JavaScript is disabled in your browser. Please enable JavaScript to view this website.
AB194094

Anti-Dnmt3L antibody [EPR18774]

5

(1 Review)

|

(10 Publications)

Rabbit Recombinant Monoclonal Dnmt3L antibody. Suitable for IP, WB, ICC/IF, IHC-P and reacts with Mouse, Human samples. Cited in 10 publications.

View Alternative Names

DNA (cytosine-5)-methyltransferase 3-like, DNMT3L

7 Images
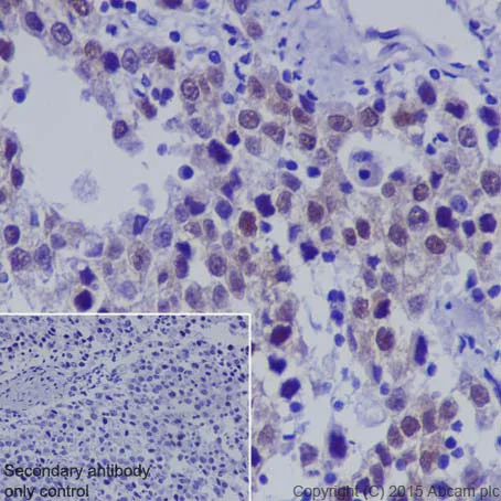
Immunohistochemistry (Formalin/PFA-fixed paraffin-embedded sections) - Anti-Dnmt3L antibody [EPR18774] (AB194094)
  • IHC-P

Supplier Data

Immunohistochemistry (Formalin/PFA-fixed paraffin-embedded sections) - Anti-Dnmt3L antibody [EPR18774] (AB194094)

Immunohistochemical analysis of paraffin-embedded Human yolk sac tumor tissue labeling Dnmt3L with ab194094 at 1/50 dilution followed by Goat Anti-Rabbit IgG H&L (HRP) (ab97051) at 1/500 dilution.

Nuclear staining was found on the tumor cells of Human yolk sac tumor.

Counter stained with Hematoxylin.

Secondary antibody only control : Used PBS instead of primary antibody secondary antibody is Goat Anti-Rabbit IgG H&L (HRP) (ab97051) at 1/500 dilution.

Perform heat mediated antigen retrieval with Tris/EDTA buffer pH 9.0 before commencing with IHC staining protocol.

Immunocytochemistry/ Immunofluorescence - Anti-Dnmt3L antibody [EPR18774] (AB194094)
  • ICC/IF

Supplier Data

Immunocytochemistry/ Immunofluorescence - Anti-Dnmt3L antibody [EPR18774] (AB194094)

Immunofluorescent analysis of 4% paraformaldehyde-fixed 0.1% Triton X-100 permeabilized NCCIT (Human pluripotent embryonic carcinoma) and HeLa (Human epithelial cells from cervix adenocarcinoma) cells labeling Dnmt3L with ab194094 at 1/250 dilution followed by Goat Anti-Rabbit IgG H&L (Alexa Fluor® 488) (ab150077) secondary antibody at 1/1000 dilution (green).

Confocal image showing nuclear staining on NCCIT cell line. Negative expression in HeLa cells (PMID : 20460473).

The nuclear counterstain is DAPI (blue).

Tubulin is detected with Anti-alpha Tubulin antibody [DM1A] - Loading Control (ab7291) at 1/1000 dilution and Goat Anti-Mouse IgG H&L (Alexa Fluor® 594) preadsorbed (ab150120) at 1/1000 dilution (red).

The negative controls are as follows : -

-ve control 1 : ab194094 at 1/250 dilution followed by ab150120 at 1/1000 dilution.

-ve control 2 : ab7291 at 1/1000 dilution followed by ab150077 at 1/1000 dilution.

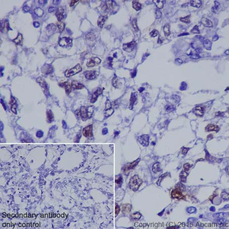
Immunohistochemistry (Formalin/PFA-fixed paraffin-embedded sections) - Anti-Dnmt3L antibody [EPR18774] (AB194094)
  • IHC-P

Supplier Data

Immunohistochemistry (Formalin/PFA-fixed paraffin-embedded sections) - Anti-Dnmt3L antibody [EPR18774] (AB194094)

Immunohistochemical analysis of paraffin-embedded Human seminoma tissue labeling Dnmt3L with ab194094 at 1/50 dilution followed by Goat Anti-Rabbit IgG H&L (HRP) (ab97051) at 1/500 dilution.

Mainly nuclear with weak cytoplasmic staining was found on tumor cells of Human seminoma.

Counter stained with Hematoxylin.

Secondary antibody only control : Used PBS instead of primary antibody secondary antibody is Goat Anti-Rabbit IgG H&L (HRP) (ab97051) at 1/500 dilution.

Perform heat mediated antigen retrieval with Tris/EDTA buffer pH 9.0 before commencing with IHC staining protocol.

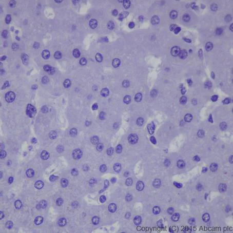
Immunohistochemistry (Formalin/PFA-fixed paraffin-embedded sections) - Anti-Dnmt3L antibody [EPR18774] (AB194094)
  • IHC-P

Supplier Data

Immunohistochemistry (Formalin/PFA-fixed paraffin-embedded sections) - Anti-Dnmt3L antibody [EPR18774] (AB194094)

Immunohistochemical analysis of paraffin-embedded Human liver tissue labeling Dnmt3L with ab194094 at 1/50 dilution followed by Goat Anti-Rabbit IgG H&L (HRP) (ab97051) at 1/500 dilution.

Negative staining on the Human liver is observed.

Counter stained with Hematoxylin.

Perform heat mediated antigen retrieval with Tris/EDTA buffer pH 9.0 before commencing with IHC staining protocol.

Immunohistochemistry (Formalin/PFA-fixed paraffin-embedded sections) - Anti-Dnmt3L antibody [EPR18774] (AB194094)
  • IHC-P

Supplier Data

Immunohistochemistry (Formalin/PFA-fixed paraffin-embedded sections) - Anti-Dnmt3L antibody [EPR18774] (AB194094)

Immunohistochemical analysis of paraffin-embedded Human kidney tissue labeling Dnmt3L with ab194094 at 1/50 dilution followed by Goat Anti-Rabbit IgG H&L (HRP) (ab97051) at 1/500 dilution.

Negative staining on the Human liver is observed.

Counter stained with Hematoxylin.

Perform heat mediated antigen retrieval with Tris/EDTA buffer pH 9.0 before commencing with IHC staining protocol.

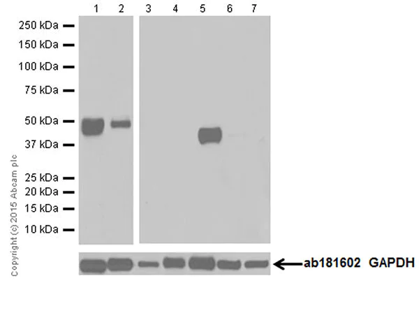
Western blot - Anti-Dnmt3L antibody [EPR18774] (AB194094)
  • WB

Supplier Data

Western blot - Anti-Dnmt3L antibody [EPR18774] (AB194094)

Blocking/Dilution buffer : 5% NFDM/TBST.

Observed MW : 48 kDa (mouse), 44 kDa (human).

Exposure time : Lanes 1 & 2 : 1 second; Lanes 3,4,5,6 & 7 : 3 minutes. GAPDH control lanes : 30 seconds.

1. The predicted molecular weight of human Dnmt3L is 44kDa and the predicted molecular weight of mouse Dnmt3L is 48kDa. This is consistent with what has been observed.
2. HeLa and T-47D cells do not express Dnmt3L (PMID : 20460473).

All lanes:

Western blot - Anti-Dnmt3L antibody [EPR18774] (ab194094) at 1/1000 dilution

Lane 1:

mESC (Mouse embryonic stem cells ) whole cell lysate at 20 µg

Lane 2:

F9 (Mouse embryonic testicular cancer cell line) whole cell lysate at 20 µg

Lane 3:

Rat testis lysate at 20 µg

Lane 4:

NTERA-2 cl.D1 [NT2/D1] (Human malignant pluripotent embryonic carcinoma) whole cell lysate at 20 µg

Lane 5:

NCCIT (Human pluripotent embryonic carcinoma) whole cell lysate at 20 µg

Lane 6:

HeLa (Human epithelial cells from cervix adenocarcinoma) whole cell lysate at 20 µg

Lane 7:

T-47D (Human ductal breast epithelial tumor cell line) whole cell lysate at 20 µg

Secondary

All lanes:

Western blot - Goat Anti-Rabbit IgG H&L (HRP) (<a href='/en-us/products/secondary-antibodies/goat-rabbit-igg-h-l-hrp-ab97051'>ab97051</a>) at 1/100000 dilution

Predicted band size: 44 kDa

Observed band size: 44 kDa

false

Immunoprecipitation - Anti-Dnmt3L antibody [EPR18774] (AB194094)
  • IP

Supplier Data

Immunoprecipitation - Anti-Dnmt3L antibody [EPR18774] (AB194094)

Dnmt3L was immunoprecipitated from 1mg of F9 (Mouse embryonic testicular cancer cell line) whole cell lysate with ab194094 at 1/50 dilution.

Western blot was performed from the immunoprecipitate using ab194094 at 1/1000 dilution.

VeriBlot for IP Detection Reagent (HRP) (ab131366), was used for detection at 1/1000 dilution.

Lane 1 : F9 whole cell lysate,10ug (Input).

Lane 2 : ab194094 IP in F9 whole cell lysate.

Lane 3 : Rabbit IgG, monoclonal [EPR25A] - Isotype Control (ab172730) instead of ab191594 in F9 whole cell lysate.

Blocking and dilution buffer and concentration : 5% NFDM/TBST.

Exposure time : 1 second.

All lanes:

Immunoprecipitation - Anti-Dnmt3L antibody [EPR18774] (ab194094)

Predicted band size: 44 kDa

Observed band size: 48 kDa

false

  • Carrier free

    Anti-Dnmt3L antibody [EPR18774] - BSA and Azide free

Key facts

Host species

Rabbit

Clonality

Monoclonal

Clone number

EPR18774

Isotype

IgG

Carrier free

No

Reacts with

Mouse, Human

Applications

IHC-P, IP, WB, ICC/IF

applications

Immunogen

The exact immunogen used to generate this antibody is proprietary information.

Reactivity data

{ "title": "Reactivity Data", "filters": { "stats": ["", "Species", "Dilution Info", "Notes"], "tabs": { "all-applications": {"fullname" : "All Applications", "shortname": "All Applications"}, "IP" : {"fullname" : "Immunoprecipitation", "shortname":"IP"}, "WB" : {"fullname" : "Western blot", "shortname":"WB"}, "ICCIF" : {"fullname" : "Immunocytochemistry/ Immunofluorescence", "shortname":"ICC/IF"}, "IHCP" : {"fullname" : "Immunohistochemistry (Formalin/PFA-fixed paraffin-embedded sections)", "shortname":"IHC-P"} }, "product-promise": { "all": "all", "testedAndGuaranteed": "tested", "guaranteed": "expected", "predicted": "predicted", "notRecommended": "not-recommended" } }, "values": { "Human": { "IP-species-checked": "guaranteed", "IP-species-dilution-info": "", "IP-species-notes": "", "WB-species-checked": "testedAndGuaranteed", "WB-species-dilution-info": "1/1000", "WB-species-notes": "<p>Predicted and actual band for mouse = 48kDa.Predicted and actual band for human = 44kDa.</p>", "ICCIF-species-checked": "testedAndGuaranteed", "ICCIF-species-dilution-info": "1/250", "ICCIF-species-notes": "<p></p>", "IHCP-species-checked": "testedAndGuaranteed", "IHCP-species-dilution-info": "1/50", "IHCP-species-notes": "<p>Tested using Human tissues only</p>" }, "Mouse": { "IP-species-checked": "testedAndGuaranteed", "IP-species-dilution-info": "1/50", "IP-species-notes": "<p></p>", "WB-species-checked": "guaranteed", "WB-species-dilution-info": "", "WB-species-notes": "", "ICCIF-species-checked": "guaranteed", "ICCIF-species-dilution-info": "", "ICCIF-species-notes": "", "IHCP-species-checked": "guaranteed", "IHCP-species-dilution-info": "", "IHCP-species-notes": "" } } }

Product details

Patented technology
Our RabMAb® technology is a patented hybridoma-based technology for making rabbit monoclonal antibodies. For details on our patents, please refer to RabMAb® patents.

What are the advantages of a recombinant monoclonal antibody?
This product is a recombinant monoclonal antibody, which offers several advantages including:

  • - High batch-to-batch consistency and reproducibility
  • - Improved sensitivity and specificity
  • - Long-term security of supply
  • - Animal-free batch production

For more information, read more on recombinant antibodies.

Properties and storage information

Form
Liquid
Purification technique
Affinity purification Protein A
Storage buffer
pH: 7.2 - 7.4 Preservative: 0.01% Sodium azide Constituents: PBS, 40% Glycerol (glycerin, glycerine), 0.05% BSA
Shipped at conditions
Blue Ice
Appropriate short-term storage duration
1-2 weeks
Appropriate short-term storage conditions
+4°C
Appropriate long-term storage conditions
-20°C
Aliquoting information
Upon delivery aliquot
Storage information
Avoid freeze / thaw cycle

Product protocols

For this product, it's our understanding that no specific protocols are required. You can visit:

Target data

Catalytically inactive regulatory factor of DNA methyltransferases that can either promote or inhibit DNA methylation depending on the context (By similarity). Essential for the function of DNMT3A and DNMT3B : activates DNMT3A and DNMT3B by binding to their catalytic domain (PubMed : 17687327). Acts by accelerating the binding of DNA and S-adenosyl-L-methionine (AdoMet) to the methyltransferases and dissociates from the complex after DNA binding to the methyltransferases (PubMed : 17687327). Recognizes unmethylated histone H3 lysine 4 (H3K4me0) and induces de novo DNA methylation by recruitment or activation of DNMT3 (PubMed : 17687327). Plays a key role in embryonic stem cells and germ cells (By similarity). In germ cells, required for the methylation of imprinted loci together with DNMT3A (By similarity). In male germ cells, specifically required to methylate retrotransposons, preventing their mobilization (By similarity). Plays a key role in embryonic stem cells (ESCs) by acting both as an positive and negative regulator of DNA methylation (By similarity). While it promotes DNA methylation of housekeeping genes together with DNMT3A and DNMT3B, it also acts as an inhibitor of DNA methylation at the promoter of bivalent genes (By similarity). Interacts with the EZH2 component of the PRC2/EED-EZH2 complex, preventing interaction of DNMT3A and DNMT3B with the PRC2/EED-EZH2 complex, leading to maintain low methylation levels at the promoters of bivalent genes (By similarity). Promotes differentiation of ESCs into primordial germ cells by inhibiting DNA methylation at the promoter of RHOX5, thereby activating its expression (By similarity).
See full target information DNMT3L

Publications (10)

Recent publications for all applications. Explore the full list and refine your search

STAR protocols 6:103576 PubMed39893639

2025

Protocol for differentiating cardiomyocytes and generating engineered heart tissues from human feeder-free extended pluripotent stem cells.

Applications

Unspecified application

Species

Unspecified reactive species

Zhongjun Wan,Shanshan Wen,Ran Zheng,Li Li,Wei Jiang,Donghui Zhang

Nature communications 15:7758 PubMed39237615

2024

The scaffolding function of LSD1 controls DNA methylation in mouse ESCs.

Applications

Unspecified application

Species

Unspecified reactive species

Sandhya Malla,Kanchan Kumari,Carlos A García-Prieto,Jonatan Caroli,Anna Nordin,Trinh T T Phan,Devi Prasad Bhattarai,Carlos Martinez-Gamero,Eshagh Dorafshan,Stephanie Stransky,Damiana Álvarez-Errico,Paulina Avovome Saiki,Weiyi Lai,Cong Lyu,Ludvig Lizana,Jonathan D Gilthorpe,Hailin Wang,Simone Sidoli,Andre Mateus,Dung-Fang Lee,Claudio Cantù,Manel Esteller,Andrea Mattevi,Angel-Carlos Roman,Francesca Aguilo

Journal of molecular histology 55:427-436 PubMed38850446

2024

Altered DNA methylation and Dnmt expression in obese uterus may cause implantation failure.

Applications

Unspecified application

Species

Unspecified reactive species

Nazlican Bozdemir,Tuba Kablan,Mehmet Ozgen Altintas,Gozde Sukur,Ozgur Cinar,Fatma Uysal

Nature communications 15:3266 PubMed38627502

2024

Combined and differential roles of ADD domains of DNMT3A and DNMT3L on DNA methylation landscapes in mouse germ cells.

Applications

Unspecified application

Species

Unspecified reactive species

Naoki Kubo,Ryuji Uehara,Shuhei Uemura,Hiroaki Ohishi,Kenjiro Shirane,Hiroyuki Sasaki

Nature communications 13:4440 PubMed35922445

2022

Histone H3K36me2 and H3K36me3 form a chromatin platform essential for DNMT3A-dependent DNA methylation in mouse oocytes.

Applications

Unspecified application

Species

Unspecified reactive species

Seiichi Yano,Takashi Ishiuchi,Shusaku Abe,Satoshi H Namekawa,Gang Huang,Yoshihiro Ogawa,Hiroyuki Sasaki

Frontiers in endocrinology 13:896747 PubMed35721752

2022

The Impact of Activin A on Fetal Gonocytes: Chronic Versus Acute Exposure Outcomes.

Applications

Unspecified application

Species

Unspecified reactive species

Sarah C Moody,Penny A F Whiley,Patrick S Western,Kate L Loveland

Cell reports 36:109423 PubMed34289349

2021

RHOX10 drives mouse spermatogonial stem cell establishment through a transcription factor signaling cascade.

Applications

Unspecified application

Species

Unspecified reactive species

Kun Tan,Hye-Won Song,Miles F Wilkinson

NPJ Regenerative medicine 6:25 PubMed34001907

2021

Running the full human developmental clock in interspecies chimeras using alternative human stem cells with expanded embryonic potential.

Applications

Unspecified application

Species

Unspecified reactive species

Justin Thomas,Ludovic Zimmerlin,Jeffrey S Huo,Michael Considine,Leslie Cope,Elias T Zambidis

Science advances 6:eaaz6699 PubMed32596448

2020

Genome-wide kinetic properties of transcriptional bursting in mouse embryonic stem cells.

Applications

Unspecified application

Species

Unspecified reactive species

Hiroshi Ochiai,Tetsutaro Hayashi,Mana Umeda,Mika Yoshimura,Akihito Harada,Yukiko Shimizu,Kenta Nakano,Noriko Saitoh,Zhe Liu,Takashi Yamamoto,Tadashi Okamura,Yasuyuki Ohkawa,Hiroshi Kimura,Itoshi Nikaido

Cell reports 27:1742-1754.e6 PubMed31067460

2019

Zfp281 Shapes the Transcriptome of Trophoblast Stem Cells and Is Essential for Placental Development.

Applications

Unspecified application

Species

Unspecified reactive species

Takashi Ishiuchi,Hiroaki Ohishi,Tetsuya Sato,Satoshi Kamimura,Masayoshi Yorino,Shusaku Abe,Atsushi Suzuki,Teruhiko Wakayama,Mikita Suyama,Hiroyuki Sasaki
View all publications

Product promise

We are committed to supporting your work with high-quality reagents, and we're here for you every step of the way. In the unlikely event that one of our products does not perform as expected, you're protected by our Product Promise.
For full details, please see our Terms & Conditions

Please note: All products are 'FOR RESEARCH USE ONLY. NOT FOR USE IN DIAGNOSTIC OR THERAPEUTIC PROCEDURES'.

For licensing inquiries, please contact partnerships@abcam.com