JavaScript is disabled in your browser. Please enable JavaScript to view this website.
AB251178

Anti-Dnmt3L antibody [EPR18774] - BSA and Azide free

Be the first to review this product! Submit a review

|

(0 Publication)

Rabbit Recombinant Monoclonal Dnmt3L antibody. Carrier free. Suitable for ICC/IF, IP, WB, IHC-P and reacts with Human, Mouse samples.

View Alternative Names

DNA (cytosine-5)-methyltransferase 3-like, DNMT3L

7 Images
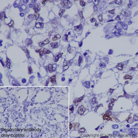
Immunohistochemistry (Formalin/PFA-fixed paraffin-embedded sections) - Anti-Dnmt3L antibody [EPR18774] - BSA and Azide free (AB251178)
  • IHC-P

Supplier Data

Immunohistochemistry (Formalin/PFA-fixed paraffin-embedded sections) - Anti-Dnmt3L antibody [EPR18774] - BSA and Azide free (AB251178)

This data was developed using ab194094, the same antibody clone in a different buffer formulation.

Immunohistochemical analysis of paraffin-embedded Human seminoma tissue labeling Dnmt3L with ab194094 at 1/50 dilution, followed by Goat Anti-Rabbit IgG H&L (HRP) (ab97051) at 1/500 dilution.

Mainly nuclear with weak cytoplasmic staining was found on tumor cells of Human seminoma.

Counter stained with Hematoxylin.

Secondary antibody only control : Used PBS instead of primary antibody, secondary antibody is Goat Anti-Rabbit IgG H&L (HRP) (ab97051) at 1/500 dilution.

Perform heat mediated antigen retrieval with Tris/EDTA buffer pH 9.0 before commencing with IHC staining protocol.

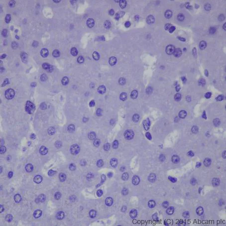
Immunohistochemistry (Formalin/PFA-fixed paraffin-embedded sections) - Anti-Dnmt3L antibody [EPR18774] - BSA and Azide free (AB251178)
  • IHC-P

Supplier Data

Immunohistochemistry (Formalin/PFA-fixed paraffin-embedded sections) - Anti-Dnmt3L antibody [EPR18774] - BSA and Azide free (AB251178)

This data was developed using ab194094, the same antibody clone in a different buffer formulation.

Immunohistochemical analysis of paraffin-embedded Human liver tissue labeling Dnmt3L with ab194094 at 1/50 dilution, followed by Goat Anti-Rabbit IgG H&L (HRP) (ab97051) at 1/500 dilution.

Negative staining on the Human liver is observed.

Counter stained with Hematoxylin.

Perform heat mediated antigen retrieval with Tris/EDTA buffer pH 9.0 before commencing with IHC staining protocol.

Immunocytochemistry/ Immunofluorescence - Anti-Dnmt3L antibody [EPR18774] - BSA and Azide free (AB251178)
  • ICC/IF

Supplier Data

Immunocytochemistry/ Immunofluorescence - Anti-Dnmt3L antibody [EPR18774] - BSA and Azide free (AB251178)

This data was developed using ab194094, the same antibody clone in a different buffer formulation.

Immunofluorescent analysis of 4% paraformaldehyde-fixed, 0.1% Triton X-100 permeabilized NCCIT (Human pluripotent embryonic carcinoma) and HeLa (Human epithelial cells from cervix adenocarcinoma) cells labeling Dnmt3L with ab194094 at 1/250 dilution, followed by Goat Anti-Rabbit IgG H&L (Alexa Fluor® 488) (ab150077) secondary antibody at 1/1000 dilution (green).

Confocal image showing nuclear staining on NCCIT cell line. Negative expression in HeLa cells (PMID : 20460473).

The nuclear counterstain is DAPI (blue).

Tubulin is detected with Anti-alpha Tubulin antibody [DM1A] - Loading Control (ab7291) at 1/1000 dilution and Goat Anti-Mouse IgG H&L (Alexa Fluor® 594) preadsorbed (ab150120) at 1/1000 dilution (red).

The negative controls are as follows : -

-ve control 1 : ab194094 at 1/250 dilution followed by ab150120 at 1/1000 dilution.

-ve control 2 : ab7291 at 1/1000 dilution followed by ab150077 at 1/1000 dilution.

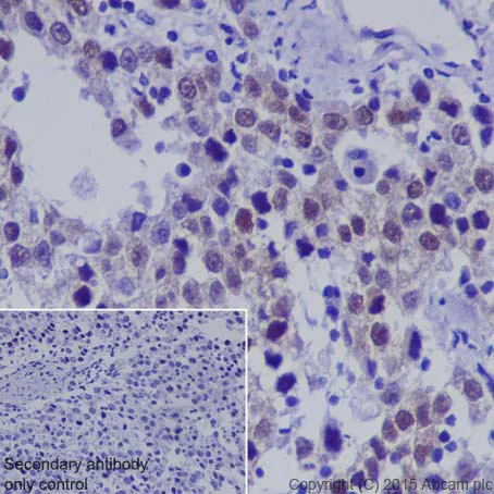
Immunohistochemistry (Formalin/PFA-fixed paraffin-embedded sections) - Anti-Dnmt3L antibody [EPR18774] - BSA and Azide free (AB251178)
  • IHC-P

Supplier Data

Immunohistochemistry (Formalin/PFA-fixed paraffin-embedded sections) - Anti-Dnmt3L antibody [EPR18774] - BSA and Azide free (AB251178)

This data was developed using ab194094, the same antibody clone in a different buffer formulation.

Immunohistochemical analysis of paraffin-embedded Human yolk sac tumor tissue labeling Dnmt3L with ab194094 at 1/50 dilution, followed by Goat Anti-Rabbit IgG H&L (HRP) (ab97051) at 1/500 dilution.

Nuclear staining was found on the tumor cells of Human yolk sac tumor.

Counter stained with Hematoxylin.

Secondary antibody only control : Used PBS instead of primary antibody, secondary antibody is Goat Anti-Rabbit IgG H&L (HRP) (ab97051) at 1/500 dilution.

Perform heat mediated antigen retrieval with Tris/EDTA buffer pH 9.0 before commencing with IHC staining protocol.

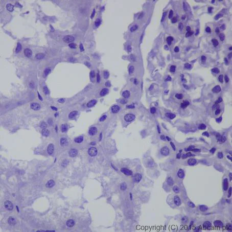
Immunohistochemistry (Formalin/PFA-fixed paraffin-embedded sections) - Anti-Dnmt3L antibody [EPR18774] - BSA and Azide free (AB251178)
  • IHC-P

Supplier Data

Immunohistochemistry (Formalin/PFA-fixed paraffin-embedded sections) - Anti-Dnmt3L antibody [EPR18774] - BSA and Azide free (AB251178)

This data was developed using ab194094, the same antibody clone in a different buffer formulation.

Immunohistochemical analysis of paraffin-embedded Human kidney tissue labeling Dnmt3L with ab194094 at 1/50 dilution, followed by Goat Anti-Rabbit IgG H&L (HRP) (ab97051) at 1/500 dilution.

Negative staining on the Human liver is observed.

Counter stained with Hematoxylin.

Perform heat mediated antigen retrieval with Tris/EDTA buffer pH 9.0 before commencing with IHC staining protocol.

Immunoprecipitation - Anti-Dnmt3L antibody [EPR18774] - BSA and Azide free (AB251178)
  • IP

Supplier Data

Immunoprecipitation - Anti-Dnmt3L antibody [EPR18774] - BSA and Azide free (AB251178)

This data was developed using ab194094, the same antibody clone in a different buffer formulation.

Dnmt3L was immunoprecipitated from 1mg of F9 (Mouse embryonic testicular cancer cell line) whole cell lysate with ab194094 at 1/50 dilution.

Western blot was performed from the immunoprecipitate using ab194094 at 1/1000 dilution.

VeriBlot for IP Detection Reagent (HRP) (ab131366), was used for detection at 1/1000 dilution.

Lane 1 : F9 whole cell lysate,10ug (Input).

Lane 2 : ab194094 IP in F9 whole cell lysate.

Lane 3 : Rabbit IgG, monoclonal [EPR25A] - Isotype Control (ab172730) instead of ab191594 in F9 whole cell lysate.

Blocking and dilution buffer : 5% NFDM/TBST.

Exposure time : 1 second.

All lanes:

Immunoprecipitation - Anti-Dnmt3L antibody [EPR18774] (<a href='/en-us/products/primary-antibodies/dnmt3l-antibody-epr18774-ab194094'>ab194094</a>)

Predicted band size: 44 kDa

Observed band size: 48 kDa

false

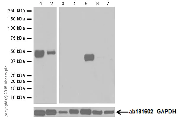
Western blot - Anti-Dnmt3L antibody [EPR18774] - BSA and Azide free (AB251178)
  • WB

Supplier Data

Western blot - Anti-Dnmt3L antibody [EPR18774] - BSA and Azide free (AB251178)

This data was developed using ab194094, the same antibody clone in a different buffer formulation.

Blocking and dilution buffer : 5% NFDM/TBST.

Observed MW : 48 kDa (mouse), 44 kDa (human).

Exposure times : Lanes 1-2 : 1 second; Lanes 3-7 : 3 minutes. GAPDH control lanes : 30 seconds.

1. The predicted molecular weight of human Dnmt3L is 44kDa and the predicted molecular weight of mouse Dnmt3L is 48kDa. This is consistent with what has been observed.

2. HeLa and T-47D cells do not express Dnmt3L (PMID : 20460473).

All lanes:

Western blot - Anti-Dnmt3L antibody [EPR18774] (<a href='/en-us/products/primary-antibodies/dnmt3l-antibody-epr18774-ab194094'>ab194094</a>) at 1/1000 dilution

Lane 1:

mESC (Mouse embryonic stem cells ) whole cell lysate at 20 µg

Lane 2:

F9 (Mouse embryonic testicular cancer cell line) whole cell lysate at 20 µg

Lane 3:

Rat testis lysate at 20 µg

Lane 4:

NTERA-2 cl.D1 [NT2/D1] (Human malignant pluripotent embryonic carcinoma) whole cell lysate at 20 µg

Lane 5:

NCCIT (Human pluripotent embryonic carcinoma) whole cell lysate at 20 µg

Lane 6:

HeLa (Human epithelial cells from cervix adenocarcinoma) whole cell lysate at 20 µg

Lane 7:

T-47D (Human ductal breast epithelial tumor cell line) whole cell lysate at 20 µg

Secondary

All lanes:

Western blot - Goat Anti-Rabbit IgG H&L (HRP) (<a href='/en-us/products/secondary-antibodies/goat-rabbit-igg-h-l-hrp-ab97051'>ab97051</a>) at 1/100000 dilution

Predicted band size: 44 kDa

Observed band size: 44 kDa

false

Key facts

Host species

Rabbit

Clonality

Monoclonal

Clone number

EPR18774

Isotype

IgG

Carrier free

Yes

Reacts with

Mouse, Human

Applications

WB, ICC/IF, IP, IHC-P

applications

Immunogen

The exact immunogen used to generate this antibody is proprietary information.

Reactivity data

{ "title": "Reactivity Data", "filters": { "stats": ["", "Species", "Dilution Info", "Notes"], "tabs": { "all-applications": {"fullname" : "All Applications", "shortname": "All Applications"}, "ICCIF" : {"fullname" : "Immunocytochemistry/ Immunofluorescence", "shortname":"ICC/IF"}, "IP" : {"fullname" : "Immunoprecipitation", "shortname":"IP"}, "WB" : {"fullname" : "Western blot", "shortname":"WB"}, "IHCP" : {"fullname" : "Immunohistochemistry (Formalin/PFA-fixed paraffin-embedded sections)", "shortname":"IHC-P"} }, "product-promise": { "all": "all", "testedAndGuaranteed": "tested", "guaranteed": "expected", "predicted": "predicted", "notRecommended": "not-recommended" } }, "values": { "Human": { "ICCIF-species-checked": "testedAndGuaranteed", "ICCIF-species-dilution-info": "", "ICCIF-species-notes": "<p></p>", "IP-species-checked": "guaranteed", "IP-species-dilution-info": "", "IP-species-notes": "", "WB-species-checked": "testedAndGuaranteed", "WB-species-dilution-info": "", "WB-species-notes": "<p>Predicted and actual band for mouse = 48kDa. Predicted and actual band for human = 44kDa.</p>", "IHCP-species-checked": "testedAndGuaranteed", "IHCP-species-dilution-info": "", "IHCP-species-notes": "<p>Tested using Human tissues only.</p>" }, "Mouse": { "ICCIF-species-checked": "guaranteed", "ICCIF-species-dilution-info": "", "ICCIF-species-notes": "", "IP-species-checked": "testedAndGuaranteed", "IP-species-dilution-info": "", "IP-species-notes": "<p></p>", "WB-species-checked": "guaranteed", "WB-species-dilution-info": "", "WB-species-notes": "", "IHCP-species-checked": "guaranteed", "IHCP-species-dilution-info": "", "IHCP-species-notes": "" } } }

Product details

ab251178 is the carrier-free version of ab194094.

Patented technology
Our RabMAb® technology is a patented hybridoma-based technology for making rabbit monoclonal antibodies. For details on our patents, please refer to RabMAb® patents.

What are the advantages of a recombinant monoclonal antibody?
This product is a recombinant monoclonal antibody, which offers several advantages including:

  • - High batch-to-batch consistency and reproducibility
  • - Improved sensitivity and specificity
  • - Long-term security of supply
  • - Animal-free batch production

For more information, read more on recombinant antibodies.

Conjugation ready
Our carrier-free antibodies are typically supplied in a PBS-only formulation, purified and free of BSA, sodium azide and glycerol. This conjugation-ready format is designed for use with fluorochromes, metal isotopes, oligonucleotides, and enzymes, which makes them ideal for antibody labelling, functional and cell-based assays, flow-based assays (e.g. mass cytometry) and Multiplex Imaging applications.

Use our conjugation kits for antibody conjugates that are ready-to-use in as little as 20 minutes with 1 minute hands-on-time and 100% antibody recovery: available for fluorescent dyes, HRP, biotin and gold.

Compatibility
This product is compatible with the Maxpar® Antibody Labeling Kit from Fluidigm, without the need for antibody preparation. Maxpar® is a trademark of Fluidigm Canada Inc.

Properties and storage information

Form
Liquid
Storage buffer
pH: 7.2 - 7.4 Constituents: PBS
Shipped at conditions
Blue Ice
Appropriate short-term storage conditions
+4°C
Appropriate long-term storage conditions
+4°C
Storage information
Do Not Freeze

Product protocols

For this product, it's our understanding that no specific protocols are required. You can visit:

Target data

Catalytically inactive regulatory factor of DNA methyltransferases that can either promote or inhibit DNA methylation depending on the context (By similarity). Essential for the function of DNMT3A and DNMT3B : activates DNMT3A and DNMT3B by binding to their catalytic domain (PubMed : 17687327). Acts by accelerating the binding of DNA and S-adenosyl-L-methionine (AdoMet) to the methyltransferases and dissociates from the complex after DNA binding to the methyltransferases (PubMed : 17687327). Recognizes unmethylated histone H3 lysine 4 (H3K4me0) and induces de novo DNA methylation by recruitment or activation of DNMT3 (PubMed : 17687327). Plays a key role in embryonic stem cells and germ cells (By similarity). In germ cells, required for the methylation of imprinted loci together with DNMT3A (By similarity). In male germ cells, specifically required to methylate retrotransposons, preventing their mobilization (By similarity). Plays a key role in embryonic stem cells (ESCs) by acting both as an positive and negative regulator of DNA methylation (By similarity). While it promotes DNA methylation of housekeeping genes together with DNMT3A and DNMT3B, it also acts as an inhibitor of DNA methylation at the promoter of bivalent genes (By similarity). Interacts with the EZH2 component of the PRC2/EED-EZH2 complex, preventing interaction of DNMT3A and DNMT3B with the PRC2/EED-EZH2 complex, leading to maintain low methylation levels at the promoters of bivalent genes (By similarity). Promotes differentiation of ESCs into primordial germ cells by inhibiting DNA methylation at the promoter of RHOX5, thereby activating its expression (By similarity).
See full target information DNMT3L

Product promise

We are committed to supporting your work with high-quality reagents, and we're here for you every step of the way. In the unlikely event that one of our products does not perform as expected, you're protected by our Product Promise.
For full details, please see our Terms & Conditions

Please note: All products are 'FOR RESEARCH USE ONLY. NOT FOR USE IN DIAGNOSTIC OR THERAPEUTIC PROCEDURES'.

For licensing inquiries, please contact partnerships@abcam.com