JavaScript is disabled in your browser. Please enable JavaScript to view this website.
AB236609

Anti-DOK3 antibody

1

(1 Review)

|

(5 Publications)

Rabbit Polyclonal DOK3 antibody. Suitable for WB, IHC-P, ICC/IF and reacts with Mouse, Human samples. Cited in 5 publications. Immunogen corresponding to Recombinant Fragment Protein within Human DOK3 aa 1-150.

View Alternative Names

Docking protein 3, Downstream of tyrosine kinase 3, DOK3

3 Images
Immunocytochemistry/ Immunofluorescence - Anti-DOK3 antibody (AB236609)
  • ICC/IF

Supplier Data

Immunocytochemistry/ Immunofluorescence - Anti-DOK3 antibody (AB236609)

A549 (Human lung carcinoma cell line) cells labeling DOK3 using ab236609 at 1/100 dilution in ICC/IF. The secondary antibody was an Alexa-Fluor®488-conjugated goat anti-rabbit IgG (H+L).

Immunohistochemistry (Formalin/PFA-fixed paraffin-embedded sections) - Anti-DOK3 antibody (AB236609)
  • IHC-P

Supplier Data

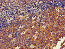
Immunohistochemistry (Formalin/PFA-fixed paraffin-embedded sections) - Anti-DOK3 antibody (AB236609)

Paraffin-embedded human tonsil tissue stained for DOK3 using ab236609 at 1/100 dilution in immunohistochemical analysis.

Western blot - Anti-DOK3 antibody (AB236609)
  • WB

Supplier Data

Western blot - Anti-DOK3 antibody (AB236609)

All lanes:

Western blot - Anti-DOK3 antibody (ab236609) at 1/500 dilution

Lane 1:

Mouse heart tissue lysate

Lane 2:

Mouse placenta tissue lysate

Secondary

All lanes:

Goat polyclonal to rabbit IgG at 1/50000 dilution

Predicted band size: 53 kDa

false

Key facts

Host species

Rabbit

Clonality

Polyclonal

Isotype

IgG

Carrier free

No

Reacts with

Mouse, Human

Applications

ICC/IF, WB, IHC-P

applications

Immunogen

Recombinant Fragment Protein within Human DOK3 aa 1-150. The exact immunogen used to generate this antibody is proprietary information.

Q7L591

Reactivity data

{ "title": "Reactivity Data", "filters": { "stats": ["", "Species", "Dilution Info", "Notes"], "tabs": { "all-applications": {"fullname" : "All Applications", "shortname": "All Applications"}, "WB" : {"fullname" : "Western blot", "shortname":"WB"}, "IHCP" : {"fullname" : "Immunohistochemistry (Formalin/PFA-fixed paraffin-embedded sections)", "shortname":"IHC-P"}, "ICCIF" : {"fullname" : "Immunocytochemistry/ Immunofluorescence", "shortname":"ICC/IF"} }, "product-promise": { "all": "all", "testedAndGuaranteed": "tested", "guaranteed": "expected", "predicted": "predicted", "notRecommended": "not-recommended" } }, "values": { "Human": { "WB-species-checked": "guaranteed", "WB-species-dilution-info": "", "WB-species-notes": "", "IHCP-species-checked": "testedAndGuaranteed", "IHCP-species-dilution-info": "1/20 - 1/200", "IHCP-species-notes": "<p></p>", "ICCIF-species-checked": "testedAndGuaranteed", "ICCIF-species-dilution-info": "1/50 - 1/200", "ICCIF-species-notes": "<p></p>" }, "Mouse": { "WB-species-checked": "testedAndGuaranteed", "WB-species-dilution-info": "1/500 - 1/5000", "WB-species-notes": "<p></p>", "IHCP-species-checked": "guaranteed", "IHCP-species-dilution-info": "", "IHCP-species-notes": "", "ICCIF-species-checked": "guaranteed", "ICCIF-species-dilution-info": "", "ICCIF-species-notes": "" } } }

Properties and storage information

Form
Liquid
Purification technique
Affinity purification Protein G
Purification notes
Purity >95%.
Storage buffer
pH: 7.4 Preservative: 0.03% Proclin 300 Constituents: PBS, 50% Glycerol (glycerin, glycerine)
Shipped at conditions
Blue Ice
Appropriate short-term storage duration
1-2 weeks
Appropriate short-term storage conditions
+4°C
Appropriate long-term storage conditions
-20°C
Aliquoting information
Upon delivery aliquot
Storage information
Avoid freeze / thaw cycle

Supplementary information

This supplementary information is collated from multiple sources and compiled automatically.

The DOK3 protein also recognized by its alternate names such as Docking Protein 3 is an adaptor protein with a mass of approximately 50 kDa. It is expressed mainly in hematopoietic cells. DOK3 possesses both pleckstrin homology (PH) and phosphotyrosine-binding (PTB) domains that facilitate its interactions with other signaling molecules. By providing docking sites for these molecules DOK3 significantly influences intracellular signaling and cellular communication processes.
Biological function summary

DOK3 influences immune functions by being an important modulatory component in immune cells. It forms part of a signaling complex interconnected with other tyrosine kinase proteins and adaptors. Through these interactions it influences negative regulation of immunoreceptor signaling which is particularly important in B-cells. This regulation affects cellular responses helping to balance the immune system's activity and prevent overactive immune reactions that could potentially harm the host.

Pathways

Researchers have positioned DOK3 as an integral component within the B-cell receptor (BCR) signaling pathway. This pathway vital for B-cell activation and differentiation is directly influenced by the interaction of DOK3 with proteins such as SYK kinase and SHIP1 phosphatase. These interactions inhibit excessive activation signals allowing DOK3 to maintain immune system homeostasis and ensure proper immune function.

DOK3 involvement stands out in conditions like autoimmune diseases and certain types of leukemias. In autoimmune diseases impaired DOK3 function can lead to dysregulation of immune responses while in leukemias aberrations in DOK3 expression may alter cell growth signals influencing disease progression. Its interaction with proteins like SYK highlights its potential role as both a biomarker and therapeutic target in these disorders.

Product protocols

For this product, it's our understanding that no specific protocols are required. You can visit:

Target data

DOK proteins are enzymatically inert adaptor or scaffolding proteins. They provide a docking platform for the assembly of multimolecular signaling complexes. DOK3 is a negative regulator of JNK signaling in B-cells through interaction with INPP5D/SHIP1. May modulate ABL1 function (By similarity).
See full target information DOK3

Publications (5)

Recent publications for all applications. Explore the full list and refine your search

BMC cancer 24:534 PubMed38671413

2024

Association of DOK3 and infiltrated tumor-associated macrophages with risk for the prognosis of Porphyromonas gingivalis-infected oral cancer: a 12-year data analysis of 200 patients from a tertiary teaching hospital, Urumqi, China.

Applications

Unspecified application

Species

Unspecified reactive species

Chenxi Li,Muqiu Li,Wei Wei,Zhengye Wang,Jingwen Yu,Zhongcheng Gong

The Journal of international medical research 51:3000605231174974 PubMed37235715

2023

Expression and clinical significance of DOK3 in renal clear cell carcinoma.

Applications

Unspecified application

Species

Unspecified reactive species

Yi-Fan Wang,Yu-Qi Hu,Yu-Ning Hu,Yu-Chen Bai,Heng Wang,Qi Zhang

Medical science monitor : international medical journal of experimental and clinical research 28:e937126 PubMed36210538

2022

Porphyromonas gingivalis Activation of Tumor-Associated Macrophages via DOK3 Promotes Recurrence of Oral Squamous Cell Carcinoma.

Applications

Unspecified application

Species

Unspecified reactive species

Chen-Xi Li,Ying Su,Zhong-Cheng Gong,Hui Liu

Oxidative medicine and cellular longevity 2021:2896674 PubMed34820053

2021

ULK1 Suppresses Osteoclast Differentiation and Bone Resorption via Inhibiting Syk-JNK through DOK3.

Applications

Unspecified application

Species

Unspecified reactive species

Yufeng Zhang,Sheng Zhang,Yi Wang,Zhiqiang Yang,Zhe Chen,Nengqiao Wen,Min Yang,Zan Huang,Yuanlong Xie,Lin Cai

International journal of stem cells 13:221-236 PubMed32323511

2020

Intratracheal Transplantation of Amnion-Derived Mesenchymal Stem Cells Ameliorates Hyperoxia-Induced Neonatal Hyperoxic Lung Injury via Aminoacyl-Peptide Hydrolase.

Applications

Unspecified application

Species

Unspecified reactive species

Zhenghao Li,Xiangcui Gong,Dong Li,Xiaofei Yang,Qing Shi,Xiuli Ju
View all publications

Product promise

We are committed to supporting your work with high-quality reagents, and we're here for you every step of the way. In the unlikely event that one of our products does not perform as expected, you're protected by our Product Promise.
For full details, please see our Terms & Conditions

Please note: All products are 'FOR RESEARCH USE ONLY. NOT FOR USE IN DIAGNOSTIC OR THERAPEUTIC PROCEDURES'.

For licensing inquiries, please contact partnerships@abcam.com