JavaScript is disabled in your browser. Please enable JavaScript to view this website.
AB227883

Anti-Dnmt3b antibody - N-terminal

Be the first to review this product! Submit a review

|

(14 Publications)

Rabbit Polyclonal Dnmt3b antibody. N-terminal. Suitable for IP, WB, IHC-P, ICC/IF and reacts with Human samples. Cited in 14 publications. Immunogen corresponding to Recombinant Fragment Protein within Human DNMT3B.

View Alternative Names

DNA (cytosine-5)-methyltransferase 3B, Dnmt3b, DNA methyltransferase HsaIIIB, DNA MTase HsaIIIB, M.HsaIIIB, DNMT3B

6 Images
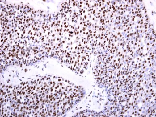
Immunohistochemistry (Formalin/PFA-fixed paraffin-embedded sections) - Anti-Dnmt3b antibody - N-terminal (AB227883)
  • IHC-P

Supplier Data

Immunohistochemistry (Formalin/PFA-fixed paraffin-embedded sections) - Anti-Dnmt3b antibody - N-terminal (AB227883)

Paraffin-embedded human lung carcinoma tissue stained for Dnmt3b using ab227883 at 1/250 dilution in immunohistochemical analysis.

Immunocytochemistry/ Immunofluorescence - Anti-Dnmt3b antibody - N-terminal (AB227883)
  • ICC/IF

Supplier Data

Immunocytochemistry/ Immunofluorescence - Anti-Dnmt3b antibody - N-terminal (AB227883)

HeLa (human epithelial cell line from cervix adenocarcinoma) cells stained for Dnmt3b (green) using ab227883 at 1/500 dilution in ICC/IF. Cells were fixed in 4% paraformaldehyde at RT for 15 minutes.

Red : phalloidin, a cytoskeleton marker, at 1/50 dilution.

Immunoprecipitation - Anti-Dnmt3b antibody - N-terminal (AB227883)
  • IP

Supplier Data

Immunoprecipitation - Anti-Dnmt3b antibody - N-terminal (AB227883)

Dnmt3b was immunoprecipitated from K562 (human chronic myelogenous leukemia cell line from bone marrow ) nuclear extract with 5 μg ab227883. Western blot was performed from the immunoprecipitate using ab227883. Anti-Rabbit IgG was used as a secondary reagent.

Lane 1 : Control IgG IP in K562 nuclear extract.

Lane 2 : ab227883 IP in K562 nuclear extract.

All lanes:

Immunoprecipitation - Anti-Dnmt3b antibody - N-terminal (ab227883)

Predicted band size: 96 kDa

false

Western blot - Anti-Dnmt3b antibody - N-terminal (AB227883)
  • WB

Supplier Data

Western blot - Anti-Dnmt3b antibody - N-terminal (AB227883)

7.5% SDS-PAGE gel.

All lanes:

Western blot - Anti-Dnmt3b antibody - N-terminal (ab227883) at 1/500 dilution

Lane 1:

Wild-type HeLa (human epithelial cell line from cervix adenocarcinoma) cell extract at 30 µg

Lane 2:

Dnmt3b knockout HeLa (human epithelial cell line from cervix adenocarcinoma) cell extract at 30 µg

Secondary

All lanes:

HRP-conjugated anti-rabbit IgG antibody

Predicted band size: 96 kDa

false

Western blot - Anti-Dnmt3b antibody - N-terminal (AB227883)
  • WB

Supplier Data

Western blot - Anti-Dnmt3b antibody - N-terminal (AB227883)

Samples were separated by 5% SDS-PAGE.

All lanes:

Western blot - Anti-Dnmt3b antibody - N-terminal (ab227883) at 1/500 dilution

Lane 1:

HeLa cell extracts at 30 µg

Lane 2:

HeLa nuclear cell extracts at 30 µg

Secondary

All lanes:

HRP-conjugated anti-rabbit IgG

Observed band size: 95 kDa

false

Western blot - Anti-Dnmt3b antibody - N-terminal (AB227883)
  • WB

Supplier Data

Western blot - Anti-Dnmt3b antibody - N-terminal (AB227883)

Samples were separated by 5% SDS-PAGE.

All lanes:

Western blot - Anti-Dnmt3b antibody - N-terminal (ab227883) at 1/5000 dilution

Lane 1:

Non-transfected 293T whole cell extracts at 30 µg

Lane 2:

Transfected 293T whole cell extracts at 30 µg

Secondary

All lanes:

HRP-conjugated anti-rabbit IgG

Observed band size: 95 kDa

true

Key facts

Host species

Rabbit

Clonality

Polyclonal

Isotype

IgG

Carrier free

No

Reacts with

Human

Applications

WB, ICC/IF, IP, IHC-P

applications

Immunogen

Recombinant Fragment Protein within Human DNMT3B. The exact immunogen used to generate this antibody is proprietary information.

Q9UBC3

Reactivity data

{ "title": "Reactivity Data", "filters": { "stats": ["", "Species", "Dilution Info", "Notes"], "tabs": { "all-applications": {"fullname" : "All Applications", "shortname": "All Applications"}, "IP" : {"fullname" : "Immunoprecipitation", "shortname":"IP"}, "WB" : {"fullname" : "Western blot", "shortname":"WB"}, "IHCP" : {"fullname" : "Immunohistochemistry (Formalin/PFA-fixed paraffin-embedded sections)", "shortname":"IHC-P"}, "ICCIF" : {"fullname" : "Immunocytochemistry/ Immunofluorescence", "shortname":"ICC/IF"} }, "product-promise": { "all": "all", "testedAndGuaranteed": "tested", "guaranteed": "expected", "predicted": "predicted", "notRecommended": "not-recommended" } }, "values": { "Human": { "IP-species-checked": "testedAndGuaranteed", "IP-species-dilution-info": "1/100 - 1/500", "IP-species-notes": "<p></p>", "WB-species-checked": "testedAndGuaranteed", "WB-species-dilution-info": "1/1000 - 1/10000", "WB-species-notes": "<p></p>", "IHCP-species-checked": "testedAndGuaranteed", "IHCP-species-dilution-info": "1/100 - 1/1000", "IHCP-species-notes": "<p></p>", "ICCIF-species-checked": "testedAndGuaranteed", "ICCIF-species-dilution-info": "1/100 - 1/1000", "ICCIF-species-notes": "<p></p>" } } }

Properties and storage information

Form
Liquid
Purification technique
Affinity purification Immunogen
Storage buffer
pH: 7 Preservative: 0.025% Proclin 300 Constituents: PBS, 20% Glycerol (glycerin, glycerine)
Shipped at conditions
Blue Ice
Appropriate short-term storage duration
1-2 weeks
Appropriate short-term storage conditions
+4°C
Appropriate long-term storage conditions
-20°C
Aliquoting information
Upon delivery aliquot
Storage information
Avoid freeze / thaw cycle

Product protocols

For this product, it's our understanding that no specific protocols are required. You can visit:

Target data

Required for genome-wide de novo methylation and is essential for the establishment of DNA methylation patterns during development. DNA methylation is coordinated with methylation of histones. May preferentially methylates nucleosomal DNA within the nucleosome core region. May function as transcriptional co-repressor by associating with CBX4 and independently of DNA methylation. Seems to be involved in gene silencing (By similarity). In association with DNMT1 and via the recruitment of CTCFL/BORIS, involved in activation of BAG1 gene expression by modulating dimethylation of promoter histone H3 at H3K4 and H3K9. Isoforms 4 and 5 are probably not functional due to the deletion of two conserved methyltransferase motifs. Functions as a transcriptional corepressor by associating with ZHX1. Required for DUX4 silencing in somatic cells (PubMed : 27153398).
See full target information DNMT3B

Publications (14)

Recent publications for all applications. Explore the full list and refine your search

Gerontology 70:1294-1304 PubMed39413738

2024

LncRNA MALAT1 Facilitates Parkinson's Disease Progression by Increasing SOCS3 Promoter Methylation.

Applications

Unspecified application

Species

Unspecified reactive species

Yuqi Liu,Dan Feng,Fenfen Liu,Yun Liu,Fangya Zuo,Yujie Wang,Lanlan Chen,Xiuhong Guo,Jinyong Tian

Proceedings of the National Academy of Sciences of the United States of America 121:e2404841121 PubMed39348545

2024

TCA metabolism regulates DNA hypermethylation in LPS and -induced immune tolerance.

Applications

Unspecified application

Species

Unspecified reactive species

Abhimanyu,Santiago Carrero Longlax,Tomoki Nishiguchi,Malik Ladki,Daanish Sheikh,Amera L Martinez,Emily M Mace,Sandra L Grimm,Thaleia Caldwell,Alexandra Portillo Varela,Rajagopal V Sekhar,Anna M Mandalakas,Mandla Mlotshwa,Sibuse Ginidza,Jeffrey D Cirillo,Robert S Wallis,Mihai G Netea,Reinout van Crevel,Cristian Coarfa,Andrew R DiNardo

The Journal of biological chemistry 300:107680 PubMed39159808

2024

LncRNA FAM83H-AS1 inhibits ferroptosis of endometrial cancer by promoting DNMT1-mediated CDO1 promoter hypermethylation.

Applications

Unspecified application

Species

Unspecified reactive species

Ruiyu Wang,Xiuzhang Yu,Hui Ye,Mengyin Ao,Mingrong Xi,Minmin Hou

Cell reports 43:114309 PubMed38848215

2024

Lineage specification in glioblastoma is regulated by METTL7B.

Applications

Unspecified application

Species

Unspecified reactive species

Myrianni Constantinou,James Nicholson,Xinyu Zhang,Eleni Maniati,Sara Lucchini,Gabriel Rosser,Claire Vinel,Jun Wang,Yau Mun Lim,Sebastian Brandner,Sven Nelander,Sara Badodi,Silvia Marino

Journal of animal science and biotechnology 13:146 PubMed36457054

2022

Coordinated transcriptional and post-transcriptional epigenetic regulation during skeletal muscle development and growth in pigs.

Applications

Unspecified application

Species

Unspecified reactive species

Du Zhang,Shumei Wu,Xinxin Zhang,Shuqiang Ren,Zhonglin Tang,Fei Gao

Neoplasma 69:1373-1385 PubMed36353938

2022

SUMO1-modified DNA methyltransferase 1 induces DNA hypermethylation of VWC2 in the development of colorectal cancer.

Applications

Unspecified application

Species

Unspecified reactive species

Xiao-Hu Cheng,Tong-Tong Xu,Lian-Bang Zhou,Fang-Yuan Li,Song Wang,Huan-Ru Liang,Jing-Jing Tang,Chang-Qin Duan,Heng Jiang,Ying-Feng Zhang,Zhi-Ning Liu

Stem cells international 2022:4041550 PubMed36187230

2022

lncRNA DARS-AS1 Modulates TSPAN1-Mediated ITGA2 Hypomethylation by Interaction with miR-194-5p Thus Promoting Ovarian Cancer Progression.

Applications

Unspecified application

Species

Unspecified reactive species

Jun Li,Haoyu Gao,Beibei Chen,Li Li,Qianqing Wang,Zhihui Gao

American journal of cancer research 12:1934-1959 PubMed35693076

2022

Circ_0006790 carried by bone marrow mesenchymal stem cell-derived exosomes regulates S100A11 DNA methylation through binding to CBX7 in pancreatic ductal adenocarcinoma.

Applications

Unspecified application

Species

Unspecified reactive species

Ge Gao,Liqiang Wang,Changfeng Li

PloS one 17:e0264014 PubMed35226658

2022

Expression of epigenetic pathway related genes in association with PD-L1, ER/PgR and MLH1 in endometrial carcinoma.

Applications

Unspecified application

Species

Unspecified reactive species

Ozlen Saglam,Biwei Cao,Xuefeng Wang,Gokce A Toruner,Jose R Conejo-Garcia

Bioengineered 13:4010-4027 PubMed35129056

2022

DNA methyltransferase 3 beta regulates promoter methylation of microRNA-149 to augment esophageal squamous cell carcinoma development through the ring finger protein 2/Wnt/β-catenin axis.

Applications

Unspecified application

Species

Unspecified reactive species

Junfeng Yang,Quan Zhang,Pu Zhao,Tong Qiao,Zhikun Cao,Fei Gao,Mengbo Liu,Sen Wu
View all publications

Product promise

We are committed to supporting your work with high-quality reagents, and we're here for you every step of the way. In the unlikely event that one of our products does not perform as expected, you're protected by our Product Promise.
For full details, please see our Terms & Conditions

Please note: All products are 'FOR RESEARCH USE ONLY. NOT FOR USE IN DIAGNOSTIC OR THERAPEUTIC PROCEDURES'.

For licensing inquiries, please contact partnerships@abcam.com