JavaScript is disabled in your browser. Please enable JavaScript to view this website.
AB166612

Anti-DNAJC9 antibody [EPR9856]

Be the first to review this product! Submit a review

|

(0 Publication)

Rabbit Recombinant Monoclonal DNAJC9 antibody. Suitable for IHC-P, IP, WB and reacts with Human samples.

View Alternative Names

DnaJ homolog subfamily C member 9, HDJC9, DnaJ protein SB73, DNAJC9

6 Images
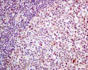
Immunohistochemistry (Formalin/PFA-fixed paraffin-embedded sections) - Anti-DNAJC9 antibody [EPR9856] (AB166612)
  • IHC-P

Unknown

Immunohistochemistry (Formalin/PFA-fixed paraffin-embedded sections) - Anti-DNAJC9 antibody [EPR9856] (AB166612)

Immunohistochemical analysis of paraffin embedded Human tonsil tissue labeling DNAJC9 with ab166612 antibody at 1/100.

Perform heat mediated antigen retrieval with citrate buffer pH 6 before commencing with IHC staining protocol.

Immunohistochemistry (Formalin/PFA-fixed paraffin-embedded sections) - Anti-DNAJC9 antibody [EPR9856] (AB166612)
  • IHC-P

Unknown

Immunohistochemistry (Formalin/PFA-fixed paraffin-embedded sections) - Anti-DNAJC9 antibody [EPR9856] (AB166612)

Immunohistochemical analysis of paraffin embedded Human ovarian carcinoma tissue labeling DNAJC9 with ab166612 antibody at 1/100.

Perform heat mediated antigen retrieval with citrate buffer pH 6 before commencing with IHC staining protocol.

Western blot - Anti-DNAJC9 antibody [EPR9856] (AB166612)
  • WB

Unknown

Western blot - Anti-DNAJC9 antibody [EPR9856] (AB166612)

All lanes:

Western blot - Anti-DNAJC9 antibody [EPR9856] (ab166612) at 1/1000 dilution

Lane 1:

HepG2 cell lysate at 10 µg

Lane 2:

U87-MG cell lysate at 10 µg

Lane 3:

Raji cell lysate at 10 µg

Lane 4:

SH-SY5Y cell lysate at 10 µg

Lane 5:

293T cell lysate at 10 µg

Lane 6:

Jurkat cell lysate at 10 µg

Secondary

All lanes:

HRP labelled goat anti-rabbit at 1/2000 dilution

Predicted band size: 30 kDa

Observed band size: 30 kDa

false

Immunoprecipitation - Anti-DNAJC9 antibody [EPR9856] (AB166612)
  • IP

Unknown

Immunoprecipitation - Anti-DNAJC9 antibody [EPR9856] (AB166612)

Immunoprecipitation. ab166612 at 1/1000 staining DNAJC9 in 293T cell lysate immunoprecipitated using ab166612 at 1/10. Predicted band size : 30 kDa.

All lanes:

Immunoprecipitation - Anti-DNAJC9 antibody [EPR9856] (ab166612)

Predicted band size: 30 kDa

false

Western blot - Anti-DNAJC9 antibody [EPR9856] (AB166612)
  • WB

Lab

Western blot - Anti-DNAJC9 antibody [EPR9856] (AB166612)

False colour image of Western blot : Anti-DNAJC9 antibody [EPR9856] staining at 1/1000 dilution, shown in green; Mouse anti-Alpha Tubulin [DM1A] (ab7291) loading control staining at 1/20000 dilution, shown in red. In Western blot, ab166612 was shown to bind specifically to DNAJC9. A band was observed at 35 kDa in wild-type HEK-293T cell lysates with no signal observed at this size in DNAJC9 knockout cell line ab266364 (knockout cell lysate ab257926). The band observed in the knockout lysate lane below 35 kDa is likely to represent a truncated form of DNAJC9. This has not been investigated further and the functional properties of the gene product have not been determined. To generate this image, wild-type and DNAJC9 knockout HEK-293T cell lysates were analysed.First, samples were run on an SDS-PAGE gel then transferred onto a nitrocellulose membrane. Membranes were blocked in 3 % milk in TBS-0.1 % Tween® 20 (TBS-T) before incubation with primary antibodies overnight at 4 °C. Blots were washed four times in TBS-T, incubated with secondary antibodies for 1 h at room temperature, washed again four times then imaged. Secondary antibodies used were Goat anti-Rabbit IgG H&L (IRDye® 800CW) preabsorbed (ab216773) and Goat anti-Mouse IgG H&L (IRDye® 680RD) preabsorbed (ab216776) at 1/20000 dilution.

All lanes:

Western blot - Anti-DNAJC9 antibody [EPR9856] (ab166612) at 1/1000 dilution

Lane 1:

Wild-type HEK-293T cell lysate at 20 µg

Lane 2:

DNAJC9 knockout HEK-293T cell lysate at 20 µg

Lane 3:

PC-3 cell lysate at 20 µg

Lane 4:

HepG2 cell lysate at 20 µg

Secondary

All lanes:

Goat anti-Rabbit IgG H&L (IRDye® 800CW) preabsorbed (<a href='/en-us/products/secondary-antibodies/goat-rabbit-igg-h-l-irdye-800cw-preadsorbed-ab216773'>ab216773</a>) and Goat anti-Mouse IgG H&L (IRDye® 680RD) preabsorbed (<a href='/en-us/products/secondary-antibodies/goat-mouse-igg-h-l-irdye-680rd-preadsorbed-ab216776'>ab216776</a>) at 1/20000 dilution

Predicted band size: 30 kDa

false

Western blot - Anti-DNAJC9 antibody [EPR9856] (AB166612)
  • WB

Lab

Western blot - Anti-DNAJC9 antibody [EPR9856] (AB166612)

False colour image of Western blot : Anti-DNAJC9 antibody [EPR9856] staining at 1/1000 dilution, shown in green; Mouse anti-Alpha Tubulin [DM1A] (ab7291) loading control staining at 1/20000 dilution, shown in red. In Western blot, ab166612 was shown to bind specifically to DNAJC9. A band was observed at 35 kDa in wild-type HEK-293T cell lysates with no signal observed at this size in DNAJC9 CRISPR-Cas9 edited cell line ab266364 (CRISPR-Cas9 edited cell lysate ab257926). The band observed in the CRISPR-Cas9 edited lysate lane below 35 kDa is likely to represent a truncated form of DNAJC9. This has not been investigated further and the functional properties of the gene product have not been determined. To generate this image, wild-type and DNAJC9 CRISPR-Cas9 edited HEK-293T cell lysates were analysed. First, samples were run on an SDS-PAGE gel then transferred onto a nitrocellulose membrane. Membranes were blocked in 3 % milk in TBS-0.1 % Tween® 20 (TBS-T) before incubation with primary antibodies overnight at 4 °C. Blots were washed four times in TBS-T, incubated with secondary antibodies for 1 h at room temperature, washed again four times then imaged. Secondary antibodies used were Goat anti-Rabbit IgG H&L (IRDye® 800CW) preabsorbed (ab216773) and Goat anti-Mouse IgG H&L (IRDye® 680RD) preabsorbed (ab216776) at 1/20000 dilution.

All lanes:

Western blot - Anti-DNAJC9 antibody [EPR9856] (ab166612) at 1/1000 dilution

Lane 1:

Wild-type HEK-293T cell lysate at 20 µg

Lane 2:

DNAJC9 CRISPR-Cas9 edited HEK-293T cell lysate at 20 µg

Lane 2:

Western blot - Human DNAJC9 knockout HEK-293T cell line (<a href='/en-us/products/cell-lines/human-dnajc9-knockout-hek-293t-cell-line-ab266364'>ab266364</a>)

Lane 3:

PC-3 cell lysate at 20 µg

Lane 4:

HepG2 cell lysate at 20 µg

Predicted band size: 30 kDa

Observed band size: 35 kDa

false

  • Carrier free

    Anti-DNAJC9 antibody [EPR9856] - BSA and Azide free

Key facts

Host species

Rabbit

Clonality

Monoclonal

Clone number

EPR9856

Isotype

IgG

Carrier free

No

Reacts with

Human

Applications

IHC-P, WB, IP

applications

Immunogen

The exact immunogen used to generate this antibody is proprietary information.

Reactivity data

{ "title": "Reactivity Data", "filters": { "stats": ["", "Species", "Dilution Info", "Notes"], "tabs": { "all-applications": {"fullname" : "All Applications", "shortname": "All Applications"}, "IHCP" : {"fullname" : "Immunohistochemistry (Formalin/PFA-fixed paraffin-embedded sections)", "shortname":"IHC-P"}, "IP" : {"fullname" : "Immunoprecipitation", "shortname":"IP"}, "FlowCyt" : {"fullname" : "Flow Cytometry", "shortname":"Flow Cyt"}, "WB" : {"fullname" : "Western blot", "shortname":"WB"} }, "product-promise": { "all": "all", "testedAndGuaranteed": "tested", "guaranteed": "expected", "predicted": "predicted", "notRecommended": "not-recommended" } }, "values": { "Human": { "IHCP-species-checked": "testedAndGuaranteed", "IHCP-species-dilution-info": "1/100 - 1/250", "IHCP-species-notes": "<p></p> Perform heat-mediated antigen retrieval with citrate buffer pH 6 before commencing with IHC staining protocol.", "IP-species-checked": "testedAndGuaranteed", "IP-species-dilution-info": "1/10 - 1/100", "IP-species-notes": "<p></p>", "FlowCyt-species-checked": "notRecommended", "FlowCyt-species-dilution-info": "", "FlowCyt-species-notes": "<p></p>", "WB-species-checked": "testedAndGuaranteed", "WB-species-dilution-info": "1/1000 - 1/10000", "WB-species-notes": "<p></p>" }, "Mouse": { "IHCP-species-checked": "predicted", "IHCP-species-dilution-info": "", "IHCP-species-notes": "", "IP-species-checked": "predicted", "IP-species-dilution-info": "", "IP-species-notes": "", "FlowCyt-species-checked": "notRecommended", "FlowCyt-species-dilution-info": "", "FlowCyt-species-notes": "", "WB-species-checked": "predicted", "WB-species-dilution-info": "", "WB-species-notes": "" } } }

Product details

Patented technology
Our RabMAb® technology is a patented hybridoma-based technology for making rabbit monoclonal antibodies. For details on our patents, please refer to RabMAb® patents.

What are the advantages of a recombinant monoclonal antibody?
This product is a recombinant monoclonal antibody, which offers several advantages including:

  • - High batch-to-batch consistency and reproducibility
  • - Improved sensitivity and specificity
  • - Long-term security of supply
  • - Animal-free batch production

For more information, read more on recombinant antibodies.

Species reactivity
Rat: We have preliminary internal testing data to indicate this antibody may not react with this species.
Please contact us for more information.

Properties and storage information

Form
Liquid
Purification technique
Affinity purification Protein A
Storage buffer
pH: 7.2 - 7.4 Preservative: 0.01% Sodium azide Constituents: 50% Tissue culture supernatant, 40% Glycerol (glycerin, glycerine), 9% PBS, 0.05% BSA
Shipped at conditions
Blue Ice
Appropriate short-term storage conditions
+4°C
Appropriate long-term storage conditions
-20°C
Aliquoting information
Upon delivery aliquot
Storage information
Avoid freeze / thaw cycle

Product protocols

For this product, it's our understanding that no specific protocols are required. You can visit:

Target data

Acts as a dual histone chaperone and heat shock co-chaperone (PubMed : 33857403). As a histone chaperone, forms a co-chaperone complex with MCM2 and histone H3-H4 heterodimers; and may thereby assist MCM2 in histone H3-H4 heterodimer recognition and facilitate the assembly of histones into nucleosomes (PubMed : 33857403). May also act as a histone co-chaperone together with TONSL (PubMed : 33857403). May recruit histone chaperones ASF1A, NASP and SPT2 to histone H3-H4 heterodimers (PubMed : 33857403). Also plays a role as co-chaperone of the HSP70 family of molecular chaperone proteins, such as HSPA1A, HSPA1B and HSPA8 (PubMed : 17182002, PubMed : 33857403). As a co-chaperone, may play a role in the recruitment of HSP70-type molecular chaperone machinery to histone H3-H4 substrates, thereby maintaining the histone structural integrity (PubMed : 33857403). Exhibits activity to assemble histones onto DNA in vitro (PubMed : 33857403).
See full target information DNAJC9

Product promise

We are committed to supporting your work with high-quality reagents, and we're here for you every step of the way. In the unlikely event that one of our products does not perform as expected, you're protected by our Product Promise.
For full details, please see our Terms & Conditions

Please note: All products are 'FOR RESEARCH USE ONLY. NOT FOR USE IN DIAGNOSTIC OR THERAPEUTIC PROCEDURES'.

For licensing inquiries, please contact partnerships@abcam.com