JavaScript is disabled in your browser. Please enable JavaScript to view this website.
AB256555

Anti-Dopamine Receptor D1 antibody [1-1-F11 s.E6]

5

(1 Review)

|

(0 Publication)

Rat Recombinant Monoclonal Dopamine Receptor D1 antibody. Suitable for IHC-P, WB and reacts with Human, Rat, Mouse samples.

View Alternative Names

Drd1a, Gpcr15, Drd1, D(1A) dopamine receptor, Dopamine D1 receptor

6 Images
Immunohistochemistry (Formalin/PFA-fixed paraffin-embedded sections) - Anti-Dopamine Receptor D1 antibody [1-1-F11 s.E6] (AB256555)
  • IHC-P

Lab

Immunohistochemistry (Formalin/PFA-fixed paraffin-embedded sections) - Anti-Dopamine Receptor D1 antibody [1-1-F11 s.E6] (AB256555)

Immunohistochemical analysis of paraffin-embedded human corpus striatum labeling Dopamine Receptor D1 with ab256555 at 1/500 dilution (2.174 µg/ml). The section was incubated with ab256555 at 4℃ overnight followed by a ready to use Goat Anti-Rat IgG H&L (HRP polymer) secondary antibody (ab214882). Positive staining in human corpus striatum was observed. Counterstained with Hematoxylin. Heat mediated antigen retrieval using ab93684 (Tris/EDTA buffer, pH 9.0)

Immunohistochemistry (Formalin/PFA-fixed paraffin-embedded sections) - Anti-Dopamine Receptor D1 antibody [1-1-F11 s.E6] (AB256555)
  • IHC-P

Lab

Immunohistochemistry (Formalin/PFA-fixed paraffin-embedded sections) - Anti-Dopamine Receptor D1 antibody [1-1-F11 s.E6] (AB256555)

Immunohistochemical analysis of paraffin-embedded human corpus striatum labeling Dopamine Receptor D1 with ab256555 at 1/500 dilution (2.174 µg/ml). The section was incubated with ab256555 at 4℃ overnight followed by a ready to use Goat Anti-Rat IgG H&L (HRP polymer) secondary antibody (ab214882). Positive staining in human corpus striatum was observed. Counterstained with Hematoxylin. Heat mediated antigen retrieval using ab93684 (Tris/EDTA buffer, pH 9.0)

Immunohistochemistry (Formalin/PFA-fixed paraffin-embedded sections) - Anti-Dopamine Receptor D1 antibody [1-1-F11 s.E6] (AB256555)
  • IHC-P

Lab

Immunohistochemistry (Formalin/PFA-fixed paraffin-embedded sections) - Anti-Dopamine Receptor D1 antibody [1-1-F11 s.E6] (AB256555)

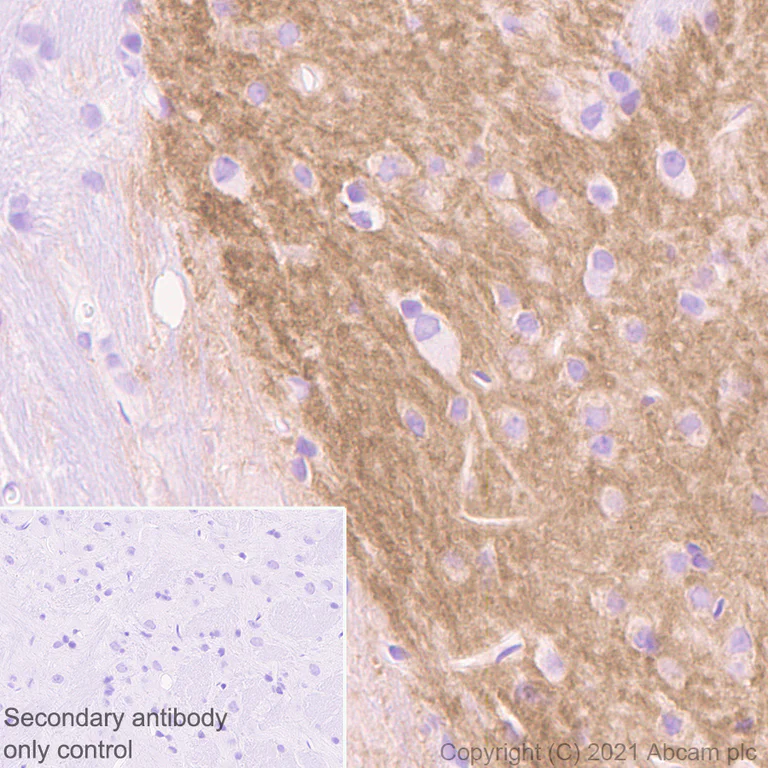
Immunohistochemical analysis of paraffin-embedded mouse brain labeling Dopamine Receptor D1 with anti dopamine receptor d1 antibody 11f11 se6 ihcp mouse cerebrumat 1/500 dilution (2.174 µg/ml). The section was incubated with ab256555 at 4℃ overnight followed by a ready to use Goat Anti-Rat IgG H&L (HRP polymer) secondary antibody (ab214882). Positive staining in corpus striatum of mouse brain was observed. Counterstained with Hematoxylin. Heat mediated antigen retrieval using ab93684 (Tris/EDTA buffer, pH 9.0)

Immunohistochemistry (Formalin/PFA-fixed paraffin-embedded sections) - Anti-Dopamine Receptor D1 antibody [1-1-F11 s.E6] (AB256555)
  • IHC-P

Lab

Immunohistochemistry (Formalin/PFA-fixed paraffin-embedded sections) - Anti-Dopamine Receptor D1 antibody [1-1-F11 s.E6] (AB256555)

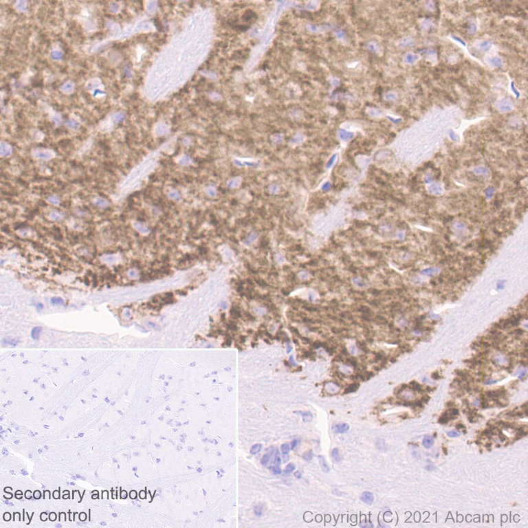
Immunohistochemical analysis of paraffin-embedded mouse corpus striatum labeling Dopamine Receptor D1 with ab256555 at 1/500 dilution (2.174 µg/ml). The section was incubated with ab256555 at 4℃ overnight followed by a ready to use Goat Anti-Rat IgG H&L (HRP polymer) secondary antibody (ab214882). Positive staining in mouse corpus striatum was observed. Counterstained with Hematoxylin. Heat mediated antigen retrieval using ab93684 (Tris/EDTA buffer, pH 9.0)

Immunohistochemistry (Formalin/PFA-fixed paraffin-embedded sections) - Anti-Dopamine Receptor D1 antibody [1-1-F11 s.E6] (AB256555)
  • IHC-P

Lab

Immunohistochemistry (Formalin/PFA-fixed paraffin-embedded sections) - Anti-Dopamine Receptor D1 antibody [1-1-F11 s.E6] (AB256555)

Immunohistochemical analysis of paraffin-embedded rat corpus striatum labeling Dopamine Receptor D1 with ab256555 at 1/500 dilution (2.174 µg/ml). The section was incubated with ab256555 at 4℃ overnight followed by a ready to use Goat Anti-Rat IgG H&L (HRP polymer) secondary antibody (ab214882). Positive staining in rat corpus striatum was observed. Counterstained with Hematoxylin. Heat mediated antigen retrieval using ab93684 (Tris/EDTA buffer, pH 9.0)

Western blot - Anti-Dopamine Receptor D1 antibody [1-1-F11 s.E6] (AB256555)
  • WB

Lab

Western blot - Anti-Dopamine Receptor D1 antibody [1-1-F11 s.E6] (AB256555)

Blocking / Diluting buffer and concentration : 5% NFDM/TBST

Lanes 1 - 2:

Western blot - Anti-Dopamine Receptor D1 antibody [1-1-F11 s.E6] (ab256555) at 1/1000 dilution

Lanes 1 - 2:

Western blot - Anti-Dopamine Receptor D1 antibody [1-1-F11 s.E6] - BSA and Azide free (<a href='/en-us/products/primary-antibodies/dopamine-receptor-d1-antibody-1-1-f11-se6-bsa-and-azide-free-ab256556'>ab256556</a>)

Lane 1:

Mouse striatum lysate at 20 µg

Lane 2:

Rat striatum lysate at 20 µg

Secondary

All lanes:

Western blot - Goat Anti-Rat IgG H&L (HRP) (<a href='/en-us/products/secondary-antibodies/goat-rat-igg-h-l-hrp-ab205720'>ab205720</a>) at 1/10000 dilution

Observed band size: 75-100 kDa

false

  • Carrier free

    Anti-Dopamine Receptor D1 antibody [1-1-F11 s.E6] - BSA and Azide free

Key facts

Host species

Rat

Clonality

Monoclonal

Clone number

1-1-F11s.E6

Isotype

IgG2a

Carrier free

No

Reacts with

Mouse, Rat, Human

Applications

IHC-P, WB

applications

Reactivity data

{ "title": "Reactivity Data", "filters": { "stats": ["", "Species", "Dilution Info", "Notes"], "tabs": { "all-applications": {"fullname" : "All Applications", "shortname": "All Applications"}, "IHCP" : {"fullname" : "Immunohistochemistry (Formalin/PFA-fixed paraffin-embedded sections)", "shortname":"IHC-P"}, "IHCFr" : {"fullname" : "Immunohistochemistry (Frozen sections)", "shortname":"IHC-Fr"}, "WB" : {"fullname" : "Western blot", "shortname":"WB"} }, "product-promise": { "all": "all", "testedAndGuaranteed": "tested", "guaranteed": "expected", "predicted": "predicted", "notRecommended": "not-recommended" } }, "values": { "Human": { "IHCP-species-checked": "testedAndGuaranteed", "IHCP-species-dilution-info": "1/500", "IHCP-species-notes": "<p></p>", "IHCFr-species-checked": "notRecommended", "IHCFr-species-dilution-info": "", "IHCFr-species-notes": "", "WB-species-checked": "guaranteed", "WB-species-dilution-info": "", "WB-species-notes": "" }, "Mouse": { "IHCP-species-checked": "testedAndGuaranteed", "IHCP-species-dilution-info": "1/500", "IHCP-species-notes": "<p></p> Perform heat-mediated antigen retrieval with Tris/EDTA buffer pH 9.0 before commencing with IHC staining protocol.", "IHCFr-species-checked": "notRecommended", "IHCFr-species-dilution-info": "", "IHCFr-species-notes": "<p></p>", "WB-species-checked": "testedAndGuaranteed", "WB-species-dilution-info": "1/1000", "WB-species-notes": "<p></p>" }, "Rat": { "IHCP-species-checked": "testedAndGuaranteed", "IHCP-species-dilution-info": "1/500", "IHCP-species-notes": "<p></p> Perform heat-mediated antigen retrieval with Tris/EDTA buffer pH 9.0 before commencing with IHC staining protocol.", "IHCFr-species-checked": "notRecommended", "IHCFr-species-dilution-info": "", "IHCFr-species-notes": "<p></p>", "WB-species-checked": "testedAndGuaranteed", "WB-species-dilution-info": "1/1000", "WB-species-notes": "<p></p>" } } }

Product details

What are the advantages of a recombinant monoclonal antibody?
This product is a recombinant monoclonal antibody, which offers several advantages including:

  • - High batch-to-batch consistency and reproducibility
  • - Improved sensitivity and specificity
  • - Long-term security of supply
  • - Animal-free batch production

For more information, read more on recombinant antibodies.

Want a custom formulation?
This antibody clone is manufactured by Abcam. If you require a custom buffer formulation or conjugation for your experiments, please contact orders@abcam.com

Properties and storage information

Form
Liquid
Purification technique
Ion exchange chromatography
Storage buffer
pH: 7.2 - 7.4 Preservative: 0.01% Sodium azide Constituents: PBS, 40% Glycerol (glycerin, glycerine), 0.05% BSA
Shipped at conditions
Blue Ice
Appropriate short-term storage duration
1-2 weeks
Appropriate short-term storage conditions
+4°C
Appropriate long-term storage conditions
-20°C
Aliquoting information
Upon delivery aliquot
Storage information
Avoid freeze / thaw cycle

Product protocols

For this product, it's our understanding that no specific protocols are required. You can visit:

Target data

Dopamine receptor whose activity is mediated by G proteins which activate adenylyl cyclase.
See full target information Drd1

Product promise

We are committed to supporting your work with high-quality reagents, and we're here for you every step of the way. In the unlikely event that one of our products does not perform as expected, you're protected by our Product Promise.
For full details, please see our Terms & Conditions

Please note: All products are 'FOR RESEARCH USE ONLY. NOT FOR USE IN DIAGNOSTIC OR THERAPEUTIC PROCEDURES'.

For licensing inquiries, please contact partnerships@abcam.com