JavaScript is disabled in your browser. Please enable JavaScript to view this website.
AB289711

Anti-DNAJC6 antibody [EPR25332-124]

  • BOND RX™ Validated
  • 20ul selling size
  • RabMAb
  • Recombinant
  • What is this?

Be the first to review this product! Submit a review

|

(0 Publication)

Rabbit Recombinant Monoclonal DNAJC6 antibody. Suitable for WB, IHC-P, IHC-Fr, Flow Cyt (Intra) and reacts with Mouse, Rat, Human samples.

View Alternative Names

KIAA0473, DNAJC6, Auxilin, DnaJ homolog subfamily C member 6

12 Images
Flow Cytometry (Intracellular) - Anti-DNAJC6 antibody [EPR25332-124] (AB289711)
  • Flow Cyt (Intra)

Lab

Flow Cytometry (Intracellular) - Anti-DNAJC6 antibody [EPR25332-124] (AB289711)

Flow cytometric analysis of 4% paraformaldehyde-fixed, 90% methanol permeabilized K-562 (human chronic myelogenous leukemia lymphoblast cell line) cells labeling DNAJC6 with ab289711 at 1/500 dilution (Red) compared with a Rabbit monoclonal IgG (ab172730) isotype control (Black) and an unlabelled control (cells without incubation with primary antibody and secondary antibody) (Blue). Goat Anti-Rabbit IgG (Alexa Fluor® 488, ab150081), at 1/2000 dilution was used as the secondary antibody.

Immunohistochemistry (Formalin/PFA-fixed paraffin-embedded sections) - Anti-DNAJC6 antibody [EPR25332-124] (AB289711)
  • IHC-P

Lab

Immunohistochemistry (Formalin/PFA-fixed paraffin-embedded sections) - Anti-DNAJC6 antibody [EPR25332-124] (AB289711)

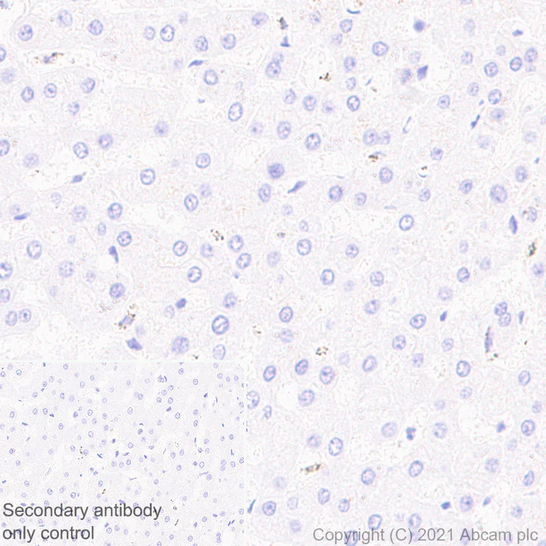
Immunohistochemical analysis of paraffin-embedded Human liver tissue labelling DNAJC6 with ab289711 at 1/4000(0.114ug/ml) dilution followed by a ready to use LeicaDS9800 (Bond™ Polymer Refine Detection). Negative control : no staining on human liver (PMID : 25446072). The section was incubated with ab289711 for 30 mins at room temperature. The immunostaining was performed on a Leica Biosystems BOND® RX instrument. Counterstained with Hematoxylin.

Secondary antibody only control : Secondary antibody is a ready to use LeicaDS9800 (Bond™ Polymer Refine Detection).

Heat mediated antigen retrieval with Tris-EDTA buffer (pH 9.0, epitope retrieval solution2) for 20 mins.

Immunohistochemistry (Formalin/PFA-fixed paraffin-embedded sections) - Anti-DNAJC6 antibody [EPR25332-124] (AB289711)
  • IHC-P

Lab

Immunohistochemistry (Formalin/PFA-fixed paraffin-embedded sections) - Anti-DNAJC6 antibody [EPR25332-124] (AB289711)

Immunohistochemical analysis of paraffin-embedded Human brain tissue labelling DNAJC6 with ab289711 at 1/4000(0.114ug/ml) dilution followed by a ready to use LeicaDS9800 (Bond™ Polymer Refine Detection). Positive staining on human cerebrum. The section was incubated with ab289711 for 30 mins at room temperature. The immunostaining was performed on a Leica Biosystems BOND® RX instrument. Counterstained with Hematoxylin.

Secondary antibody only control : Secondary antibody is a ready to use LeicaDS9800 (Bond™ Polymer Refine Detection).

Heat mediated antigen retrieval with Tris-EDTA buffer (pH 9.0, epitope retrieval solution2) for 20 mins.

Immunohistochemistry (Formalin/PFA-fixed paraffin-embedded sections) - Anti-DNAJC6 antibody [EPR25332-124] (AB289711)
  • IHC-P

Lab

Immunohistochemistry (Formalin/PFA-fixed paraffin-embedded sections) - Anti-DNAJC6 antibody [EPR25332-124] (AB289711)

Immunohistochemical analysis of paraffin-embedded Mouse brain tissue labelling DNAJC6 with ab289711 at 1/4000(0.114ug/ml) dilution followed by a ready to use LeicaDS9800 (Bond™ Polymer Refine Detection). Positive staining on mouse cerebrum. The section was incubated with ab289711 for 30 mins at room temperature. The immunostaining was performed on a Leica Biosystems BOND® RX instrument. Counterstained with Hematoxylin.

Secondary antibody only control : Secondary antibody is a ready to use LeicaDS9800 (Bond™ Polymer Refine Detection).

Heat mediated antigen retrieval with Tris-EDTA buffer (pH 9.0, epitope retrieval solution2) for 20 mins.

Flow Cytometry (Intracellular) - Anti-DNAJC6 antibody [EPR25332-124] (AB289711)
  • Flow Cyt (Intra)

Lab

Flow Cytometry (Intracellular) - Anti-DNAJC6 antibody [EPR25332-124] (AB289711)

Flow cytometric analysis of 4% paraformaldehyde-fixed, 90% methanol permeabilized U-87 MG (Human glioblastoma-astrocytoma epithelial cell line) cells labeling DNAJC6 with ab289711 at 1/500 dilution (Red) compared with a Rabbit monoclonal IgG (ab172730) isotype control (Black) and an unlabelled control (cells without incubation with primary antibody and secondary antibody) (Blue). Goat Anti-Rabbit IgG (Alexa Fluor® 488, ab150081), at 1/2000 dilution was used as the secondary antibody.

Immunohistochemistry (Frozen sections) - Anti-DNAJC6 antibody [EPR25332-124] (AB289711)
  • IHC-Fr

Lab

Immunohistochemistry (Frozen sections) - Anti-DNAJC6 antibody [EPR25332-124] (AB289711)

Immunohistochemical analysis of 4% PFA-fixed, 0.2% Triton X-100 permeabilized frozen mouse liver (fresh) tissue labelling DNAJC6 with ab289711 at 1/50 dilution, followed by ab150081 Goat Anti-Rabbit IgG H&L (Alexa Fluor® 488) secondary antibody at 1/1000 dilution (Green). Negative control (PMID : 23211418). No staining on mouse liver. The nuclear conterstain is DAPI (Blue).

Secondary antibody only control : Used PBS instead of primary antibody, followed by ab150081 Goat Anti-Rabbit IgG H&L (Alexa Fluor® 488) secondary antibody at 1/1000 dilution.

Immunohistochemistry (Frozen sections) - Anti-DNAJC6 antibody [EPR25332-124] (AB289711)
  • IHC-Fr

Lab

Immunohistochemistry (Frozen sections) - Anti-DNAJC6 antibody [EPR25332-124] (AB289711)

Immunohistochemical analysis of 4% PFA-fixed, 0.2% Triton X-100 permeabilized frozen mouse cortex (fresh) tissue labelling DNAJC6 with ab289711 at 1/50 dilution, followed by ab150081 Goat Anti-Rabbit IgG H&L (Alexa Fluor® 488) secondary antibody at 1/1000 dilution (Green). Positive staining on mouse cortex. The nuclear conterstain is DAPI (Blue).

Secondary antibody only control : Used PBS instead of primary antibody, followed by ab150081 Goat Anti-Rabbit IgG H&L (Alexa Fluor® 488) secondary antibody at 1/1000 dilution.

Immunohistochemistry (Frozen sections) - Anti-DNAJC6 antibody [EPR25332-124] (AB289711)
  • IHC-Fr

Lab

Immunohistochemistry (Frozen sections) - Anti-DNAJC6 antibody [EPR25332-124] (AB289711)

Immunohistochemical analysis of 4% PFA-fixed, 0.2% Triton X-100 permeabilized frozen rat liver (fresh) tissue labelling DNAJC6 with ab289711 at 1/50 dilution, followed by ab150081 Goat Anti-Rabbit IgG H&L (Alexa Fluor® 488) secondary antibody at 1/1000 dilution (Green). Negative control (PMID : 23211418). No staining on rat liver. The nuclear conterstain is DAPI (Blue).

Secondary antibody only control : Used PBS instead of primary antibody, followed by ab150081 Goat Anti-Rabbit IgG H&L (Alexa Fluor® 488) secondary antibody at 1/1000 dilution.

Immunohistochemistry (Frozen sections) - Anti-DNAJC6 antibody [EPR25332-124] (AB289711)
  • IHC-Fr

Lab

Immunohistochemistry (Frozen sections) - Anti-DNAJC6 antibody [EPR25332-124] (AB289711)

Immunohistochemical analysis of 4% PFA-fixed, 0.2% Triton X-100 permeabilized frozen rat cortex (fresh) tissue labelling DNAJC6 with ab289711 at 1/50 dilution, followed by ab150081 Goat Anti-Rabbit IgG H&L (Alexa Fluor® 488) secondary antibody at 1/1000 dilution (Green). Positive staining on rat cortex. The nuclear conterstain is DAPI (Blue).

Secondary antibody only control : Used PBS instead of primary antibody, followed by ab150081 Goat Anti-Rabbit IgG H&L (Alexa Fluor® 488) secondary antibody at 1/1000 dilution.

Immunohistochemistry (Formalin/PFA-fixed paraffin-embedded sections) - Anti-DNAJC6 antibody [EPR25332-124] (AB289711)
  • IHC-P

Lab

Immunohistochemistry (Formalin/PFA-fixed paraffin-embedded sections) - Anti-DNAJC6 antibody [EPR25332-124] (AB289711)

Immunohistochemical analysis of paraffin-embedded Rat brain tissue labelling DNAJC6 with ab289711 at 1/4000(0.114 µg/ml) dilution followed by a ready to use LeicaDS9800 (Bond™ Polymer Refine Detection). Positive staining on rat cerebrum. The section was incubated with ab289711 for 30 mins at room temperature. The immunostaining was performed on a Leica Biosystems BOND® RX instrument. Counterstained with Hematoxylin.

Secondary antibody only control : Secondary antibody is a ready to use LeicaDS9800 (Bond™ Polymer Refine Detection).

Heat mediated antigen retrieval with Tris-EDTA buffer (pH 9.0, epitope retrieval solution2) for 20 mins.

Western blot - Anti-DNAJC6 antibody [EPR25332-124] (AB289711)
  • WB

Lab

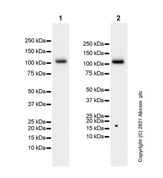
Western blot - Anti-DNAJC6 antibody [EPR25332-124] (AB289711)

Negative control : Liver, Skeletal muscle (PMID : 23211418)
The molecular weight observed is consistent with what has been described in the literature (PMID : 1973169)

Exposure times :

Lane 1-7 : 7.75 seconds
Lane 8-9 : 37 seconds

Blocking and diluting buffer and concentration : 5% NFDM/TBST.

All lanes:

Western blot - Anti-DNAJC6 antibody [EPR25332-124] (ab289711) at 1/1000 dilution

Lane 1:

Human spinal cord tissue lysate at 20 µg

Lane 2:

Human liver tissue lysate at 20 µg

Lane 3:

Human skeletal muscle tissue lysate at 20 µg

Lane 4:

Mouse cerebral cortex tissue lysate at 20 µg

Lane 5:

Mouse brain tissue lysate at 20 µg

Lane 6:

Mouse liver tissue lysate at 20 µg

Lane 7:

Mouse skeletal muscle tissue lysate at 20 µg

Lane 8:

Rat brain tissue lysate at 20 µg

Lane 9:

Rat liver tissue lysate at 20 µg

Secondary

All lanes:

Western blot - Goat Anti-Rabbit IgG H&L (HRP) (<a href='/en-us/products/secondary-antibodies/goat-rabbit-igg-h-l-hrp-ab97051'>ab97051</a>) at 1/100000 dilution

Predicted band size: 100 kDa

Observed band size: 110 kDa

false

Western blot - Anti-DNAJC6 antibody [EPR25332-124] (AB289711)
  • WB

Lab

Western blot - Anti-DNAJC6 antibody [EPR25332-124] (AB289711)

Fresh lysates were used in this WB.
The molecular weight observed is consistent with what has been described in the literature (PMID : 1973169).

5% NFDM/TBST was used as a blocking and diluting buffer.

All lanes:

Western blot - Anti-DNAJC6 antibody [EPR25332-124] (ab289711) at 1/1000 dilution

Lane 1:

U-87 MG (human glioblastoma-astrocytoma epithelial cell), whole cell lysate at 10 µg

Lane 2:

K562 (human chronic myelogenous leukemia lymphoblast), whole cell lysate at 10 µg

Secondary

All lanes:

Western blot - Goat Anti-Rabbit IgG H&L (HRP) (<a href='/en-us/products/secondary-antibodies/goat-rabbit-igg-h-l-hrp-ab97051'>ab97051</a>) at 1/100000 dilution

Predicted band size: 100 kDa

Observed band size: 110 kDa

false

Exposure time: 48s

  • Carrier free

    Anti-DNAJC6 antibody [EPR25332-124] - BSA and Azide free

Key facts

Host species

Rabbit

Clonality

Monoclonal

Clone number

EPR25332-124

Isotype

IgG

Carrier free

No

Reacts with

Rat, Mouse, Human

Applications

WB, IHC-P, IHC-Fr, Flow Cyt (Intra)

applications

Immunogen

The exact immunogen used to generate this antibody is proprietary information.

Reactivity data

{ "title": "Reactivity Data", "filters": { "stats": ["", "Species", "Dilution Info", "Notes"], "tabs": { "all-applications": {"fullname" : "All Applications", "shortname": "All Applications"}, "IP" : {"fullname" : "Immunoprecipitation", "shortname":"IP"}, "WB" : {"fullname" : "Western blot", "shortname":"WB"}, "IHCP" : {"fullname" : "Immunohistochemistry (Formalin/PFA-fixed paraffin-embedded sections)", "shortname":"IHC-P"}, "IHCFr" : {"fullname" : "Immunohistochemistry (Frozen sections)", "shortname":"IHC-Fr"}, "FlowCytIntra" : {"fullname" : "Flow Cytometry (Intracellular)", "shortname":"Flow Cyt (Intra)"} }, "product-promise": { "all": "all", "testedAndGuaranteed": "tested", "guaranteed": "expected", "predicted": "predicted", "notRecommended": "not-recommended" } }, "values": { "Human": { "IP-species-checked": "notRecommended", "IP-species-dilution-info": "", "IP-species-notes": "<p></p>", "WB-species-checked": "testedAndGuaranteed", "WB-species-dilution-info": "1/1000", "WB-species-notes": "<p></p>", "IHCP-species-checked": "testedAndGuaranteed", "IHCP-species-dilution-info": "1/4000", "IHCP-species-notes": "<p></p>", "IHCFr-species-checked": "guaranteed", "IHCFr-species-dilution-info": "", "IHCFr-species-notes": "", "FlowCytIntra-species-checked": "testedAndGuaranteed", "FlowCytIntra-species-dilution-info": "1/500", "FlowCytIntra-species-notes": "<p></p>" }, "Mouse": { "IP-species-checked": "notRecommended", "IP-species-dilution-info": "", "IP-species-notes": "", "WB-species-checked": "testedAndGuaranteed", "WB-species-dilution-info": "1/1000", "WB-species-notes": "<p></p>", "IHCP-species-checked": "testedAndGuaranteed", "IHCP-species-dilution-info": "1/4000", "IHCP-species-notes": "<p></p>", "IHCFr-species-checked": "testedAndGuaranteed", "IHCFr-species-dilution-info": "1/50", "IHCFr-species-notes": "<p></p>", "FlowCytIntra-species-checked": "guaranteed", "FlowCytIntra-species-dilution-info": "", "FlowCytIntra-species-notes": "" }, "Rat": { "IP-species-checked": "notRecommended", "IP-species-dilution-info": "", "IP-species-notes": "", "WB-species-checked": "testedAndGuaranteed", "WB-species-dilution-info": "1/1000", "WB-species-notes": "<p></p>", "IHCP-species-checked": "testedAndGuaranteed", "IHCP-species-dilution-info": "1/4000", "IHCP-species-notes": "<p></p>", "IHCFr-species-checked": "testedAndGuaranteed", "IHCFr-species-dilution-info": "1/50", "IHCFr-species-notes": "<p></p>", "FlowCytIntra-species-checked": "guaranteed", "FlowCytIntra-species-dilution-info": "", "FlowCytIntra-species-notes": "" } } }

Product details

Patented technology
Our RabMAb® technology is a patented hybridoma-based technology for making rabbit monoclonal antibodies. For details on our patents, please refer to RabMAb® patents.

What are the advantages of a recombinant monoclonal antibody?
This product is a recombinant monoclonal antibody, which offers several advantages including:

  • - High batch-to-batch consistency and reproducibility
  • - Improved sensitivity and specificity
  • - Long-term security of supply
  • - Animal-free batch production

For more information, read more on recombinant antibodies.

Properties and storage information

Form
Liquid
Purification technique
Affinity purification Protein A
Storage buffer
pH: 7.2 - 7.4 Preservative: 0.01% Sodium azide Constituents: PBS, 40% Glycerol (glycerin, glycerine), 0.05% BSA
Shipped at conditions
Blue Ice
Appropriate short-term storage duration
1-2 weeks
Appropriate short-term storage conditions
+4°C
Appropriate long-term storage conditions
-20°C
Aliquoting information
Upon delivery aliquot
Storage information
Avoid freeze / thaw cycle

Product protocols

For this product, it's our understanding that no specific protocols are required. You can visit:

Target data

May act as a protein phosphatase and/or a lipid phosphatase. Co-chaperone that recruits HSPA8/HSC70 to clathrin-coated vesicles (CCVs) and promotes the ATP-dependent dissociation of clathrin from CCVs and participates in clathrin-mediated endocytosis of synaptic vesicles and their recycling and also in intracellular trafficking (PubMed : 18489706). Firstly, binds tightly to the clathrin cages, at a ratio of one DNAJC6 per clathrin triskelion. The HSPA8 : ATP complex then binds to the clathrin-auxilin cage, initially at a ratio of one HSPA8 per triskelion leading to ATP hydrolysis stimulation and causing a conformational change in the HSPA8. This cycle is repeated three times to drive to a complex containing the clathrin-auxilin cage associated to three HSPA8 : ADP complex. The ATP hydrolysis of the third HSPA8 : ATP complex leads to a concerted dismantling of the cage into component triskelia. Then, dissociates from the released triskelia and be recycled to initiate another cycle of HSPA8's recruitment. Also acts during the early steps of clathrin-coated vesicle (CCV) formation through its interaction with the GTP bound form of DNM1 (By similarity).
See full target information DNAJC6

Product promise

We are committed to supporting your work with high-quality reagents, and we're here for you every step of the way. In the unlikely event that one of our products does not perform as expected, you're protected by our Product Promise.
For full details, please see our Terms & Conditions

Please note: All products are 'FOR RESEARCH USE ONLY. NOT FOR USE IN DIAGNOSTIC OR THERAPEUTIC PROCEDURES'.

For licensing inquiries, please contact partnerships@abcam.com