JavaScript is disabled in your browser. Please enable JavaScript to view this website.
AB115233

Anti-DNASE2 antibody

Be the first to review this product! Submit a review

|

(1 Publication)

Rabbit Polyclonal DNASE2 antibody. Suitable for IHC-P, WB and reacts with Human samples. Cited in 1 publication. Immunogen corresponding to Synthetic Peptide within Human DNASE2 aa 300 to C-terminus conjugated to Keyhole Limpet Haemocyanin.

View Alternative Names

DNASE2A, DNL2, DNASE2, Deoxyribonuclease-2-alpha, Acid DNase, Deoxyribonuclease II alpha, Lysosomal DNase II, R31240_2, DNase II alpha

2 Images
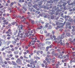
Immunohistochemistry (Formalin/PFA-fixed paraffin-embedded sections) - Anti-DNASE2 antibody (AB115233)
  • IHC-P

Unknown

Immunohistochemistry (Formalin/PFA-fixed paraffin-embedded sections) - Anti-DNASE2 antibody (AB115233)

Human thymus tissue (formalin-fixed, paraffin-embedded) stained with ab115233 at 5 ug/ml followed by biotinylated goat anti-rabbit IgG secondary antibody LS-D1, alkaline phosphatase-streptavidin and chromogen.

Immunohistochemistry (Formalin/PFA-fixed paraffin-embedded sections) - Anti-DNASE2 antibody (AB115233)
  • IHC-P

Unknown

Immunohistochemistry (Formalin/PFA-fixed paraffin-embedded sections) - Anti-DNASE2 antibody (AB115233)

Human cerebellum tissue (formalin-fixed, paraffin-embedded) stained with ab115233 at 5 ug/ml followed by biotinylated goat anti-rabbit IgG secondary antibody LS-D1, alkaline phosphatase-streptavidin and chromogen.

Key facts

Host species

Rabbit

Clonality

Polyclonal

Isotype

IgG

Carrier free

No

Reacts with

Human

Applications

WB, IHC-P

applications

Immunogen

Synthetic Peptide within Human DNASE2 aa 300 to C-terminus conjugated to Keyhole Limpet Haemocyanin. The exact immunogen used to generate this antibody is proprietary information.

O00115

Reactivity data

{ "title": "Reactivity Data", "filters": { "stats": ["", "Species", "Dilution Info", "Notes"], "tabs": { "all-applications": {"fullname" : "All Applications", "shortname": "All Applications"}, "IHCP" : {"fullname" : "Immunohistochemistry (Formalin/PFA-fixed paraffin-embedded sections)", "shortname":"IHC-P"}, "WB" : {"fullname" : "Western blot", "shortname":"WB"} }, "product-promise": { "all": "all", "testedAndGuaranteed": "tested", "guaranteed": "expected", "predicted": "predicted", "notRecommended": "not-recommended" } }, "values": { "Human": { "IHCP-species-checked": "testedAndGuaranteed", "IHCP-species-dilution-info": "5 µg/mL", "IHCP-species-notes": "<p></p> Perform heat-mediated antigen retrieval with citrate buffer pH 6 before commencing with IHC staining protocol.", "WB-species-checked": "guaranteed", "WB-species-dilution-info": "", "WB-species-notes": "<p></p>" } } }

Properties and storage information

Form
Liquid
Purification technique
Affinity purification Protein A
Storage buffer
pH: 7.4 Preservative: 0.02% Sodium azide Constituents: PBS
Shipped at conditions
Blue Ice
Appropriate short-term storage conditions
+4°C
Appropriate long-term storage conditions
-20°C
Aliquoting information
Upon delivery aliquot
Storage information
Avoid freeze / thaw cycle

Product protocols

For this product, it's our understanding that no specific protocols are required. You can visit:

Target data

Hydrolyzes DNA under acidic conditions with a preference for double-stranded DNA. Plays a major role in the clearance of nucleic acids generated through apoptosis, hence preventing autoinflammation (PubMed : 29259162, PubMed : 31775019). Necessary for proper fetal development and for definitive erythropoiesis in fetal liver and bone marrow, where it degrades nuclear DNA expelled from erythroid precursor cells (PubMed : 29259162).
See full target information DNASE2

Publications (1)

Recent publications for all applications. Explore the full list and refine your search

Journal of Cancer 12:6254-6264 PubMed34539898

2021

Significant value of XRCC2 and XRCC9 expression in the prognosis of human ovarian carcinoma.

Applications

Unspecified application

Species

Unspecified reactive species

Yi Liu,Yichi Xu,Mengying Jiang,Weinan Chen,Xueqiong Zhu
View all publications

Product promise

We are committed to supporting your work with high-quality reagents, and we're here for you every step of the way. In the unlikely event that one of our products does not perform as expected, you're protected by our Product Promise.
For full details, please see our Terms & Conditions

Please note: All products are 'FOR RESEARCH USE ONLY. NOT FOR USE IN DIAGNOSTIC OR THERAPEUTIC PROCEDURES'.

For licensing inquiries, please contact partnerships@abcam.com