JavaScript is disabled in your browser. Please enable JavaScript to view this website.
AB321981

Anti-DNase I antibody [EPR28421-50] - BSA and Azide free

Be the first to review this product! Submit a review

|

(0 Publication)

Rabbit Recombinant Monoclonal DNase I antibody. Carrier free. Suitable for IHC-P, WB and reacts with Mouse, Recombinant fragment - Mouse samples.

View Alternative Names

Dnl1, Deoxyribonuclease-1, Deoxyribonuclease I, DNase I

6 Images
Immunohistochemistry (Formalin/PFA-fixed paraffin-embedded sections) - Anti-DNase I antibody [EPR28421-50] - BSA and Azide free (AB321981)
  • IHC-P

Supplier Data

Immunohistochemistry (Formalin/PFA-fixed paraffin-embedded sections) - Anti-DNase I antibody [EPR28421-50] - BSA and Azide free (AB321981)

This data was developed using ab321980, the same antibody clone in a different buffer formulation.

Immunohistochemical analysis of paraffin-embedded Mouse cardiac muscle tissue labeling DNase I with ab321980 at 1/5000 (0.096 ug/ml) dilution followed by a ready to use LeicaDS9800 (Bond™ Polymer Refine Detection). Negative control : No staining in mouse cardiac muscle. The section was incubated with ab321980 for 30 mins at room temperature. The immunostaining was performed on a Leica Biosystems BOND® RX instrument Slides were incubated with 3% Hydrogen Peroxide for 10 mins at room temperature after secondary antibody incubation to reduce the background. Counterstained with Hematoxylin. Secondary antibody only control : Secondary antibody is a ready to use LeicaDS9800 (Bond™ Polymer Refine Detection). Heat mediated antigen retrieval was performed with Tris-EDTA buffer (pH 9.0 Epitope Retrieval Solution2) for 20 mins.

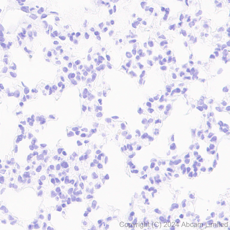
Immunohistochemistry (Formalin/PFA-fixed paraffin-embedded sections) - Anti-DNase I antibody [EPR28421-50] - BSA and Azide free (AB321981)
  • IHC-P

Supplier Data

Immunohistochemistry (Formalin/PFA-fixed paraffin-embedded sections) - Anti-DNase I antibody [EPR28421-50] - BSA and Azide free (AB321981)

This data was developed using ab321980, the same antibody clone in a different buffer formulation.

Immunohistochemical analysis of paraffin-embedded Mouse lung tissue labeling DNase I with ab321980 at 1/5000 (0.096 ug/ml) dilution followed by a ready to use LeicaDS9800 (Bond™ Polymer Refine Detection). Negative control : No staining in mouse lung. The section was incubated with ab321980 for 30 mins at room temperature. The immunostaining was performed on a Leica Biosystems BOND® RX instrument Slides were incubated with 3% Hydrogen Peroxide for 10 mins at room temperature after secondary antibody incubation to reduce the background. Counterstained with Hematoxylin. Secondary antibody only control : Secondary antibody is a ready to use LeicaDS9800 (Bond™ Polymer Refine Detection). Heat mediated antigen retrieval was performed with Tris-EDTA buffer (pH 9.0 Epitope Retrieval Solution2) for 20 mins.

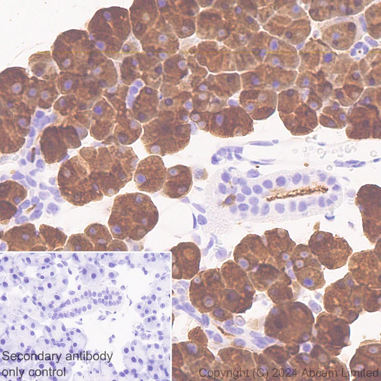
Immunohistochemistry (Formalin/PFA-fixed paraffin-embedded sections) - Anti-DNase I antibody [EPR28421-50] - BSA and Azide free (AB321981)
  • IHC-P

Supplier Data

Immunohistochemistry (Formalin/PFA-fixed paraffin-embedded sections) - Anti-DNase I antibody [EPR28421-50] - BSA and Azide free (AB321981)

This data was developed using ab321980, the same antibody clone in a different buffer formulation.

Immunohistochemical analysis of paraffin-embedded Mouse parotid gland tissue labeling DNase I with ab321980 at 1/5000 (0.096 ug/ml) dilution followed by a ready to use LeicaDS9800 (Bond™ Polymer Refine Detection). Positive staining in mouse parotid gland. The section was incubated with ab321980 for 30 mins at room temperature. The immunostaining was performed on a Leica Biosystems BOND® RX instrument Slides were incubated with 3% Hydrogen Peroxide for 10 mins at room temperature after secondary antibody incubation to reduce the background. Counterstained with Hematoxylin. Secondary antibody only control : Secondary antibody is a ready to use LeicaDS9800 (Bond™ Polymer Refine Detection). Heat mediated antigen retrieval was performed with Tris-EDTA buffer (pH 9.0 Epitope Retrieval Solution2) for 20 mins.

Immunohistochemistry (Formalin/PFA-fixed paraffin-embedded sections) - Anti-DNase I antibody [EPR28421-50] - BSA and Azide free (AB321981)
  • IHC-P

Supplier Data

Immunohistochemistry (Formalin/PFA-fixed paraffin-embedded sections) - Anti-DNase I antibody [EPR28421-50] - BSA and Azide free (AB321981)

This data was developed using ab321980, the same antibody clone in a different buffer formulation.

Immunohistochemical analysis of paraffin-embedded Mouse kidney tissue labeling DNase I with ab321980 at 1/5000 (0.096 ug/ml) dilution followed by a ready to use LeicaDS9800 (Bond™ Polymer Refine Detection). Positive staining in mouse kidney (A) at 1/1000 dilution (0.478 ug/mL) and (B) at 1/5000 dilution (0.096 ug/mL). The section was incubated with ab321980 for 30 mins at room temperature. The immunostaining was performed on a Leica Biosystems BOND® RX instrument Slides were incubated with 3% Hydrogen Peroxide for 10 mins at room temperature after secondary antibody incubation to reduce the background. Counterstained with Hematoxylin. Secondary antibody only control : Secondary antibody is a ready to use LeicaDS9800 (Bond™ Polymer Refine Detection). Heat mediated antigen retrieval was performed with Tris-EDTA buffer (pH 9.0 Epitope Retrieval Solution2) for 20 mins.

Western blot - Anti-DNase I antibody [EPR28421-50] - BSA and Azide free (AB321981)
  • WB

Supplier Data

Western blot - Anti-DNase I antibody [EPR28421-50] - BSA and Azide free (AB321981)

This data was developed using ab321980, the same antibody clone in a different buffer formulation.

Blocking and diluting buffer and concentration : 5% NFDM/TBST.

Negative control : heart cerebellum (PMID : 15015938 PMID : 9192086).

In Western blot Anti-GAPDH antibody [EPR16891] - Loading Control (ab181602) staining at 1/200000 dilution.

Exposure time : Lane 2 : 10 seconds lanes 1 3-5 : 180 seconds

All lanes:

Western blot - Anti-DNase I antibody [EPR28421-50] (<a href='/en-us/products/primary-antibodies/dnase-i-antibody-epr28421-50-ab321980'>ab321980</a>) at 1/1000 dilution

Lane 1:

Mouse small intestine tissue lysate at 20 µg

Lane 2:

Mouse parotid gland tissue lysate at 20 µg

Lane 3:

Mouse kidney tissue lysate at 20 µg

Lane 4:

Mouse heart tissue lysate at 20 µg

Lane 5:

Mouse cerebellum lysate at 20 µg

Secondary

All lanes:

Western blot - Goat Anti-Rabbit IgG H&L (HRP) (<a href='/en-us/products/secondary-antibodies/goat-rabbit-igg-h-l-hrp-ab97051'>ab97051</a>) at 1/100000 dilution

Observed band size: 35 kDa,36 kDa

false

Western blot - Anti-DNase I antibody [EPR28421-50] - BSA and Azide free (AB321981)
  • WB

Supplier Data

Western blot - Anti-DNase I antibody [EPR28421-50] - BSA and Azide free (AB321981)

This data was developed using ab321980, the same antibody clone in a different buffer formulation.

Blocking and diluting buffer and concentration : 5% NFDM/TBST.

This antibody does not cross-react with mouse DNase IL2 and DNase IL3.

All lanes:

Western blot - Anti-DNase I antibody [EPR28421-50] (<a href='/en-us/products/primary-antibodies/dnase-i-antibody-epr28421-50-ab321980'>ab321980</a>) at 1/1000 dilution

Lane 1:

Mouse DNase I recombinant protein at 10 ng

Lane 2:

Mouse DNase IL2 recombinant protein at 10 ng

Lane 3:

Mouse DNase IL3 recombinant protein at 10 ng

Secondary

All lanes:

Western blot - Goat Anti-Rabbit IgG H&L (HRP) (<a href='/en-us/products/secondary-antibodies/goat-rabbit-igg-h-l-hrp-ab97051'>ab97051</a>) at 1/100000 dilution

Observed band size: 35 kDa

false

Exposure time: 180s

Key facts

Host species

Rabbit

Clonality

Monoclonal

Clone number

EPR28421-50

Isotype

IgG

Carrier free

Yes

Reacts with

Mouse

Applications

IHC-P, WB

applications

Immunogen

The exact immunogen used to generate this antibody is proprietary information.

Specificity

Not suitable for WB in mouse cell lines.

Reactivity data

{ "title": "Reactivity Data", "filters": { "stats": ["", "Species", "Dilution Info", "Notes"], "tabs": { "all-applications": {"fullname" : "All Applications", "shortname": "All Applications"}, "ICCIF" : {"fullname" : "Immunocytochemistry/ Immunofluorescence", "shortname":"ICC/IF"}, "IHCP" : {"fullname" : "Immunohistochemistry (Formalin/PFA-fixed paraffin-embedded sections)", "shortname":"IHC-P"}, "WB" : {"fullname" : "Western blot", "shortname":"WB"} }, "product-promise": { "all": "all", "testedAndGuaranteed": "tested", "guaranteed": "expected", "predicted": "predicted", "notRecommended": "not-recommended" } }, "values": { "Mouse": { "ICCIF-species-checked": "notRecommended", "ICCIF-species-dilution-info": "", "ICCIF-species-notes": "<p></p>", "IHCP-species-checked": "testedAndGuaranteed", "IHCP-species-dilution-info": "", "IHCP-species-notes": "<p></p> Perform heat-mediated antigen retrieval with Tris/EDTA buffer pH 9.0 before commencing with IHC staining protocol.", "WB-species-checked": "testedAndGuaranteed", "WB-species-dilution-info": "", "WB-species-notes": "<p></p>" }, "Recombinant fragment - Mouse": { "ICCIF-species-checked": "notRecommended", "ICCIF-species-dilution-info": "", "ICCIF-species-notes": "", "IHCP-species-checked": "notRecommended", "IHCP-species-dilution-info": "", "IHCP-species-notes": "", "WB-species-checked": "testedAndGuaranteed", "WB-species-dilution-info": "", "WB-species-notes": "<p></p>" } } }

Product details

ab321981 is the carrier-free version of ab321980.

Patented technology
Our RabMAb® technology is a patented hybridoma-based technology for making rabbit monoclonal antibodies. For details on our patents, please refer to RabMAb® patents.

What are the advantages of a recombinant monoclonal antibody?
This product is a recombinant monoclonal antibody, which offers several advantages including:

  • - High batch-to-batch consistency and reproducibility
  • - Improved sensitivity and specificity
  • - Long-term security of supply
  • - Animal-free batch production

For more information, read more on recombinant antibodies.

Conjugation ready
Our carrier-free antibodies are typically supplied in a PBS-only formulation, purified and free of BSA, sodium azide and glycerol. This conjugation-ready format is designed for use with fluorochromes, metal isotopes, oligonucleotides, and enzymes, which makes them ideal for antibody labelling, functional and cell-based assays, flow-based assays (e.g. mass cytometry) and Multiplex Imaging applications.

Use our conjugation kits for antibody conjugates that are ready-to-use in as little as 20 minutes with 1 minute hands-on-time and 100% antibody recovery: available for fluorescent dyes, HRP, biotin and gold.

Compatibility
This product is compatible with the Maxpar® Antibody Labeling Kit from Fluidigm, without the need for antibody preparation. Maxpar® is a trademark of Fluidigm Canada Inc.

Properties and storage information

Form
Liquid
Purification technique
Affinity purification Protein A
Storage buffer
pH: 7.2 - 7.4 Constituents: 100% PBS
Shipped at conditions
Blue Ice
Appropriate short-term storage conditions
+4°C
Appropriate long-term storage conditions
+4°C

Product protocols

For this product, it's our understanding that no specific protocols are required. You can visit:

Target data

Serum endocuclease secreted into body fluids by a wide variety of exocrine and endocrine organs (PubMed : 29191910). Expressed by non-hematopoietic tissues and preferentially cleaves protein-free DNA. Among other functions, seems to be involved in cell death by apoptosis. Binds specifically to G-actin and blocks actin polymerization (By similarity). Together with DNASE1L3, plays a key role in degrading neutrophil extracellular traps (NETs) (PubMed : 29191910). NETs are mainly composed of DNA fibers and are released by neutrophils to bind pathogens during inflammation (PubMed : 29191910). Degradation of intravascular NETs by DNASE1 and DNASE1L3 is required to prevent formation of clots that obstruct blood vessels and cause organ damage following inflammation (PubMed : 29191910).
See full target information Dnase1

Product promise

We are committed to supporting your work with high-quality reagents, and we're here for you every step of the way. In the unlikely event that one of our products does not perform as expected, you're protected by our Product Promise.
For full details, please see our Terms & Conditions

Please note: All products are 'FOR RESEARCH USE ONLY. NOT FOR USE IN DIAGNOSTIC OR THERAPEUTIC PROCEDURES'.

For licensing inquiries, please contact partnerships@abcam.com