JavaScript is disabled in your browser. Please enable JavaScript to view this website.
AB317846

Anti-Dnmt1 antibody [RM1192] - BSA and Azide free

  • BOND RX™ Validated
  • Recombinant
  • RabMAb
  • KO Validated
  • What is this?

Be the first to review this product! Submit a review

|

(0 Publication)

Knockout Tested Rabbit Recombinant Multiclonal DNMT1 antibody. Carrier free. Suitable for WB, IP, IHC-P, ICC/IF, Flow Cyt (Intra) and reacts with Human, Mouse, Rat samples.

View Alternative Names

AIM, CXXC9, DNMT, DNMT1, DNA (cytosine-5)-methyltransferase 1, Dnmt1, CXXC-type zinc finger protein 9, DNA methyltransferase HsaI, MCMT, DNA MTase HsaI, M.HsaI

12 Images
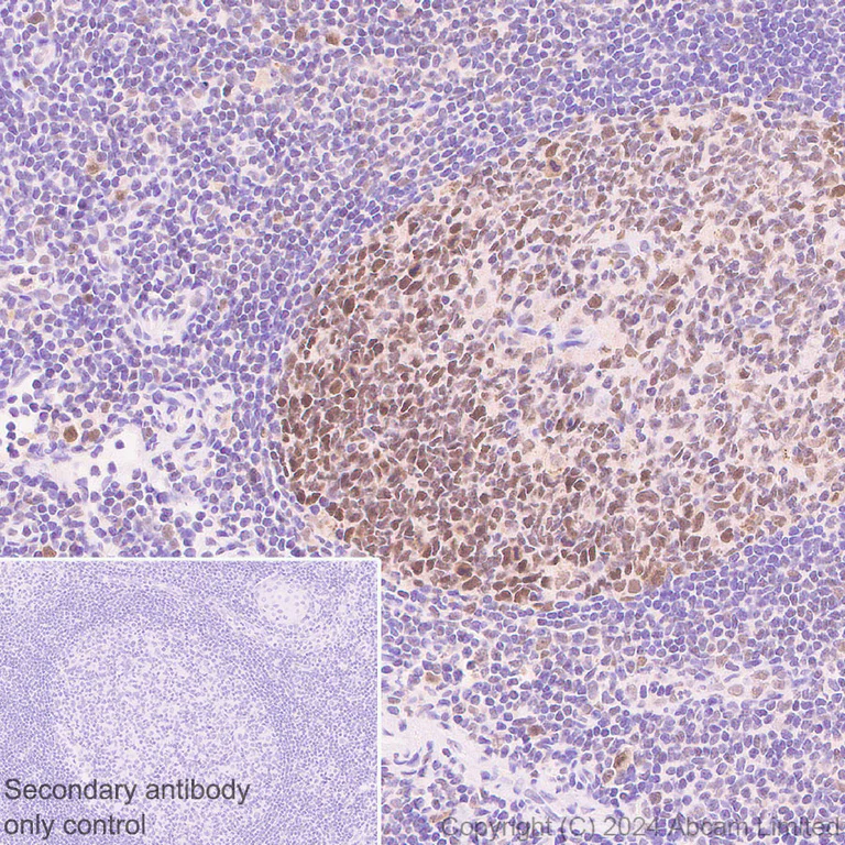
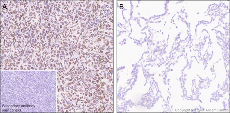
Immunohistochemistry (Formalin/PFA-fixed paraffin-embedded sections) - Anti-Dnmt1 antibody [RM1192] - BSA and Azide free (AB317846)
  • IHC-P

Supplier Data

Immunohistochemistry (Formalin/PFA-fixed paraffin-embedded sections) - Anti-Dnmt1 antibody [RM1192] - BSA and Azide free (AB317846)

This data was developed using ab317845, the same antibody clone in a different buffer formulation.

Immunohistochemical analysis of paraffin-embedded Human tonsil tissue labeling Dnmt1 with ab317845 at 1/500 (1.062 ug/ml) dilution, followed by a ready to use Goat Anti-Rabbit IgG H&L (HRP polymer) (ab214880).

Positve staining on human tonsil. The section was incubated with ab317845 at 4°C overnight.

Counterstained with Hematoxylin.

Secondary antibody only control : Secondary antibody is a ready to use Goat Anti-Rabbit IgG H&L (HRP polymer) (ab214880).

Heat mediated antigen retrieval was performed using ab93684 (Tris/EDTA buffer, pH 9.0)

Immunohistochemistry (Formalin/PFA-fixed paraffin-embedded sections) - Anti-Dnmt1 antibody [RM1192] - BSA and Azide free (AB317846)
  • IHC-P

Supplier Data

Immunohistochemistry (Formalin/PFA-fixed paraffin-embedded sections) - Anti-Dnmt1 antibody [RM1192] - BSA and Azide free (AB317846)

This data was developed using ab317845, the same antibody clone in a different buffer formulation.

Immunohistochemical analysis of paraffin-embedded A Wild-type HAP1 (human chronic myelogenous leukemia near-haploid cell) cell pellet. B Dnmt1 knockout HAP1 cell pellet. tissue labeling Dnmt1 with ab317845 at 1/500 (1.062 ug/ml) dilution, followed by a ready to use LeicaDS9800 (Bond™ Polymer Refine Detection).

Positive staining on (A) wild-type HAP1 cell pellet, no staining on (B) Dnmt1 knockout HAP1 cell pellet. The section was incubated with ab317845 for 30 mins at room temperature.
The immunostaining was performed on a Leica Biosystems BOND® RX instrument

Counterstained with Hematoxylin.

Secondary antibody only control : Secondary antibody is a ready to use LeicaDS9800 (Bond™ Polymer Refine Detection).

Heat mediated antigen retrieval was performed with Tris-EDTA buffer (pH 9.0, Epitope Retrieval Solution2) for 20 mins

Flow Cytometry (Intracellular) - Anti-Dnmt1 antibody [RM1192] - BSA and Azide free (AB317846)
  • Flow Cyt (Intra)

Supplier Data

Flow Cytometry (Intracellular) - Anti-Dnmt1 antibody [RM1192] - BSA and Azide free (AB317846)

This data was developed using ab317845, the same antibody clone in a different buffer formulation.

Flow cytometric analysis of 4% paraformaldehyde fixed 90% methanol permeabilized Parental HAP1 (HOWT01) (human chronic myelogenous leukemia near-haploid cell) (Left) / DNMT1 knockout HAP1(HO010163) (Right) cells labelling Dnmt1 with ab317845 at 1/5000 dilution (0.1ug) (Magenta) compared with a Rabbit monoclonal IgG (ab172730) (Black) isotype control and an unlabelled control (cells without incubation with primary antibody and secondary antibody).

Goat Anti-Rabbit IgG (Alexa Fluor® 488, ab150081) at 1/5000 dilution was used as the secondary antibody.

Immunocytochemistry/ Immunofluorescence - Anti-Dnmt1 antibody [RM1192] - BSA and Azide free (AB317846)
  • ICC/IF

Supplier Data

Immunocytochemistry/ Immunofluorescence - Anti-Dnmt1 antibody [RM1192] - BSA and Azide free (AB317846)

This data was developed using ab317845, the same antibody clone in a different buffer formulation.

Immunofluorescent analysis of 4% Paraformaldehyde-fixed, 0.1% TritonX-100 permeabilized parental HAP1(HOWT01) (human chronic myelogenous leukemia near-haploid cell) cells labelling Dnmt1 with ab317845 at 1/500 (1.062 ug/ml) dilution, followed by ab150081 Goat Anti-Rabbit IgG H&L (Alexa Fluor® 488) preadsorbed antibody at 1/1000 2 ug/ml dilution (Green).

Confocal image showing nuclear staining in wildtype HAP1 cell line (shown in green) and no staining in DNMT1 KO HAP1 cell line. The counterstain was observed in magenta. Nuclear DNA was labeled with DAPI (shown in blue). Image was taken with a confocal microscope (Leica-Microsystems, TCS SP8).

ab195889 Anti-alpha Tubulin mouse monoclonal antibody - Microtubule Marker (Alexa Fluor® 594) was used to counterstain tubulin at 1/200 2.5ug/ml dilution (Magenta). The Nuclear counterstain was DAPI (Blue).

Secondary antibody only control : Secondary antibody is ab150081 Goat Anti-Rabbit IgG H&L (Alexa Fluor® 488) preadsorbed at 1/1000 2 ug/ml dilution.

Immunoprecipitation - Anti-Dnmt1 antibody [RM1192] - BSA and Azide free (AB317846)
  • IP

Supplier Data

Immunoprecipitation - Anti-Dnmt1 antibody [RM1192] - BSA and Azide free (AB317846)

This data was developed using ab317845, the same antibody clone in a different buffer formulation.

Dnmt1 was immunoprecipitated from 0.35 mg HeLa (human cervical adenocarcinoma epithelial cell) whole cell lysate with ab317845 at 1/30 dilution (2ug in 0.35mg lysates). Western blot was performed on the immunoprecipitate using ab317845 at 1/1000 dilution. VeriBlot for IP secondary antibody(HRP)(ab131366) was used at 1/5000 dilution.

Lane 1 : HeLa (human cervical adenocarcinoma epithelial cell) whole cell lysate
Lane 2 : ab317845 IP in HeLa (human cervical adenocarcinoma epithelial cell) whole cell lysate
Lane 3 : Rabbit monoclonal IgG (ab172730) instead of ab317845 in HeLa whole cell lysate

Blocking and dilution buffer and concentration : 5% NFDM/TBST

The bands beneath the target band are likely to be degraded target fragments.

All lanes:

Immunoprecipitation - Anti-Dnmt1 antibody [RM1192] (<a href='/en-us/products/primary-antibodies/dnmt1-antibody-rm1192-ab317845'>ab317845</a>) at 1/30 dilution

All lanes:

HeLa (human cervical adenocarcinoma epithelial cell) whole cell lysate

Secondary

All lanes:

Immunoprecipitation - VeriBlot for IP Detection Reagent (HRP) (<a href='/en-us/products/reagents/veriblot-for-ip-detection-reagent-hrp-ab131366'>ab131366</a>) at 1/5000 dilution

false

Exposure time: 8s

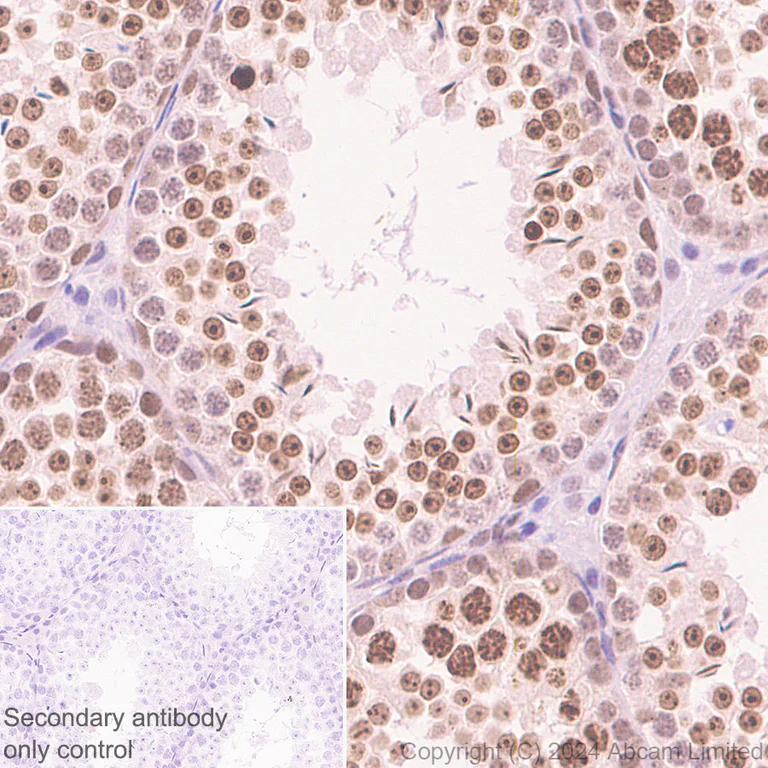
Immunohistochemistry (Formalin/PFA-fixed paraffin-embedded sections) - Anti-Dnmt1 antibody [RM1192] - BSA and Azide free (AB317846)
  • IHC-P

Supplier Data

Immunohistochemistry (Formalin/PFA-fixed paraffin-embedded sections) - Anti-Dnmt1 antibody [RM1192] - BSA and Azide free (AB317846)

This data was developed using ab317845, the same antibody clone in a different buffer formulation.

Immunohistochemical analysis of paraffin-embedded Rat testis tissue labeling Dnmt1 with ab317845 at 1/100 (5.31 ug/ml) dilution, followed by a ready to use Goat Anti-Rabbit IgG H&L (HRP polymer) (ab214880).

Positive staining on rat testis. The section was incubated with ab317845 at 4°C overnight.

Counterstained with Hematoxylin.

Secondary antibody only control : Secondary antibody is a ready to use Goat Anti-Rabbit IgG H&L (HRP polymer) (ab214880).

Heat mediated antigen retrieval was performed using ab93678 (citrate buffer, pH 6.0)

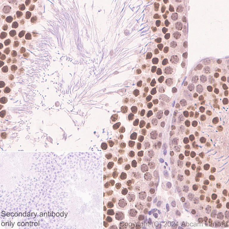
Immunohistochemistry (Formalin/PFA-fixed paraffin-embedded sections) - Anti-Dnmt1 antibody [RM1192] - BSA and Azide free (AB317846)
  • IHC-P

Supplier Data

Immunohistochemistry (Formalin/PFA-fixed paraffin-embedded sections) - Anti-Dnmt1 antibody [RM1192] - BSA and Azide free (AB317846)

This data was developed using ab317845, the same antibody clone in a different buffer formulation.

Immunohistochemical analysis of paraffin-embedded Mouse testis tissue labeling Dnmt1 with ab317845 at 1/100 (5.31 ug/ml) dilution, followed by a ready to use Goat Anti-Rabbit IgG H&L (HRP polymer) (ab214880).

Positive staining on mouse testis. The section was incubated with ab317845 at 4°C overnight.

Counterstained with Hematoxylin.

Secondary antibody only control : Secondary antibody is a ready to use Goat Anti-Rabbit IgG H&L (HRP polymer) (ab214880).

Heat mediated antigen retrieval was performed using ab93678 (citrate buffer, pH 6.0)

Immunocytochemistry/ Immunofluorescence - Anti-Dnmt1 antibody [RM1192] - BSA and Azide free (AB317846)
  • ICC/IF

Supplier Data

Immunocytochemistry/ Immunofluorescence - Anti-Dnmt1 antibody [RM1192] - BSA and Azide free (AB317846)

This data was developed using ab317845, the same antibody clone in a different buffer formulation.

Immunofluorescent analysis of 4% Paraformaldehyde-fixed, 0.1% TritonX-100 permeabilized Neuro-2a (mouse neuroblastoma neuroblast) cells labelling Dnmt1 with ab317845 at 1/500 (1.062 ug/ml) dilution, followed by ab150081 Goat Anti-Rabbit IgG H&L (Alexa Fluor® 488) preadsorbed antibody at 1/1000 2 ug/ml dilution (Green).

Confocal image showing nuclear staining in neuro-2a cell line (shown in green). The counterstain was observed in magenta. Nuclear DNA was labeled with DAPI (shown in blue). Image was taken with a confocal microscope (Leica-Microsystems, TCS SP8).

ab195889 Anti-alpha Tubulin mouse monoclonal antibody - Microtubule Marker (Alexa Fluor® 594) was used to counterstain tubulin at 1/200 2.5ug/ml dilution (Magenta). The Nuclear counterstain was DAPI (Blue).

Secondary antibody only control : Secondary antibody is ab150081 Goat Anti-Rabbit IgG H&L (Alexa Fluor® 488) preadsorbed at 1/1000 2 ug/ml dilution.

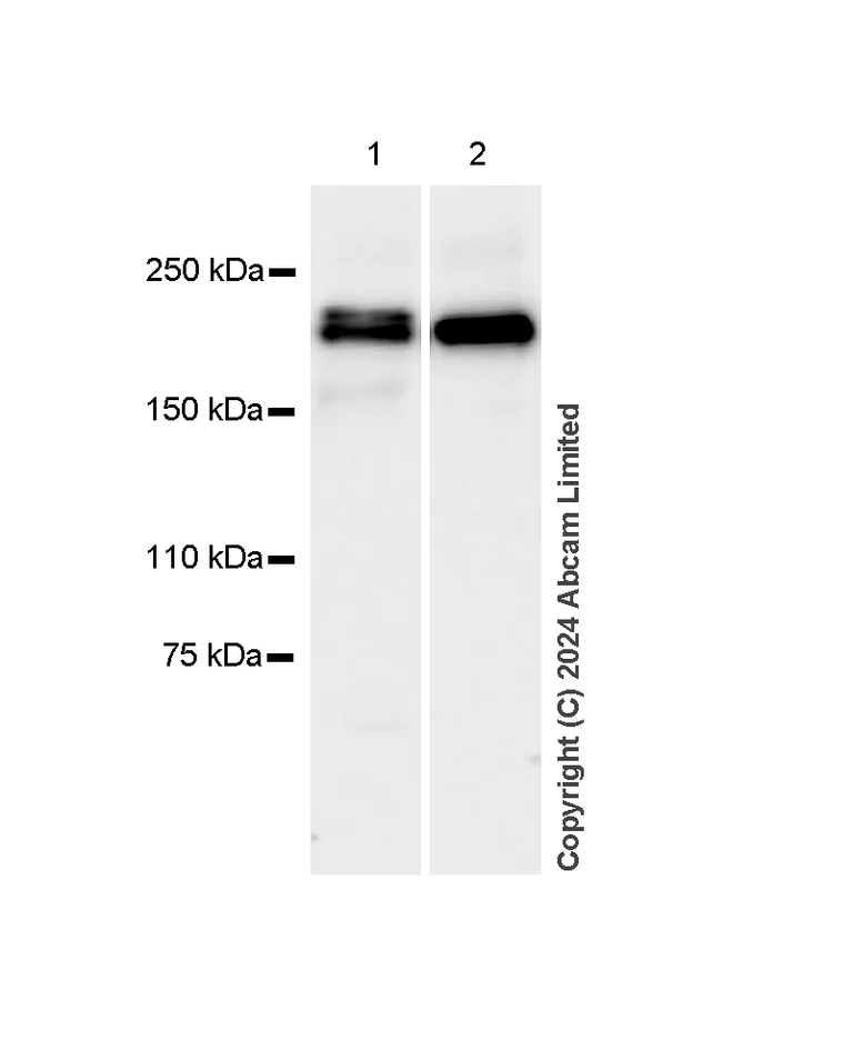
Western blot - Anti-Dnmt1 antibody [RM1192] - BSA and Azide free (AB317846)
  • WB

Supplier Data

Western blot - Anti-Dnmt1 antibody [RM1192] - BSA and Azide free (AB317846)

This data was developed using ab317845, the same antibody clone in a different buffer formulation.

Blocking and diluting buffer and concentration : 5% NFDM/TBST.

The expression profile/ molecular weight observed is consistent with what has been described in the literature (PMID : 31426844).

The lysates were freshly made and used for Western Blotting immediately to minimize protein degradation.

Exposure time : Lane 1-2 : 10 seconds Lane 2 : 70 seconds

All lanes:

Western blot - Anti-Dnmt1 antibody [RM1192] (<a href='/en-us/products/primary-antibodies/dnmt1-antibody-rm1192-ab317845'>ab317845</a>) at 1/1000 dilution

Lane 1:

HeLa (human cervical adenocarcinoma epithelial cell) whole cell lysate at 20 µg

Lane 2:

293T (human embryonic kidney epithelial cell) whole cell lysate at 20 µg

Lane 3:

NIH/3T3 (mouse embryonic fibroblast) whole cell lysate at 20 µg

Secondary

All lanes:

Western blot - Goat Anti-Rabbit IgG H&L (HRP) (<a href='/en-us/products/secondary-antibodies/goat-rabbit-igg-h-l-hrp-ab97051'>ab97051</a>) at 1/20000 dilution

Observed band size: 183 kDa,184 kDa

false

Western blot - Anti-Dnmt1 antibody [RM1192] - BSA and Azide free (AB317846)
  • WB

Supplier Data

Western blot - Anti-Dnmt1 antibody [RM1192] - BSA and Azide free (AB317846)

This data was developed using ab317845, the same antibody clone in a different buffer formulation.

Blocking and diluting buffer and concentration : 5% NFDM/TBST.

The expression profile/ molecular weight observed is consistent with what has been described in the literature (PMID : 31426844).

The lysates were suggested freshly made and used for Western Blotting immediately to minimize protein degradation.

Exposure time : Lane 1 : 180 seconds Lane 2 : 70 seconds

All lanes:

Western blot - Anti-Dnmt1 antibody [RM1192] (<a href='/en-us/products/primary-antibodies/dnmt1-antibody-rm1192-ab317845'>ab317845</a>) at 1/1000 dilution

Lane 1:

Frozen HeLa (human cervical adenocarcinoma epithelial cell) whole cell lysate at 20 µg

Lane 2:

Fresh HeLa (human cervical adenocarcinoma epithelial cell) whole cell lysate at 20 µg

Secondary

All lanes:

Western blot - Goat Anti-Rabbit IgG H&L (HRP) (<a href='/en-us/products/secondary-antibodies/goat-rabbit-igg-h-l-hrp-ab97051'>ab97051</a>) at 1/20000 dilution

Observed band size: 183 kDa,184 kDa

false

Western blot - Anti-Dnmt1 antibody [RM1192] - BSA and Azide free (AB317846)
  • WB

Supplier Data

Western blot - Anti-Dnmt1 antibody [RM1192] - BSA and Azide free (AB317846)

This data was developed using ab317845, the same antibody clone in a different buffer formulation.

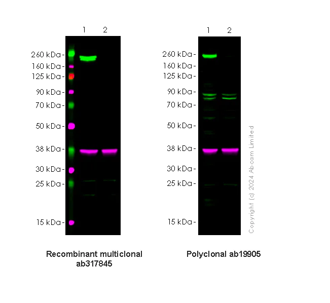
Blocking and diluting buffer and concentration : Intercept® (TBS) Blocking Buffer diluted with an equal volume of TBS.

Lysates at 20 µg per lane.

The samples were run on a Bis-Tris gel under reducing conditions.

Western blot : Anti-Dnmt1 antibody (ab317845) staining at 1/1000 dilution and Anti-Dnmt1 antibody (ab19905) staining at 1/1000 dilution, shown in green; Mouse anti-GAPDH antibody [6C5](ab8245) loading control staining at 1/20000 dilution, shown in magenta.

In Western blot, ab317845 was shown to bind specifically to Dnmt1. Target of interest was observed at 183-184 kDa in wild-type HAP1 cell lysates (lane 1) with no signal observed at this size in Dnmt1 knockout cell line (lane 2). To generate this image, samples were first run on an SDS-PAGE gel then transferred onto an immobilon-FL PVDF membrane. Membranes were blocked in a fluorescent western blot (TBS-based) blocking solution before incubation with primary antibodies overnight at 4 °C. Blots were washed in TBS-T, incubated with secondary antibodies Goat anti-Rabbit IgG H&L 800CW and Goat anti-Mouse IgG H&L 680RD at 1/20000 dilution for 1 h at room temperature, washed again then imaged.

The expression profile/ molecular weight observed is consistent with what has been described in the literature (PMID : 31426844).

All lanes:

Western blot - Anti-Dnmt1 antibody [RM1192] (<a href='/en-us/products/primary-antibodies/dnmt1-antibody-rm1192-ab317845'>ab317845</a>) at 1/1000 dilution

Lane 1:

Wild-type HAP1 (human chronic myelogenous leukemia near-haploid cell) whole cell lysate at 20 µg

Lane 2:

Dnmt1 knockout HAP1 whole cell lysate at 20 µg

Secondary

All lanes:

Goat Anti-Rabbit IgG H&L (800CW) and Goat Anti-Mouse IgG H&L (680RD) at 1/20000 dilution

Observed band size: 183 kDa,184 kDa,36 kDa

false

Exposure time: 180s

Western blot - Anti-Dnmt1 antibody [RM1192] - BSA and Azide free (AB317846)
  • WB

Supplier Data

Western blot - Anti-Dnmt1 antibody [RM1192] - BSA and Azide free (AB317846)

This data was developed using ab317845, the same antibody clone in a different buffer formulation.

Blocking and diluting buffer and concentration : 5% NFDM/TBST.

The expression profile/ molecular weight observed is consistent with what has been described in the literature (PMID : 31426844).

The lysates were freshly made and used for Western Blotting immediately to minimize protein degradation.

All lanes:

Western blot - Anti-Dnmt1 antibody [RM1192] (<a href='/en-us/products/primary-antibodies/dnmt1-antibody-rm1192-ab317845'>ab317845</a>) at 1/1000 dilution

Lane 1:

Neuro-2a (mouse neuroblastoma neuroblast) whole cell lysate at 20 µg

Lane 2:

SH-SY5Y (human neuroblastoma epithelial cell) whole cell lysate at 20 µg

Secondary

All lanes:

Western blot - Goat Anti-Rabbit IgG H&L (HRP) (<a href='/en-us/products/secondary-antibodies/goat-rabbit-igg-h-l-hrp-ab97051'>ab97051</a>) at 1/20000 dilution

Observed band size: 183 kDa,184 kDa

false

Exposure time: 59s

Key facts

Host species

Rabbit

Clonality

Multiclonal

Clone number

RM1192

Isotype

IgG

Carrier free

Yes

Reacts with

Human, Mouse, Rat

Applications

IP, WB, Flow Cyt (Intra), IHC-P, ICC/IF

applications

Immunogen

The exact immunogen used to generate this antibody is proprietary information.

Specificity

Unsuitable for mouse IP and rat ICC.

Reactivity data

{ "title": "Reactivity Data", "filters": { "stats": ["", "Species", "Dilution Info", "Notes"], "tabs": { "all-applications": {"fullname" : "All Applications", "shortname": "All Applications"}, "WB" : {"fullname" : "Western blot", "shortname":"WB"}, "IP" : {"fullname" : "Immunoprecipitation", "shortname":"IP"}, "IHCP" : {"fullname" : "Immunohistochemistry (Formalin/PFA-fixed paraffin-embedded sections)", "shortname":"IHC-P"}, "ICCIF" : {"fullname" : "Immunocytochemistry/ Immunofluorescence", "shortname":"ICC/IF"}, "FlowCytIntra" : {"fullname" : "Flow Cytometry (Intracellular)", "shortname":"Flow Cyt (Intra)"} }, "product-promise": { "all": "all", "testedAndGuaranteed": "tested", "guaranteed": "expected", "predicted": "predicted", "notRecommended": "not-recommended" } }, "values": { "Human": { "WB-species-checked": "testedAndGuaranteed", "WB-species-dilution-info": "", "WB-species-notes": "<p></p>", "IP-species-checked": "testedAndGuaranteed", "IP-species-dilution-info": "", "IP-species-notes": "<p></p>", "IHCP-species-checked": "testedAndGuaranteed", "IHCP-species-dilution-info": "", "IHCP-species-notes": "<p></p>", "ICCIF-species-checked": "testedAndGuaranteed", "ICCIF-species-dilution-info": "", "ICCIF-species-notes": "<p></p>", "FlowCytIntra-species-checked": "testedAndGuaranteed", "FlowCytIntra-species-dilution-info": "", "FlowCytIntra-species-notes": "<p></p>" }, "Mouse": { "WB-species-checked": "testedAndGuaranteed", "WB-species-dilution-info": "", "WB-species-notes": "<p></p>", "IP-species-checked": "notRecommended", "IP-species-dilution-info": "", "IP-species-notes": "<p></p>", "IHCP-species-checked": "testedAndGuaranteed", "IHCP-species-dilution-info": "", "IHCP-species-notes": "<p></p>", "ICCIF-species-checked": "testedAndGuaranteed", "ICCIF-species-dilution-info": "", "ICCIF-species-notes": "<p></p>", "FlowCytIntra-species-checked": "guaranteed", "FlowCytIntra-species-dilution-info": "", "FlowCytIntra-species-notes": "" }, "Rat": { "WB-species-checked": "guaranteed", "WB-species-dilution-info": "", "WB-species-notes": "", "IP-species-checked": "guaranteed", "IP-species-dilution-info": "", "IP-species-notes": "", "IHCP-species-checked": "testedAndGuaranteed", "IHCP-species-dilution-info": "", "IHCP-species-notes": "<p></p>", "ICCIF-species-checked": "notRecommended", "ICCIF-species-dilution-info": "", "ICCIF-species-notes": "<p></p>", "FlowCytIntra-species-checked": "guaranteed", "FlowCytIntra-species-dilution-info": "", "FlowCytIntra-species-notes": "" } } }

Product details

ab317846 is the carrier-free version of ab317845.

What are recombinant multiclonals?
Recombinant multiclonals are a mixture of recombinant antibodies co-expressed from a library of heavy and light chains. They offer several advantages including:

  • - The sensitivity of polyclonal antibodies by recognising multiple epitopes
  • - High batch-to-batch consistency and reproducibility
  • - Improved sensitivity and specificity
  • - Long-term security of supply
  • - Animal-free batch production

View our range of recombinant multiclonal antibodies.

Patented technology
Our RabMAb® technology is a patented hybridoma-based technology for making rabbit monoclonal antibodies. For details on our patents, please refer to RabMAb® patents.

Conjugation ready
Our carrier-free antibodies are typically supplied in a PBS-only formulation, purified and free of BSA, sodium azide and glycerol. This conjugation-ready format is designed for use with fluorochromes, metal isotopes, oligonucleotides, and enzymes, which makes them ideal for antibody labelling, functional and cell-based assays, flow-based assays (e.g. mass cytometry) and Multiplex Imaging applications.

Use our conjugation kits for antibody conjugates that are ready-to-use in as little as 20 minutes with 1 minute hands-on-time and 100% antibody recovery: available for fluorescent dyes, HRP, biotin and gold.

Compatibility
This product is compatible with the Maxpar® Antibody Labeling Kit from Fluidigm, without the need for antibody preparation. Maxpar® is a trademark of Fluidigm Canada Inc.

Properties and storage information

Form
Liquid
Purification technique
Affinity purification Protein A
Storage buffer
pH: 7.2 - 7.4 Constituents: PBS
Shipped at conditions
Blue Ice
Appropriate short-term storage conditions
+4°C
Appropriate long-term storage conditions
+4°C

Product protocols

For this product, it's our understanding that no specific protocols are required. You can visit:

Target data

Methylates CpG residues. Preferentially methylates hemimethylated DNA. Associates with DNA replication sites in S phase maintaining the methylation pattern in the newly synthesized strand, that is essential for epigenetic inheritance. Associates with chromatin during G2 and M phases to maintain DNA methylation independently of replication. It is responsible for maintaining methylation patterns established in development. DNA methylation is coordinated with methylation of histones. Mediates transcriptional repression by direct binding to HDAC2. In association with DNMT3B and via the recruitment of CTCFL/BORIS, involved in activation of BAG1 gene expression by modulating dimethylation of promoter histone H3 at H3K4 and H3K9. Probably forms a corepressor complex required for activated KRAS-mediated promoter hypermethylation and transcriptional silencing of tumor suppressor genes (TSGs) or other tumor-related genes in colorectal cancer (CRC) cells (PubMed : 24623306). Also required to maintain a transcriptionally repressive state of genes in undifferentiated embryonic stem cells (ESCs) (PubMed : 24623306). Associates at promoter regions of tumor suppressor genes (TSGs) leading to their gene silencing (PubMed : 24623306). Promotes tumor growth (PubMed : 24623306).
See full target information DNMT1

Product promise

We are committed to supporting your work with high-quality reagents, and we're here for you every step of the way. In the unlikely event that one of our products does not perform as expected, you're protected by our Product Promise.
For full details, please see our Terms & Conditions

Please note: All products are 'FOR RESEARCH USE ONLY. NOT FOR USE IN DIAGNOSTIC OR THERAPEUTIC PROCEDURES'.

For licensing inquiries, please contact partnerships@abcam.com