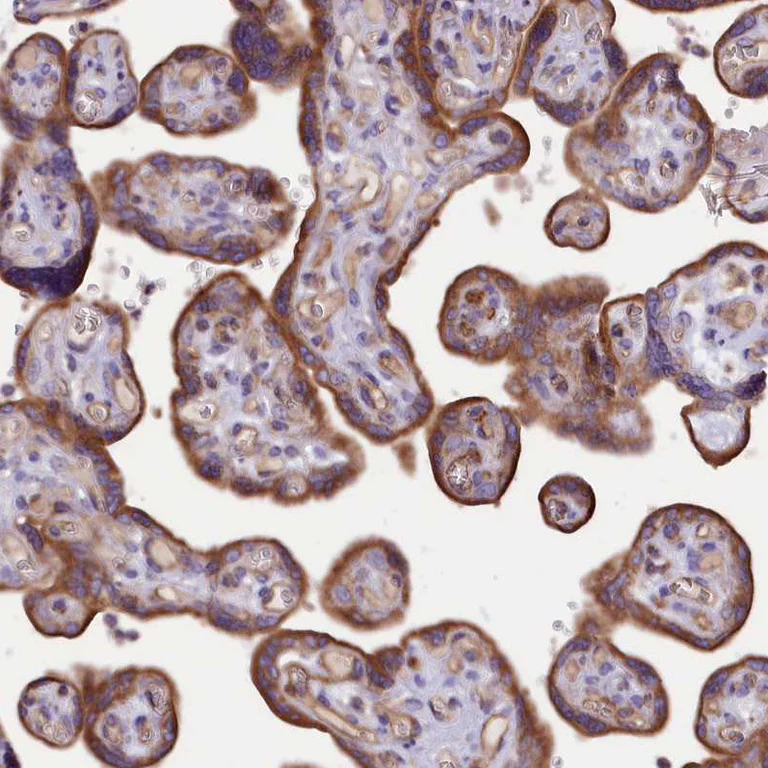
Immunohistochemistry (Formalin/PFA-fixed paraffin-embedded sections) - Anti-DNAJB9 antibody (AB251877)

Paraffin-embedded human placenta tissue stained for DNAJB9 using ab251877 at 1/200 dilution in immunohistochemical analysis.

Immunohistochemistry (Formalin/PFA-fixed paraffin-embedded sections) - Anti-DNAJB9 antibody (AB251877)
  • IHC-P

Unknown

Immunohistochemistry (Formalin/PFA-fixed paraffin-embedded sections) - Anti-DNAJB9 antibody (AB251877)

Paraffin-embedded human skeletal muscle tissue stained for DNAJB9 using ab251877 at 1/200 dilution in immunohistochemical analysis. Low positivity in myocytes, as expected.

Key facts

Host species

Rabbit

Clonality

Polyclonal

Isotype

IgG

Carrier free

No

Reacts with

Human

Applications

IHC-P, ICC/IF

applications

Immunogen

Recombinant Fragment Protein within Human DNAJB9 aa 50-150. The exact immunogen used to generate this antibody is proprietary information.

Q9UBS3

Reactivity data

{ "title": "Reactivity Data", "filters": { "stats": ["", "Species", "Dilution Info", "Notes"], "tabs": { "all-applications": {"fullname" : "All Applications", "shortname": "All Applications"}, "IHCP" : {"fullname" : "Immunohistochemistry (Formalin/PFA-fixed paraffin-embedded sections)", "shortname":"IHC-P"}, "ICCIF" : {"fullname" : "Immunocytochemistry/ Immunofluorescence", "shortname":"ICC/IF"} }, "product-promise": { "all": "all", "testedAndGuaranteed": "tested", "guaranteed": "expected", "predicted": "predicted", "notRecommended": "not-recommended" } }, "values": { "Human": { "IHCP-species-checked": "testedAndGuaranteed", "IHCP-species-dilution-info": "1/200 - 1/500", "IHCP-species-notes": "<p></p> Perform heat-mediated antigen retrieval with citrate buffer pH 6 before commencing with IHC staining protocol.", "ICCIF-species-checked": "testedAndGuaranteed", "ICCIF-species-dilution-info": "0.25-2 µg/mL", "ICCIF-species-notes": "<p>Fixation/Permeabilization: PFA/Triton X-100.</p>" } } }

Product details

What is this antibody validated in?
Anti-DNAJB9 antibody (ab251877) is a rabbit polyclonal antibody and is validated for use in Immunohistochemistry (IHC-P), Immunocytochemistry/immunofluorescence (ICC/IF) in Human samples.

Properties and storage information

Form
Liquid
Purification technique
Affinity purification Immunogen
Storage buffer
pH: 7.2 Preservative: 0.02% Sodium azide Constituents: PBS, 40% Glycerol (glycerin, glycerine)
Shipped at conditions
Blue Ice
Appropriate short-term storage duration
1-2 weeks
Appropriate short-term storage conditions
+4°C
Appropriate long-term storage conditions
-20°C
Aliquoting information
Upon delivery aliquot
Storage information
Avoid freeze / thaw cycle

Product protocols

For this product, it's our understanding that no specific protocols are required. You can visit:

Target data

Co-chaperone for Hsp70 protein HSPA5/BiP that acts as a key repressor of the ERN1/IRE1-mediated unfolded protein response (UPR) (By similarity). J domain-containing co-chaperones stimulate the ATPase activity of Hsp70 proteins and are required for efficient substrate recognition by Hsp70 proteins (PubMed : 18400946). In the unstressed endoplasmic reticulum, interacts with the luminal region of ERN1/IRE1 and selectively recruits HSPA5/BiP : HSPA5/BiP disrupts the dimerization of the active ERN1/IRE1 luminal region, thereby inactivating ERN1/IRE1 (By similarity). Also involved in endoplasmic reticulum-associated degradation (ERAD) of misfolded proteins. Required for survival of B-cell progenitors and normal antibody production (By similarity).
See full target information DNAJB9

Publications (2)

Recent publications for all applications. Explore the full list and refine your search

The Tohoku journal of experimental medicine : PubMed40571642

2025

Modulation of Th17/Treg Balance by Total Flavonoids from Semen Cuscutae through PGRMC2 in a Diminished Ovarian Reserve Rat Model.

Applications

Unspecified application

Species

Unspecified reactive species

Ting Zhou,Shanshan Xu,Juan Tang,Xiaomei Han,Yu Jiang,Huaying Chen

Nephrology (Carlton, Vic.) 30:e70022 PubMed40147028

2025

Fibrillary Glomerulonephritis: Clinicopathological Characteristics and Outcome-Case Series From a Multicentre Australasian Cohort.

Applications

Unspecified application

Species

Unspecified reactive species

Muralikrishna Gangadharan Komala,Angela Bayly,Adrian Y S Lee,Brian Nankivell,Levina Neill,Seethalakshmi Viswanathan
View all publications

Product promise

We are committed to supporting your work with high-quality reagents, and we're here for you every step of the way. In the unlikely event that one of our products does not perform as expected, you're protected by our Product Promise.
For full details, please see our Terms & Conditions

Please note: All products are 'FOR RESEARCH USE ONLY. NOT FOR USE IN DIAGNOSTIC OR THERAPEUTIC PROCEDURES'.

For licensing inquiries, please contact partnerships@abcam.com