JavaScript is disabled in your browser. Please enable JavaScript to view this website.
AB209487

Anti-Dopamine beta Hydroxylase antibody [EPR20385]

5

(5 Reviews)

|

(27 Publications)

Anti-Dopamine beta Hydroxylase antibody [EPR20385] (ab209487) is a rabbit monoclonal antibody detecting Dopamine beta Hydroxylase in Western Blot, IP, IHC-P. Suitable for Human, Mouse, Rat.

- Biophysical QC for unrivalled batch-batch consistency
- Over 10 publications

View Alternative Names

Dopamine beta-hydroxylase, Dopamine beta-monooxygenase, DBH

8 Images
Immunohistochemistry (Formalin/PFA-fixed paraffin-embedded sections) - Anti-Dopamine beta Hydroxylase antibody [EPR20385] (AB209487)
  • IHC-P

Supplier Data

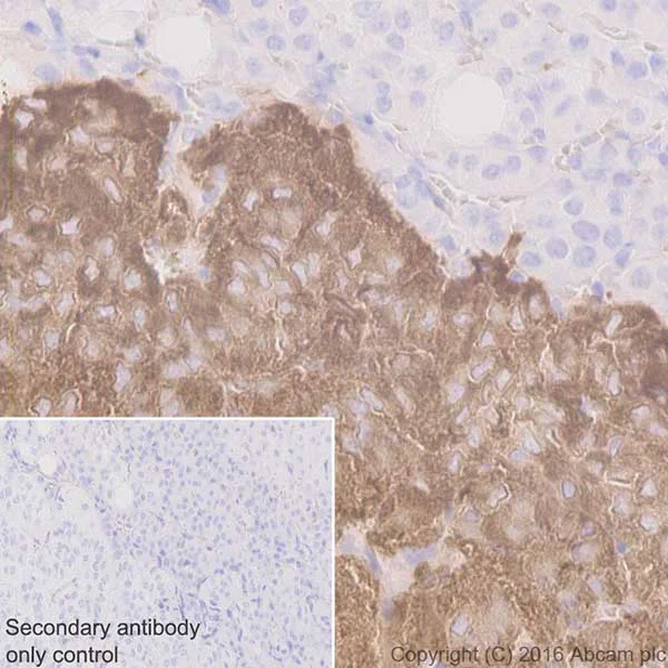
Immunohistochemistry (Formalin/PFA-fixed paraffin-embedded sections) - Anti-Dopamine beta Hydroxylase antibody [EPR20385] (AB209487)

Immunohistochemical analysis of paraffin-embedded human adrenal gland tissue labeling Dopamine beta Hydroxylase with ab209487 at 1/2000 dilution, followed by Goat Anti-Rabbit IgG H&L (HRP) (ab97051) at 1/500 dilution.

Strong cytoplasmic staining on chromaffin cells of human adrenal gland medulla, and negative on adrenal cortex (PMID : 17535872, PMID : 17699566).

Counter stained with Hematoxylin.

Secondary antibody only control : Used PBS instead of primary antibody, secondary antibody is Goat Anti-Rabbit IgG H&L (HRP) (ab97051) at 1/500 dilution.

Perform heat mediated antigen retrieval with Tris/EDTA buffer pH 9.0 before commencing with IHC staining protocol.

Immunohistochemistry (Formalin/PFA-fixed paraffin-embedded sections) - Anti-Dopamine beta Hydroxylase antibody [EPR20385] (AB209487)
  • IHC-P

Supplier Data

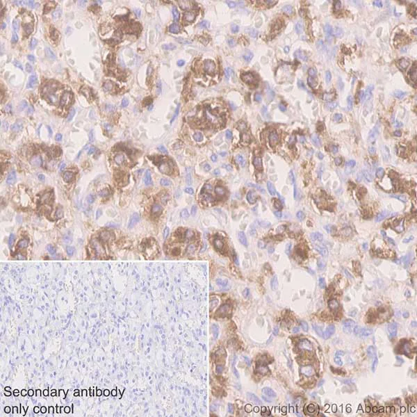
Immunohistochemistry (Formalin/PFA-fixed paraffin-embedded sections) - Anti-Dopamine beta Hydroxylase antibody [EPR20385] (AB209487)

Immunohistochemical analysis of paraffin-embedded human adrenal pheochromocytoma tissue labeling Dopamine beta Hydroxylase with ab209487 at 1/2000 dilution, followed by Goat Anti-Rabbit IgG H&L (HRP) (ab97051) at 1/500 dilution.

Cytoplasmic staining on tumor cells of human adrenal pheochromocytoma is observed.

Counter stained with Hematoxylin.

Secondary antibody only control : Used PBS instead of primary antibody, secondary antibody is Goat Anti-Rabbit IgG H&L (HRP) (ab97051) at 1/500 dilution.

Perform heat mediated antigen retrieval with Tris/EDTA buffer pH 9.0 before commencing with IHC staining protocol.

Immunoprecipitation - Anti-Dopamine beta Hydroxylase antibody [EPR20385] (AB209487)
  • IP

Supplier Data

Immunoprecipitation - Anti-Dopamine beta Hydroxylase antibody [EPR20385] (AB209487)

Dopamine beta Hydroxylase was immunoprecipitated from 0.35 mg of SH-SY5Y (Human neuroblastoma cell line from bone marrow) whole cell lysate with ab209487 at 1/40 dilution.

Western blot was performed from the immunoprecipitate using ab209487 at 1/1000 dilution.

VeriBlot for IP Detection Reagent (HRP) (ab131366), was used for detection at 1/10000 dilution.

Lane 1 : SH-SY5Y whole cell lysate, 10 μg (Input).

Lane 2 : ab209487 IP in SH-SY5Y whole cell lysate.

Lane 3 : Rabbit monoclonal IgG (ab172730) instead of ab209487 in SH-SY5Y whole cell lysate.

Blocking and dilution buffer and concentration : 5% NFDM/TBST.

Exposure time : 3 minutes.

All lanes:

Immunoprecipitation - Anti-Dopamine beta Hydroxylase antibody [EPR20385] (ab209487)

Predicted band size: 69 kDa

Observed band size: 75 kDa

false

Immunohistochemistry (Formalin/PFA-fixed paraffin-embedded sections) - Anti-Dopamine beta Hydroxylase antibody [EPR20385] (AB209487)
  • IHC-P

AbReview75513****

Immunohistochemistry (Formalin/PFA-fixed paraffin-embedded sections) - Anti-Dopamine beta Hydroxylase antibody [EPR20385] (AB209487)

Immunohistochemistry analysis (Formalin/PFA-fixed paraffin-embedded sections) of formaldehyde fixed rat brain (locus coeruleus) tissue. Stained with ab209487 at 1/1000 dilution. Secondary antibody used was Horse Anti-Rabbit IgG Antibody (H+L), Biotinylated at 1/200 dilution. Blocking was done with 1% BSA for 10 minutes at 21°C. The sample was incubated with the primary antibody in 1% BSA w/ 0.01% Azide for 16 hours at 21°C. Antigen retrieval method was heat mediated Citrate pH 6.4.

This image is courtesy of an Abreview submitted by Yazead Buhidma

Immunohistochemistry (Formalin/PFA-fixed paraffin-embedded sections) - Anti-Dopamine beta Hydroxylase antibody [EPR20385] (AB209487)
  • IHC-P

Supplier Data

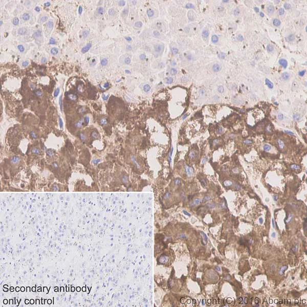
Immunohistochemistry (Formalin/PFA-fixed paraffin-embedded sections) - Anti-Dopamine beta Hydroxylase antibody [EPR20385] (AB209487)

Immunohistochemical analysis of paraffin-embedded rat adrenal gland tissue labeling Dopamine beta Hydroxylase with ab209487 at 1/2000 dilution, followed by Goat Anti-Rabbit IgG H&L (HRP) (ab97051) at 1/500 dilution.

Cytoplasmic staining on chromaffin cells of rat adrenal gland medulla, and negative on adrenal cortex (PMID : 17535872, PMID : 176995660).

Counter stained with Hematoxylin.

Secondary antibody only control : Used PBS instead of primary antibody, secondary antibody is Goat Anti-Rabbit IgG H&L (HRP) (ab97051) at 1/500 dilution.

Perform heat mediated antigen retrieval with Tris/EDTA buffer pH 9.0 before commencing with IHC staining protocol.

Immunohistochemistry (Formalin/PFA-fixed paraffin-embedded sections) - Anti-Dopamine beta Hydroxylase antibody [EPR20385] (AB209487)
  • IHC-P

Supplier Data

Immunohistochemistry (Formalin/PFA-fixed paraffin-embedded sections) - Anti-Dopamine beta Hydroxylase antibody [EPR20385] (AB209487)

Immunohistochemical analysis of paraffin-embedded mouse adrenal gland tissue labeling Dopamine beta Hydroxylase with ab209487 at 1/2000 dilution, followed by Goat Anti-Rabbit IgG H&L (HRP) (ab97051) at 1/500 dilution.

Cytoplasmic staining on chromaffin cells of mouse adrenal gland medulla, and negative on adrenal cortex (PMID : 17535872, PMID : 176995660).

Counter stained with Hematoxylin.

Secondary antibody only control : Used PBS instead of primary antibody, secondary antibody is Goat Anti-Rabbit IgG H&L (HRP) (ab97051) at 1/500 dilution.

Perform heat mediated antigen retrieval with Tris/EDTA buffer pH 9.0 before commencing with IHC staining protocol.

Western blot - Anti-Dopamine beta Hydroxylase antibody [EPR20385] (AB209487)
  • WB

Supplier Data

Western blot - Anti-Dopamine beta Hydroxylase antibody [EPR20385] (AB209487)

Blocking/Dilution buffer : 5% NFDM/TBST.

Negative controls : HeLa (PMID : 7688735; PMID : 9763470, PMID : 15585414, PMID : 10037744), C6 (PMID : 9763470, PMID : 7798950, PMID : 10037744), HepG2 (PMID : 7798950, PMID : 11943777, PMID : 15585414).

All lanes:

Western blot - Anti-Dopamine beta Hydroxylase antibody [EPR20385] (ab209487) at 1/1000 dilution

Lane 1:

SH-SY5Y (Human neuroblastoma cell line from bone marrow) whole cell lysate at 20 µg

Lane 2:

HeLa (Human epithelial cell line from cervix adenocarcinoma) whole cell lysate at 20 µg

Lane 3:

C6 (Rat glial tumor cell line) whole cell lysate at 20 µg

Lane 4:

HepG2 (Human liver hepatocellular carcinoma cell line) whole cell lysate at 20 µg

Secondary

All lanes:

Western blot - Goat Anti-Rabbit IgG H&L (HRP) (<a href='/en-us/products/secondary-antibodies/goat-rabbit-igg-h-l-hrp-ab97051'>ab97051</a>) at 1/100000 dilution

Predicted band size: 69 kDa

Observed band size: 75 kDa

false

Exposure time: 3min

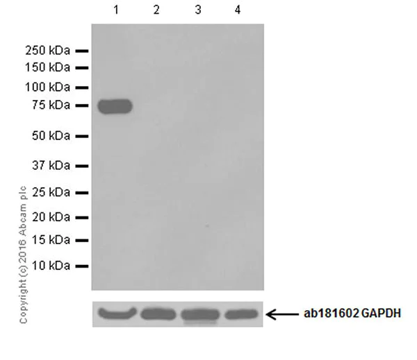
Western blot - Anti-Dopamine beta Hydroxylase antibody [EPR20385] (AB209487)
  • WB

Supplier Data

Western blot - Anti-Dopamine beta Hydroxylase antibody [EPR20385] (AB209487)

Blocking/Dilution buffer : 5% NFDM/TBST.

Exposure time : Lane 1 : 3 minutes; Lane 2 : 1 second.

All lanes:

Western blot - Anti-Dopamine beta Hydroxylase antibody [EPR20385] (ab209487) at 1/1000 dilution

Lane 1:

Mouse adrenal gland lysate at 10 µg

Lane 2:

Rat adrenal gland lysate at 10 µg

Secondary

All lanes:

Western blot - Goat Anti-Rabbit IgG H&L (HRP) (<a href='/en-us/products/secondary-antibodies/goat-rabbit-igg-h-l-hrp-ab97051'>ab97051</a>) at 1/20000 dilution

Predicted band size: 69 kDa

Observed band size: 75 kDa

false

  • Carrier free

    Anti-Dopamine beta Hydroxylase antibody [EPR20385] - BSA and Azide free

Key facts

Host species

Rabbit

Clonality

Monoclonal

Clone number

EPR20385

Isotype

IgG

Carrier free

No

Reacts with

Mouse, Rat, Human

Applications

IP, IHC-P, WB

applications

Immunogen

The exact immunogen used to generate this antibody is proprietary information.

Specificity

Not recommended for use with fluorescent secondary antibodies in mouse IHC-P applications.

Reactivity data

{ "title": "Reactivity Data", "filters": { "stats": ["", "Species", "Dilution Info", "Notes"], "tabs": { "all-applications": {"fullname" : "All Applications", "shortname": "All Applications"}, "WB" : {"fullname" : "Western blot", "shortname":"WB"}, "IP" : {"fullname" : "Immunoprecipitation", "shortname":"IP"}, "IHCP" : {"fullname" : "Immunohistochemistry (Formalin/PFA-fixed paraffin-embedded sections)", "shortname":"IHC-P"} }, "product-promise": { "all": "all", "testedAndGuaranteed": "tested", "guaranteed": "expected", "predicted": "predicted", "notRecommended": "not-recommended" } }, "values": { "Human": { "WB-species-checked": "testedAndGuaranteed", "WB-species-dilution-info": "1/1000", "WB-species-notes": "<p></p>", "IP-species-checked": "testedAndGuaranteed", "IP-species-dilution-info": "1/40", "IP-species-notes": "<p></p>", "IHCP-species-checked": "testedAndGuaranteed", "IHCP-species-dilution-info": "1/2000", "IHCP-species-notes": "<p>Not recommended for use with fluorescent secondary antibodies in mouse IHC-P applications; compatibility with rat and human species has not been tested.</p><p>Tris/EDTA Buffer, pH9 (<a href='/en-us/products/buffers/antigen-retrieval-buffer-100x-tris-edta-buffer-ph-90-ab93684'>ab93684</a>).</p> Perform heat-mediated antigen retrieval with Tris/EDTA buffer pH 9.0 before commencing with IHC staining protocol." }, "Mouse": { "WB-species-checked": "testedAndGuaranteed", "WB-species-dilution-info": "1/1000", "WB-species-notes": "<p></p>", "IP-species-checked": "guaranteed", "IP-species-dilution-info": "", "IP-species-notes": "", "IHCP-species-checked": "testedAndGuaranteed", "IHCP-species-dilution-info": "1/2000", "IHCP-species-notes": "<p>Not recommended for use with fluorescent secondary antibodies in mouse IHC-P applications; compatibility with rat and human species has not been tested.</p><p>Tris/EDTA Buffer, pH9 (<a href='/en-us/products/buffers/antigen-retrieval-buffer-100x-tris-edta-buffer-ph-90-ab93684'>ab93684</a>).</p> Perform heat-mediated antigen retrieval with Tris/EDTA buffer pH 9.0 before commencing with IHC staining protocol." }, "Rat": { "WB-species-checked": "testedAndGuaranteed", "WB-species-dilution-info": "1/1000", "WB-species-notes": "<p></p>", "IP-species-checked": "guaranteed", "IP-species-dilution-info": "", "IP-species-notes": "", "IHCP-species-checked": "testedAndGuaranteed", "IHCP-species-dilution-info": "1/2000", "IHCP-species-notes": "<p>Not recommended for use with fluorescent secondary antibodies in mouse IHC-P applications; compatibility with rat and human species has not been tested.</p><p>Tris/EDTA Buffer, pH9 (<a href='/en-us/products/buffers/antigen-retrieval-buffer-100x-tris-edta-buffer-ph-90-ab93684'>ab93684</a>).</p> Perform heat-mediated antigen retrieval with Tris/EDTA buffer pH 9.0 before commencing with IHC staining protocol." } } }

Product details

What is this antibody validated in?
Anti-Dopamine beta Hydroxylase antibody [EPR20385] (ab209487) is a rabbit recombinant monoclonal antibody and is validated for use in Western Blot (WB), Immunoprecipitation (IP), Immunohistochemistry (IHC-P) in Human, Mouse, Rat samples.

What is the molecular weight of Dopamine beta Hydroxylase?
Anti-Dopamine beta Hydroxylase [EPR20385] (ab209487) specifically detects a band for Dopamine beta Hydroxylase (UniProt: P09172) at a molecular weight of 69kDa.

Trusted by the scientific community
Anti-Dopamine beta Hydroxylase [EPR20385] (ab209487) was first used in a scientific publication in 2017 and has been cited over 10 times in peer-reviewed journals.

Reviewed by scientists
Anti-Dopamine beta Hydroxylase [EPR20385] (ab209487) has over 5 independent reviews from customers.

Trial sizes available!
Test your antibody or perform pre-screening before committing to a larger quantity. Sold in 10µl. Discover our selection of trial-size antibodies.

Other related products
We have a range of other formats of antibody clone [EPR20385] also available for your convenience: ab209487, Carrier free - ab223130

Patented technology
Our RabMAb® technology is a patented hybridoma-based technology for making rabbit monoclonal antibodies. For details on our patents, please refer to RabMAb® patents.

What are the advantages of a recombinant monoclonal antibody?
This product is a recombinant monoclonal antibody, which offers several advantages including:

  • - High batch-to-batch consistency and reproducibility
  • - Improved sensitivity and specificity
  • - Long-term security of supply
  • - Animal-free batch production

For more information, read more on recombinant antibodies.

Properties and storage information

Form
Liquid
Purification technique
Affinity purification Protein A
Storage buffer
pH: 7.2 - 7.4 Preservative: 0.01% Sodium azide Constituents: PBS, 40% Glycerol (glycerin, glycerine), 0.05% BSA
Shipped at conditions
Blue Ice
Appropriate short-term storage duration
1-2 weeks
Appropriate short-term storage conditions
+4°C
Appropriate long-term storage conditions
-20°C
Aliquoting information
Upon delivery aliquot
Storage information
Avoid freeze / thaw cycle

Product protocols

For this product, it's our understanding that no specific protocols are required. You can visit:

Target data

Catalyzes the hydroxylation of dopamine to noradrenaline (also known as norepinephrine), and is thus vital for regulation of these neurotransmitters.
See full target information Dopamine beta-hydroxylase

Publications (27)

Recent publications for all applications. Explore the full list and refine your search

Nature communications 16:7260 PubMed40770025

2025

Phase synchrony between prefrontal noradrenergic and cholinergic signals indexes inhibitory control.

Applications

Unspecified application

Species

Unspecified reactive species

Yuxiang Andy Liu,Yuhan Nong,Jiesi Feng,Guochuan Li,Paul Sajda,Yulong Li,Qi Wang

Journal of neuroinflammation 22:191 PubMed40702501

2025

Short-term stress preconditioning activates sympathetic innervation in the testes to mitigate testicular ischemia-reperfusion injury.

Applications

Unspecified application

Species

Unspecified reactive species

Liyong Liu,Ruiming Xu,Heshe Li,Yuanchen Ma,Yue Shu,Hongjie Liang,Tao Wang,Jiang Hao,Weiqiang Li,Andy Peng Xiang,Mei Hua Jiang,Weijun Huang

Nature communications 16:5082 PubMed40450008

2025

Single-nucleus and spatial signatures of the brainstem in normal brain and mild traumatic brain injury in male mice.

Applications

Unspecified application

Species

Unspecified reactive species

Yuan Zhuang,Xixian Liao,Fei Niu,Ming Li,Yu Yan,Chuanhang He,Xiang Wu,Runfa Tian,Guoyi Gao

Science advances 11:eadr9916 PubMed40138407

2025

Frontal noradrenergic and cholinergic transients exhibit distinct spatiotemporal dynamics during competitive decision-making.

Applications

Unspecified application

Species

Unspecified reactive species

Hongli Wang,Heather K Ortega,Emma B Kelly,Jonathan Indajang,Neil K Savalia,Samira Glaeser-Khan,Jiesi Feng,Yulong Li,Alfred P Kaye,Alex C Kwan

Science advances 11:eads9581 PubMed40117376

2025

Selective promotion of sensory innervation-mediated immunoregulation for tissue repair.

Applications

Unspecified application

Species

Unspecified reactive species

Kaicheng Xu,Kaile Wu,Liang Chen,Yubin Zhao,Hengyuan Li,Nong Lin,Zhaoming Ye,Jianbin Xu,Donghua Huang,Xin Huang

Cellular and molecular neurobiology 45:18 PubMed39883258

2025

Differential Neuronal Activation of Nociceptive Pathways in Neuropathic Pain After Spinal Cord Injury.

Applications

Unspecified application

Species

Unspecified reactive species

Ziyu He,Jun Zhang,Jia Xu,Yu Wang,Xiaolong Zheng,Wei Wang

Nature communications 15:10478 PubMed39658565

2024

Parallel labeled-line organization of sympathetic outflow for selective organ regulation in mice.

Applications

Unspecified application

Species

Unspecified reactive species

Yukiko Harima,Masafumi Tsurutani,Serika Yamada,Shuntaro Uchida,Kengo Inada,Mitsue Hagihara,Satsuki Irie,Mayo Shigeta,Takaya Abe,Yukiko U Inoue,Takayoshi Inoue,Kazunari Miyamichi

Aging cell 24:e14420 PubMed39592915

2024

Long-term exposure to excessive norepinephrine in the brain induces tau aggregation, neuronal death, and cognitive deficits in early tau transgenic mice.

Applications

Unspecified application

Species

Unspecified reactive species

June-Hyun Jeong,Dong Kyu Kim,Sunwoo Chung,Jong Won Han,Jihui Han,Inhee Mook-Jung

Science translational medicine 16:eadg3665 PubMed38478631

2024

Cortical hyperexcitability in mouse models and patients with amyotrophic lateral sclerosis is linked to noradrenaline deficiency.

Applications

Unspecified application

Species

Unspecified reactive species

Jelena Scekic-Zahirovic,Cristina Benetton,Aurore Brunet,XiaoQian Ye,Evgeny Logunov,Vincent Douchamps,Salim Megat,Virginie Andry,Vanessa Wing Yin Kan,Geoffrey Stuart-Lopez,Johan Gilet,Simon J Guillot,Sylvie Dirrig-Grosch,Charlotte Gorin,Margaux Trombini,Stéphane Dieterle,Jérôme Sinniger,Mathieu Fischer,Frédérique René,Zeynep Gunes,Pascal Kessler,Luc Dupuis,Pierre-François Pradat,Yannick Goumon,Romain Goutagny,Véronique Marchand-Pauvert,Sabine Liebscher,Caroline Rouaux

Communications biology 7:287 PubMed38459113

2024

Modulatory effects of noradrenergic and serotonergic signaling pathway on neurovascular coupling.

Applications

Unspecified application

Species

Unspecified reactive species

Robert B Renden,Adam Institoris,Kushal Sharma,Cam Ha T Tran
View all publications

Product promise

We are committed to supporting your work with high-quality reagents, and we're here for you every step of the way. In the unlikely event that one of our products does not perform as expected, you're protected by our Product Promise.
For full details, please see our Terms & Conditions

Please note: All products are 'FOR RESEARCH USE ONLY. NOT FOR USE IN DIAGNOSTIC OR THERAPEUTIC PROCEDURES'.

For licensing inquiries, please contact partnerships@abcam.com