JavaScript is disabled in your browser. Please enable JavaScript to view this website.
AB232391

Anti-Dnmt3a antibody [EPR18455] - BSA and Azide free

  • RabMAb
  • Recombinant
  • KO Validated
  • Advanced Validation
  • What is this?

Be the first to review this product! Submit a review

|

(4 Publications)

Rabbit Recombinant Monoclonal Dnmt3a antibody. Carrier free. Suitable for ChIC/CUT&RUN-seq, WB, IHC-P, ICC/IF, Flow Cyt (Intra) and reacts with Human, Rat, Mouse samples. Cited in 4 publications.

View Alternative Names

DNA (cytosine-5)-methyltransferase 3A, Dnmt3a, Cysteine methyltransferase DNMT3A, DNA methyltransferase HsaIIIA, DNA MTase HsaIIIA, M.HsaIIIA, DNMT3A

10 Images
Immunocytochemistry/ Immunofluorescence - Anti-Dnmt3a antibody [EPR18455] - BSA and Azide free (AB232391)
  • ICC/IF

Supplier Data

Immunocytochemistry/ Immunofluorescence - Anti-Dnmt3a antibody [EPR18455] - BSA and Azide free (AB232391)

Immunofluorescent analysis of 4% paraformaldehyde-fixed, 0.1% Triton X-100 permeabilized HeLa (Human epithelial cells from cervix adenocarcinoma) cells labeling Dnmt3a with ab188470 at 1/1000 dilution, followed by Goat anti-rabbit IgG (Alexa Fluor® 488) (ab150077) secondary antibody at 1/1000 dilution (green). Confocal image showing nuclear and weakly cytoplasmic staining on HeLa cell line. The nuclear counter stain is DAPI (blue). Tubulin is detected with ab7291 (anti-Tubulin mouse mAb) at 1/1000 dilution and ab150120 (AlexaFluor®594 Goat anti-Mouse secondary) at 1/1000 dilution (red).

The negative controls are as follows :
-ve control 1 : ab188470 at 1/1000 dilution followed by ab150120 (AlexaFluor®594 Goat anti-Mouse secondary) at 1/1000 dilution.
-ve control 2 : ab7291 (anti-Tubulin mouse mAb) at 1/1000 dilution followed by ab150077 (Alexa Fluor®488 Goat Anti-Rabbit IgG H&L) at 1/1000 dilution.

This data was developed using the same antibody clone in a different buffer formulation containing PBS, BSA, glycerol, and sodium azide (ab188470).

Immunohistochemistry (Formalin/PFA-fixed paraffin-embedded sections) - Anti-Dnmt3a antibody [EPR18455] - BSA and Azide free (AB232391)
  • IHC-P

Unknown

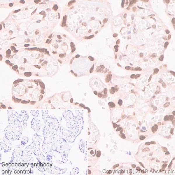
Immunohistochemistry (Formalin/PFA-fixed paraffin-embedded sections) - Anti-Dnmt3a antibody [EPR18455] - BSA and Azide free (AB232391)

Immunohistochemistry (Formalin/PFA-fixed paraffin-embedded sections) analysis of human placenta tissue sections labeling Dnmt3a with purified ab188470 at 1/2000 (0.409 μg/ml). Antigen retrieval was heat mediated using ab93684 (Tris/EDTA buffer, pH 9.0). Goat Anti-Rabbit IgG H&L (HRP) was used as the secondary antibody. Hematoxylin was used as a counterstain.
This data was developed using the same antibody clone in a different buffer formulation containing PBS, BSA, glycerol, and sodium azide (ab188470).

Flow Cytometry (Intracellular) - Anti-Dnmt3a antibody [EPR18455] - BSA and Azide free (AB232391)
  • Flow Cyt (Intra)

Lab

Flow Cytometry (Intracellular) - Anti-Dnmt3a antibody [EPR18455] - BSA and Azide free (AB232391)

Intracellular Flow Cytometry analysis of HeLa (human cervix adenocarcinoma) cells labeling Dnmt3a with purified ab188470 at 1/80 dilution (10ug/ml) (red). Cells were fixed with 4% paraformaldehyde and permeabilised with 90% methanol. A Goat anti rabbit IgG (Alexa Fluor® 488) (1/2000 dilution) was used as the secondary antibody. Rabbit monoclonal IgG (Black) was used as the isotype control, cells without incubation with primary antibody and secondary antibody (Blue) were used as the unlabeled control.

This data was developed using the same antibody clone in a different buffer formulation containing PBS, BSA, glycerol, and sodium azide (ab188470).

Immunohistochemistry (Formalin/PFA-fixed paraffin-embedded sections) - Anti-Dnmt3a antibody [EPR18455] - BSA and Azide free (AB232391)
  • IHC-P

Unknown

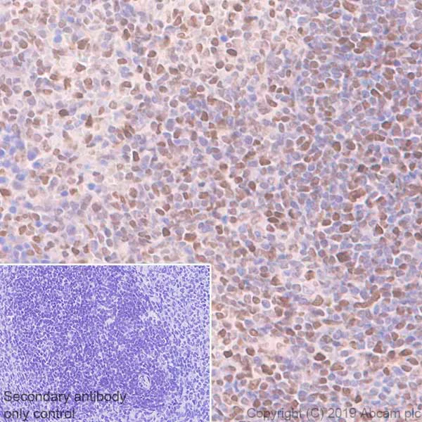
Immunohistochemistry (Formalin/PFA-fixed paraffin-embedded sections) - Anti-Dnmt3a antibody [EPR18455] - BSA and Azide free (AB232391)

Immunohistochemistry (Formalin/PFA-fixed paraffin-embedded sections) analysis of rat spleen tissue sections labeling Dnmt3a with purified ab188470 at 1/2000 (0.409 μg/ml). Antigen retrieval was heat mediated using ab93684 (Tris/EDTA buffer, pH 9.0). Goat Anti-Rabbit IgG H&L (HRP) was used as the secondary antibody. Hematoxylin was used as a counterstain.
This data was developed using the same antibody clone in a different buffer formulation containing PBS, BSA, glycerol, and sodium azide (ab188470).

Immunohistochemistry (Formalin/PFA-fixed paraffin-embedded sections) - Anti-Dnmt3a antibody [EPR18455] - BSA and Azide free (AB232391)
  • IHC-P

Unknown

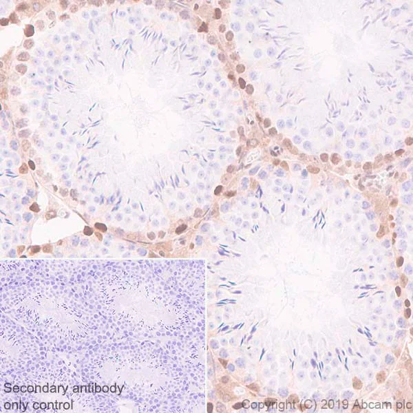
Immunohistochemistry (Formalin/PFA-fixed paraffin-embedded sections) - Anti-Dnmt3a antibody [EPR18455] - BSA and Azide free (AB232391)

Immunohistochemistry (Formalin/PFA-fixed paraffin-embedded sections) analysis of mouse testis tissue sections labeling Dnmt3a with purified ab188470 at 1/2000 (0.409 μg/ml). Antigen retrieval was heat mediated using ab93684 (Tris/EDTA buffer, pH 9.0). Goat Anti-Rabbit IgG H&L (HRP) was used as the secondary antibody. Hematoxylin was used as a counterstain.
This data was developed using the same antibody clone in a different buffer formulation containing PBS, BSA, glycerol, and sodium azide (ab188470).

Western blot - Anti-Dnmt3a antibody [EPR18455] - BSA and Azide free (AB232391)
  • WB

Supplier Data

Western blot - Anti-Dnmt3a antibody [EPR18455] - BSA and Azide free (AB232391)

This data was developed using the same antibody clone in a different buffer formulation (ab188470).

Blocking/Dilution buffer : 5% NFDM/TBST.

The observed MW is consistent with what has been described in the literature (J Biol Chem. 2002. 277, 38746-38754. PMID : 12138111).

All lanes:

Western blot - Anti-Dnmt3a antibody [EPR18455] (<a href='/en-us/products/primary-antibodies/dnmt3a-antibody-epr18455-ab188470'>ab188470</a>) at 1/10000 dilution

All lanes:

HEK-293 (Human epithelial cells from embryonic kidney) cell lysate at 20 µg

Secondary

All lanes:

Western blot - Goat Anti-Rabbit IgG H&L (HRP) (<a href='/en-us/products/secondary-antibodies/goat-rabbit-igg-h-l-hrp-ab97051'>ab97051</a>) at 1/50000 dilution

Predicted band size: 102 kDa,83 kDa

Observed band size: 130 kDa,74 kDa

false

Exposure time: 15s

Western blot - Anti-Dnmt3a antibody [EPR18455] - BSA and Azide free (AB232391)
  • WB

Lab

Western blot - Anti-Dnmt3a antibody [EPR18455] - BSA and Azide free (AB232391)

Lanes 1 - 4 : Merged signal (red and green). Green - ab188470 observed at 125 kDa. Red - loading control, ab8245, observed at 37 kDa.

ab188470 was shown to recognize Dnmt3a when Dnmt3a knockout samples were used, along with additional cross-reactive bands. Wild-type and Dnmt3a knockout samples were subjected to SDS-PAGE. ab188470 and ab8245 (loading control to GAPDH) were diluted to 1/5000 and 1/10000 respectively and incubated overnight at 4°C. Blots were developed with Goat anti-Rabbit IgG H&L (IRDye® 800CW) preadsorbed (ab216773) and Goat anti-Mouse IgG H&L (IRDye® 680RD) preadsorbed (ab216776) secondary antibodies at 1/10000 dilution for 1 hour at room temperature before imaging.

This data was developed using the same antibody clone in a different buffer formulation containing PBS, BSA, glycerol, and sodium azide (ab188470).

All lanes:

Western blot - Anti-Dnmt3a antibody [EPR18455] (<a href='/en-us/products/primary-antibodies/dnmt3a-antibody-epr18455-ab188470'>ab188470</a>) at 1/5000 dilution

Lane 1:

Wild-type HAP1 cell lysate at 20 µg

Lane 2:

Dnmt3a knockout HAP1 cell lysate at 20 µg

Lane 3:

HeLa cell lysate at 20 µg

Lane 4:

Mouse brain tissue lysate at 20 µg

Predicted band size: 102 kDa

false

Western blot - Anti-Dnmt3a antibody [EPR18455] - BSA and Azide free (AB232391)
  • WB

Lab

Western blot - Anti-Dnmt3a antibody [EPR18455] - BSA and Azide free (AB232391)

This data was developed using the same antibody clone in a different buffer formulation (ab188470).

Lanes 1-4 : Merged signal (red and green). Green - ab188470 observed at 125 kDa. Red - loading control ab8245 observed at 37 kDa.

ab188470 Anti-Dnmt3a antibody [EPR18455] was shown to specifically react with Dnmt3a in wild-type HeLa cells. Loss of signal was observed when knockout cell line ab261793 (knockout cell lysate ab257128) was used. Wild-type and Dnmt3a knockout samples were subjected to SDS-PAGE. ab188470 and Anti-GAPDH antibody [6C5] - Loading Control (ab8245) were incubated overnight at 4°C at 1 in 2000 dilution and 1 in 20000 dilution respectively. Blots were developed with Goat anti-Rabbit IgG H&L (IRDye® 800CW) preadsorbed (ab216773) and Goat anti-Mouse IgG H&L (IRDye® 680RD) preadsorbed (ab216776) secondary antibodies at 1 in 20000 dilution for 1 hour at room temperature before imaging.

All lanes:

Western blot - Anti-Dnmt3a antibody [EPR18455] (<a href='/en-us/products/primary-antibodies/dnmt3a-antibody-epr18455-ab188470'>ab188470</a>) at 1/2000 dilution

Lane 1:

Wild-type HeLa cell lysate at 20 µg

Lane 2:

Dnmt3a knockout HeLa cell lysate at 20 µg

Lane 2:

Western blot - Human DNMT3A knockout HeLa cell line (<a href='/en-us/products/cell-lines/human-dnmt3a-knockout-hela-cell-line-ab261793'>ab261793</a>)

Lane 3:

HEK-293 cell lysate at 20 µg

Lane 4:

Daudi cell lysate at 20 µg

Secondary

All lanes:

Western blot - Goat anti-Rabbit IgG H&L (IRDye® 800CW) preadsorbed (<a href='/en-us/products/secondary-antibodies/goat-rabbit-igg-h-l-irdye-800cw-preadsorbed-ab216773'>ab216773</a>) at 1/20000 dilution

Predicted band size: 102 kDa

Observed band size: 125 kDa

false

Western blot - Anti-Dnmt3a antibody [EPR18455] - BSA and Azide free (AB232391)
  • WB

Supplier Data

Western blot - Anti-Dnmt3a antibody [EPR18455] - BSA and Azide free (AB232391)

This data was developed using the same antibody clone in a different buffer formulation (ab188470).

Blocking/Dilution buffer : 5% NFDM/TBST.

The observed MW is consistent with what has been described in the literature (J Biol Chem. 2002. 277, 38746-38754. PMID : 12138111).

All lanes:

Western blot - Anti-Dnmt3a antibody [EPR18455] (<a href='/en-us/products/primary-antibodies/dnmt3a-antibody-epr18455-ab188470'>ab188470</a>) at 1/10000 dilution

All lanes:

HeLa (Human epithelial cells from cervix adenocarcinoma) cell lysate at 20 µg

Secondary

All lanes:

Western blot - Goat Anti-Rabbit IgG H&L (HRP) (<a href='/en-us/products/secondary-antibodies/goat-rabbit-igg-h-l-hrp-ab97051'>ab97051</a>) at 1/50000 dilution

Predicted band size: 102 kDa

Observed band size: 130 kDa

false

Exposure time: 5s

ChIC/CUT&RUN sequencing - Anti-Dnmt3a antibody [EPR18455] - BSA and Azide free (AB232391)
  • ChIC/CUT&RUN-seq

Supplier Data

ChIC/CUT&RUN sequencing - Anti-Dnmt3a antibody [EPR18455] - BSA and Azide free (AB232391)

This data was developed using the same antibody clone in a different buffer formulation containing PBS, BSA, glycerol, and sodium azide (ab188470)

CUT&RUN profiling with Dnmt3a antibody reveals the expected genomic enrichment pattern in cells. Representative genome browser tracks show CUT&RUN data generated using the CUTANA™ CUT&RUN Kit (EpiCypher 14-1048) with Dnmt3a antibody (Abcam ab188470, 0.5 µg). 500,000 HeLa cells were used per reaction. IgG, H3K4me3, and H3K27me3 antibodies were included as controls to assess non-specific background, active promoters, and repressed chromatin, respectively. Libraries were prepared using the CUTANA™ CUT&RUN Library Prep Kit (EpiCypher 14-1001). Sequencing was performed with paired-end 50 bp reads, and data were processed on CUTANA™ Cloud (cloud.epicypher.com) by alignment to the hg38 genome. Images were generated using Integrative Genomics Viewer (IGV, Broad Institute).

Key facts

Host species

Rabbit

Clonality

Monoclonal

Clone number

EPR18455

Isotype

IgG

Carrier free

Yes

Reacts with

Mouse, Rat, Human

Applications

IHC-P, ICC/IF, ChIC/CUT&RUN-seq, Flow Cyt (Intra), WB

applications

Immunogen

The exact immunogen used to generate this antibody is proprietary information.

Reactivity data

{ "title": "Reactivity Data", "filters": { "stats": ["", "Species", "Dilution Info", "Notes"], "tabs": { "all-applications": {"fullname" : "All Applications", "shortname": "All Applications"}, "ChICCUTRUNseq" : {"fullname" : "ChIC/CUT&RUN sequencing", "shortname":"ChIC/CUT&RUN-seq"}, "WB" : {"fullname" : "Western blot", "shortname":"WB"}, "IHCP" : {"fullname" : "Immunohistochemistry (Formalin/PFA-fixed paraffin-embedded sections)", "shortname":"IHC-P"}, "ICCIF" : {"fullname" : "Immunocytochemistry/ Immunofluorescence", "shortname":"ICC/IF"}, "FlowCytIntra" : {"fullname" : "Flow Cytometry (Intracellular)", "shortname":"Flow Cyt (Intra)"} }, "product-promise": { "all": "all", "testedAndGuaranteed": "tested", "guaranteed": "expected", "predicted": "predicted", "notRecommended": "not-recommended" } }, "values": { "Human": { "ChICCUTRUNseq-species-checked": "testedAndGuaranteed", "ChICCUTRUNseq-species-dilution-info": "", "ChICCUTRUNseq-species-notes": "<p></p>", "WB-species-checked": "testedAndGuaranteed", "WB-species-dilution-info": "", "WB-species-notes": "<p></p>", "IHCP-species-checked": "testedAndGuaranteed", "IHCP-species-dilution-info": "1/2000", "IHCP-species-notes": "<p>Perform heat mediated antigen retrieval using <a href='/en-us/products/buffers/antigen-retrieval-buffer-100x-tris-edta-buffer-ph-90-ab93684'>ab93684</a> (Tris/EDTA buffer, pH 9.0).</p>", "ICCIF-species-checked": "testedAndGuaranteed", "ICCIF-species-dilution-info": "", "ICCIF-species-notes": "<p></p>", "FlowCytIntra-species-checked": "testedAndGuaranteed", "FlowCytIntra-species-dilution-info": "", "FlowCytIntra-species-notes": "<p></p>" }, "Mouse": { "ChICCUTRUNseq-species-checked": "guaranteed", "ChICCUTRUNseq-species-dilution-info": "", "ChICCUTRUNseq-species-notes": "", "WB-species-checked": "guaranteed", "WB-species-dilution-info": "", "WB-species-notes": "", "IHCP-species-checked": "testedAndGuaranteed", "IHCP-species-dilution-info": "1/2000", "IHCP-species-notes": "<p>Perform heat mediated antigen retrieval using <a href='/en-us/products/buffers/antigen-retrieval-buffer-100x-tris-edta-buffer-ph-90-ab93684'>ab93684</a> (Tris/EDTA buffer, pH 9.0).</p>", "ICCIF-species-checked": "guaranteed", "ICCIF-species-dilution-info": "", "ICCIF-species-notes": "", "FlowCytIntra-species-checked": "guaranteed", "FlowCytIntra-species-dilution-info": "", "FlowCytIntra-species-notes": "" }, "Rat": { "ChICCUTRUNseq-species-checked": "guaranteed", "ChICCUTRUNseq-species-dilution-info": "", "ChICCUTRUNseq-species-notes": "", "WB-species-checked": "guaranteed", "WB-species-dilution-info": "", "WB-species-notes": "", "IHCP-species-checked": "testedAndGuaranteed", "IHCP-species-dilution-info": "1/2000", "IHCP-species-notes": "<p>Perform heat mediated antigen retrieval using <a href='/en-us/products/buffers/antigen-retrieval-buffer-100x-tris-edta-buffer-ph-90-ab93684'>ab93684</a> (Tris/EDTA buffer, pH 9.0).</p>", "ICCIF-species-checked": "guaranteed", "ICCIF-species-dilution-info": "", "ICCIF-species-notes": "", "FlowCytIntra-species-checked": "guaranteed", "FlowCytIntra-species-dilution-info": "", "FlowCytIntra-species-notes": "" } } }

Product details

ab232391 is the carrier-free version of ab188470.

Patented technology
Our RabMAb® technology is a patented hybridoma-based technology for making rabbit monoclonal antibodies. For details on our patents, please refer to RabMAb® patents.

What are the advantages of a recombinant monoclonal antibody?
This product is a recombinant monoclonal antibody, which offers several advantages including:

  • - High batch-to-batch consistency and reproducibility
  • - Improved sensitivity and specificity
  • - Long-term security of supply
  • - Animal-free batch production

For more information, read more on recombinant antibodies.

Conjugation ready
Our carrier-free antibodies are typically supplied in a PBS-only formulation, purified and free of BSA, sodium azide and glycerol. This conjugation-ready format is designed for use with fluorochromes, metal isotopes, oligonucleotides, and enzymes, which makes them ideal for antibody labelling, functional and cell-based assays, flow-based assays (e.g. mass cytometry) and Multiplex Imaging applications.

Use our conjugation kits for antibody conjugates that are ready-to-use in as little as 20 minutes with 1 minute hands-on-time and 100% antibody recovery: available for fluorescent dyes, HRP, biotin and gold.

Compatibility
This product is compatible with the Maxpar® Antibody Labeling Kit from Fluidigm, without the need for antibody preparation. Maxpar® is a trademark of Fluidigm Canada Inc.

Properties and storage information

Form
Liquid
Purification technique
Affinity purification Protein A
Storage buffer
pH: 7.2 - 7.4 Constituents: PBS
Shipped at conditions
Blue Ice
Appropriate short-term storage conditions
+4°C
Appropriate long-term storage conditions
+4°C
Storage information
Do Not Freeze

Product protocols

For this product, it's our understanding that no specific protocols are required. You can visit:

Target data

Required for genome-wide de novo methylation and is essential for the establishment of DNA methylation patterns during development (PubMed : 12138111, PubMed : 16357870, PubMed : 30478443). DNA methylation is coordinated with methylation of histones (PubMed : 12138111, PubMed : 16357870, PubMed : 30478443). It modifies DNA in a non-processive manner and also methylates non-CpG sites (PubMed : 12138111, PubMed : 16357870, PubMed : 30478443). May preferentially methylate DNA linker between 2 nucleosomal cores and is inhibited by histone H1 (By similarity). Plays a role in paternal and maternal imprinting (By similarity). Required for methylation of most imprinted loci in germ cells (By similarity). Acts as a transcriptional corepressor for ZBTB18 (By similarity). Recruited to trimethylated 'Lys-36' of histone H3 (H3K36me3) sites (By similarity). Can actively repress transcription through the recruitment of HDAC activity (By similarity). Also has weak auto-methylation activity on Cys-710 in absence of DNA (By similarity).
See full target information DNMT3A

Publications (4)

Recent publications for all applications. Explore the full list and refine your search

Drug discoveries & therapeutics 18:368-374 PubMed39662932

2024

Baricitinib-loaded EVs promote alopecia areata mouse hair regrowth by reducing JAK-STAT-mediated inflammation and promoting hair follicle regeneration.

Applications

Unspecified application

Species

Unspecified reactive species

Haowen Tang,Fangfang Wang,Rui Yang,Ziqi Zhao,Ying Zhang,Li Yang,Bingmin Li

Biochemical and biophysical research communications 631:138-145 PubMed36183555

2022

SARS-CoV-2-induced hypomethylation of the ferritin heavy chain (FTH1) gene underlies serum hyperferritinemia in severe COVID-19 patients.

Applications

Unspecified application

Species

Unspecified reactive species

Jibran Sualeh Muhammad,Gehad ElGhazali,Jasmin Shafarin,Mohammad G Mohammad,Ameera Abu-Qiyas,Mawieh Hamad

Cell cycle (Georgetown, Tex.) 20:978-992 PubMed33945391

2021

MiR-206 promotes extracellular matrix accumulation and relieves infantile hemangioma through targeted inhibition of DNMT3A.

Applications

Unspecified application

Species

Unspecified reactive species

Minliang Wu,Yong Chen,Ling Feng,Haiying Dai,Shuo Fang,Jianguo Xu

Biomedicine & pharmacotherapy = Biomedecine & phar 128:110349 PubMed32521454

2020

Long non-coding RNA XIST contributes to osteoarthritis progression via miR-149-5p/DNMT3A axis.

Applications

Unspecified application

Species

Unspecified reactive species

Yunke Liu,Ke Liu,Chao Tang,Zuxuan Shi,Kai Jing,Jia Zheng
View all publications

Product promise

We are committed to supporting your work with high-quality reagents, and we're here for you every step of the way. In the unlikely event that one of our products does not perform as expected, you're protected by our Product Promise.
For full details, please see our Terms & Conditions

Please note: All products are 'FOR RESEARCH USE ONLY. NOT FOR USE IN DIAGNOSTIC OR THERAPEUTIC PROCEDURES'.

For licensing inquiries, please contact partnerships@abcam.com