JavaScript is disabled in your browser. Please enable JavaScript to view this website.
AB204421

Anti-DOCK9/Trg antibody

Be the first to review this product! Submit a review

|

(2 Publications)

Rabbit Polyclonal DOCK9/Trg antibody. Suitable for IHC-P, WB and reacts with Human samples. Cited in 2 publications. Immunogen corresponding to Recombinant Fragment Protein within Human DOCK9 aa 250-400.

View Alternative Names

KIAA1058, ZIZ1, DOCK9, Dedicator of cytokinesis protein 9, Cdc42 guanine nucleotide exchange factor zizimin-1, Zizimin-1

5 Images
Immunohistochemistry (Formalin/PFA-fixed paraffin-embedded sections) - Anti-DOCK9/Trg antibody (AB204421)
  • IHC-P

Supplier Data

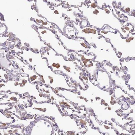
Immunohistochemistry (Formalin/PFA-fixed paraffin-embedded sections) - Anti-DOCK9/Trg antibody (AB204421)

Paraffin embedded human lung tissue stained for DOCK9/Trg using ab204421 at 1/1000 dilution in immunohistochemical analysis.

Heat mediated antigen retrieval was performed with citrate buffer pH 6 before the IHC staining protocol.

Immunohistochemistry (Formalin/PFA-fixed paraffin-embedded sections) - Anti-DOCK9/Trg antibody (AB204421)
  • IHC-P

Supplier Data

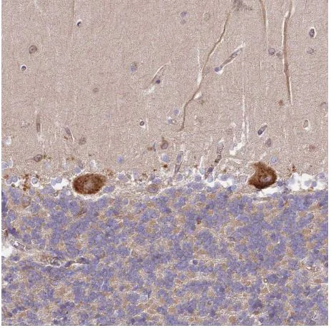
Immunohistochemistry (Formalin/PFA-fixed paraffin-embedded sections) - Anti-DOCK9/Trg antibody (AB204421)

Paraffin embedded human cerebellum tissue stained for DOCK9/Trg using ab204421 at 1/1000 dilution in immunohistochemical analysis.

Heat mediated antigen retrieval was performed with citrate buffer pH 6 before the IHC staining protocol.

Immunohistochemistry (Formalin/PFA-fixed paraffin-embedded sections) - Anti-DOCK9/Trg antibody (AB204421)
  • IHC-P

Supplier Data

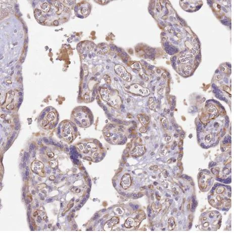
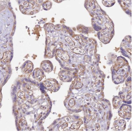
Immunohistochemistry (Formalin/PFA-fixed paraffin-embedded sections) - Anti-DOCK9/Trg antibody (AB204421)

Paraffin embedded human placenta tissue stained for DOCK9/Trg using ab204421 at 1/1000 dilution in immunohistochemical analysis.

Heat mediated antigen retrieval was performed with citrate buffer pH 6 before the IHC staining protocol.

Immunohistochemistry (Formalin/PFA-fixed paraffin-embedded sections) - Anti-DOCK9/Trg antibody (AB204421)
  • IHC-P

Supplier Data

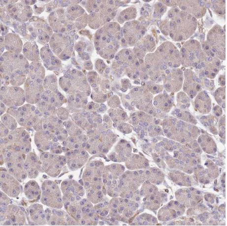
Immunohistochemistry (Formalin/PFA-fixed paraffin-embedded sections) - Anti-DOCK9/Trg antibody (AB204421)

Paraffin embedded human pancreas tissue stained for DOCK9/Trg using ab204421 at 1/1000 dilution in immunohistochemical analysis. Shows no positivity in exocrine glandular cells as expected.

Heat mediated antigen retrieval was performed with citrate buffer pH 6 before the IHC staining protocol.

Western blot - Anti-DOCK9/Trg antibody (AB204421)
  • WB

Supplier Data

Western blot - Anti-DOCK9/Trg antibody (AB204421)

Lane 1:

Western blot - Anti-DOCK9/Trg antibody (ab204421)

Lane 2:

Western blot - Anti-DOCK9/Trg antibody (ab204421) at 0.4 µg/mL

Lane 1:

Molecular weight ladder

Lane 2:

Caco-2 cell lysate

Predicted band size: 236 kDa,44 kDa

false

Key facts

Host species

Rabbit

Clonality

Polyclonal

Isotype

IgG

Carrier free

No

Reacts with

Human

Applications

IHC-P, WB

applications

Immunogen

Recombinant Fragment Protein within Human DOCK9 aa 250-400. The exact immunogen used to generate this antibody is proprietary information.

Q9BZ29

Reactivity data

{ "title": "Reactivity Data", "filters": { "stats": ["", "Species", "Dilution Info", "Notes"], "tabs": { "all-applications": {"fullname" : "All Applications", "shortname": "All Applications"}, "IHCP" : {"fullname" : "Immunohistochemistry (Formalin/PFA-fixed paraffin-embedded sections)", "shortname":"IHC-P"}, "WB" : {"fullname" : "Western blot", "shortname":"WB"} }, "product-promise": { "all": "all", "testedAndGuaranteed": "tested", "guaranteed": "expected", "predicted": "predicted", "notRecommended": "not-recommended" } }, "values": { "Human": { "IHCP-species-checked": "testedAndGuaranteed", "IHCP-species-dilution-info": "1/500 - 1/1000", "IHCP-species-notes": "<p></p> Perform heat-mediated antigen retrieval with citrate buffer pH 6 before commencing with IHC staining protocol.", "WB-species-checked": "testedAndGuaranteed", "WB-species-dilution-info": "0.04-0.4 µg/mL", "WB-species-notes": "<p></p>" }, "Mouse": { "IHCP-species-checked": "predicted", "IHCP-species-dilution-info": "", "IHCP-species-notes": "", "WB-species-checked": "predicted", "WB-species-dilution-info": "", "WB-species-notes": "" }, "Rat": { "IHCP-species-checked": "predicted", "IHCP-species-dilution-info": "", "IHCP-species-notes": "", "WB-species-checked": "predicted", "WB-species-dilution-info": "", "WB-species-notes": "" } } }

Properties and storage information

Form
Liquid
Purification technique
Affinity purification Immunogen
Storage buffer
pH: 7.2 Preservative: 0.02% Sodium azide Constituents: PBS, 40% Glycerol (glycerin, glycerine)
Shipped at conditions
Blue Ice
Appropriate short-term storage duration
1-2 weeks
Appropriate short-term storage conditions
+4°C
Appropriate long-term storage conditions
-20°C
Aliquoting information
Upon delivery aliquot
Storage information
Avoid freeze / thaw cycle

Supplementary information

This supplementary information is collated from multiple sources and compiled automatically.

DOCK9 also known as Dedicator of Cytokinesis 9 functions as a guanine nucleotide exchange factor (GEF) specifically for the Rho family GTPases including CDC42. This protein has a molecular mass of approximately 250 kDa. DOCK9 is expressed in various tissues including high expression in the brain and lymphoid tissues. Its role primarily involves facilitating the exchange of GDP for GTP on GTPases which is important for signal transduction and cellular morphology.
Biological function summary

DOCK9 regulates cytoskeletal organization and is part of a protein complex that influences actin polymerization. By activating CDC42 DOCK9 contributes to cellular processes such as migration proliferation and immune response. Its activity affects the modulation of actin filaments which is essential for the maintenance of cell shape and the formation of cellular protrusions such as filopodia.

Pathways

DOCK9 has significant roles in both the PI3K-Akt signaling pathway and the Rho GTPase cycle. In these pathways DOCK9 interacts with proteins that determine cell survival growth and motility. CDC42 influences both pathways interacting with other related proteins like RAC1 which further emphasizes the importance of DOCK9 in pathways regulating cell dynamics and receptor signaling.

DOCK9 links to conditions like cancer and immunodeficiency. Alterations in its regulation or expression can lead to aberrant cell migration and proliferation contributing to tumorigenesis. Additionally DOCK9's involvement in activating CDC42 associates it with immunological dysfunctions. Changes in the CDC42 pathway can result in disrupted immune cell activity and development leading to immune-related disorders.

Product protocols

For this product, it's our understanding that no specific protocols are required. You can visit:

Target data

Guanine nucleotide-exchange factor (GEF) that activates CDC42 by exchanging bound GDP for free GTP. Overexpression induces filopodia formation.
See full target information DOCK9

Publications (2)

Recent publications for all applications. Explore the full list and refine your search

Nature communications 15:4969 PubMed38862489

2024

MYG1 drives glycolysis and colorectal cancer development through nuclear-mitochondrial collaboration.

Applications

Unspecified application

Species

Unspecified reactive species

Jianxiong Chen,Shiyu Duan,Yulu Wang,Yuping Ling,Xiaotao Hou,Sijing Zhang,Xunhua Liu,Xiaoli Long,Jiawen Lan,Miao Zhou,Huimeng Xu,Haoxuan Zheng,Jun Zhou

Clinics (Sao Paulo, Brazil) 77:100019 PubMed35397366

2022

IRF4 suppresses osteogenic differentiation of BM-MSCs by transcriptionally activating miR-636/DOCK9 axis.

Applications

Unspecified application

Species

Unspecified reactive species

Xuepu Zhang,Yue Zhang,Limin Yang,Yuexin Wu,Xiaohu Ma,Gang Tong,Zhaoliang Ban,Haosen Zhao
View all publications

Product promise

We are committed to supporting your work with high-quality reagents, and we're here for you every step of the way. In the unlikely event that one of our products does not perform as expected, you're protected by our Product Promise.
For full details, please see our Terms & Conditions

Please note: All products are 'FOR RESEARCH USE ONLY. NOT FOR USE IN DIAGNOSTIC OR THERAPEUTIC PROCEDURES'.

For licensing inquiries, please contact partnerships@abcam.com