JavaScript is disabled in your browser. Please enable JavaScript to view this website.
AB203068

Anti-DOCK2 antibody

Be the first to review this product! Submit a review

|

(1 Publication)

Rabbit Polyclonal DOCK2 antibody. Suitable for IHC-P and reacts with Mouse samples. Cited in 1 publication. Immunogen corresponding to Synthetic Peptide within Human DOCK2 aa 500-550 conjugated to Keyhole Limpet Haemocyanin.

View Alternative Names

KIAA0209, DOCK2, Dedicator of cytokinesis protein 2

1 Images
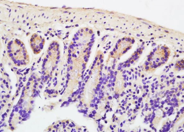
Immunohistochemistry (Formalin/PFA-fixed paraffin-embedded sections) - Anti-DOCK2 antibody (AB203068)
  • IHC-P

Supplier Data

Immunohistochemistry (Formalin/PFA-fixed paraffin-embedded sections) - Anti-DOCK2 antibody (AB203068)

Immunohistochemical analysis of formalin fixed and paraffin embedded mouse intestine labeling DOCK2 using ab203068 at 1/200 dilution. DAB staining.

Key facts

Host species

Rabbit

Clonality

Polyclonal

Isotype

IgG

Carrier free

No

Reacts with

Mouse

Applications

IHC-P

applications

Immunogen

Synthetic Peptide within Human DOCK2 aa 500-550 conjugated to Keyhole Limpet Haemocyanin. The exact immunogen used to generate this antibody is proprietary information.

Q92608

Reactivity data

{ "title": "Reactivity Data", "filters": { "stats": ["", "Species", "Dilution Info", "Notes"], "tabs": { "all-applications": {"fullname" : "All Applications", "shortname": "All Applications"}, "IHCP" : {"fullname" : "Immunohistochemistry (Formalin/PFA-fixed paraffin-embedded sections)", "shortname":"IHC-P"} }, "product-promise": { "all": "all", "testedAndGuaranteed": "tested", "guaranteed": "expected", "predicted": "predicted", "notRecommended": "not-recommended" } }, "values": { "Mouse": { "IHCP-species-checked": "testedAndGuaranteed", "IHCP-species-dilution-info": "1/100 - 1/500", "IHCP-species-notes": "<p>When using a fluorescent probe the recommended dilution is 1/50 – 1/200.</p>" } } }

Properties and storage information

Form
Liquid
Purification technique
Affinity purification Protein A
Storage buffer
pH: 7.4 Preservative: 0.02% Proclin 300 Constituents: 50% Glycerol (glycerin, glycerine), 48.98% TBS, 1X, 1% BSA
Shipped at conditions
Blue Ice
Appropriate short-term storage duration
1-2 weeks
Appropriate short-term storage conditions
+4°C
Appropriate long-term storage conditions
-20°C
Aliquoting information
Upon delivery aliquot
Storage information
Avoid freeze / thaw cycle

Product protocols

For this product, it's our understanding that no specific protocols are required. You can visit:

Target data

Involved in cytoskeletal rearrangements required for lymphocyte migration in response of chemokines. Activates RAC1 and RAC2, but not CDC42, by functioning as a guanine nucleotide exchange factor (GEF), which exchanges bound GDP for free GTP. May also participate in IL2 transcriptional activation via the activation of RAC2.
See full target information DOCK2

Publications (1)

Recent publications for all applications. Explore the full list and refine your search

JOR spine 6:e1238 PubMed36994456

2023

Harmonization and standardization of nucleus pulposus cell extraction and culture methods.

Applications

Unspecified application

Species

Unspecified reactive species

Shaghayegh Basatvat,Frances C Bach,Marcos N Barcellona,Abbie L Binch,Conor T Buckley,Brian Bueno,Nadeen O Chahine,Ana Chee,Laura B Creemers,Stefan Dudli,Bailey Fearing,Stephen J Ferguson,Jennifer Gansau,Benjamin Gantenbein,Rahul Gawri,Juliane D Glaeser,Sibylle Grad,Julien Guerrero,Lisbet Haglund,Paula A Hernandez,Judith A Hoyland,Charles Huang,James C Iatridis,Svenja Illien-Junger,Liufang Jing,Petra Kraus,Lisanne T Laagland,Gernot Lang,Victor Leung,Zhen Li,Thomas Lufkin,Josette C van Maanen,Emily E McDonnell,Chris J Panebianco,Steven M Presciutti,Sanjna Rao,Stephen M Richardson,Sarah Romereim,Tara C Schmitz,Jordy Schol,Lori Setton,Dmitriy Sheyn,Joseph W Snuggs,Y Sun,Xiaohong Tan,Marianna A Tryfonidou,Nam Vo,Dong Wang,Brandon Williams,Rebecca Williams,S Tim Yoon,Christine L Le Maitre
View all publications

Product promise

We are committed to supporting your work with high-quality reagents, and we're here for you every step of the way. In the unlikely event that one of our products does not perform as expected, you're protected by our Product Promise.
For full details, please see our Terms & Conditions

Please note: All products are 'FOR RESEARCH USE ONLY. NOT FOR USE IN DIAGNOSTIC OR THERAPEUTIC PROCEDURES'.

For licensing inquiries, please contact partnerships@abcam.com