JavaScript is disabled in your browser. Please enable JavaScript to view this website.
AB224617

Anti-DNase I antibody

Be the first to review this product! Submit a review

|

(2 Publications)

Rabbit Polyclonal DNase I antibody. Suitable for WB, IHC-P and reacts with Mouse, Human samples. Cited in 2 publications. Immunogen corresponding to Recombinant Fragment Protein within Human DNASE1 aa 50-250.

View Alternative Names

DNL1, DRNI, DNASE1, Deoxyribonuclease-1, Deoxyribonuclease I, DNase I

2 Images
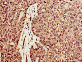
Immunohistochemistry (Formalin/PFA-fixed paraffin-embedded sections) - Anti-DNase I antibody (AB224617)
  • IHC-P

Supplier Data

Immunohistochemistry (Formalin/PFA-fixed paraffin-embedded sections) - Anti-DNase I antibody (AB224617)

Paraffin-embedded human ovarian cancer tissue stained for DNase I using ab224617 at 1/100 dilution in immunohistochemical analysis.

Western blot - Anti-DNase I antibody (AB224617)
  • WB

Supplier Data

Western blot - Anti-DNase I antibody (AB224617)

All lanes:

Western blot - Anti-DNase I antibody (ab224617) at 1/500 dilution

All lanes:

Mouse brain tissue lysate

Secondary

All lanes:

Goat polyclonal to rabbit IgG at 1/50000 dilution

Predicted band size: 31 kDa

Observed band size: 32 kDa

false

Key facts

Host species

Rabbit

Clonality

Polyclonal

Isotype

IgG

Carrier free

No

Reacts with

Mouse, Human

Applications

IHC-P, WB

applications

Immunogen

Recombinant Fragment Protein within Human DNASE1 aa 50-250. The exact immunogen used to generate this antibody is proprietary information.

P24855

Reactivity data

{ "title": "Reactivity Data", "filters": { "stats": ["", "Species", "Dilution Info", "Notes"], "tabs": { "all-applications": {"fullname" : "All Applications", "shortname": "All Applications"}, "WB" : {"fullname" : "Western blot", "shortname":"WB"}, "IHCP" : {"fullname" : "Immunohistochemistry (Formalin/PFA-fixed paraffin-embedded sections)", "shortname":"IHC-P"} }, "product-promise": { "all": "all", "testedAndGuaranteed": "tested", "guaranteed": "expected", "predicted": "predicted", "notRecommended": "not-recommended" } }, "values": { "Human": { "WB-species-checked": "guaranteed", "WB-species-dilution-info": "", "WB-species-notes": "", "IHCP-species-checked": "testedAndGuaranteed", "IHCP-species-dilution-info": "1/20 - 1/200", "IHCP-species-notes": "<p></p>" }, "Mouse": { "WB-species-checked": "testedAndGuaranteed", "WB-species-dilution-info": "1/500 - 1/5000", "WB-species-notes": "<p></p>", "IHCP-species-checked": "guaranteed", "IHCP-species-dilution-info": "", "IHCP-species-notes": "" } } }

Properties and storage information

Form
Liquid
Purification technique
Affinity purification Protein G
Purification notes
Purity >95%.
Storage buffer
pH: 7.4 Preservative: 0.03% Proclin 300 Constituents: PBS, 50% Glycerol (glycerin, glycerine)
Shipped at conditions
Blue Ice
Appropriate short-term storage duration
1-2 weeks
Appropriate short-term storage conditions
+4°C
Appropriate long-term storage conditions
-20°C
Aliquoting information
Upon delivery aliquot
Storage information
Avoid freeze / thaw cycle

Product protocols

For this product, it's our understanding that no specific protocols are required. You can visit:

Target data

Serum endocuclease secreted into body fluids by a wide variety of exocrine and endocrine organs (PubMed : 11241278, PubMed : 2251263, PubMed : 2277032). Expressed by non-hematopoietic tissues and preferentially cleaves protein-free DNA (By similarity). Among other functions, seems to be involved in cell death by apoptosis (PubMed : 11241278). Binds specifically to G-actin and blocks actin polymerization (By similarity). Together with DNASE1L3, plays a key role in degrading neutrophil extracellular traps (NETs) (By similarity). NETs are mainly composed of DNA fibers and are released by neutrophils to bind pathogens during inflammation (By similarity). Degradation of intravascular NETs by DNASE1 and DNASE1L3 is required to prevent formation of clots that obstruct blood vessels and cause organ damage following inflammation (By similarity).
See full target information DNASE1

Publications (2)

Recent publications for all applications. Explore the full list and refine your search

Aging cell 23:e14303 PubMed39113346

2024

The activation of cGAS-STING pathway causes abnormal uterine receptivity in aged mice.

Applications

Unspecified application

Species

Unspecified reactive species

Si-Ting Chen,Wen-Wen Shi,Feng Ran,Cheng-Kan Liu,Hui-Na Luo,Li-Juan Wu,Ying Wu,Tong-Tong Zhang,Zeng-Ming Yang

Aging 16:7578-7595 PubMed38568089

2024

Establishment and verification of a prognostic model based on coagulation and fibrinolysis-related genes in hepatocellular carcinoma.

Applications

Unspecified application

Species

Unspecified reactive species

Meng Fan,Le Lu,Hao Shang,Yuxuan Lu,Yi Yang,Xiuyan Wang,Hongwei Lu
View all publications

Product promise

We are committed to supporting your work with high-quality reagents, and we're here for you every step of the way. In the unlikely event that one of our products does not perform as expected, you're protected by our Product Promise.
For full details, please see our Terms & Conditions

Please note: All products are 'FOR RESEARCH USE ONLY. NOT FOR USE IN DIAGNOSTIC OR THERAPEUTIC PROCEDURES'.

For licensing inquiries, please contact partnerships@abcam.com