JavaScript is disabled in your browser. Please enable JavaScript to view this website.
AB223130

Anti-Dopamine beta Hydroxylase antibody [EPR20385] - BSA and Azide free

Be the first to review this product! Submit a review

|

(1 Publication)

Rabbit Recombinant Monoclonal Dopamine beta Hydroxylase antibody. Carrier free. Suitable for IP, WB, IHC-P and reacts with Human, Mouse, Rat samples. Cited in 1 publication.

View Alternative Names

Dopamine beta-hydroxylase, Dopamine beta-monooxygenase, DBH

7 Images
Immunohistochemistry (Formalin/PFA-fixed paraffin-embedded sections) - Anti-Dopamine beta Hydroxylase antibody [EPR20385] - BSA and Azide free (AB223130)
  • IHC-P

Supplier Data

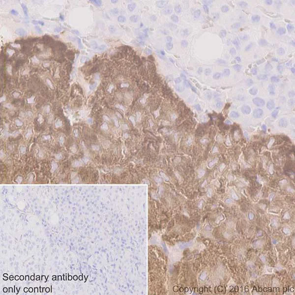
Immunohistochemistry (Formalin/PFA-fixed paraffin-embedded sections) - Anti-Dopamine beta Hydroxylase antibody [EPR20385] - BSA and Azide free (AB223130)

Immunohistochemical analysis of paraffin-embedded human adrenal gland tissue labeling Dopamine beta Hydroxylase with ab209487 at 1/2000 dilution, followed by Goat Anti-Rabbit IgG H&L (HRP) (ab97051) at 1/500 dilution.

Strong cytoplasmic staining on chromaffin cells of human adrenal gland medulla, and negative on adrenal cortex (PMID : 17535872, PMID : 17699566).

Counter stained with Hematoxylin.

Secondary antibody only control : Used PBS instead of primary antibody, secondary antibody is Goat Anti-Rabbit IgG H&L (HRP) (ab97051) at 1/500 dilution.

This data was developed using the same antibody clone in a different buffer formulation containing PBS, BSA, glycerol, and sodium azide (ab209487).

Perform heat mediated antigen retrieval with Tris/EDTA buffer pH 9.0 before commencing with IHC staining protocol.

Immunohistochemistry (Formalin/PFA-fixed paraffin-embedded sections) - Anti-Dopamine beta Hydroxylase antibody [EPR20385] - BSA and Azide free (AB223130)
  • IHC-P

Supplier Data

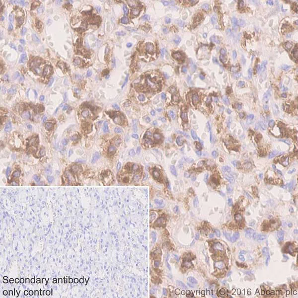
Immunohistochemistry (Formalin/PFA-fixed paraffin-embedded sections) - Anti-Dopamine beta Hydroxylase antibody [EPR20385] - BSA and Azide free (AB223130)

Immunohistochemical analysis of paraffin-embedded human adrenal pheochromocytoma tissue labeling Dopamine beta Hydroxylase with ab209487 at 1/2000 dilution, followed by Goat Anti-Rabbit IgG H&L (HRP) (ab97051) at 1/500 dilution.

Cytoplasmic staining on tumor cells of human adrenal pheochromocytoma is observed.

Counter stained with Hematoxylin.

Secondary antibody only control : Used PBS instead of primary antibody, secondary antibody is Goat Anti-Rabbit IgG H&L (HRP) (ab97051) at 1/500 dilution.

This data was developed using the same antibody clone in a different buffer formulation containing PBS, BSA, glycerol, and sodium azide (ab209487).

Perform heat mediated antigen retrieval with Tris/EDTA buffer pH 9.0 before commencing with IHC staining protocol.

Immunoprecipitation - Anti-Dopamine beta Hydroxylase antibody [EPR20385] - BSA and Azide free (AB223130)
  • IP

Supplier Data

Immunoprecipitation - Anti-Dopamine beta Hydroxylase antibody [EPR20385] - BSA and Azide free (AB223130)

Dopamine beta Hydroxylase was immunoprecipitated from 0.35 mg of SH-SY5Y (Human neuroblastoma cell line from bone marrow) whole cell lysate with ab209487 at 1/40 dilution.

Western blot was performed from the immunoprecipitate using ab209487 at 1/1000 dilution.

VeriBlot for IP Detection Reagent (HRP) (ab131366), was used for detection at 1/10000 dilution.

Lane 1 : SH-SY5Y whole cell lysate, 10 μg (Input).

Lane 2 : ab209487 IP in SH-SY5Y whole cell lysate.

Lane 3 : Rabbit monoclonal IgG (ab172730) instead of ab209487 in SH-SY5Y whole cell lysate.

Blocking and dilution buffer and concentration : 5% NFDM/TBST.

Exposure time : 3 minutes.

This data was developed using the same antibody clone in a different buffer formulation containing PBS, BSA, glycerol, and sodium azide (ab209487).

All lanes:

Immunoprecipitation - Anti-Dopamine beta Hydroxylase antibody [EPR20385] (<a href='/en-us/products/primary-antibodies/dopamine-beta-hydroxylase-antibody-epr20385-ab209487'>ab209487</a>)

Predicted band size: 69 kDa

Observed band size: 75 kDa

false

Immunohistochemistry (Formalin/PFA-fixed paraffin-embedded sections) - Anti-Dopamine beta Hydroxylase antibody [EPR20385] - BSA and Azide free (AB223130)
  • IHC-P

Supplier Data

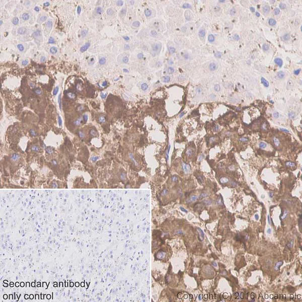
Immunohistochemistry (Formalin/PFA-fixed paraffin-embedded sections) - Anti-Dopamine beta Hydroxylase antibody [EPR20385] - BSA and Azide free (AB223130)

Immunohistochemical analysis of paraffin-embedded rat adrenal gland tissue labeling Dopamine beta Hydroxylase with ab209487 at 1/2000 dilution, followed by Goat Anti-Rabbit IgG H&L (HRP) (ab97051) at 1/500 dilution.

Cytoplasmic staining on chromaffin cells of rat adrenal gland medulla, and negative on adrenal cortex (PMID : 17535872, PMID : 176995660).

Counter stained with Hematoxylin.

Secondary antibody only control : Used PBS instead of primary antibody, secondary antibody is Goat Anti-Rabbit IgG H&L (HRP) (ab97051) at 1/500 dilution.

This data was developed using the same antibody clone in a different buffer formulation containing PBS, BSA, glycerol, and sodium azide (ab209487).

Perform heat mediated antigen retrieval with Tris/EDTA buffer pH 9.0 before commencing with IHC staining protocol.

Immunohistochemistry (Formalin/PFA-fixed paraffin-embedded sections) - Anti-Dopamine beta Hydroxylase antibody [EPR20385] - BSA and Azide free (AB223130)
  • IHC-P

Supplier Data

Immunohistochemistry (Formalin/PFA-fixed paraffin-embedded sections) - Anti-Dopamine beta Hydroxylase antibody [EPR20385] - BSA and Azide free (AB223130)

Immunohistochemical analysis of paraffin-embedded mouse adrenal gland tissue labeling Dopamine beta Hydroxylase with ab209487 at 1/2000 dilution, followed by Goat Anti-Rabbit IgG H&L (HRP) (ab97051) at 1/500 dilution.

Cytoplasmic staining on chromaffin cells of mouse adrenal gland medulla, and negative on adrenal cortex (PMID : 17535872, PMID : 176995660).

Counter stained with Hematoxylin.

Secondary antibody only control : Used PBS instead of primary antibody, secondary antibody is Goat Anti-Rabbit IgG H&L (HRP) (ab97051) at 1/500 dilution.

This data was developed using the same antibody clone in a different buffer formulation containing PBS, BSA, glycerol, and sodium azide (ab209487).

Perform heat mediated antigen retrieval with Tris/EDTA buffer pH 9.0 before commencing with IHC staining protocol.

Western blot - Anti-Dopamine beta Hydroxylase antibody [EPR20385] - BSA and Azide free (AB223130)
  • WB

Supplier Data

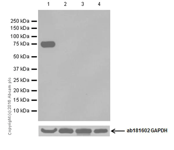
Western blot - Anti-Dopamine beta Hydroxylase antibody [EPR20385] - BSA and Azide free (AB223130)

Blocking/Dilution buffer : 5% NFDM/TBST.

Negative controls : HeLa (PMID : 7688735; PMID : 9763470, PMID : 15585414, PMID : 10037744), C6 (PMID : 9763470, PMID : 7798950, PMID : 10037744), HepG2 (PMID : 7798950, PMID : 11943777, PMID : 15585414).

This data was developed using the same antibody clone in a different buffer formulation containing PBS, BSA, glycerol, and sodium azide (ab209487).

All lanes:

Western blot - Anti-Dopamine beta Hydroxylase antibody [EPR20385] (<a href='/en-us/products/primary-antibodies/dopamine-beta-hydroxylase-antibody-epr20385-ab209487'>ab209487</a>) at 1/1000 dilution

Lane 1:

SH-SY5Y (Human neuroblastoma cell line from bone marrow) whole cell lysate at 20 µg

Lane 2:

HeLa (Human epithelial cell line from cervix adenocarcinoma) whole cell lysate at 20 µg

Lane 3:

C6 (Rat glial tumor cell line) whole cell lysate at 20 µg

Lane 4:

HepG2 (Human liver hepatocellular carcinoma cell line) whole cell lysate at 20 µg

Secondary

All lanes:

Western blot - Goat Anti-Rabbit IgG H&L (HRP) (<a href='/en-us/products/secondary-antibodies/goat-rabbit-igg-h-l-hrp-ab97051'>ab97051</a>) at 1/100000 dilution

Predicted band size: 69 kDa

Observed band size: 75 kDa

false

Exposure time: 3min

Western blot - Anti-Dopamine beta Hydroxylase antibody [EPR20385] - BSA and Azide free (AB223130)
  • WB

Supplier Data

Western blot - Anti-Dopamine beta Hydroxylase antibody [EPR20385] - BSA and Azide free (AB223130)

Blocking/Dilution buffer : 5% NFDM/TBST.

Exposure time : Lane 1 : 3 minutes; Lane 2 : 1 second.

This data was developed using the same antibody clone in a different buffer formulation containing PBS, BSA, glycerol, and sodium azide (ab209487).

All lanes:

Western blot - Anti-Dopamine beta Hydroxylase antibody [EPR20385] (<a href='/en-us/products/primary-antibodies/dopamine-beta-hydroxylase-antibody-epr20385-ab209487'>ab209487</a>) at 1/1000 dilution

Lane 1:

Mouse adrenal gland lysate at 10 µg

Lane 2:

Rat adrenal gland lysate at 10 µg

Secondary

All lanes:

Western blot - Goat Anti-Rabbit IgG H&L (HRP) (<a href='/en-us/products/secondary-antibodies/goat-rabbit-igg-h-l-hrp-ab97051'>ab97051</a>) at 1/20000 dilution

Predicted band size: 69 kDa

Observed band size: 75 kDa

false

  • Unconjugated

    Anti-Dopamine beta Hydroxylase antibody [EPR20385]

Key facts

Host species

Rabbit

Clonality

Monoclonal

Clone number

EPR20385

Isotype

IgG

Carrier free

Yes

Reacts with

Mouse, Rat, Human

Applications

IP, WB, IHC-P

applications

Immunogen

The exact immunogen used to generate this antibody is proprietary information.

Specificity

Not recommended for use with fluorescent secondary antibodies in mouse IHC-P applications.

Reactivity data

{ "title": "Reactivity Data", "filters": { "stats": ["", "Species", "Dilution Info", "Notes"], "tabs": { "all-applications": {"fullname" : "All Applications", "shortname": "All Applications"}, "IP" : {"fullname" : "Immunoprecipitation", "shortname":"IP"}, "WB" : {"fullname" : "Western blot", "shortname":"WB"}, "IHCP" : {"fullname" : "Immunohistochemistry (Formalin/PFA-fixed paraffin-embedded sections)", "shortname":"IHC-P"} }, "product-promise": { "all": "all", "testedAndGuaranteed": "tested", "guaranteed": "expected", "predicted": "predicted", "notRecommended": "not-recommended" } }, "values": { "Human": { "IP-species-checked": "testedAndGuaranteed", "IP-species-dilution-info": "", "IP-species-notes": "<p></p>", "WB-species-checked": "testedAndGuaranteed", "WB-species-dilution-info": "", "WB-species-notes": "<p></p>", "IHCP-species-checked": "testedAndGuaranteed", "IHCP-species-dilution-info": "", "IHCP-species-notes": "<p>Not recommended for use with fluorescent secondary antibodies in mouse IHC-P applications; compatibility with rat and human species has not been tested.</p><p>Tris/EDTA Buffer, pH9 (<a href='/en-us/products/buffers/antigen-retrieval-buffer-100x-tris-edta-buffer-ph-90-ab93684'>ab93684</a>).</p>" }, "Mouse": { "IP-species-checked": "guaranteed", "IP-species-dilution-info": "", "IP-species-notes": "", "WB-species-checked": "testedAndGuaranteed", "WB-species-dilution-info": "", "WB-species-notes": "<p></p>", "IHCP-species-checked": "testedAndGuaranteed", "IHCP-species-dilution-info": "", "IHCP-species-notes": "<p>Not recommended for use with fluorescent secondary antibodies in mouse IHC-P applications; compatibility with rat and human species has not been tested.</p><p>Tris/EDTA Buffer, pH9 (<a href='/en-us/products/buffers/antigen-retrieval-buffer-100x-tris-edta-buffer-ph-90-ab93684'>ab93684</a>).</p>" }, "Rat": { "IP-species-checked": "guaranteed", "IP-species-dilution-info": "", "IP-species-notes": "", "WB-species-checked": "testedAndGuaranteed", "WB-species-dilution-info": "", "WB-species-notes": "<p></p>", "IHCP-species-checked": "testedAndGuaranteed", "IHCP-species-dilution-info": "", "IHCP-species-notes": "<p>Not recommended for use with fluorescent secondary antibodies in mouse IHC-P applications; compatibility with rat and human species has not been tested.</p><p>Tris/EDTA Buffer, pH9 (<a href='/en-us/products/buffers/antigen-retrieval-buffer-100x-tris-edta-buffer-ph-90-ab93684'>ab93684</a>).</p>" } } }

Product details

ab223130 is the carrier-free version of ab209487.

Patented technology
Our RabMAb® technology is a patented hybridoma-based technology for making rabbit monoclonal antibodies. For details on our patents, please refer to RabMAb® patents.

Conjugation ready
Our carrier-free antibodies are typically supplied in a PBS-only formulation, purified and free of BSA, sodium azide and glycerol. This conjugation-ready format is designed for use with fluorochromes, metal isotopes, oligonucleotides, and enzymes, which makes them ideal for antibody labelling, functional and cell-based assays, flow-based assays (e.g. mass cytometry) and Multiplex Imaging applications.

Use our conjugation kits for antibody conjugates that are ready-to-use in as little as 20 minutes with 1 minute hands-on-time and 100% antibody recovery: available for fluorescent dyes, HRP, biotin and gold.

Compatibility
This product is compatible with the Maxpar® Antibody Labeling Kit from Fluidigm, without the need for antibody preparation. Maxpar® is a trademark of Fluidigm Canada Inc.

Properties and storage information

Form
Liquid
Purification technique
Affinity purification Protein A
Storage buffer
pH: 7.2 - 7.4 Constituents: PBS
Shipped at conditions
Blue Ice
Appropriate short-term storage conditions
+4°C
Appropriate long-term storage conditions
+4°C
Storage information
Do Not Freeze

Product protocols

For this product, it's our understanding that no specific protocols are required. You can visit:

Target data

Catalyzes the hydroxylation of dopamine to noradrenaline (also known as norepinephrine), and is thus vital for regulation of these neurotransmitters.
See full target information Dopamine beta-hydroxylase

Publications (1)

Recent publications for all applications. Explore the full list and refine your search

Nature communications 16:8882 PubMed41053097

2025

The Hippo terminal effector YAP boosts enterovirus replication in type 1 diabetes.

Applications

Unspecified application

Species

Unspecified reactive species

Shirin Geravandi,Huan Liu,Heena Pahwa,Murali Krishna Madduri,Farah Atawneh,Adib Miraki Feriz,Sahar Rafizadeh,Annabelle Elisabeth Kruf,Mona Khazaei,Pouria Bahrami,David Gotti,Mohamed Elawour,Ruth M Elgamal,Ausilia Maria Grasso,David Bund,Blaz Lupse,Zahra Azizi,Omar Zabad,Karim Bouzakri,Marc Horwitz,Alberto Pugliese,Kathrin Maedler,Amin Ardestani
View all publications

Product promise

We are committed to supporting your work with high-quality reagents, and we're here for you every step of the way. In the unlikely event that one of our products does not perform as expected, you're protected by our Product Promise.
For full details, please see our Terms & Conditions

Please note: All products are 'FOR RESEARCH USE ONLY. NOT FOR USE IN DIAGNOSTIC OR THERAPEUTIC PROCEDURES'.

For licensing inquiries, please contact partnerships@abcam.com