JavaScript is disabled in your browser. Please enable JavaScript to view this website.
AB235350

Anti-DNAJC17 antibody

Be the first to review this product! Submit a review

|

(1 Publication)

Rabbit Polyclonal DNAJC17 antibody. Suitable for WB, IHC-P and reacts with Human samples. Cited in 1 publication. Immunogen corresponding to Recombinant Full Length Protein corresponding to Human DNAJC17.

View Alternative Names

DnaJ homolog subfamily C member 17, DNAJC17

2 Images
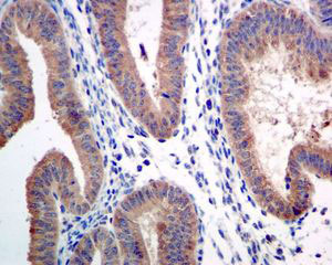
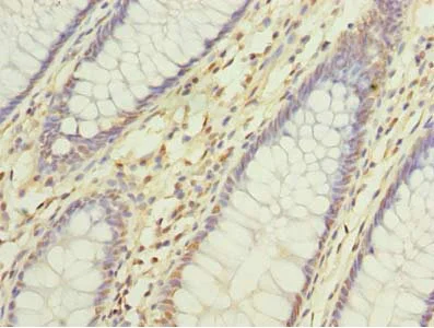
Immunohistochemistry (Formalin/PFA-fixed paraffin-embedded sections) - Anti-DNAJC17 antibody (AB235350)
  • IHC-P

Supplier Data

Immunohistochemistry (Formalin/PFA-fixed paraffin-embedded sections) - Anti-DNAJC17 antibody (AB235350)

Paraffin-embedded human colon cancer tissue stained for DNAJC17 using ab235350 at 1/100 dilution in immunohistochemical analysis.

Western blot - Anti-DNAJC17 antibody (AB235350)
  • WB

Supplier Data

Western blot - Anti-DNAJC17 antibody (AB235350)

All lanes:

Western blot - Anti-DNAJC17 antibody (ab235350) at 1/500 dilution

Lane 1:

A431 (human epidermoid carcinoma cell line) whole cell lysate

Lane 2:

HeLa (human epithelial cell line from cervix adenocarcinoma) whole cell lysate

Lane 3:

Raji (human Burkitt's lymphoma cell line) whole cell lysate

Lane 4:

HepG2 (human liver hepatocellular carcinoma cell line) whole cell lysate

Secondary

All lanes:

Goat polyclonal to rabbit IgG at 1/10000 dilution

Predicted band size: 34 kDa

false

Key facts

Host species

Rabbit

Clonality

Polyclonal

Isotype

IgG

Carrier free

No

Reacts with

Human

Applications

WB, IHC-P

applications

Immunogen

Recombinant Full Length Protein corresponding to Human DNAJC17.

Q9NVM6

Reactivity data

{ "title": "Reactivity Data", "filters": { "stats": ["", "Species", "Dilution Info", "Notes"], "tabs": { "all-applications": {"fullname" : "All Applications", "shortname": "All Applications"}, "WB" : {"fullname" : "Western blot", "shortname":"WB"}, "IHCP" : {"fullname" : "Immunohistochemistry (Formalin/PFA-fixed paraffin-embedded sections)", "shortname":"IHC-P"} }, "product-promise": { "all": "all", "testedAndGuaranteed": "tested", "guaranteed": "expected", "predicted": "predicted", "notRecommended": "not-recommended" } }, "values": { "Human": { "WB-species-checked": "testedAndGuaranteed", "WB-species-dilution-info": "1/500 - 1/2000", "WB-species-notes": "<p></p>", "IHCP-species-checked": "testedAndGuaranteed", "IHCP-species-dilution-info": "1/20 - 1/200", "IHCP-species-notes": "<p></p>" } } }

Properties and storage information

Form
Liquid
Purification technique
Affinity purification Protein G
Purification notes
Purity >95%
Storage buffer
pH: 7.4 Preservative: 0.03% Proclin 300 Constituents: PBS, 50% Glycerol (glycerin, glycerine)
Shipped at conditions
Blue Ice
Appropriate short-term storage duration
1-2 weeks
Appropriate short-term storage conditions
+4°C
Appropriate long-term storage conditions
-20°C
Aliquoting information
Upon delivery aliquot
Storage information
Avoid freeze / thaw cycle

Product protocols

For this product, it's our understanding that no specific protocols are required. You can visit:

Target data

May negatively affect PAX8-induced thyroglobulin/TG transcription.
See full target information DNAJC17

Publications (1)

Recent publications for all applications. Explore the full list and refine your search

The Journal of clinical endocrinology and metabolism 107:3328-3340 PubMed36074910

2022

Premature Ovarian Insufficiency in CLPB Deficiency: Transcriptomic, Proteomic and Phenotypic Insights.

Applications

Unspecified application

Species

Unspecified reactive species

Elena J Tucker,Megan J Baker,Daniella H Hock,Julia T Warren,Sylvie Jaillard,Katrina M Bell,Rajini Sreenivasan,Shabnam Bakhshalizadeh,Chloe A Hanna,Nikeisha J Caruana,Saskia B Wortmann,Shamima Rahman,Robert D S Pitceathly,Jean Donadieu,Aurelia Alimi,Vincent Launay,Paul Coppo,Sophie Christin-Maitre,Gorjana Robevska,Jocelyn van den Bergen,Brianna L Kline,Katie L Ayers,Phoebe N Stewart,David A Stroud,Diana Stojanovski,Andrew H Sinclair
View all publications

Product promise

We are committed to supporting your work with high-quality reagents, and we're here for you every step of the way. In the unlikely event that one of our products does not perform as expected, you're protected by our Product Promise.
For full details, please see our Terms & Conditions

Please note: All products are 'FOR RESEARCH USE ONLY. NOT FOR USE IN DIAGNOSTIC OR THERAPEUTIC PROCEDURES'.

For licensing inquiries, please contact partnerships@abcam.com