JavaScript is disabled in your browser. Please enable JavaScript to view this website.
AB279718

Anti-Dopamine Receptor D1 antibody [EPR24102-105] - BSA and Azide free

Be the first to review this product! Submit a review

|

(0 Publication)

Rabbit Recombinant Monoclonal Dopamine Receptor D1 antibody. Carrier free. Suitable for WB, IHC-Fr, IHC-P and reacts with Mouse, Rat, Human samples.

View Alternative Names

D(1A) dopamine receptor, Dopamine D1 receptor, DRD1

9 Images
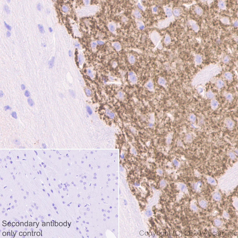
Immunohistochemistry (Formalin/PFA-fixed paraffin-embedded sections) - Anti-Dopamine Receptor D1 antibody [EPR24102-105] - BSA and Azide free (AB279718)
  • IHC-P

Lab

Immunohistochemistry (Formalin/PFA-fixed paraffin-embedded sections) - Anti-Dopamine Receptor D1 antibody [EPR24102-105] - BSA and Azide free (AB279718)

This data was developed using ab279713, the same antibody clone in a different buffer formulation.

Immunohistochemical analysis of paraffin-embedded Human corpus striatum tissue labeling Dopamine Receptor D1 with ab279713 at 1/500 (1.026 μg/ml) dilution followed by LeicaDS9800 (Bond™ Polymer Refine Detection). Positive staining is on the corpus striatum of human brain. The section was incubated with ab279713 for 30 mins at room temperature. The immunostaining was performed on a Leica Biosystems BOND® RX instrument. Counterstained with Hematoxylin.

Heat mediated antigen retrieval with Tris-EDTA buffer (pH 9.0, epitope retrieval solution2) for 20 mins.

Immunohistochemistry (Formalin/PFA-fixed paraffin-embedded sections) - Anti-Dopamine Receptor D1 antibody [EPR24102-105] - BSA and Azide free (AB279718)
  • IHC-P

Supplier Data

Immunohistochemistry (Formalin/PFA-fixed paraffin-embedded sections) - Anti-Dopamine Receptor D1 antibody [EPR24102-105] - BSA and Azide free (AB279718)

This data was developed using ab279713, the same antibody clone in a different buffer formulation.

Immunohistochemical analysis of paraffin-embedded Mouse brain tissue labeling Dopamine Receptor D1 with ab279713 at 1/4000 dilution followed by a ready to use Rabbit specific IHC polymer detection kit HRP/DAB (ab209101). Positive staining is mainly on the corpus striatum of mouse brain. The section was incubated with ab279713 for 30 mins at room temperature. The immunostaining was performed on a Leica Biosystems BOND® RX instrument. Counterstained with Hematoxylin.

Secondary antibody only control : Secondary antibody is a ready to use Rabbit specific IHC polymer detection kit HRP/DAB (ab209101) was used.

Heat mediated antigen retrieval with Tris-EDTA buffer (pH 9.0, epitope retrieval solution2) for 20 mins

Immunohistochemistry (Frozen sections) - Anti-Dopamine Receptor D1 antibody [EPR24102-105] - BSA and Azide free (AB279718)
  • IHC-Fr

Lab

Immunohistochemistry (Frozen sections) - Anti-Dopamine Receptor D1 antibody [EPR24102-105] - BSA and Azide free (AB279718)

This data was developed using ab279713, the same antibody clone in a different buffer formulation.

Immunohistochemical analysis of 4% paraformaldehyde-fixed, 0.2% Triton-X-100 permeabilized frozen mouse kidney (fresh) tissue labeling Dopamine Receptor D1 with ab279713 at 1/100 dilution, followed by ab150081 Goat Anti-Rabbit IgG H&L (Alexa Fluor® 488) preadsorbed (green) at a 1/1000 dilution. The nuclear counterstain is DAPI (blue).
No staining on the mouse kidney is observed.
Negative control : kidney (PMID : 2144334).

Secondary antibody only control : Used PBS instead of primary antibody, secondary antibody is ab150081 Goat Anti-Rabbit IgG H&L (Alexa Fluor® 488) preadsorbed at a 1/1000 dilution.

Immunohistochemistry (Frozen sections) - Anti-Dopamine Receptor D1 antibody [EPR24102-105] - BSA and Azide free (AB279718)
  • IHC-Fr

Lab

Immunohistochemistry (Frozen sections) - Anti-Dopamine Receptor D1 antibody [EPR24102-105] - BSA and Azide free (AB279718)

This data was developed using ab279713, the same antibody clone in a different buffer formulation.

Immunohistochemical analysis of 4% paraformaldehyde-fixed, 0.2% Triton-X-100 permeabilized frozen rat striatum (fresh) tissue labeling Dopamine Receptor D1 with ab279713 at 1/100 dilution, followed by ab150081 Goat Anti-Rabbit IgG H&L (Alexa Fluor® 488) preadsorbed (green) at a 1/1000 dilution. The nuclear counterstain is DAPI (blue).
Positive staining on the rat striatum is observed.

Secondary antibody only control : Used PBS instead of primary antibody, secondary antibody is ab150081 Goat Anti-Rabbit IgG H&L (Alexa Fluor® 488) preadsorbed at a 1/1000 dilution.

Immunohistochemistry (Frozen sections) - Anti-Dopamine Receptor D1 antibody [EPR24102-105] - BSA and Azide free (AB279718)
  • IHC-Fr

Lab

Immunohistochemistry (Frozen sections) - Anti-Dopamine Receptor D1 antibody [EPR24102-105] - BSA and Azide free (AB279718)

This data was developed using ab279713, the same antibody clone in a different buffer formulation.

Immunohistochemical analysis of 4% paraformaldehyde-fixed, 0.2% Triton-X-100 permeabilized frozen rat kidney (fresh) tissue labeling Dopamine Receptor D1 with ab279713 at 1/100 dilution, followed by ab150081 Goat Anti-Rabbit IgG H&L (Alexa Fluor® 488) preadsorbed (green) at a 1/1000 dilution. The nuclear counterstain is DAPI (blue).
No staining on the rat kidney is observed.
Negative control : kidney (PMID : 2144334).

Secondary antibody only control : Used PBS instead of primary antibody, secondary antibody is ab150081 Goat Anti-Rabbit IgG H&L (Alexa Fluor® 488) preadsorbed at a 1/1000 dilution.

Immunohistochemistry (Frozen sections) - Anti-Dopamine Receptor D1 antibody [EPR24102-105] - BSA and Azide free (AB279718)
  • IHC-Fr

Lab

Immunohistochemistry (Frozen sections) - Anti-Dopamine Receptor D1 antibody [EPR24102-105] - BSA and Azide free (AB279718)

This data was developed using ab279713, the same antibody clone in a different buffer formulation.

Immunohistochemical analysis of 4% paraformaldehyde-fixed, 0.2% Triton-X-100 permeabilized frozen mouse striatum (fresh) tissue labeling Dopamine Receptor D1 with ab279713 at 1/100 dilution, followed by ab150081 Goat Anti-Rabbit IgG H&L (Alexa Fluor® 488) preadsorbed (green) at a 1/1000 dilution. The nuclear counterstain is DAPI (blue).
Positive staining on the mouse striatum is observed.

Secondary antibody only control : Used PBS instead of primary antibody, secondary antibody is ab150081 Goat Anti-Rabbit IgG H&L (Alexa Fluor® 488) preadsorbed at a 1/1000 dilution.

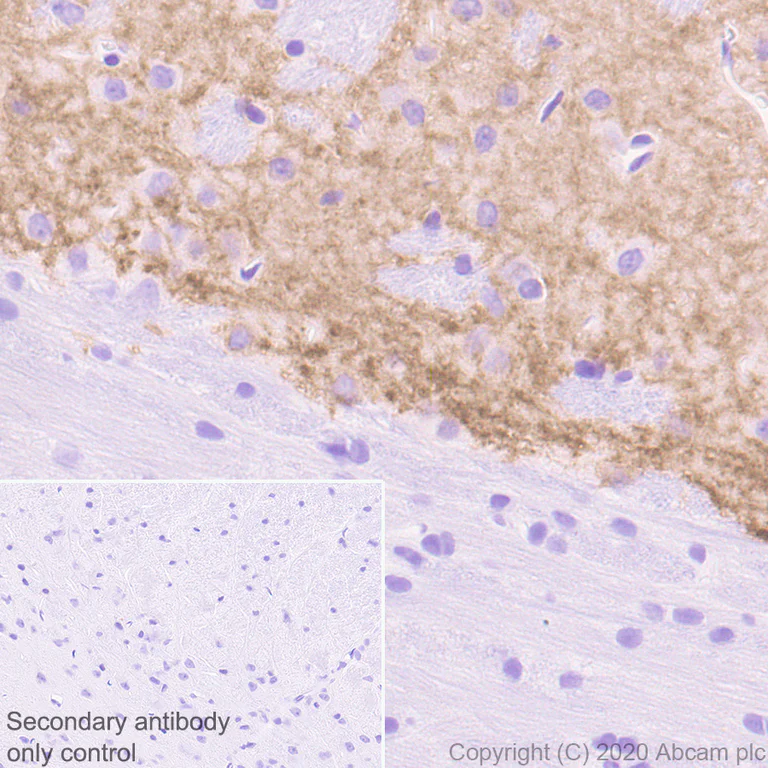
Immunohistochemistry (Formalin/PFA-fixed paraffin-embedded sections) - Anti-Dopamine Receptor D1 antibody [EPR24102-105] - BSA and Azide free (AB279718)
  • IHC-P

Supplier Data

Immunohistochemistry (Formalin/PFA-fixed paraffin-embedded sections) - Anti-Dopamine Receptor D1 antibody [EPR24102-105] - BSA and Azide free (AB279718)

This data was developed using ab279713, the same antibody clone in a different buffer formulation.

Immunohistochemical analysis of paraffin-embedded Mouse corpus striatum tissue labeling Dopamine Receptor D1 with ab279713 at 1/4000 dilution followed by a ready to use Rabbit specific IHC polymer detection kit HRP/DAB (ab209101). Positive staining on the corpus striatum of mouse brain. The section was incubated with ab279713 for 30 mins at room temperature. The immunostaining was performed on a Leica Biosystems BOND® RX instrument. Counterstained with Hematoxylin.

Secondary antibody only control : Secondary antibody is a ready to use Rabbit specific IHC polymer detection kit HRP/DAB (ab209101) was used.

Heat mediated antigen retrieval with Tris-EDTA buffer (pH 9.0, epitope retrieval solution2) for 20 mins

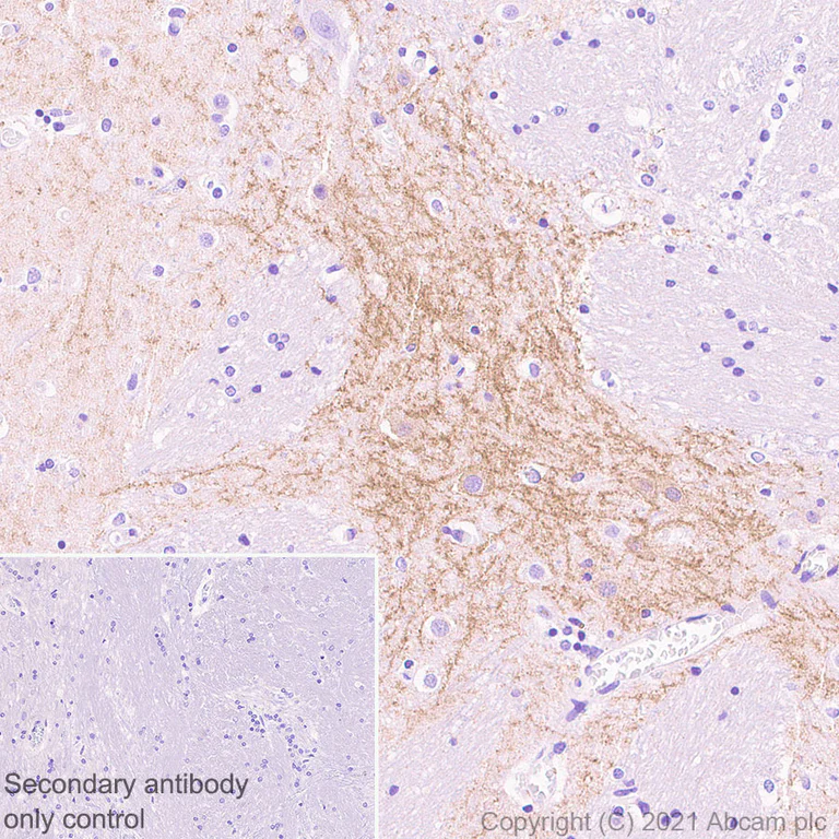
Immunohistochemistry (Formalin/PFA-fixed paraffin-embedded sections) - Anti-Dopamine Receptor D1 antibody [EPR24102-105] - BSA and Azide free (AB279718)
  • IHC-P

Supplier Data

Immunohistochemistry (Formalin/PFA-fixed paraffin-embedded sections) - Anti-Dopamine Receptor D1 antibody [EPR24102-105] - BSA and Azide free (AB279718)

This data was developed using ab279713, the same antibody clone in a different buffer formulation.

Immunohistochemical analysis of paraffin-embedded Rat corpus striatum tissue labeling Dopamine Receptor D1 with ab279713 at 1/4000 dilution followed by a ready to use Rabbit specific IHC polymer detection kit HRP/DAB (ab209101). Positive staining on rat corpus striatum of mouse brain. The section was incubated with ab279713 for 30 mins at room temperature. The immunostaining was performed on a Leica Biosystems BOND® RX instrument. Counterstained with Hematoxylin.

Secondary antibody only control : Secondary antibody is a ready to use Rabbit specific IHC polymer detection kit HRP/DAB (ab209101) was used.

Heat mediated antigen retrieval with Tris-EDTA buffer (pH 9.0, epitope retrieval solution2) for 20 mins

Western blot - Anti-Dopamine Receptor D1 antibody [EPR24102-105] - BSA and Azide free (AB279718)
  • WB

Supplier Data

Western blot - Anti-Dopamine Receptor D1 antibody [EPR24102-105] - BSA and Azide free (AB279718)

This data was developed using ab279713, the same antibody clone in a different buffer formulation.

Blocking and diluting buffer and concentration : 5% NFDM/TBST

Exposure time : Lane 1-3 : 15 seconds Lane 4-6 : 69 seconds

The molecular weight observed is consistent with what have been described in literature (PMID : 28316027).

Negative control : heart, kidney (PMID : 2144334)

Samples are non-boiled as boiling may cause protein aggregates.

All lanes:

Western blot - Anti-Dopamine Receptor D1 antibody [EPR24102-105] (<a href='/en-us/products/primary-antibodies/dopamine-receptor-d1-antibody-epr24102-105-ab279713'>ab279713</a>) at 1/1000 dilution

Lane 1:

Mouse striatum tissue lysate at 20 µg

Lane 2:

Mouse heart tissue lysate at 20 µg

Lane 3:

Mouse kidney tissue lysate at 20 µg

Lane 4:

Rat striatum tissue lysate at 20 µg

Lane 5:

Rat heart tissue lysate at 20 µg

Lane 6:

Rat kidney tissue lysate at 20 µg

Secondary

All lanes:

Western blot - Goat Anti-Rabbit IgG H&L (HRP) (<a href='/en-us/products/secondary-antibodies/goat-rabbit-igg-h-l-hrp-ab97051'>ab97051</a>) at 1/50000 dilution

Predicted band size: 49 kDa

Observed band size: 95-100 kDa

false

  • Unconjugated

    Anti-Dopamine Receptor D1 antibody [EPR24102-105]

Key facts

Host species

Rabbit

Clonality

Monoclonal

Clone number

EPR24102-105

Isotype

IgG

Carrier free

Yes

Reacts with

Mouse, Rat, Human

Applications

IHC-Fr, WB, IHC-P

applications

Immunogen

The exact immunogen used to generate this antibody is proprietary information.

Reactivity data

{ "title": "Reactivity Data", "filters": { "stats": ["", "Species", "Dilution Info", "Notes"], "tabs": { "all-applications": {"fullname" : "All Applications", "shortname": "All Applications"}, "IP" : {"fullname" : "Immunoprecipitation", "shortname":"IP"}, "FlowCyt" : {"fullname" : "Flow Cytometry", "shortname":"Flow Cyt"}, "WB" : {"fullname" : "Western blot", "shortname":"WB"}, "IHCFr" : {"fullname" : "Immunohistochemistry (Frozen sections)", "shortname":"IHC-Fr"}, "IHCP" : {"fullname" : "Immunohistochemistry (Formalin/PFA-fixed paraffin-embedded sections)", "shortname":"IHC-P"} }, "product-promise": { "all": "all", "testedAndGuaranteed": "tested", "guaranteed": "expected", "predicted": "predicted", "notRecommended": "not-recommended" } }, "values": { "Human": { "IP-species-checked": "notRecommended", "IP-species-dilution-info": "", "IP-species-notes": "<p></p>", "FlowCyt-species-checked": "notRecommended", "FlowCyt-species-dilution-info": "", "FlowCyt-species-notes": "<p></p>", "WB-species-checked": "guaranteed", "WB-species-dilution-info": "", "WB-species-notes": "", "IHCFr-species-checked": "testedAndGuaranteed", "IHCFr-species-dilution-info": "", "IHCFr-species-notes": "<p></p>", "IHCP-species-checked": "testedAndGuaranteed", "IHCP-species-dilution-info": "", "IHCP-species-notes": "<p></p>" }, "Mouse": { "IP-species-checked": "notRecommended", "IP-species-dilution-info": "", "IP-species-notes": "<p></p>", "FlowCyt-species-checked": "notRecommended", "FlowCyt-species-dilution-info": "", "FlowCyt-species-notes": "<p></p>", "WB-species-checked": "testedAndGuaranteed", "WB-species-dilution-info": "", "WB-species-notes": "<p></p>", "IHCFr-species-checked": "testedAndGuaranteed", "IHCFr-species-dilution-info": "", "IHCFr-species-notes": "<p></p>", "IHCP-species-checked": "testedAndGuaranteed", "IHCP-species-dilution-info": "", "IHCP-species-notes": "<p></p>" }, "Rat": { "IP-species-checked": "notRecommended", "IP-species-dilution-info": "", "IP-species-notes": "<p></p>", "FlowCyt-species-checked": "notRecommended", "FlowCyt-species-dilution-info": "", "FlowCyt-species-notes": "<p></p>", "WB-species-checked": "testedAndGuaranteed", "WB-species-dilution-info": "", "WB-species-notes": "<p></p>", "IHCFr-species-checked": "testedAndGuaranteed", "IHCFr-species-dilution-info": "", "IHCFr-species-notes": "<p></p>", "IHCP-species-checked": "testedAndGuaranteed", "IHCP-species-dilution-info": "", "IHCP-species-notes": "<p></p>" } } }

Product details

ab279718 is the carrier-free version of ab279713.

Patented technology
Our RabMAb® technology is a patented hybridoma-based technology for making rabbit monoclonal antibodies. For details on our patents, please refer to RabMAb® patents.

What are the advantages of a recombinant monoclonal antibody?
This product is a recombinant monoclonal antibody, which offers several advantages including:

  • - High batch-to-batch consistency and reproducibility
  • - Improved sensitivity and specificity
  • - Long-term security of supply
  • - Animal-free batch production

For more information, read more on recombinant antibodies.

Conjugation ready
Our carrier-free antibodies are typically supplied in a PBS-only formulation, purified and free of BSA, sodium azide and glycerol. This conjugation-ready format is designed for use with fluorochromes, metal isotopes, oligonucleotides, and enzymes, which makes them ideal for antibody labelling, functional and cell-based assays, flow-based assays (e.g. mass cytometry) and Multiplex Imaging applications.

Use our conjugation kits for antibody conjugates that are ready-to-use in as little as 20 minutes with 1 minute hands-on-time and 100% antibody recovery: available for fluorescent dyes, HRP, biotin and gold.

Compatibility
This product is compatible with the Maxpar® Antibody Labeling Kit from Fluidigm, without the need for antibody preparation. Maxpar® is a trademark of Fluidigm Canada Inc.

Properties and storage information

Form
Liquid
Purification technique
Affinity purification Protein A
Storage buffer
Constituents: PBS
Shipped at conditions
Blue Ice
Appropriate short-term storage conditions
+4°C
Appropriate long-term storage conditions
+4°C

Product protocols

For this product, it's our understanding that no specific protocols are required. You can visit:

Target data

Dopamine receptor whose activity is mediated by G proteins which activate adenylyl cyclase.
See full target information DRD1

Product promise

We are committed to supporting your work with high-quality reagents, and we're here for you every step of the way. In the unlikely event that one of our products does not perform as expected, you're protected by our Product Promise.
For full details, please see our Terms & Conditions

Please note: All products are 'FOR RESEARCH USE ONLY. NOT FOR USE IN DIAGNOSTIC OR THERAPEUTIC PROCEDURES'.

For licensing inquiries, please contact partnerships@abcam.com