JavaScript is disabled in your browser. Please enable JavaScript to view this website.
AB189991

Anti-Dopamine beta Hydroxylase antibody

4

(1 Review)

|

(3 Publications)

Goat Polyclonal Dopamine beta Hydroxylase antibody. Suitable for WB, IHC-P and reacts with Human samples. Cited in 3 publications. Immunogen corresponding to Synthetic Peptide within Human Dopamine beta-hydroxylase aa 400-450.

View Alternative Names

Dopamine beta-hydroxylase, Dopamine beta-monooxygenase, DBH

2 Images
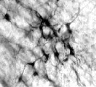
Immunohistochemistry (Formalin/PFA-fixed paraffin-embedded sections) - Anti-Dopamine beta Hydroxylase antibody (AB189991)
  • IHC-P

Supplier Data

Immunohistochemistry (Formalin/PFA-fixed paraffin-embedded sections) - Anti-Dopamine beta Hydroxylase antibody (AB189991)

Immunohistochemical analysis of formalin-fixed, paraffin-embedded Human adrenal tissue labeling Dopamine beta Hydroxylase with ab189991 at 5 μg/ml.

Western blot - Anti-Dopamine beta Hydroxylase antibody (AB189991)
  • WB

Supplier Data

Western blot - Anti-Dopamine beta Hydroxylase antibody (AB189991)

All lanes:

Western blot - Anti-Dopamine beta Hydroxylase antibody (ab189991) at 2 µg/mL

All lanes:

Jurkat cell lysate (in RIPA buffer) at 35 µg

Predicted band size: 69 kDa

true

Key facts

Host species

Goat

Clonality

Polyclonal

Isotype

IgG

Carrier free

No

Reacts with

Human

Applications

WB, IHC-P

applications

Immunogen

Synthetic Peptide within Human Dopamine beta-hydroxylase aa 400-450. The exact immunogen used to generate this antibody is proprietary information.

P09172

Reactivity data

{ "title": "Reactivity Data", "filters": { "stats": ["", "Species", "Dilution Info", "Notes"], "tabs": { "all-applications": {"fullname" : "All Applications", "shortname": "All Applications"}, "WB" : {"fullname" : "Western blot", "shortname":"WB"}, "IHCP" : {"fullname" : "Immunohistochemistry (Formalin/PFA-fixed paraffin-embedded sections)", "shortname":"IHC-P"} }, "product-promise": { "all": "all", "testedAndGuaranteed": "tested", "guaranteed": "expected", "predicted": "predicted", "notRecommended": "not-recommended" } }, "values": { "Human": { "WB-species-checked": "testedAndGuaranteed", "WB-species-dilution-info": "1-3 µg/mL", "WB-species-notes": "<p></p>", "IHCP-species-checked": "testedAndGuaranteed", "IHCP-species-dilution-info": "5 µg/mL", "IHCP-species-notes": "<p></p>" }, "Mouse": { "WB-species-checked": "predicted", "WB-species-dilution-info": "", "WB-species-notes": "", "IHCP-species-checked": "predicted", "IHCP-species-dilution-info": "", "IHCP-species-notes": "" }, "Rat": { "WB-species-checked": "predicted", "WB-species-dilution-info": "", "WB-species-notes": "", "IHCP-species-checked": "predicted", "IHCP-species-dilution-info": "", "IHCP-species-notes": "" }, "Chicken": { "WB-species-checked": "predicted", "WB-species-dilution-info": "", "WB-species-notes": "", "IHCP-species-checked": "predicted", "IHCP-species-dilution-info": "", "IHCP-species-notes": "" }, "Chimpanzee": { "WB-species-checked": "predicted", "WB-species-dilution-info": "", "WB-species-notes": "", "IHCP-species-checked": "predicted", "IHCP-species-dilution-info": "", "IHCP-species-notes": "" }, "Cow": { "WB-species-checked": "predicted", "WB-species-dilution-info": "", "WB-species-notes": "", "IHCP-species-checked": "predicted", "IHCP-species-dilution-info": "", "IHCP-species-notes": "" }, "Guinea pig": { "WB-species-checked": "predicted", "WB-species-dilution-info": "", "WB-species-notes": "", "IHCP-species-checked": "predicted", "IHCP-species-dilution-info": "", "IHCP-species-notes": "" }, "Hamster": { "WB-species-checked": "predicted", "WB-species-dilution-info": "", "WB-species-notes": "", "IHCP-species-checked": "predicted", "IHCP-species-dilution-info": "", "IHCP-species-notes": "" }, "Horse": { "WB-species-checked": "predicted", "WB-species-dilution-info": "", "WB-species-notes": "", "IHCP-species-checked": "predicted", "IHCP-species-dilution-info": "", "IHCP-species-notes": "" }, "Pig": { "WB-species-checked": "predicted", "WB-species-dilution-info": "", "WB-species-notes": "", "IHCP-species-checked": "predicted", "IHCP-species-dilution-info": "", "IHCP-species-notes": "" }, "Rabbit": { "WB-species-checked": "predicted", "WB-species-dilution-info": "", "WB-species-notes": "", "IHCP-species-checked": "predicted", "IHCP-species-dilution-info": "", "IHCP-species-notes": "" } } }

Properties and storage information

Form
Liquid
Purification technique
Affinity purification Immunogen
Storage buffer
pH: 7.3 Preservative: 0.02% Sodium azide Constituents: 99% Tris buffered saline, 0.5% BSA
Shipped at conditions
Blue Ice
Appropriate short-term storage duration
1-2 weeks
Appropriate short-term storage conditions
+4°C
Appropriate long-term storage conditions
-20°C
Aliquoting information
Upon delivery aliquot
Storage information
Avoid freeze / thaw cycle

Product protocols

For this product, it's our understanding that no specific protocols are required. You can visit:

Target data

Catalyzes the hydroxylation of dopamine to noradrenaline (also known as norepinephrine), and is thus vital for regulation of these neurotransmitters.
See full target information Dopamine beta-hydroxylase

Publications (3)

Recent publications for all applications. Explore the full list and refine your search

Clinical medicine insights. Endocrinology and diabetes 16:11795514221148556 PubMed36685045

2023

A Cortisol-Secreting Adrenal Adenoma Combined With a Micro-Pheochromocytoma: Case Report and Literature Review.

Applications

Unspecified application

Species

Unspecified reactive species

Kimiko Sakai,Mai Asano,Masahide Hamaguchi,Hidefumi Taniguchi,Osamu Ukimura,Michiaki Fukui

International journal of cancer 146:3281-3293 PubMed31509622

2019

ANKLE1 N -Methyladenosine-related variant is associated with colorectal cancer risk by maintaining the genomic stability.

Applications

Unspecified application

Species

Unspecified reactive species

Jianbo Tian,Pingting Ying,Juntao Ke,Ying Zhu,Yang Yang,Yajie Gong,Danyi Zou,Xiating Peng,Nan Yang,Xiaoyang Wang,Shufang Mei,Yuxing Zhang,Changyi Wang,Rong Zhong,Jiang Chang,Xiaoping Miao

Endocrine pathology 29:302-309 PubMed30155766

2018

Catecholamine-Synthesizing Enzymes in Pheochromocytoma and Extraadrenal Paraganglioma.

Applications

Unspecified application

Species

Unspecified reactive species

Sachiko Konosu-Fukaya,Kei Omata,Yuta Tezuka,Yoshikiyo Ono,Yayoi Aoyama,Fumitoshi Satoh,Fumiyoshi Fujishima,Hironobu Sasano,Yasuhiro Nakamura
View all publications

Product promise

We are committed to supporting your work with high-quality reagents, and we're here for you every step of the way. In the unlikely event that one of our products does not perform as expected, you're protected by our Product Promise.
For full details, please see our Terms & Conditions

Please note: All products are 'FOR RESEARCH USE ONLY. NOT FOR USE IN DIAGNOSTIC OR THERAPEUTIC PROCEDURES'.

For licensing inquiries, please contact partnerships@abcam.com