JavaScript is disabled in your browser. Please enable JavaScript to view this website.
AB323708

Anti-Dnmt3a antibody [EPR29184-89]

  • RabMAb
  • Recombinant
  • 20ul selling size
  • KO Validated
  • What is this?

Be the first to review this product! Submit a review

|

(0 Publication)

Rabbit Recombinant Monoclonal Dnmt3a antibody. Suitable for WB, IP and reacts with Recombinant full length protein - Human, Human, Mouse samples.

View Alternative Names

DNA (cytosine-5)-methyltransferase 3A, Dnmt3a, Cysteine methyltransferase DNMT3A, DNA methyltransferase HsaIIIA, DNA MTase HsaIIIA, M.HsaIIIA, DNMT3A

6 Images
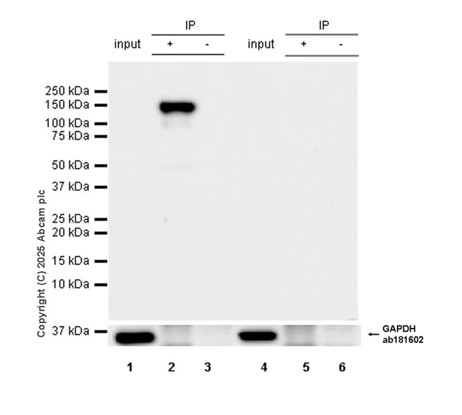
Immunoprecipitation - Anti-Dnmt3a antibody [EPR29184-89] (AB323708)
  • IP

Supplier Data

Immunoprecipitation - Anti-Dnmt3a antibody [EPR29184-89] (AB323708)

Dnmt3a was immunoprecipitated from 0.35 mg Wild-type HeLa (human cervical adenocarcinoma epithelial cell) whole cell lysate with ab323708 at 1/30 dilution (2ug in 0.35mg lysates). Western blot was performed on the immunoprecipitate using ab323708 at 1000 dilution.

Blocking and dilution buffer and concentration : 5% NFDM/TBST

All lanes:

Immunoprecipitation - Anti-Dnmt3a antibody [EPR29184-89] (ab323708) at 1/1000 dilution

Lane 1:

(Input) Wild-type HeLa (human cervical adenocarcinoma epithelial cell) whole cell lysate at 10 µg

Lane 2:

ab323708 at 1/30 IP in Wild-type HeLa (human cervical adenocarcinoma epithelial cell) whole cell lysate at 10 µg

Lane 3:

Rabbit monoclonal IgG (<a href='/en-us/products/primary-antibodies/rabbit-igg-monoclonal-epr25a-isotype-control-ab172730'>ab172730</a>) instead of ab323708 in parental HeLa whole cell lysate at 10 µg

Lane 4:

(Input) DNMT3A knockout HeLa whole cell lysate at 10 µg

Lane 5:

ab323708 at 1/30 IP in DNMT3A knockout HeLa whole cell lysate at 10 µg

Lane 6:

Rabbit monoclonal IgG (<a href='/en-us/products/primary-antibodies/rabbit-igg-monoclonal-epr25a-isotype-control-ab172730'>ab172730</a>) instead of ab323708 in DNMT3A knockout HeLa whole cell lysate at 10 µg

Secondary

All lanes:

Immunoprecipitation - VeriBlot for IP Detection Reagent (HRP) (<a href='/en-us/products/reagents/veriblot-for-ip-detection-reagent-hrp-ab131366'>ab131366</a>) at 1/5000 dilution

Observed band size: 130 kDa,36 kDa

false

Exposure time: 24s

Immunoprecipitation - Anti-Dnmt3a antibody [EPR29184-89] (AB323708)
  • IP

Supplier Data

Immunoprecipitation - Anti-Dnmt3a antibody [EPR29184-89] (AB323708)

Dnmt3a was immunoprecipitated from 0.35 mg NIH/3T3 (mouse embryonic fibroblast) whole cell lysate with ab323708 at 1/30 dilution (2ug in 0.35mg lysates). Western blot was performed on the immunoprecipitate using ab323708 at 1000 dilution.

Blocking and dilution buffer and concentration : 5% NFDM/TBST

All lanes:

Immunoprecipitation - Anti-Dnmt3a antibody [EPR29184-89] (ab323708) at 1/1000 dilution

Lane 1:

(Input) NIH/3T3 (mouse embryonic fibroblast) whole cell lysate at 10 µg

Lane 2:

ab323708 at 1/30 IP in NIH/3T3 (mouse embryonic fibroblast) whole cell lysate at 10 µg

Lane 3:

Rabbit monoclonal IgG (<a href='/en-us/products/primary-antibodies/rabbit-igg-monoclonal-epr25a-isotype-control-ab172730'>ab172730</a>) instead of ab323708 in parental NIH/3T3 whole cell lysate at 10 µg

Secondary

All lanes:

Immunoprecipitation - VeriBlot for IP Detection Reagent (HRP) (<a href='/en-us/products/reagents/veriblot-for-ip-detection-reagent-hrp-ab131366'>ab131366</a>) at 1/5000 dilution

Observed band size: 130 kDa

false

Exposure time: 102s

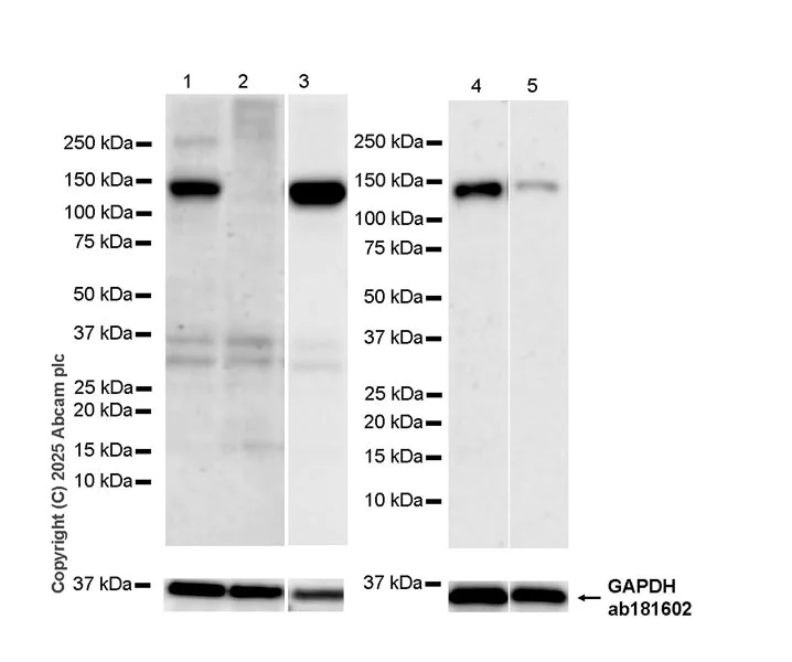
Western blot - Anti-Dnmt3a antibody [EPR29184-89] (AB323708)
  • WB

Supplier Data

Western blot - Anti-Dnmt3a antibody [EPR29184-89] (AB323708)

Blocking and diluting buffer and concentration : 5% NFDM/TBST.

In Western blot, ab323708 was shown to bind specifically to Dnmt3a. Target of interest was observed at 130 kDa in wild-type HAP1 cell lysates (lane 1) with no signal observed at this size in DNMT3A knockout cell line (lane 2).

The identity of the bands between 25 kDa and 37 kDa (in lanes 1-3) are unknown.

In Western blot, Anti-GAPDH antibody [EPR16891] - Loading Control (ab181602) staining at 1/200000 dilution.

Exposure time : Lanes 1-2, 4-5 : 180 seconds, lane 3 : 48 seconds

All lanes:

Western blot - Anti-Dnmt3a antibody [EPR29184-89] (ab323708) at 1/1000 dilution

Lane 1:

Wild-type HAP1 (human chronic myelogenous leukemia near-haploid cell) whole cell lysate at 20 µg

Lane 2:

DNMT3A knockout HAP1 whole cell lysate at 20 µg

Lane 3:

SH-SY5Y (human neuroblastoma epithelial cell) whole cell lysate at 20 µg

Lane 4:

P815 (mouse mastocytoma mast Cell) whole cell lysate at 20 µg

Lane 5:

NIH/3T3 (mouse embryonic fibroblast) whole cell lysate at 20 µg

Secondary

All lanes:

Western blot - Goat Anti-Rabbit IgG H&L (HRP) (<a href='/en-us/products/secondary-antibodies/goat-rabbit-igg-h-l-hrp-ab97051'>ab97051</a>) at 1/100000 dilution

Observed band size: 130 kDa,36 kDa

false

Western blot - Anti-Dnmt3a antibody [EPR29184-89] (AB323708)
  • WB

Supplier Data

Western blot - Anti-Dnmt3a antibody [EPR29184-89] (AB323708)

Blocking and diluting buffer and concentration : 5% NFDM/TBST.

In Western blot, ab323708 was shown to bind specifically to Dnmt3a. Target of interest was observed at 130 kDa in wild-type HeLa cell lysates (lane 1) with no signal observed at this size in DNMT3A knockout cell line (lane 2 knockout cell line ab261793 / knockout cell lysate ab257128).

The identity of the bands between 25 kDa and 37 kDa (in lanes 1-2) are unknown.

In Western blot, Anti-GAPDH antibody [EPR16891] - Loading Control (ab181602) staining at 1/200000 dilution.

All lanes:

Western blot - Anti-Dnmt3a antibody [EPR29184-89] (ab323708) at 1/1000 dilution

Lane 1:

Wild-type HeLa (human cervical adenocarcinoma epithelial cell) whole cell lysate at 20 µg

Lane 2:

DNMT3A knockout HeLa whole cell lysate at 20 µg

Secondary

All lanes:

Western blot - Goat Anti-Rabbit IgG H&L (HRP) (<a href='/en-us/products/secondary-antibodies/goat-rabbit-igg-h-l-hrp-ab97051'>ab97051</a>) at 1/100000 dilution

Observed band size: 130 kDa,36 kDa

false

Exposure time: 48s

Western blot - Anti-Dnmt3a antibody [EPR29184-89] (AB323708)
  • WB

Supplier Data

Western blot - Anti-Dnmt3a antibody [EPR29184-89] (AB323708)

Blocking and diluting buffer and concentration : 5% NFDM/TBST.

The identity of the bands higher than 250 kDa (in lane 1) and lower than 100 kDa (in lane 2) are unknown.

In Western blot, Anti-GAPDH antibody [EPR16891] - Loading Control (ab181602) staining at 1/200000 dilution.

Exposure time : Lane 1 : 8 seconds, lane 2 : 37 seconds

All lanes:

Western blot - Anti-Dnmt3a antibody [EPR29184-89] (ab323708) at 1/1000 dilution

Lane 1:

Mouse E17 brain tissue lysate at 20 µg

Lane 2:

Mouse placenta tissue lysate at 20 µg

Secondary

All lanes:

Western blot - Goat Anti-Rabbit IgG H&L (HRP) (<a href='/en-us/products/secondary-antibodies/goat-rabbit-igg-h-l-hrp-ab97051'>ab97051</a>) at 1/20000 dilution

Observed band size: 130 kDa,36 kDa

false

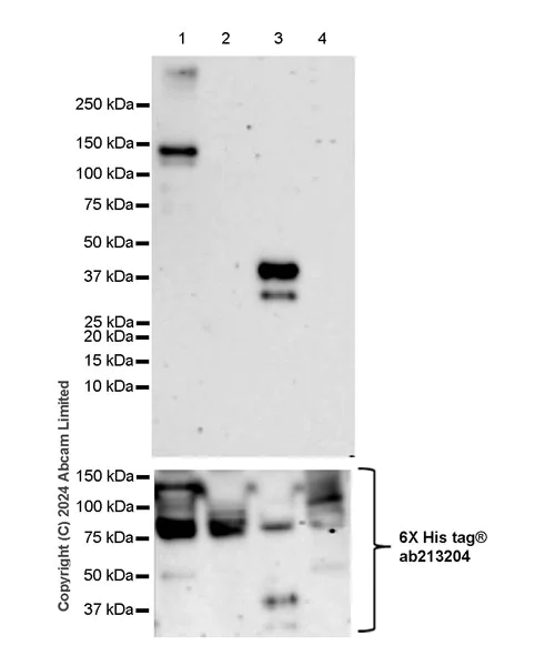
Western blot - Anti-Dnmt3a antibody [EPR29184-89] (AB323708)
  • WB

Supplier Data

Western blot - Anti-Dnmt3a antibody [EPR29184-89] (AB323708)

Blocking and diluting buffer and concentration : 5% NFDM/TBST.

This antibody reacts with DNMT3A isoform 1 and DNMT3A isoform 3 but not DNMT3A isoform 2 and DNMT3B.

In Western blot, Anti-6X His tag® antibody [EPR20547] - ChIP Grade (ab213204) staining at 1/5000 dilution.

All lanes:

Western blot - Anti-Dnmt3a antibody [EPR29184-89] (ab323708) at 1/1000 dilution

Lane 1:

Purified human DNMT3A isoform 1 recombinant protein at 10 ng

Lane 2:

Purified human DNMT3A isoform 2 recombinant protein at 10 ng

Lane 3:

Purified human DNMT3A isoform 3 recombinant protein at 10 ng

Lane 4:

Purified human DNMT3B recombinant protein at 10 ng

Secondary

All lanes:

Western blot - Goat Anti-Rabbit IgG H&L (HRP) (<a href='/en-us/products/secondary-antibodies/goat-rabbit-igg-h-l-hrp-ab97051'>ab97051</a>) at 1/100000 dilution

Observed band size: 130 kDa,30-150 kDa

false

Exposure time: 180s

Key facts

Host species

Rabbit

Clonality

Monoclonal

Clone number

EPR29184-89

Isotype

IgG

Carrier free

No

Reacts with

Human, Mouse

Applications

WB, IP

applications

Immunogen

The exact immunogen used to generate this antibody is proprietary information.

Reactivity data

{ "title": "Reactivity Data", "filters": { "stats": ["", "Species", "Dilution Info", "Notes"], "tabs": { "all-applications": {"fullname" : "All Applications", "shortname": "All Applications"}, "WB" : {"fullname" : "Western blot", "shortname":"WB"}, "IP" : {"fullname" : "Immunoprecipitation", "shortname":"IP"}, "IHCP" : {"fullname" : "Immunohistochemistry (Formalin/PFA-fixed paraffin-embedded sections)", "shortname":"IHC-P"} }, "product-promise": { "all": "all", "testedAndGuaranteed": "tested", "guaranteed": "expected", "predicted": "predicted", "notRecommended": "not-recommended" } }, "values": { "Human": { "WB-species-checked": "testedAndGuaranteed", "WB-species-dilution-info": "1/1000", "WB-species-notes": "<p></p>", "IP-species-checked": "testedAndGuaranteed", "IP-species-dilution-info": "1/30", "IP-species-notes": "<p></p>", "IHCP-species-checked": "notRecommended", "IHCP-species-dilution-info": "", "IHCP-species-notes": "<p></p>" }, "Mouse": { "WB-species-checked": "testedAndGuaranteed", "WB-species-dilution-info": "1/1000", "WB-species-notes": "<p></p>", "IP-species-checked": "testedAndGuaranteed", "IP-species-dilution-info": "1/30", "IP-species-notes": "<p></p>", "IHCP-species-checked": "notRecommended", "IHCP-species-dilution-info": "", "IHCP-species-notes": "<p></p>" }, "Recombinant full length protein - Human": { "WB-species-checked": "testedAndGuaranteed", "WB-species-dilution-info": "1/1000", "WB-species-notes": "<p></p>", "IP-species-checked": "notRecommended", "IP-species-dilution-info": "", "IP-species-notes": "", "IHCP-species-checked": "notRecommended", "IHCP-species-dilution-info": "", "IHCP-species-notes": "" } } }

Product details

Patented technology
Our RabMAb® technology is a patented hybridoma-based technology for making rabbit monoclonal antibodies. For details on our patents, please refer to RabMAb® patents.

What are the advantages of a recombinant monoclonal antibody?
This product is a recombinant monoclonal antibody, which offers several advantages including:

  • - High batch-to-batch consistency and reproducibility
  • - Improved sensitivity and specificity
  • - Long-term security of supply
  • - Animal-free batch production

For more information, read more on recombinant antibodies.

Properties and storage information

Form
Liquid
Purification technique
Affinity purification Protein A
Storage buffer
pH: 7.2 - 7.4 Preservative: 0.01% Sodium azide Constituents: PBS, 40% Glycerol (glycerin, glycerine), 0.05% BSA
Shipped at conditions
Blue Ice
Appropriate short-term storage duration
1-2 weeks
Appropriate short-term storage conditions
+4°C
Appropriate long-term storage conditions
-20°C
Aliquoting information
Upon delivery aliquot
Storage information
Avoid freeze / thaw cycle

Product protocols

For this product, it's our understanding that no specific protocols are required. You can visit:

Target data

Required for genome-wide de novo methylation and is essential for the establishment of DNA methylation patterns during development (PubMed : 12138111, PubMed : 16357870, PubMed : 30478443). DNA methylation is coordinated with methylation of histones (PubMed : 12138111, PubMed : 16357870, PubMed : 30478443). It modifies DNA in a non-processive manner and also methylates non-CpG sites (PubMed : 12138111, PubMed : 16357870, PubMed : 30478443). May preferentially methylate DNA linker between 2 nucleosomal cores and is inhibited by histone H1 (By similarity). Plays a role in paternal and maternal imprinting (By similarity). Required for methylation of most imprinted loci in germ cells (By similarity). Acts as a transcriptional corepressor for ZBTB18 (By similarity). Recruited to trimethylated 'Lys-36' of histone H3 (H3K36me3) sites (By similarity). Can actively repress transcription through the recruitment of HDAC activity (By similarity). Also has weak auto-methylation activity on Cys-710 in absence of DNA (By similarity).
See full target information DNMT3A

Product promise

We are committed to supporting your work with high-quality reagents, and we're here for you every step of the way. In the unlikely event that one of our products does not perform as expected, you're protected by our Product Promise.
For full details, please see our Terms & Conditions

Please note: All products are 'FOR RESEARCH USE ONLY. NOT FOR USE IN DIAGNOSTIC OR THERAPEUTIC PROCEDURES'.

For licensing inquiries, please contact partnerships@abcam.com