JavaScript is disabled in your browser. Please enable JavaScript to view this website.
AB254009

Anti-Dnmt3a antibody [EPR18455-94] - BSA and Azide free

  • BOND RX™ Validated
  • RabMAb
  • Recombinant
  • KO Validated
  • Advanced Validation
  • What is this?

Be the first to review this product! Submit a review

|

(1 Publication)

Rabbit Recombinant Monoclonal Dnmt3a antibody. Carrier free. Suitable for ChIC/CUT&RUN-seq, WB, IHC-P and reacts with Human, Mouse, Rat samples. Cited in 1 publication.

View Alternative Names

DNA (cytosine-5)-methyltransferase 3A, Dnmt3a, Cysteine methyltransferase DNMT3A, DNA methyltransferase HsaIIIA, DNA MTase HsaIIIA, M.HsaIIIA, DNMT3A

7 Images
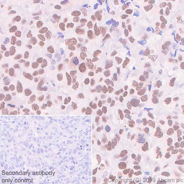
Immunohistochemistry (Formalin/PFA-fixed paraffin-embedded sections) - Anti-Dnmt3a antibody [EPR18455-94] - BSA and Azide free (AB254009)
  • IHC-P

Unknown

Immunohistochemistry (Formalin/PFA-fixed paraffin-embedded sections) - Anti-Dnmt3a antibody [EPR18455-94] - BSA and Azide free (AB254009)

Immunohistochemical analysis of paraffin-embedded human breast carcinoma tissue labeling Dnmt3a with ab227823 at 1/200 dilution, followed by Rabbit specific IHC polymer detection kit HRP/DAB (ab209101). Nuclear staining on the human breast carcinoma (PMID : 24464625) is observed. Counter stained with hematoxylin.

Secondary antibody only control : Used PBS instead of primary antibody, secondary antibody is Rabbit specific IHC polymer detection kit HRP/DAB (ab209101).

This data was developed using the same antibody clone in a different buffer formulation containing PBS, BSA, glycerol, and sodium azide (ab227823).

Heat mediated antigen retrieval with Tris-EDTA buffer (pH 9.0, epitope retrieval solution 2) for 20 minutes.

The section was incubated with ab227823 for 30 mins at room temperature.

The immunostaining was performed on a Leica Biosystems BOND® RX instrument.

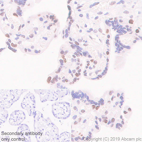
Immunohistochemistry (Formalin/PFA-fixed paraffin-embedded sections) - Anti-Dnmt3a antibody [EPR18455-94] - BSA and Azide free (AB254009)
  • IHC-P

Unknown

Immunohistochemistry (Formalin/PFA-fixed paraffin-embedded sections) - Anti-Dnmt3a antibody [EPR18455-94] - BSA and Azide free (AB254009)

Immunohistochemical analysis of paraffin-embedded human placenta tissue labeling Dnmt3a with ab227823 at 1/200 dilution, followed by Rabbit specific IHC polymer detection kit HRP/DAB (ab209101). Nuclear staining on the human placenta (PMID : 22413869) is observed. Counter stained with hematoxylin.

Secondary antibody only control : Used PBS instead of primary antibody, secondary antibody is Rabbit specific IHC polymer detection kit HRP/DAB (ab209101).

This data was developed using the same antibody clone in a different buffer formulation containing PBS, BSA, glycerol, and sodium azide (ab227823).

Heat mediated antigen retrieval with Tris-EDTA buffer (pH 9.0, epitope retrieval solution 2) for 20 minutes.

The section was incubated with ab227823 for 30 mins at room temperature.

The immunostaining was performed on a Leica Biosystems BOND® RX instrument.

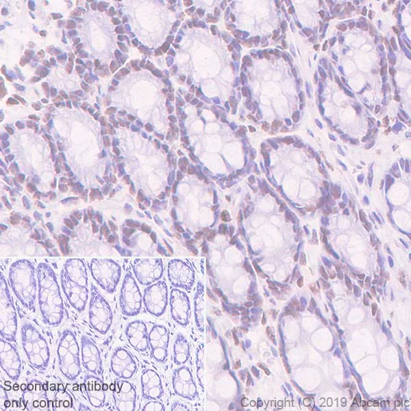
Immunohistochemistry (Formalin/PFA-fixed paraffin-embedded sections) - Anti-Dnmt3a antibody [EPR18455-94] - BSA and Azide free (AB254009)
  • IHC-P

Unknown

Immunohistochemistry (Formalin/PFA-fixed paraffin-embedded sections) - Anti-Dnmt3a antibody [EPR18455-94] - BSA and Azide free (AB254009)

Immunohistochemical analysis of paraffin-embedded rat colon tissue labeling Dnmt3a with ab227823 at 1/200 dilution, followed by Rabbit specific IHC polymer detection kit HRP/DAB (ab209101). Nuclear staining on the rat colon (PMID : 24837369) is observed. Counter stained with hematoxylin.

Secondary antibody only control : Used PBS instead of primary antibody, secondary antibody is Rabbit specific IHC polymer detection kit HRP/DAB (ab209101).

This data was developed using the same antibody clone in a different buffer formulation containing PBS, BSA, glycerol, and sodium azide (ab227823).

Heat mediated antigen retrieval with Tris-EDTA buffer (pH 9.0, epitope retrieval solution 2) for 20 minutes.

The section was incubated with ab227823 for 30 mins at room temperature.

The immunostaining was performed on a Leica Biosystems BOND® RX instrument.

Immunohistochemistry (Formalin/PFA-fixed paraffin-embedded sections) - Anti-Dnmt3a antibody [EPR18455-94] - BSA and Azide free (AB254009)
  • IHC-P

Unknown

Immunohistochemistry (Formalin/PFA-fixed paraffin-embedded sections) - Anti-Dnmt3a antibody [EPR18455-94] - BSA and Azide free (AB254009)

Immunohistochemical analysis of paraffin-embedded mouse colon tissue labeling Dnmt3a with ab227823 at 1/200 dilution, followed by Rabbit specific IHC polymer detection kit HRP/DAB (ab209101). Nuclear staining on the mouse colon (PMID : 24837369) is observed. Counter stained with hematoxylin.

Secondary antibody only control : Used PBS instead of primary antibody, secondary antibody is Rabbit specific IHC polymer detection kit HRP/DAB (ab209101).

This data was developed using the same antibody clone in a different buffer formulation containing PBS, BSA, glycerol, and sodium azide (ab227823).

Heat mediated antigen retrieval with Tris-EDTA buffer (pH 9.0, epitope retrieval solution 2) for 20 minutes.

The section was incubated with ab227823 for 30 mins at room temperature.

The immunostaining was performed on a Leica Biosystems BOND® RX instrument.

Western blot - Anti-Dnmt3a antibody [EPR18455-94] - BSA and Azide free (AB254009)
  • WB

Lab

Western blot - Anti-Dnmt3a antibody [EPR18455-94] - BSA and Azide free (AB254009)

This data was developed using the same antibody clone in a different buffer formulation (ab227823).

Lanes 1-4 : Merged signal (red and green). Green - ab227823 observed at 125 kDa. Red - loading control ab8245 observed at 37 kDa.

ab227823 Anti-Dnmt3a antibody [EPR18455-94] was shown to specifically react with Dnmt3a in wild-type HeLa cells. Loss of signal was observed when knockout cell line ab261793 (knockout cell lysate ab257128) was used. Wild-type and Dnmt3a knockout samples were subjected to SDS-PAGE. ab227823 and Anti-GAPDH antibody [6C5] - Loading Control (ab8245) were incubated overnight at 4°C at 1 in 1000 dilution and 1 in 20000 dilution respectively. Blots were developed with Goat anti-Rabbit IgG H&L (IRDye® 800CW) preadsorbed (ab216773) and Goat anti-Mouse IgG H&L (IRDye® 680RD) preadsorbed (ab216776) secondary antibodies at 1 in 20000 dilution for 1 hour at room temperature before imaging.

All lanes:

Western blot - Anti-Dnmt3a antibody [EPR18455-94] (<a href='/en-us/products/primary-antibodies/dnmt3a-antibody-epr18455-94-ab227823'>ab227823</a>) at 1/1000 dilution

Lane 1:

Wild-type HeLa cell lysate at 20 µg

Lane 2:

Dnmt3a knockout HeLa cell lysate at 20 µg

Lane 2:

Western blot - Human DNMT3A knockout HeLa cell line (<a href='/en-us/products/cell-lines/human-dnmt3a-knockout-hela-cell-line-ab261793'>ab261793</a>)

Lane 3:

HEK-293 cell lysate at 20 µg

Lane 4:

Daudi cell lysate at 20 µg

Secondary

All lanes:

Western blot - Goat anti-Rabbit IgG H&L (IRDye® 800CW) preadsorbed (<a href='/en-us/products/secondary-antibodies/goat-rabbit-igg-h-l-irdye-800cw-preadsorbed-ab216773'>ab216773</a>) at 1/20000 dilution

Predicted band size: 102 kDa

Observed band size: 125 kDa

false

ChIC/CUT&RUN sequencing - Anti-Dnmt3a antibody [EPR18455-94] - BSA and Azide free (AB254009)
  • ChIC/CUT&RUN-seq

Supplier Data

ChIC/CUT&RUN sequencing - Anti-Dnmt3a antibody [EPR18455-94] - BSA and Azide free (AB254009)

This data was developed using the same antibody clone in a different buffer formulation containing PBS, BSA, glycerol, and sodium azide (ab227823)

CUT&RUN profiling with Dnmt3a antibody reveals the expected genomic enrichment pattern in cells. Representative genome browser tracks show CUT&RUN data generated using the CUTANA™ CUT&RUN Kit (EpiCypher 14-1048) with Dnmt3a antibody (Abcam ab227823, 0.5 µg). 500,000 HeLa cells were used per reaction. IgG, H3K4me3, and H3K27me3 antibodies were included as controls to assess non-specific background, active promoters, and repressed chromatin, respectively. Libraries were prepared using the CUTANA™ CUT&RUN Library Prep Kit (EpiCypher 14-1001). Sequencing was performed with paired-end 50 bp reads, and data were processed on CUTANA™ Cloud (cloud.epicypher.com) by alignment to the hg38 genome. Images were generated using Integrative Genomics Viewer (IGV, Broad Institute).

Western blot - Anti-Dnmt3a antibody [EPR18455-94] - BSA and Azide free (AB254009)
  • WB

Supplier Data

Western blot - Anti-Dnmt3a antibody [EPR18455-94] - BSA and Azide free (AB254009)

Blocking and dilution buffer : 5% NFDM/TBST.

ab227823 was shown to specifically react with wild-type HAP1 cells as signal was lost in Dnmt3a knockout cells. Wild-type and Dnmt3a knockout samples were subjected to SDS-PAGE. ab227823 and ab181602 (Rabbit anti-GAPDH loading control) were incubated 1 hour at room temperature at 1/1000 dilution and 1/200,000 dilution respectively. Blots were developed with Goat Anti-Rabbit IgG, (H+L), Peroxidase conjugated (ab97051) secondary antibody at 1/100,000 dilution for 1 hour at room temperature before imaging. The blot was developed on a BIO-RAD® ChemiDoc™ MP instrument using the ECL technique.

The observed bands ranging from 75~125kDa represent different Dnmt3a isoforms.

This data was developed using the same antibody clone in a different buffer formulation containing PBS, BSA, glycerol, and sodium azide (ab227823).

All lanes:

Western blot - Anti-Dnmt3a antibody [EPR18455-94] - BSA and Azide free (ab254009) at 1/1000 dilution

Lane 1:

Wild-type HAP1 whole cell lysate, 20 ug

Lane 2:

Dnmt3a knockout HAP1 whole cell lysate, 20 ug

Lane 3:

HEK-293T (human epithelial cell line from embryonic kidney transformed with large T antigen) whole cell lysate, 20 ug

Lane 4:

HeLa (human epithelial cell line from cervix adenocarcinoma) whole cell lysate, 20 ug

Lane 5:

NIH/3T3 (mouse embryo fibroblast cell line) whole cell lysate, 20 ug

Secondary

All lanes:

Western blot - Goat Anti-Rabbit IgG H&L (HRP) (<a href='/en-us/products/secondary-antibodies/goat-rabbit-igg-h-l-hrp-ab97051'>ab97051</a>) at 1/100000 dilution

Predicted band size: 102 kDa

false

  • Unconjugated

    Anti-Dnmt3a antibody [EPR18455-94]

  • 519 Alexa Fluor® 488

    Alexa Fluor® 488 Anti-Dnmt3a antibody [EPR18455-94]

  • 665 Alexa Fluor® 647

    Alexa Fluor® 647 Anti-Dnmt3a antibody [EPR18455-94]

  • 565 Alexa Fluor® 555

    Alexa Fluor® 555 Anti-Dnmt3a antibody [EPR18455-94]

  • 617 Alexa Fluor® 594

    Alexa Fluor® 594 Anti-Dnmt3a antibody [EPR18455-94]

  • 578 PE

    PE Anti-Dnmt3a antibody [EPR18455-94]

  • 660 APC

    APC Anti-Dnmt3a antibody [EPR18455-94]

  • 775 Alexa Fluor® 750

    Alexa Fluor® 750 Anti-Dnmt3a antibody [EPR18455-94]

Key facts

Host species

Rabbit

Clonality

Monoclonal

Clone number

EPR18455-94

Isotype

IgG

Carrier free

Yes

Reacts with

Mouse, Rat, Human

Applications

IHC-P, ChIC/CUT&RUN-seq, WB

applications

Immunogen

The exact immunogen used to generate this antibody is proprietary information.

Reactivity data

{ "title": "Reactivity Data", "filters": { "stats": ["", "Species", "Dilution Info", "Notes"], "tabs": { "all-applications": {"fullname" : "All Applications", "shortname": "All Applications"}, "ChICCUTRUNseq" : {"fullname" : "ChIC/CUT&RUN sequencing", "shortname":"ChIC/CUT&RUN-seq"}, "WB" : {"fullname" : "Western blot", "shortname":"WB"}, "IHCP" : {"fullname" : "Immunohistochemistry (Formalin/PFA-fixed paraffin-embedded sections)", "shortname":"IHC-P"}, "ICCIF" : {"fullname" : "Immunocytochemistry/ Immunofluorescence", "shortname":"ICC/IF"}, "FlowCyt" : {"fullname" : "Flow Cytometry", "shortname":"Flow Cyt"}, "ChIP" : {"fullname" : "ChIP", "shortname":"ChIP"}, "IP" : {"fullname" : "Immunoprecipitation", "shortname":"IP"} }, "product-promise": { "all": "all", "testedAndGuaranteed": "tested", "guaranteed": "expected", "predicted": "predicted", "notRecommended": "not-recommended" } }, "values": { "Human": { "ChICCUTRUNseq-species-checked": "testedAndGuaranteed", "ChICCUTRUNseq-species-dilution-info": "", "ChICCUTRUNseq-species-notes": "<p></p>", "WB-species-checked": "testedAndGuaranteed", "WB-species-dilution-info": "", "WB-species-notes": "<p></p>", "IHCP-species-checked": "testedAndGuaranteed", "IHCP-species-dilution-info": "", "IHCP-species-notes": "<p></p>", "ICCIF-species-checked": "notRecommended", "ICCIF-species-dilution-info": "", "ICCIF-species-notes": "<p></p>", "FlowCyt-species-checked": "notRecommended", "FlowCyt-species-dilution-info": "", "FlowCyt-species-notes": "<p></p>", "ChIP-species-checked": "notRecommended", "ChIP-species-dilution-info": "", "ChIP-species-notes": "<p></p>", "IP-species-checked": "notRecommended", "IP-species-dilution-info": "", "IP-species-notes": "<p></p>" }, "Mouse": { "ChICCUTRUNseq-species-checked": "guaranteed", "ChICCUTRUNseq-species-dilution-info": "", "ChICCUTRUNseq-species-notes": "", "WB-species-checked": "testedAndGuaranteed", "WB-species-dilution-info": "", "WB-species-notes": "<p></p>", "IHCP-species-checked": "testedAndGuaranteed", "IHCP-species-dilution-info": "", "IHCP-species-notes": "<p></p>", "ICCIF-species-checked": "notRecommended", "ICCIF-species-dilution-info": "", "ICCIF-species-notes": "<p></p>", "FlowCyt-species-checked": "notRecommended", "FlowCyt-species-dilution-info": "", "FlowCyt-species-notes": "<p></p>", "ChIP-species-checked": "notRecommended", "ChIP-species-dilution-info": "", "ChIP-species-notes": "<p></p>", "IP-species-checked": "notRecommended", "IP-species-dilution-info": "", "IP-species-notes": "<p></p>" }, "Rat": { "ChICCUTRUNseq-species-checked": "guaranteed", "ChICCUTRUNseq-species-dilution-info": "", "ChICCUTRUNseq-species-notes": "", "WB-species-checked": "guaranteed", "WB-species-dilution-info": "", "WB-species-notes": "", "IHCP-species-checked": "testedAndGuaranteed", "IHCP-species-dilution-info": "", "IHCP-species-notes": "<p></p>", "ICCIF-species-checked": "notRecommended", "ICCIF-species-dilution-info": "", "ICCIF-species-notes": "<p></p>", "FlowCyt-species-checked": "notRecommended", "FlowCyt-species-dilution-info": "", "FlowCyt-species-notes": "<p></p>", "ChIP-species-checked": "notRecommended", "ChIP-species-dilution-info": "", "ChIP-species-notes": "<p></p>", "IP-species-checked": "notRecommended", "IP-species-dilution-info": "", "IP-species-notes": "<p></p>" } } }

Product details

ab254009 is the carrier-free version of ab227823.

Patented technology
Our RabMAb® technology is a patented hybridoma-based technology for making rabbit monoclonal antibodies. For details on our patents, please refer to RabMAb® patents.

What are the advantages of a recombinant monoclonal antibody?
This product is a recombinant monoclonal antibody, which offers several advantages including:

  • - High batch-to-batch consistency and reproducibility
  • - Improved sensitivity and specificity
  • - Long-term security of supply
  • - Animal-free batch production

For more information, read more on recombinant antibodies.

Conjugation ready
Our carrier-free antibodies are typically supplied in a PBS-only formulation, purified and free of BSA, sodium azide and glycerol. This conjugation-ready format is designed for use with fluorochromes, metal isotopes, oligonucleotides, and enzymes, which makes them ideal for antibody labelling, functional and cell-based assays, flow-based assays (e.g. mass cytometry) and Multiplex Imaging applications.

Use our conjugation kits for antibody conjugates that are ready-to-use in as little as 20 minutes with 1 minute hands-on-time and 100% antibody recovery: available for fluorescent dyes, HRP, biotin and gold.

Compatibility
This product is compatible with the Maxpar® Antibody Labeling Kit from Fluidigm, without the need for antibody preparation. Maxpar® is a trademark of Fluidigm Canada Inc.

Properties and storage information

Form
Liquid
Purification technique
Affinity purification Protein A
Storage buffer
pH: 7.2 - 7.4 Constituents: PBS
Shipped at conditions
Blue Ice
Appropriate short-term storage conditions
+4°C
Appropriate long-term storage conditions
+4°C
Storage information
Do Not Freeze

Product protocols

For this product, it's our understanding that no specific protocols are required. You can visit:

Target data

Required for genome-wide de novo methylation and is essential for the establishment of DNA methylation patterns during development (PubMed : 12138111, PubMed : 16357870, PubMed : 30478443). DNA methylation is coordinated with methylation of histones (PubMed : 12138111, PubMed : 16357870, PubMed : 30478443). It modifies DNA in a non-processive manner and also methylates non-CpG sites (PubMed : 12138111, PubMed : 16357870, PubMed : 30478443). May preferentially methylate DNA linker between 2 nucleosomal cores and is inhibited by histone H1 (By similarity). Plays a role in paternal and maternal imprinting (By similarity). Required for methylation of most imprinted loci in germ cells (By similarity). Acts as a transcriptional corepressor for ZBTB18 (By similarity). Recruited to trimethylated 'Lys-36' of histone H3 (H3K36me3) sites (By similarity). Can actively repress transcription through the recruitment of HDAC activity (By similarity). Also has weak auto-methylation activity on Cys-710 in absence of DNA (By similarity).
See full target information DNMT3A

Publications (1)

Recent publications for all applications. Explore the full list and refine your search

Advanced science (Weinheim, Baden-Wurttemberg, Germany) 12:e2410288 PubMed39840532

2025

Peptide-Drug Conjugate for Therapeutic Reprogramming of Tumor-Associated Macrophages in Breast Cancer.

Applications

Unspecified application

Species

Unspecified reactive species

Anni Lepland,Elisa Peranzoni,Uku Haljasorg,Eliana K Asciutto,Maria Crespí-Amer,Lorenzo Modesti,Kalle Kilk,Manuel Lombardia,Gerardo Acosta,Miriam Royo,Pärt Peterson,Ilaria Marigo,Tambet Teesalu,Pablo Scodeller
View all publications

Product promise

We are committed to supporting your work with high-quality reagents, and we're here for you every step of the way. In the unlikely event that one of our products does not perform as expected, you're protected by our Product Promise.
For full details, please see our Terms & Conditions

Please note: All products are 'FOR RESEARCH USE ONLY. NOT FOR USE IN DIAGNOSTIC OR THERAPEUTIC PROCEDURES'.

For licensing inquiries, please contact partnerships@abcam.com