JavaScript is disabled in your browser. Please enable JavaScript to view this website.
AB307540

Anti-Dnmt3a (mutated R882H) antibody [EPR27389-11]

  • BOND RX™ Validated
  • 20ul selling size
  • RabMAb
  • Recombinant
  • What is this?

Be the first to review this product! Submit a review

|

(0 Publication)

Rabbit Recombinant Monoclonal Dnmt3a mutated R882H antibody. Suitable for Flow Cyt (Intra), ICC/IF, IHC-P and reacts with Human samples.

View Alternative Names

DNA (cytosine-5)-methyltransferase 3A, Dnmt3a, Cysteine methyltransferase DNMT3A, DNA methyltransferase HsaIIIA, DNA MTase HsaIIIA, M.HsaIIIA, DNMT3A

4 Images
Immunohistochemistry (Formalin/PFA-fixed paraffin-embedded sections) - Anti-Dnmt3a (mutated R882H) antibody [EPR27389-11] (AB307540)
  • IHC-P

Supplier Data

Immunohistochemistry (Formalin/PFA-fixed paraffin-embedded sections) - Anti-Dnmt3a (mutated R882H) antibody [EPR27389-11] (AB307540)

Immunohistochemical analysis of paraffin-embedded HEK-293T cells tran tissue lABeling Dnmt3a (mutated R882H) with ab307540 at 1/5000 (0.109 ug/ml) followed by a ready to use LeicaDS9800 (Bond? Polymer Refine Detection) was used. Positive staining on HEK-293T cells transfected with a human DNMT3A (R882H) expression vector containing myc and his tag (Image A) and no staining on HEK-293 cells transfected with human wildtype DNMT3A expression vector containing myc and his tag (Image B).The section was incubated with ab307540 for 30 mins at room temperature.The immunostaining was performed on a Leica Biosystems BOND? RX instrument Counterstained with Hematoxylin. Secondary antibody only control : Secondary antibody is a ready to use LeicaDS9800 (Bond? Polymer Refine Detection) was used. Heat mediated antigen retrieval with Tris-EDTA buffer (pH 9.0, epitope retrieval solution2) for 20 mins

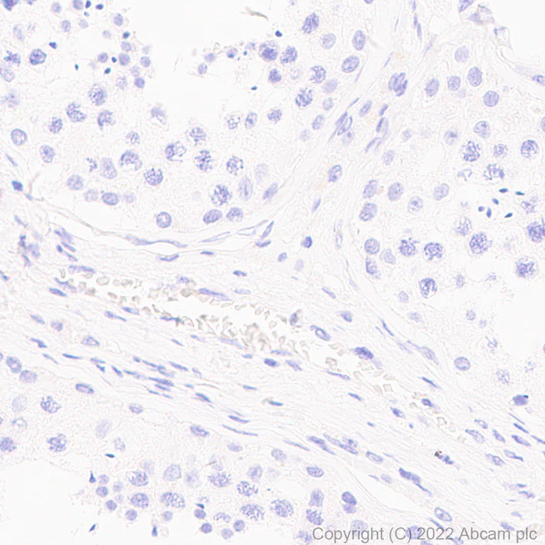
Immunohistochemistry (Formalin/PFA-fixed paraffin-embedded sections) - Anti-Dnmt3a (mutated R882H) antibody [EPR27389-11] (AB307540)
  • IHC-P

Supplier Data

Immunohistochemistry (Formalin/PFA-fixed paraffin-embedded sections) - Anti-Dnmt3a (mutated R882H) antibody [EPR27389-11] (AB307540)

Immunohistochemical analysis of paraffin-embedded Human testis tissue lABeling Dnmt3a (mutated R882H) with ab307540 at 1/5000 (0.109 ug/ml) followed by a ready to use LeicaDS9800 (Bond? Polymer Refine Detection) was used. Negative control : no staining on human testis.The section was incubated with ab307540 for 30 mins at room temperature.The immunostaining was performed on a Leica Biosystems BOND? RX instrument Counterstained with Hematoxylin. Secondary antibody only control : Secondary antibody is a ready to use LeicaDS9800 (Bond? Polymer Refine Detection) was used. Heat mediated antigen retrieval with Tris-EDTA buffer (pH 9.0, epitope retrieval solution2) for 20 mins

Flow Cytometry (Intracellular) - Anti-Dnmt3a (mutated R882H) antibody [EPR27389-11] (AB307540)
  • Flow Cyt (Intra)

Supplier Data

Flow Cytometry (Intracellular) - Anti-Dnmt3a (mutated R882H) antibody [EPR27389-11] (AB307540)

Flow cytometric analysis of 4% paraformaldehyde fixed 90% methanol permeabilized HEK-293T (human embryonic kidney) cells transfected with a human DNMT3A expression vector containing a myc-his tag (Left) / HEK-293T transfected with a human DNMT3A (R882H) expression vector containing a myc-his tag (Right) cells labelling Dnmt3a (mutated R882H) with ab307540 at 1/500 dilution (0.1ug)/ Right and Left (Red) compared with a isotype control and an unlabelled control (cells without incubation with primary antibody and secondary antibody) (Blue). A Goat Anti-Rabbit IgG (Alexa Fluor® 488, ab150081) at 1/2000 dilution was used as the secondary antibody.

Immunocytochemistry/ Immunofluorescence - Anti-Dnmt3a (mutated R882H) antibody [EPR27389-11] (AB307540)
  • ICC/IF

Supplier Data

Immunocytochemistry/ Immunofluorescence - Anti-Dnmt3a (mutated R882H) antibody [EPR27389-11] (AB307540)

Immunofluorescent analysis of 4% Paraformaldehyde-fixed, 0.1% TritonX-100 permeABilized 293T (human embryonic kidney epithelial cell) cells lABelling Dnmt3a (mutated R882H) with ab307540 at 1/1000 (0.546 ug/ml) dilution, followed by ab150081 Goat Anti-RABbit IgG H&L (Alexa Fluor? 488) preadsorbed antibody at 1/1000 2 ug/ml dilution (Green). Confocal showing positive staining in HEK-293T cells transfected with a human DNMT3A (R882H) expression vector containing a myc tag, and showing no staining in HEK-293 cells transfected with human wildtype DNMT3A expression vector containing a myc tag.The image was taken with a confocal microscope (Leica-Microsystems, TCS SP8). is observed. Myc-Tag Mouse mAB (Alexa Fluor? 647) was used to counterstain tubulin at 1/100 0.38 ug/ml dilution (Red). The Nuclear counterstain was DAPI (Blue). Secondary antibody only control : Secondary antibody is ab150081 Goat Anti-RABbit IgG H&L (Alexa Fluor? 488) preadsorbed at 1/1000 2 ug/ml dilution.

  • Carrier free

    Anti-Dnmt3a (mutated R882H) antibody [EPR27389-11] - BSA and Azide free

  • 665 Alexa Fluor® 647

    Alexa Fluor® 647 Anti-Dnmt3a (mutated R882H) antibody [EPR27389-11]

  • 617 Alexa Fluor® 594

    Alexa Fluor® 594 Anti-Dnmt3a (mutated R882H) antibody [EPR27389-11]

  • 565 Alexa Fluor® 555

    Alexa Fluor® 555 Anti-Dnmt3a (mutated R882H) antibody [EPR27389-11]

  • 519 Alexa Fluor® 488

    Alexa Fluor® 488 Anti-Dnmt3a (mutated R882H) antibody [EPR27389-11]

  • 660 APC

    APC Anti-Dnmt3a (mutated R882H) antibody [EPR27389-11]

  • 578 PE

    PE Anti-Dnmt3a (mutated R882H) antibody [EPR27389-11]

  • 775 Alexa Fluor® 750

    Alexa Fluor® 750 Anti-Dnmt3a (mutated R882H) antibody [EPR27389-11]

Key facts

Host species

Rabbit

Clonality

Monoclonal

Clone number

EPR27389-11

Isotype

IgG

Carrier free

No

Reacts with

Human

Applications

ICC/IF, Flow Cyt (Intra), IHC-P

applications

Immunogen

The exact immunogen used to generate this antibody is proprietary information.

Reactivity data

{ "title": "Reactivity Data", "filters": { "stats": ["", "Species", "Dilution Info", "Notes"], "tabs": { "all-applications": {"fullname" : "All Applications", "shortname": "All Applications"}, "ChIP" : {"fullname" : "ChIP", "shortname":"ChIP"}, "IP" : {"fullname" : "Immunoprecipitation", "shortname":"IP"}, "FlowCytIntra" : {"fullname" : "Flow Cytometry (Intracellular)", "shortname":"Flow Cyt (Intra)"}, "ICCIF" : {"fullname" : "Immunocytochemistry/ Immunofluorescence", "shortname":"ICC/IF"}, "IHCP" : {"fullname" : "Immunohistochemistry (Formalin/PFA-fixed paraffin-embedded sections)", "shortname":"IHC-P"}, "WB" : {"fullname" : "Western blot", "shortname":"WB"} }, "product-promise": { "all": "all", "testedAndGuaranteed": "tested", "guaranteed": "expected", "predicted": "predicted", "notRecommended": "not-recommended" } }, "values": { "Human": { "ChIP-species-checked": "notRecommended", "ChIP-species-dilution-info": "", "ChIP-species-notes": "<p></p>", "IP-species-checked": "notRecommended", "IP-species-dilution-info": "", "IP-species-notes": "<p></p>", "FlowCytIntra-species-checked": "testedAndGuaranteed", "FlowCytIntra-species-dilution-info": "1/500", "FlowCytIntra-species-notes": "<p></p>", "ICCIF-species-checked": "testedAndGuaranteed", "ICCIF-species-dilution-info": "1/1000", "ICCIF-species-notes": "<p></p>", "IHCP-species-checked": "testedAndGuaranteed", "IHCP-species-dilution-info": "1/5000", "IHCP-species-notes": "<p></p> Perform heat-mediated antigen retrieval with Tris/EDTA buffer pH 9.0 before commencing with IHC staining protocol.", "WB-species-checked": "notRecommended", "WB-species-dilution-info": "", "WB-species-notes": "<p></p>" }, "Mouse": { "ChIP-species-checked": "notRecommended", "ChIP-species-dilution-info": "", "ChIP-species-notes": "", "IP-species-checked": "notRecommended", "IP-species-dilution-info": "", "IP-species-notes": "", "FlowCytIntra-species-checked": "notRecommended", "FlowCytIntra-species-dilution-info": "", "FlowCytIntra-species-notes": "", "ICCIF-species-checked": "notRecommended", "ICCIF-species-dilution-info": "", "ICCIF-species-notes": "", "IHCP-species-checked": "notRecommended", "IHCP-species-dilution-info": "1/5000", "IHCP-species-notes": "<p></p> Perform heat-mediated antigen retrieval with Tris/EDTA buffer pH 9.0 before commencing with IHC staining protocol.", "WB-species-checked": "notRecommended", "WB-species-dilution-info": "", "WB-species-notes": "" }, "Rat": { "ChIP-species-checked": "notRecommended", "ChIP-species-dilution-info": "", "ChIP-species-notes": "", "IP-species-checked": "notRecommended", "IP-species-dilution-info": "", "IP-species-notes": "", "FlowCytIntra-species-checked": "notRecommended", "FlowCytIntra-species-dilution-info": "", "FlowCytIntra-species-notes": "", "ICCIF-species-checked": "notRecommended", "ICCIF-species-dilution-info": "", "ICCIF-species-notes": "", "IHCP-species-checked": "notRecommended", "IHCP-species-dilution-info": "1/5000", "IHCP-species-notes": "<p></p> Perform heat-mediated antigen retrieval with Tris/EDTA buffer pH 9.0 before commencing with IHC staining protocol.", "WB-species-checked": "notRecommended", "WB-species-dilution-info": "", "WB-species-notes": "" } } }

Product details

Patented technology
Our RabMAb® technology is a patented hybridoma-based technology for making rabbit monoclonal antibodies. For details on our patents, please refer to RabMAb® patents.

What are the advantages of a recombinant monoclonal antibody?
This product is a recombinant monoclonal antibody, which offers several advantages including:

  • - High batch-to-batch consistency and reproducibility
  • - Improved sensitivity and specificity
  • - Long-term security of supply
  • - Animal-free batch production

For more information, read more on recombinant antibodies.

Properties and storage information

Form
Liquid
Purification technique
Affinity purification Protein A
Storage buffer
pH: 7.2 - 7.4 Preservative: 0.01% Sodium azide Constituents: PBS, 40% Glycerol (glycerin, glycerine), 0.05% BSA
Shipped at conditions
Blue Ice
Appropriate short-term storage duration
1-2 weeks
Appropriate short-term storage conditions
+4°C
Appropriate long-term storage conditions
-20°C
Aliquoting information
Upon delivery aliquot
Storage information
Avoid freeze / thaw cycle

Product protocols

For this product, it's our understanding that no specific protocols are required. You can visit:

Target data

Required for genome-wide de novo methylation and is essential for the establishment of DNA methylation patterns during development (PubMed : 12138111, PubMed : 16357870, PubMed : 30478443). DNA methylation is coordinated with methylation of histones (PubMed : 12138111, PubMed : 16357870, PubMed : 30478443). It modifies DNA in a non-processive manner and also methylates non-CpG sites (PubMed : 12138111, PubMed : 16357870, PubMed : 30478443). May preferentially methylate DNA linker between 2 nucleosomal cores and is inhibited by histone H1 (By similarity). Plays a role in paternal and maternal imprinting (By similarity). Required for methylation of most imprinted loci in germ cells (By similarity). Acts as a transcriptional corepressor for ZBTB18 (By similarity). Recruited to trimethylated 'Lys-36' of histone H3 (H3K36me3) sites (By similarity). Can actively repress transcription through the recruitment of HDAC activity (By similarity). Also has weak auto-methylation activity on Cys-710 in absence of DNA (By similarity).
See full target information DNMT3A mutated R882H

Product promise

We are committed to supporting your work with high-quality reagents, and we're here for you every step of the way. In the unlikely event that one of our products does not perform as expected, you're protected by our Product Promise.
For full details, please see our Terms & Conditions

Please note: All products are 'FOR RESEARCH USE ONLY. NOT FOR USE IN DIAGNOSTIC OR THERAPEUTIC PROCEDURES'.

For licensing inquiries, please contact partnerships@abcam.com