JavaScript is disabled in your browser. Please enable JavaScript to view this website.
AB122855

Anti-DNAJC16 antibody

Be the first to review this product! Submit a review

|

(1 Publication)

Rabbit Polyclonal DNAJC16 antibody. Suitable for IHC-P, WB, ICC/IF and reacts with Human samples. Cited in 1 publication. Immunogen corresponding to Recombinant Fragment Protein within Human DNAJC16 aa 600 to C-terminus.

View Alternative Names

ERDJ8, KIAA0962, DNAJC16, DnaJ homolog subfamily C member 16, Endoplasmic reticulum DNA J domain-containing protein 8, ER-resident protein ERdj8, ERdj8

3 Images
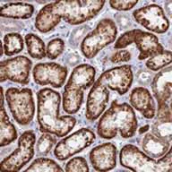
Immunohistochemistry (Formalin/PFA-fixed paraffin-embedded sections) - Anti-DNAJC16 antibody (AB122855)
  • IHC-P

Unknown

Immunohistochemistry (Formalin/PFA-fixed paraffin-embedded sections) - Anti-DNAJC16 antibody (AB122855)

ab122855, at a 1/50 dilution, staining DNAJC16 in paraffin embedded Human kidney tissue by Immunohistochemistry.

Immunocytochemistry/ Immunofluorescence - Anti-DNAJC16 antibody (AB122855)
  • ICC/IF

Unknown

Immunocytochemistry/ Immunofluorescence - Anti-DNAJC16 antibody (AB122855)

Immunofluorescent staining of Human cell line U-2 OS shows positivity in vesicles. Recommended concentration of ab122855 1-4 µg/ml. Cells treated with PFA/Triton X-100.

Western blot - Anti-DNAJC16 antibody (AB122855)
  • WB

Unknown

Western blot - Anti-DNAJC16 antibody (AB122855)

Lane 1 : Marker [kDa] 250; 130; 95; 72; 55; 36; 28; 17; 10
Lane 2 : Negative control (vector only transfected HEK293T lysate)
Lane 3 : Over-expression Lysate (Co-expressed with a C-terminal myc-DDK tag (~3.1 kDa) in mammalian HEK293T cells.

All lanes:

Western blot - Anti-DNAJC16 antibody (ab122855)

Predicted band size: 91 kDa

false

Key facts

Host species

Rabbit

Clonality

Polyclonal

Isotype

IgG

Carrier free

No

Reacts with

Human

Applications

IHC-P, ICC/IF, WB

applications

Immunogen

Recombinant Fragment Protein within Human DNAJC16 aa 600 to C-terminus. The exact immunogen used to generate this antibody is proprietary information.

Q9Y2G8

Reactivity data

{ "title": "Reactivity Data", "filters": { "stats": ["", "Species", "Dilution Info", "Notes"], "tabs": { "all-applications": {"fullname" : "All Applications", "shortname": "All Applications"}, "IHCP" : {"fullname" : "Immunohistochemistry (Formalin/PFA-fixed paraffin-embedded sections)", "shortname":"IHC-P"}, "WB" : {"fullname" : "Western blot", "shortname":"WB"}, "ICCIF" : {"fullname" : "Immunocytochemistry/ Immunofluorescence", "shortname":"ICC/IF"} }, "product-promise": { "all": "all", "testedAndGuaranteed": "tested", "guaranteed": "expected", "predicted": "predicted", "notRecommended": "not-recommended" } }, "values": { "Human": { "IHCP-species-checked": "testedAndGuaranteed", "IHCP-species-dilution-info": "1/50 - 1/200", "IHCP-species-notes": "<p></p> Perform heat-mediated antigen retrieval with citrate buffer pH 6 before commencing with IHC staining protocol.", "WB-species-checked": "testedAndGuaranteed", "WB-species-dilution-info": "", "WB-species-notes": "<p></p>", "ICCIF-species-checked": "testedAndGuaranteed", "ICCIF-species-dilution-info": "0.25-2 µg/mL", "ICCIF-species-notes": "<p></p>" } } }

Properties and storage information

Form
Liquid
Purification technique
Affinity purification Immunogen
Storage buffer
pH: 7.2 Preservative: 0.02% Sodium azide Constituents: PBS, 40% Glycerol (glycerin, glycerine)
Shipped at conditions
Blue Ice
Appropriate short-term storage conditions
+4°C
Appropriate long-term storage conditions
-20°C
Aliquoting information
Upon delivery aliquot
Storage information
Avoid freeze / thaw cycle

Product protocols

For this product, it's our understanding that no specific protocols are required. You can visit:

Target data

Plays an important role in regulating the size of autophagosomes during the formation process.
See full target information DNAJC16

Publications (1)

Recent publications for all applications. Explore the full list and refine your search

FEBS letters 597:1623-1637 PubMed37102425

2023

The MIR34B/C genomic region contains multiple potential regulators of multiciliogenesis.

Applications

Unspecified application

Species

Unspecified reactive species

Amélie Cavard,Elisa Redman,Olivier Mercey,Sophie Abelanet,Magali Plaisant,Marie-Jeanne Arguel,Virginie Magnone,Sandra Ruiz García,Géraldine Rios,Marie Deprez,Kévin Lebrigand,Gilles Ponzio,Ignacio Caballero,Pascal Barbry,Laure-Emmanuelle Zaragosi,Brice Marcet
View all publications

Product promise

We are committed to supporting your work with high-quality reagents, and we're here for you every step of the way. In the unlikely event that one of our products does not perform as expected, you're protected by our Product Promise.
For full details, please see our Terms & Conditions

Please note: All products are 'FOR RESEARCH USE ONLY. NOT FOR USE IN DIAGNOSTIC OR THERAPEUTIC PROCEDURES'.

For licensing inquiries, please contact partnerships@abcam.com