JavaScript is disabled in your browser. Please enable JavaScript to view this website.
AB279713

Anti-Dopamine Receptor D1 antibody [EPR24102-105]

  • BOND RX™ Validated
  • 20ul selling size
  • RabMAb
  • Recombinant
  • What is this?

Be the first to review this product! Submit a review

|

(6 Publications)

Rabbit Recombinant Monoclonal Dopamine Receptor D1 antibody. Suitable for WB, IHC-Fr, IHC-P and reacts with Mouse, Rat, Human samples. Cited in 6 publications.

View Alternative Names

D(1A) dopamine receptor, Dopamine D1 receptor, DRD1

11 Images
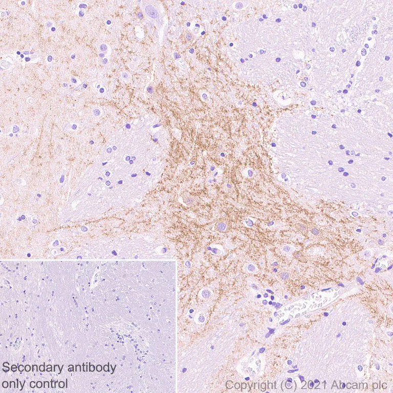
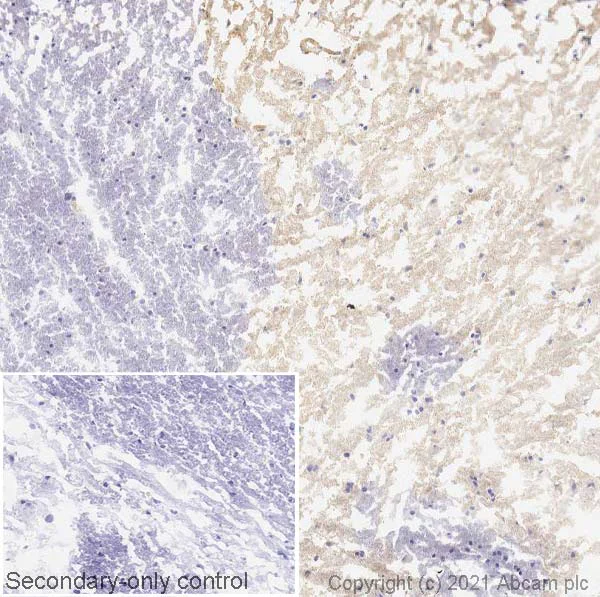
Immunohistochemistry (Frozen sections) - Anti-Dopamine Receptor D1 antibody [EPR24102-105] (AB279713)
  • IHC-Fr

Lab

Immunohistochemistry (Frozen sections) - Anti-Dopamine Receptor D1 antibody [EPR24102-105] (AB279713)

IHC image of Dopamine Receptor D1 staining in a section of frozen normal human thalamus* performed on a Leica BOND system using the standard protocol. The section was fixed in 10% paraformaldehyde (10 min) prior to staining.

The section was incubated with ab279713, 10ugml, for 15 mins at room temperature and detected using an HRP conjugated compact polymer system. DAB was used as the chromogen. The section was then counterstained with haematoxylin and mounted with DPX. The inset secondary-only control image is taken from an identical assay without primary antibody.

For other IHC staining systems (automated and non-automated) customers should optimize variable parameters such as antigen retrieval conditions, primary antibody concentration and antibody incubation times.

*Tissue obtained from the Human Research Tissue Bank, supported by the NIHR Cambridge Biomedical Research Centre

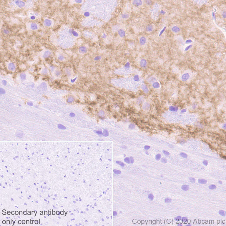
Immunohistochemistry (Frozen sections) - Anti-Dopamine Receptor D1 antibody [EPR24102-105] (AB279713)
  • IHC-Fr

Lab

Immunohistochemistry (Frozen sections) - Anti-Dopamine Receptor D1 antibody [EPR24102-105] (AB279713)

IHC image of Dopamine Receptor D1 staining in a section of frozen normal human striatum* performed on a Leica BOND system using the standard protocol. The section was fixed in 10% paraformaldehyde (10 min) prior to staining.

The section was incubated with ab279713, 10ugml, for 15 mins at room temperature and detected using an HRP conjugated compact polymer system. DAB was used as the chromogen. The section was then counterstained with haematoxylin and mounted with DPX. The inset secondary-only control image is taken from an identical assay without primary antibody.

For other IHC staining systems (automated and non-automated) customers should optimize variable parameters such as antigen retrieval conditions, primary antibody concentration and antibody incubation times.

*Tissue obtained from the Human Research Tissue Bank, supported by the NIHR Cambridge Biomedical Research Centre

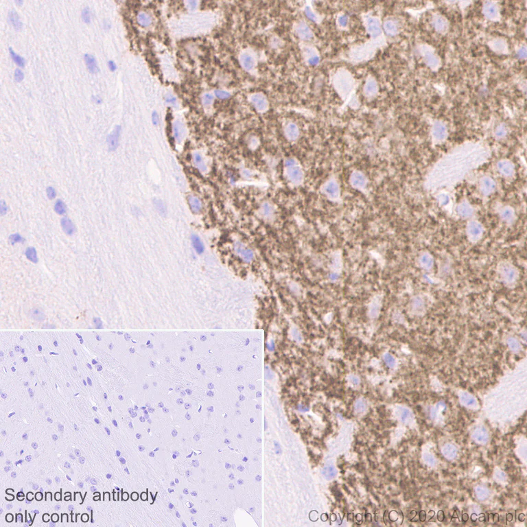
Immunohistochemistry (Formalin/PFA-fixed paraffin-embedded sections) - Anti-Dopamine Receptor D1 antibody [EPR24102-105] (AB279713)
  • IHC-P

Lab

Immunohistochemistry (Formalin/PFA-fixed paraffin-embedded sections) - Anti-Dopamine Receptor D1 antibody [EPR24102-105] (AB279713)

Immunohistochemical analysis of paraffin-embedded Human corpus striatum tissue labeling Dopamine Receptor D1 with ab279713 at 1/500 (1.026 μg/ml) dilution followed by LeicaDS9800 (Bond™ Polymer Refine Detection). Positive staining is on the corpus striatum of human brain. The section was incubated with ab279713 for 30 mins at room temperature. The immunostaining was performed on a Leica Biosystems BOND® RX instrument. Counterstained with Hematoxylin.

Heat mediated antigen retrieval with Tris-EDTA buffer (pH 9.0, epitope retrieval solution2) for 20 mins.

Immunohistochemistry (Frozen sections) - Anti-Dopamine Receptor D1 antibody [EPR24102-105] (AB279713)
  • IHC-Fr

Lab

Immunohistochemistry (Frozen sections) - Anti-Dopamine Receptor D1 antibody [EPR24102-105] (AB279713)

Immunohistochemical analysis of 4% paraformaldehyde-fixed, 0.2% Triton-X-100 permeabilized frozen rat striatum (fresh) tissue labeling Dopamine Receptor D1 with ab279713 at 1/100 dilution, followed by ab150081 Goat Anti-Rabbit IgG H&L (Alexa Fluor® 488) preadsorbed (green) at a 1/1000 dilution. The nuclear counterstain is DAPI (blue).
Positive staining on the rat striatum is observed.

Secondary antibody only control : Used PBS instead of primary antibody, secondary antibody is ab150081 Goat Anti-Rabbit IgG H&L (Alexa Fluor® 488) preadsorbed at a 1/1000 dilution.

Immunohistochemistry (Frozen sections) - Anti-Dopamine Receptor D1 antibody [EPR24102-105] (AB279713)
  • IHC-Fr

Lab

Immunohistochemistry (Frozen sections) - Anti-Dopamine Receptor D1 antibody [EPR24102-105] (AB279713)

Immunohistochemical analysis of 4% paraformaldehyde-fixed, 0.2% Triton-X-100 permeabilized frozen rat kidney (fresh) tissue labeling Dopamine Receptor D1 with ab279713 at 1/100 dilution, followed by ab150081 Goat Anti-Rabbit IgG H&L (Alexa Fluor® 488) preadsorbed (green) at a 1/1000 dilution. The nuclear counterstain is DAPI (blue).
No staining on the rat kidney is observed.
Negative control : kidney (PMID : 2144334).

Secondary antibody only control : Used PBS instead of primary antibody, secondary antibody is ab150081 Goat Anti-Rabbit IgG H&L (Alexa Fluor® 488) preadsorbed at a 1/1000 dilution.

Immunohistochemistry (Frozen sections) - Anti-Dopamine Receptor D1 antibody [EPR24102-105] (AB279713)
  • IHC-Fr

Lab

Immunohistochemistry (Frozen sections) - Anti-Dopamine Receptor D1 antibody [EPR24102-105] (AB279713)

Immunohistochemical analysis of 4% paraformaldehyde-fixed, 0.2% Triton-X-100 permeabilized frozen mouse striatum (fresh) tissue labeling Dopamine Receptor D1 with ab279713 at 1/100 dilution, followed by ab150081 Goat Anti-Rabbit IgG H&L (Alexa Fluor® 488) preadsorbed (green) at a 1/1000 dilution. The nuclear counterstain is DAPI (blue).
Positive staining on the mouse striatum is observed.

Secondary antibody only control : Used PBS instead of primary antibody, secondary antibody is ab150081 Goat Anti-Rabbit IgG H&L (Alexa Fluor® 488) preadsorbed at a 1/1000 dilution.

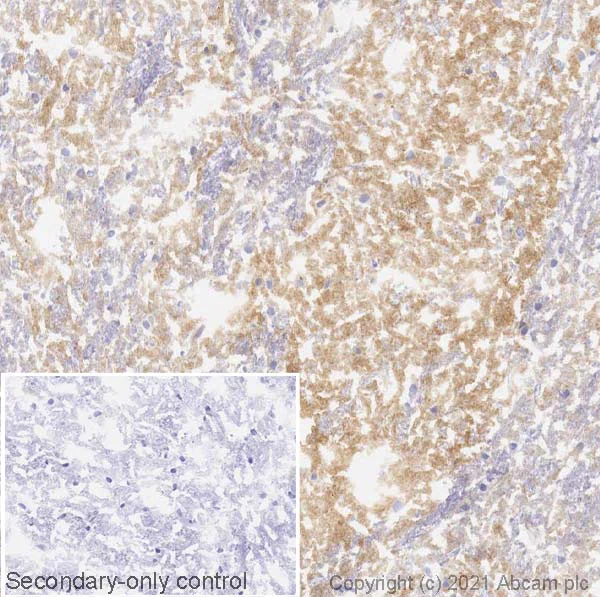
Immunohistochemistry (Formalin/PFA-fixed paraffin-embedded sections) - Anti-Dopamine Receptor D1 antibody [EPR24102-105] (AB279713)
  • IHC-P

Supplier Data

Immunohistochemistry (Formalin/PFA-fixed paraffin-embedded sections) - Anti-Dopamine Receptor D1 antibody [EPR24102-105] (AB279713)

Immunohistochemical analysis of paraffin-embedded Mouse corpus striatum tissue labeling Dopamine Receptor D1 with ab279713 at 1/4000 dilution followed by a ready to use Rabbit specific IHC polymer detection kit HRP/DAB (ab209101). Positive staining on the corpus striatum of mouse brain. The section was incubated with ab279713 for 30 mins at room temperature. The immunostaining was performed on a Leica Biosystems BOND® RX instrument. Counterstained with Hematoxylin.

Secondary antibody only control : Secondary antibody is a ready to use Rabbit specific IHC polymer detection kit HRP/DAB (ab209101) was used.

Heat mediated antigen retrieval with Tris-EDTA buffer (pH 9.0, epitope retrieval solution2) for 20 mins

Immunohistochemistry (Formalin/PFA-fixed paraffin-embedded sections) - Anti-Dopamine Receptor D1 antibody [EPR24102-105] (AB279713)
  • IHC-P

Supplier Data

Immunohistochemistry (Formalin/PFA-fixed paraffin-embedded sections) - Anti-Dopamine Receptor D1 antibody [EPR24102-105] (AB279713)

Immunohistochemical analysis of paraffin-embedded Rat corpus striatum tissue labeling Dopamine Receptor D1 with ab279713 at 1/4000 dilution followed by a ready to use Rabbit specific IHC polymer detection kit HRP/DAB (ab209101). Positive staining on rat corpus striatum of mouse brain. The section was incubated with ab279713 for 30 mins at room temperature. The immunostaining was performed on a Leica Biosystems BOND® RX instrument. Counterstained with Hematoxylin.

Secondary antibody only control : Secondary antibody is a ready to use Rabbit specific IHC polymer detection kit HRP/DAB (ab209101) was used.

Heat mediated antigen retrieval with Tris-EDTA buffer (pH 9.0, epitope retrieval solution2) for 20 mins

Immunohistochemistry (Formalin/PFA-fixed paraffin-embedded sections) - Anti-Dopamine Receptor D1 antibody [EPR24102-105] (AB279713)
  • IHC-P

Supplier Data

Immunohistochemistry (Formalin/PFA-fixed paraffin-embedded sections) - Anti-Dopamine Receptor D1 antibody [EPR24102-105] (AB279713)

Immunohistochemical analysis of paraffin-embedded Mouse brain tissue labeling Dopamine Receptor D1 with ab279713 at 1/4000 dilution followed by a ready to use Rabbit specific IHC polymer detection kit HRP/DAB (ab209101). Positive staining is mainly on the corpus striatum of mouse brain. The section was incubated with ab279713 for 30 mins at room temperature. The immunostaining was performed on a Leica Biosystems BOND® RX instrument. Counterstained with Hematoxylin.

Secondary antibody only control : Secondary antibody is a ready to use Rabbit specific IHC polymer detection kit HRP/DAB (ab209101) was used.

Heat mediated antigen retrieval with Tris-EDTA buffer (pH 9.0, epitope retrieval solution2) for 20 mins

Immunohistochemistry (Frozen sections) - Anti-Dopamine Receptor D1 antibody [EPR24102-105] (AB279713)
  • IHC-Fr

Lab

Immunohistochemistry (Frozen sections) - Anti-Dopamine Receptor D1 antibody [EPR24102-105] (AB279713)

Immunohistochemical analysis of 4% paraformaldehyde-fixed, 0.2% Triton-X-100 permeabilized frozen mouse kidney (fresh) tissue labeling Dopamine Receptor D1 with ab279713 at 1/100 dilution, followed by ab150081 Goat Anti-Rabbit IgG H&L (Alexa Fluor® 488) preadsorbed (green) at a 1/1000 dilution. The nuclear counterstain is DAPI (blue).
No staining on the mouse kidney is observed.
Negative control : kidney (PMID : 2144334).

Secondary antibody only control : Used PBS instead of primary antibody, secondary antibody is ab150081 Goat Anti-Rabbit IgG H&L (Alexa Fluor® 488) preadsorbed at a 1/1000 dilution.

Western blot - Anti-Dopamine Receptor D1 antibody [EPR24102-105] (AB279713)
  • WB

Supplier Data

Western blot - Anti-Dopamine Receptor D1 antibody [EPR24102-105] (AB279713)

Blocking and diluting buffer and concentration : 5% NFDM/TBST

Exposure time : Lane 1-3 : 15 seconds Lane 4-6 : 69 seconds.

The molecular weight observed is consistent with what have been described in literature (PMID : 28316027).

Negative control : heart, kidney (PMID : 2144334)

Samples are non-boiled as boiling may cause protein aggregates.

All lanes:

Western blot - Anti-Dopamine Receptor D1 antibody [EPR24102-105] (ab279713) at 1/1000 dilution

Lane 1:

Mouse striatum tissue lysate at 20 µg

Lane 2:

Mouse heart tissue lysate at 20 µg

Lane 3:

Mouse kidney tissue lysate at 20 µg

Lane 4:

Rat striatum tissue lysate at 20 µg

Lane 5:

Rat heart tissue lysate at 20 µg

Lane 6:

Rat kidney tissue lysate at 20 µg

Secondary

All lanes:

Western blot - Goat Anti-Rabbit IgG H&L (HRP) (<a href='/en-us/products/secondary-antibodies/goat-rabbit-igg-h-l-hrp-ab97051'>ab97051</a>) at 1/50000 dilution

Predicted band size: 49 kDa

Observed band size: 95-100 kDa

false

  • Carrier free

    Anti-Dopamine Receptor D1 antibody [EPR24102-105] - BSA and Azide free

Key facts

Host species

Rabbit

Clonality

Monoclonal

Clone number

EPR24102-105

Isotype

IgG

Carrier free

No

Reacts with

Mouse, Rat, Human

Applications

IHC-P, WB, IHC-Fr

applications

Immunogen

The exact immunogen used to generate this antibody is proprietary information.

Reactivity data

{ "title": "Reactivity Data", "filters": { "stats": ["", "Species", "Dilution Info", "Notes"], "tabs": { "all-applications": {"fullname" : "All Applications", "shortname": "All Applications"}, "IP" : {"fullname" : "Immunoprecipitation", "shortname":"IP"}, "FlowCyt" : {"fullname" : "Flow Cytometry", "shortname":"Flow Cyt"}, "WB" : {"fullname" : "Western blot", "shortname":"WB"}, "IHCFr" : {"fullname" : "Immunohistochemistry (Frozen sections)", "shortname":"IHC-Fr"}, "IHCP" : {"fullname" : "Immunohistochemistry (Formalin/PFA-fixed paraffin-embedded sections)", "shortname":"IHC-P"} }, "product-promise": { "all": "all", "testedAndGuaranteed": "tested", "guaranteed": "expected", "predicted": "predicted", "notRecommended": "not-recommended" } }, "values": { "Human": { "IP-species-checked": "notRecommended", "IP-species-dilution-info": "", "IP-species-notes": "<p></p>", "FlowCyt-species-checked": "notRecommended", "FlowCyt-species-dilution-info": "", "FlowCyt-species-notes": "<p></p>", "WB-species-checked": "guaranteed", "WB-species-dilution-info": "", "WB-species-notes": "", "IHCFr-species-checked": "testedAndGuaranteed", "IHCFr-species-dilution-info": "1/50", "IHCFr-species-notes": "<p></p>", "IHCP-species-checked": "testedAndGuaranteed", "IHCP-species-dilution-info": "1/500 - 1/4000", "IHCP-species-notes": "<p>For rat and mouse samples recommended use at a 1/4000 dilution. For human samples recommended use at 1/500 dilution.</p> Perform heat-mediated antigen retrieval with Tris/EDTA buffer pH 9.0 before commencing with IHC staining protocol." }, "Mouse": { "IP-species-checked": "notRecommended", "IP-species-dilution-info": "", "IP-species-notes": "<p></p>", "FlowCyt-species-checked": "notRecommended", "FlowCyt-species-dilution-info": "", "FlowCyt-species-notes": "<p></p>", "WB-species-checked": "testedAndGuaranteed", "WB-species-dilution-info": "1/1000", "WB-species-notes": "<p></p>", "IHCFr-species-checked": "testedAndGuaranteed", "IHCFr-species-dilution-info": "1/50", "IHCFr-species-notes": "<p></p>", "IHCP-species-checked": "testedAndGuaranteed", "IHCP-species-dilution-info": "1/500 - 1/4000", "IHCP-species-notes": "<p>For rat and mouse samples recommended use at a 1/4000 dilution. For human samples recommended use at 1/500 dilution.</p> Perform heat-mediated antigen retrieval with Tris/EDTA buffer pH 9.0 before commencing with IHC staining protocol." }, "Rat": { "IP-species-checked": "notRecommended", "IP-species-dilution-info": "", "IP-species-notes": "<p></p>", "FlowCyt-species-checked": "notRecommended", "FlowCyt-species-dilution-info": "", "FlowCyt-species-notes": "<p></p>", "WB-species-checked": "testedAndGuaranteed", "WB-species-dilution-info": "1/1000", "WB-species-notes": "<p></p>", "IHCFr-species-checked": "testedAndGuaranteed", "IHCFr-species-dilution-info": "1/50", "IHCFr-species-notes": "<p></p>", "IHCP-species-checked": "testedAndGuaranteed", "IHCP-species-dilution-info": "1/500 - 1/4000", "IHCP-species-notes": "<p>For rat and mouse samples recommended use at a 1/4000 dilution. For human samples recommended use at 1/500 dilution.</p> Perform heat-mediated antigen retrieval with Tris/EDTA buffer pH 9.0 before commencing with IHC staining protocol." } } }

Product details

Patented technology
Our RabMAb® technology is a patented hybridoma-based technology for making rabbit monoclonal antibodies. For details on our patents, please refer to RabMAb® patents.

What are the advantages of a recombinant monoclonal antibody?
This product is a recombinant monoclonal antibody, which offers several advantages including:

  • - High batch-to-batch consistency and reproducibility
  • - Improved sensitivity and specificity
  • - Long-term security of supply
  • - Animal-free batch production

For more information, read more on recombinant antibodies.

Shipping conditions update: ambient shipping

This product will be delivered at ambient temperature instead of chilled – this is by design. Extensive stability testing confirmed that our products are suitable for shipment under ambient conditions and maintain expected quality.

Why the change?

It’s part of our commitment to more sustainable packaging solutions, with ambient deliveries using eco-friendly materials such as recyclable cardboard instead of polystyrene.

What you need to know

  • Ambient shipments come clearly marked on the delivery note.
  • No ice will be included in ambient shipments, but mixed orders (ambient and cold-chain items) will still arrive with ice packs to protect temperature-sensitive products.
  • Warranty coverage remains fully valid, aligned with our validated shipping method.
  • Please store the product as per the datasheet instructions upon receipt.

Find out more - https://www.abcam.com/en-us/support/shipping-storage-support/ambient-shipping

Properties and storage information

Form
Liquid
Purification technique
Affinity purification Protein A
Storage buffer
Preservative: 0.01% Sodium azide Constituents: PBS, 40% Glycerol (glycerin, glycerine), 0.05% BSA
Shipped at conditions
Conditional Ambient
Appropriate short-term storage duration
1-2 weeks
Appropriate short-term storage conditions
+4°C
Appropriate long-term storage conditions
-20°C
Aliquoting information
Upon delivery aliquot
Storage information
Avoid freeze / thaw cycle

Product protocols

For this product, it's our understanding that no specific protocols are required. You can visit:

Target data

Dopamine receptor whose activity is mediated by G proteins which activate adenylyl cyclase.
See full target information DRD1

Publications (6)

Recent publications for all applications. Explore the full list and refine your search

Asian journal of pharmaceutical sciences 20:101010 PubMed40182135

2025

All-stage targeted nanodiscs for glioma treatment by inducing cuproptosis and apoptosis of cancer cells and cancer stem cells.

Applications

Unspecified application

Species

Unspecified reactive species

Yuan Ding,Ruohan Chen,Jianfen Zhou,Yanning Bao,Nana Meng,Xudong Zheng,Shengmin Yang,Jiasheng Lu,Zhixuan Jiang,Yu Liu,Cao Xie,Linwei Lu,Weiyue Lu

Science advances 10:eado0866 PubMed39093964

2024

Modulating amacrine cell-derived dopamine signaling promotes optic nerve regeneration and preserves visual function.

Applications

Unspecified application

Species

Unspecified reactive species

Qi Zhang,Jingfei Xue,Jiahui Tang,Siting Wu,Zhe Liu,Caiqing Wu,Canying Liu,Yidan Liu,Jicheng Lin,Jiaxu Han,Liyan Liu,Yuze Chen,Jinpeng Yang,Zhidong Li,Ling Zhao,Yantao Wei,Yiqing Li,Yehong Zhuo

International journal of molecular sciences 24: PubMed38069205

2023

Dopaminergic Projections from the Hypothalamic A11 Nucleus to the Spinal Trigeminal Nucleus Are Involved in Bidirectional Migraine Modulation.

Applications

Unspecified application

Species

Unspecified reactive species

Chenhao Li,Yang Li,Wenwen Zhang,Zhenjie Ma,Shaobo Xiao,Wei Xie,Shuai Miao,Bozhi Li,Guangshuang Lu,Yingyuan Liu,Wenhao Bai,Shengyuan Yu

PloS one 18:e0289133 PubMed37585373

2023

Ketogenic diet ameliorates attention deficit hyperactivity disorder in rats via regulating gut microbiota.

Applications

Unspecified application

Species

Unspecified reactive species

Yu Liu,Changhong Yang,Yingxue Meng,Yonghui Dang,Lin Yang

3 Biotech 13:149 PubMed37131964

2023

Swimming training and herbal nanoformulations as natural remedies to improve sensory-motor impairment in rat midbrain tumor models: system biology, behavioral test, and experimental validation.

Applications

Unspecified application

Species

Unspecified reactive species

Fariba Farajizadeh,Farzaneh Taghian,Khosro Jalali Dehkordi,Rezvan Mirsafaei Rizi

Frontiers in cellular neuroscience 16:1057887 PubMed36687525

2023

Potential therapeutic mechanism of deep brain stimulation of the nucleus accumbens in obsessive-compulsive disorder.

Applications

Unspecified application

Species

Unspecified reactive species

Yifeng Shi,Mengqi Wang,Linglong Xiao,Luolan Gui,Wen Zheng,Lin Bai,Bo Su,Bin Li,Yangyang Xu,Wei Pan,Jie Zhang,Wei Wang
View all publications

Product promise

We are committed to supporting your work with high-quality reagents, and we're here for you every step of the way. In the unlikely event that one of our products does not perform as expected, you're protected by our Product Promise.
For full details, please see our Terms & Conditions

Please note: All products are 'FOR RESEARCH USE ONLY. NOT FOR USE IN DIAGNOSTIC OR THERAPEUTIC PROCEDURES'.

For licensing inquiries, please contact partnerships@abcam.com