JavaScript is disabled in your browser. Please enable JavaScript to view this website.
AB184451

Anti-Dopamine Transporter antibody [EPR19695]

  • BOND RX™ Validated
  • 20ul selling size
  • RabMAb
  • Recombinant
  • What is this?

Be the first to review this product! Submit a review

|

(34 Publications)

Anti-Dopamine Transporter antibody [EPR19695] (ab184451) is a rabbit monoclonal antibody detecting Dopamine Transporter in Western Blot, IP, IHC-P, IHC-Fr. Suitable for Human, Mouse, Rat.

- Biophysical QC for unrivalled batch-batch consistency
- Over 20 publications

View Alternative Names

DAT1, SLC6A3, Sodium-dependent dopamine transporter, DA transporter, DAT, Solute carrier family 6 member 3

12 Images
Immunohistochemistry (Frozen sections) - Anti-Dopamine Transporter antibody [EPR19695] (AB184451)
  • IHC-Fr

Lab

Immunohistochemistry (Frozen sections) - Anti-Dopamine Transporter antibody [EPR19695] (AB184451)

IHC image of Dopamine Transporter staining in a section of formalin fixed paraffin embedded normal human striatum* performed on a Leica BOND™. The section was pre-treated using heat mediated antigen retrieval with sodium citrate buffer (pH6, epitope retrieval solution 1) for 20mins. The section was fixed in 10% paraformaldehyde (10 min) prior to staining. The section was incubated with ab184451, 5ugml, for 15 mins at room temperature and detected using an HRP conjugated compact polymer system. DAB was used as the chromogen.

The section was then counterstained with haematoxylin and mounted with DPX. The inset secondary-only control image is taken from an identical assay without primary antibody.

For other IHC staining systems (automated and non-automated) customers should optimize variable parameters such as antigen retrieval conditions, primary antibody concentration and antibody incubation times.

*Tissue obtained from the Human Research Tissue Bank, supported by the NIHR Cambridge Biomedical Research Centre

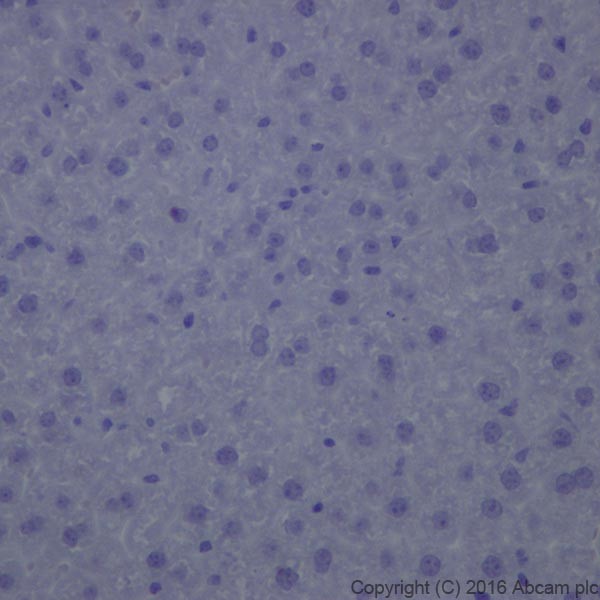
Immunohistochemistry (Formalin/PFA-fixed paraffin-embedded sections) - Anti-Dopamine Transporter antibody [EPR19695] (AB184451)
  • IHC-P

Lab

Immunohistochemistry (Formalin/PFA-fixed paraffin-embedded sections) - Anti-Dopamine Transporter antibody [EPR19695] (AB184451)

Negative control image : IHC image of Dopamine Transporter staining in a section of formalin fixed paraffin embedded normal human liver* performed on a Leica BOND™. The section was pre-treated using heat mediated antigen retrieval with sodium citrate buffer (pH6, epitope retrieval solution 1) for 20mins. The section was incubated with ab184451, 5ugml, for 15 mins at room temperature and detected using an HRP conjugated compact polymer system. DAB was used as the chromogen. The section was then counterstained with haematoxylin and mounted with DPX. The inset secondary-only control image is taken from an identical assay without primary antibody.

For other IHC staining systems (automated and non-automated) customers should optimize variable parameters such as antigen retrieval conditions, primary antibody concentration and antibody incubation times.

*Tissue obtained from the Human Research Tissue Bank, supported by the NIHR Cambridge Biomedical Research Centre

Immunohistochemistry (Frozen sections) - Anti-Dopamine Transporter antibody [EPR19695] (AB184451)
  • IHC-Fr

Lab

Immunohistochemistry (Frozen sections) - Anti-Dopamine Transporter antibody [EPR19695] (AB184451)

IHC image of Dopamine Transporter staining in a section of formalin fixed paraffin embedded normal human substantia nigra* performed on a Leica BOND™. The section was pre-treated using heat mediated antigen retrieval with sodium citrate buffer (pH6, epitope retrieval solution 1) for 20mins. The section was incubated with ab184451, 5ugml, for 15 mins at room temperature and detected using an HRP conjugated compact polymer system. DAB was used as the chromogen. The section was then counterstained with haematoxylin and mounted with DPX. The inset secondary-only control image is taken from an identical assay without primary antibody.

For other IHC staining systems (automated and non-automated) customers should optimize variable parameters such as antigen retrieval conditions, primary antibody concentration and antibody incubation times.

*Tissue obtained from the Human Research Tissue Bank, supported by the NIHR Cambridge Biomedical Research Centre

Immunohistochemistry (Formalin/PFA-fixed paraffin-embedded sections) - Anti-Dopamine Transporter antibody [EPR19695] (AB184451)
  • IHC-P

Supplier Data

Immunohistochemistry (Formalin/PFA-fixed paraffin-embedded sections) - Anti-Dopamine Transporter antibody [EPR19695] (AB184451)

Immunohistochemical analysis of paraffin-embedded Mouse liver tissue labeling Dopamine Transporter with ab184451 at 1/250 dilution, followed by Goat Anti-Rabbit IgG H&L (HRP) (ab97051) at 1/500 dilution.

Counter stained with Hematoxylin.

Negative control : Negative staining on mouse liver.

Secondary antibody only control : Used PBS instead of primary antibody, secondary antibody is ab97051 at 1/500 dilution.

Perform heat mediated antigen retrieval with Tris/EDTA buffer pH 9.0 before commencing with IHC staining protocol.

Immunohistochemistry (Formalin/PFA-fixed paraffin-embedded sections) - Anti-Dopamine Transporter antibody [EPR19695] (AB184451)
  • IHC-P

Supplier Data

Immunohistochemistry (Formalin/PFA-fixed paraffin-embedded sections) - Anti-Dopamine Transporter antibody [EPR19695] (AB184451)

Immunohistochemical analysis of paraffin-embedded Rat striatum tissue labeling Dopamine Transporter with ab184451 at 1/250 dilution, followed by Goat Anti-Rabbit IgG H&L (HRP) (ab97051) at 1/500 dilution.

Cytoplasm staining on rat striatum is observed.

Counter stained with Hematoxylin.

Secondary antibody only control : Used PBS instead of primary antibody, secondary antibody is ab97051 at 1/500 dilution.

Perform heat mediated antigen retrieval with Tris/EDTA buffer pH 9.0 before commencing with IHC staining protocol.

Immunohistochemistry (Frozen sections) - Anti-Dopamine Transporter antibody [EPR19695] (AB184451)
  • IHC-Fr

Supplier Data

Immunohistochemistry (Frozen sections) - Anti-Dopamine Transporter antibody [EPR19695] (AB184451)

Immunohistochemical analysis of 4% paraformaldehyde-fixed, 0.2% Triton X-100 permeabilized frozen Rat brain (sagittal section) tissue labeling Dopamine Transporter with ab184451 at 1/500 dilution, followed by Goat Anti-Rabbit IgG (Alexa Fluor® 488) (ab150077) secondary antibody at 1/1000 dilution (green).

The result showed cytoplasmic staining on rat striatum.

The nuclear counterstain is DAPI (blue).

Secondary antibody only control : Used PBS instead of primary antibody, secondary antibody is ab150077 at 1/1000 dilution.

Immunohistochemistry (Formalin/PFA-fixed paraffin-embedded sections) - Anti-Dopamine Transporter antibody [EPR19695] (AB184451)
  • IHC-P

Supplier Data

Immunohistochemistry (Formalin/PFA-fixed paraffin-embedded sections) - Anti-Dopamine Transporter antibody [EPR19695] (AB184451)

Immunohistochemical analysis of paraffin-embedded Rat spleen tissue labeling Dopamine Transporter with ab184451 at 1/250 dilution, followed by Goat Anti-Rabbit IgG H&L (HRP) (ab97051) at 1/500 dilution.

Counter stained with Hematoxylin.

Negative control : Negative staining on rat spleen.

Secondary antibody only control : Used PBS instead of primary antibody, secondary antibody is ab97051 at 1/500 dilution.

Perform heat mediated antigen retrieval with Tris/EDTA buffer pH 9.0 before commencing with IHC staining protocol.

Immunohistochemistry (Frozen sections) - Anti-Dopamine Transporter antibody [EPR19695] (AB184451)
  • IHC-Fr

Supplier Data

Immunohistochemistry (Frozen sections) - Anti-Dopamine Transporter antibody [EPR19695] (AB184451)

Immunohistochemical analysis of 4% paraformaldehyde-fixed, 0.2% Triton X-100 permeabilized frozen Mouse brain (Coronal section) tissue labeling Dopamine Transporter with ab184451 at 1/500 dilution, followed by Goat Anti-Rabbit IgG (Alexa Fluor® 488) (ab150077) secondary antibody at 1/1000 dilution (green).

The result showed cytoplasmic staining on mouse striatum but negative on lateral ventricle (LA).

The nuclear counterstain is DAPI (blue).

Secondary antibody only control : Used PBS instead of primary antibody, secondary antibody is ab150077 at 1/1000 dilution.

Immunohistochemistry (Formalin/PFA-fixed paraffin-embedded sections) - Anti-Dopamine Transporter antibody [EPR19695] (AB184451)
  • IHC-P

Supplier Data

Immunohistochemistry (Formalin/PFA-fixed paraffin-embedded sections) - Anti-Dopamine Transporter antibody [EPR19695] (AB184451)

Immunohistochemical analysis of paraffin-embedded Mouse striatum tissue labeling Dopamine Transporter with ab184451 at 1/250 dilution, followed by Goat Anti-Rabbit IgG H&L (HRP) (ab97051) at 1/500 dilution.

Membrane and cytoplasm staining on mouse striatum is observed.

Counter stained with Hematoxylin.

Secondary antibody only control : Used PBS instead of primary antibody, secondary antibody is ab97051 at 1/500 dilution.

Perform heat mediated antigen retrieval with Tris/EDTA buffer pH 9.0 before commencing with IHC staining protocol.

Immunoprecipitation - Anti-Dopamine Transporter antibody [EPR19695] (AB184451)
  • IP

Supplier Data

Immunoprecipitation - Anti-Dopamine Transporter antibody [EPR19695] (AB184451)

Dopamine Transporter was immunoprecipitated from 0.35mg of Mouse striatum whole cell lysate with ab184451 at 1/30 dilution.

Western blot was performed from the immunoprecipitate using ab184451 at 1/1000 dilution.

VeriBlot for IP Detection Reagent (HRP) (ab131366), was used for detection at 1/10000 dilution.

Lane 1 : Mouse striatum whole cell lysate, 10μg (Input).

Lane 2 : ab184451 IP in Mouse striatum whole cell lysate.

Lane 3 : Rabbit IgG, monoclonal [EPR25A] - Isotype Control (ab172730) instead of ab184451 in Mouse striatum whole cell lysate.

Blocking and dilution buffer and concentration : 5% NFDM/TBST.

Exposure time : 30 seconds.

All lanes:

Immunoprecipitation - Anti-Dopamine Transporter antibody [EPR19695] (ab184451)

Predicted band size: 68 kDa

false

Western blot - Anti-Dopamine Transporter antibody [EPR19695] (AB184451)
  • WB

Supplier Data

Western blot - Anti-Dopamine Transporter antibody [EPR19695] (AB184451)

Blocking/Dilution buffer : 5% NFDM/TBST.

ab181602 was used as GAPDH loading control.

Dopamine transporters are distributed widely across the brain in regions with high dopaminergic activity, such as the striatum and substantia nigra (PMID : 1765147), so non-related tissues and cells were chosen as negative controls; and DAT is a glycoprotein with molecular weight of 70-85KD (PMID : 25356398, PMID : 20643191).

All lanes:

Western blot - Anti-Dopamine Transporter antibody [EPR19695] (ab184451) at 1/1000 dilution

Lane 1:

Mouse striatum lysate at 20 µg

Lane 2:

Rat striatum lysate at 20 µg

Lane 3:

Mouse kidney lysate at 20 µg

Lane 4:

Rat liver lysate at 20 µg

Lane 5:

Neuro-2a (Mouse neuroblastoma cell line) whole cell lysate at 20 µg

Lane 6:

C6 (Rat glial tumor cell line) whole cell lysate at 20 µg

Secondary

All lanes:

Western blot - Goat Anti-Rabbit IgG H&L (HRP) (<a href='/en-us/products/secondary-antibodies/goat-rabbit-igg-h-l-hrp-ab97051'>ab97051</a>) at 1/100000 dilution

Predicted band size: 68 kDa

Observed band size: 70-85 kDa

false

Exposure time: 3min

Western blot - Anti-Dopamine Transporter antibody [EPR19695] (AB184451)
  • WB

Unknown

Western blot - Anti-Dopamine Transporter antibody [EPR19695] (AB184451)

We recommend not to boil the samples after lysis to get desired WB results.

ab181602 was used as a GAPDH loading control.

All lanes:

Western blot - Anti-Dopamine Transporter antibody [EPR19695] (ab184451) at 1/1000 dilution

Lane 1:

Mouse striatum lysate boiled at 20 µg

Lane 2:

Mouse striatum lysate unboiled at 20 µg

Lane 3:

Rat striatum lysate boiled at 20 µg

Lane 4:

Rat striatum lysate unboiled at 20 µg

Secondary

All lanes:

Western blot - Goat Anti-Rabbit IgG H&L (HRP) (<a href='/en-us/products/secondary-antibodies/goat-rabbit-igg-h-l-hrp-ab97051'>ab97051</a>) at 1/20000 dilution

Predicted band size: 68 kDa

false

  • 519 Alexa Fluor® 488

    Alexa Fluor® 488 Anti-Dopamine Transporter antibody [EPR19695]

  • 603 Alexa Fluor® 568

    Alexa Fluor® 568 Anti-Dopamine Transporter antibody [EPR19695]

  • 617 Alexa Fluor® 594

    Alexa Fluor® 594 Anti-Dopamine Transporter antibody [EPR19695]

  • 565 Alexa Fluor® 555

    Alexa Fluor® 555 Anti-Dopamine Transporter antibody [EPR19695]

  • Carrier free

    Anti-Dopamine Transporter antibody [EPR19695] - BSA and Azide free

  • 665 Alexa Fluor® 647

    Alexa Fluor® 647 Anti-Dopamine Transporter antibody [EPR19695]

Key facts

Host species

Rabbit

Clonality

Monoclonal

Clone number

EPR19695

Isotype

IgG

Carrier free

No

Reacts with

Mouse, Rat, Human

Applications

IP, IHC-P, IHC-Fr, WB

applications

Immunogen

The exact immunogen used to generate this antibody is proprietary information.

Specificity

Human species is recommended based on IHC-P results, we do not guarantee IHC-Fr, WB and IP for human.

Reactivity data

{ "title": "Reactivity Data", "filters": { "stats": ["", "Species", "Dilution Info", "Notes"], "tabs": { "all-applications": {"fullname" : "All Applications", "shortname": "All Applications"}, "IP" : {"fullname" : "Immunoprecipitation", "shortname":"IP"}, "WB" : {"fullname" : "Western blot", "shortname":"WB"}, "IHCFr" : {"fullname" : "Immunohistochemistry (Frozen sections)", "shortname":"IHC-Fr"}, "IHCP" : {"fullname" : "Immunohistochemistry (Formalin/PFA-fixed paraffin-embedded sections)", "shortname":"IHC-P"}, "ICC" : {"fullname" : "Immunocytochemistry", "shortname":"ICC"} }, "product-promise": { "all": "all", "testedAndGuaranteed": "tested", "guaranteed": "expected", "predicted": "predicted", "notRecommended": "not-recommended" } }, "values": { "Human": { "IP-species-checked": "guaranteed", "IP-species-dilution-info": "", "IP-species-notes": "", "WB-species-checked": "guaranteed", "WB-species-dilution-info": "", "WB-species-notes": "", "IHCFr-species-checked": "guaranteed", "IHCFr-species-dilution-info": "", "IHCFr-species-notes": "", "IHCP-species-checked": "testedAndGuaranteed", "IHCP-species-dilution-info": "1/500", "IHCP-species-notes": "<p></p>", "ICC-species-checked": "notRecommended", "ICC-species-dilution-info": "", "ICC-species-notes": "<p></p>" }, "Mouse": { "IP-species-checked": "testedAndGuaranteed", "IP-species-dilution-info": "1/30", "IP-species-notes": "<p></p>", "WB-species-checked": "testedAndGuaranteed", "WB-species-dilution-info": "1/1000", "WB-species-notes": "<p></p>", "IHCFr-species-checked": "testedAndGuaranteed", "IHCFr-species-dilution-info": "1/500", "IHCFr-species-notes": "<p></p>", "IHCP-species-checked": "testedAndGuaranteed", "IHCP-species-dilution-info": "1/250", "IHCP-species-notes": "<p></p>", "ICC-species-checked": "notRecommended", "ICC-species-dilution-info": "", "ICC-species-notes": "" }, "Rat": { "IP-species-checked": "guaranteed", "IP-species-dilution-info": "", "IP-species-notes": "", "WB-species-checked": "testedAndGuaranteed", "WB-species-dilution-info": "1/1000", "WB-species-notes": "<p></p>", "IHCFr-species-checked": "testedAndGuaranteed", "IHCFr-species-dilution-info": "1/500", "IHCFr-species-notes": "<p></p>", "IHCP-species-checked": "testedAndGuaranteed", "IHCP-species-dilution-info": "1/250", "IHCP-species-notes": "<p></p>", "ICC-species-checked": "notRecommended", "ICC-species-dilution-info": "", "ICC-species-notes": "<p></p>" } } }

Product details

What is this antibody validated in?
Anti-Dopamine Transporter antibody [EPR19695] (ab184451) is a rabbit recombinant monoclonal antibody and is validated for use in Western Blot (WB), Immunoprecipitation (IP), Immunohistochemistry (IHC-P), Immunohistochemistry (IHC-Fr) in Human, Mouse, Rat samples.

What is the molecular weight of Dopamine Transporter?
Anti-Dopamine Transporter [EPR19695] (ab184451) specifically detects a band for Dopamine Transporter (UniProt: Q61327) at a molecular weight of 69kDa.

Trusted by the scientific community
Anti-Dopamine Transporter [EPR19695] (ab184451) was first used in a scientific publication in 2016 and has been cited over 20 times in peer-reviewed journals.

Trial sizes available!
Test your antibody or perform pre-screening before committing to a larger quantity. Sold in 10µl. Discover our selection of trial-size antibodies.

Patented technology
Our RabMAb® technology is a patented hybridoma-based technology for making rabbit monoclonal antibodies. For details on our patents, please refer to RabMAb® patents.

What are the advantages of a recombinant monoclonal antibody?
This product is a recombinant monoclonal antibody, which offers several advantages including:

  • - High batch-to-batch consistency and reproducibility
  • - Improved sensitivity and specificity
  • - Long-term security of supply
  • - Animal-free batch production

For more information, read more on recombinant antibodies.

Properties and storage information

Form
Liquid
Purification technique
Affinity purification Protein A
Storage buffer
pH: 7.2 Preservative: 0.01% Sodium azide Constituents: PBS, 40% Glycerol (glycerin, glycerine), 0.05% BSA
Shipped at conditions
Blue Ice
Appropriate short-term storage duration
1-2 weeks
Appropriate short-term storage conditions
+4°C
Appropriate long-term storage conditions
-20°C
Aliquoting information
Upon delivery aliquot
Storage information
Avoid freeze / thaw cycle

Product protocols

For this product, it's our understanding that no specific protocols are required. You can visit:

Target data

Mediates sodium- and chloride-dependent transport of dopamine (PubMed : 10375632, PubMed : 11093780, PubMed : 1406597, PubMed : 15505207, PubMed : 19478460, PubMed : 39112701, PubMed : 39112703, PubMed : 39112705, PubMed : 8302271). Also mediates sodium- and chloride-dependent transport of norepinephrine (also known as noradrenaline) (By similarity). Regulator of light-dependent retinal hyaloid vessel regression, downstream of OPN5 signaling (By similarity).
See full target information SLC6A3

Publications (34)

Recent publications for all applications. Explore the full list and refine your search

iScience 28:112115 PubMed40201125

2025

Spatiotemporal proteomic and transcriptomic landscape of DAT+ dopaminergic neurons development and function.

Applications

Unspecified application

Species

Unspecified reactive species

Heyu Zhao,Peipei Chen,Xia Gao,Zhili Huang,Pengyuan Yang,Huali Shen

International journal of molecular sciences 26: PubMed40003975

2025

Nigrostriatal Degeneration Underpins Sensorimotor Dysfunction in an Inducible Mouse Model of Fragile X-Associated Tremor/Ataxia Syndrome (FXTAS).

Applications

Unspecified application

Species

Unspecified reactive species

Emre Kul,Mónica Santos,Oliver Stork

Histology and histopathology 40:1467-1478 PubMed39902475

2025

Gentiopicroside alleviates neuroinflammation in Parkinson's disease by mediating microglial pyroptosis via the NF-κB/NLRP3/GSDMD pathway.

Applications

Unspecified application

Species

Unspecified reactive species

Hong Shen,Hui Song,Qiang Sun

PeerJ 13:e18788 PubMed39866567

2025

Melatonin attenuates MPP-induced autophagy heat shock protein in the Parkinson's disease mouse model.

Applications

Unspecified application

Species

Unspecified reactive species

Yinli Guo,Chengbo Liu

Journal of neuroinflammation 21:153 PubMed38849869

2024

Citrobacter rodentium infection impairs dopamine metabolism and exacerbates the pathology of Parkinson's disease in mice.

Applications

Unspecified application

Species

Unspecified reactive species

Yongtao He,Jiayin Zhao,Yuanyuan Ma,Xin Yan,Yufei Duan,Xiaoshuang Zhang,Hongtian Dong,Rong Fang,Yunhe Zhang,Qing Li,Ping Yang,Mei Yu,Jian Fei,Fang Huang

Cell death discovery 10:167 PubMed38589400

2024

Thrombomodulin reduces α-synuclein generation and ameliorates neuropathology in a mouse model of Parkinson's disease.

Applications

Unspecified application

Species

Unspecified reactive species

Xiao-Yun Niu,Xi-Xiu Xie,Hou-Zhen Tuo,Cui-Ping Lv,Ya-Ru Huang,Jie Zhu,Shi-Yu Liang,Xiao-Yu Du,Cheng-Gang Yang,Sheng-Jie Hou,Xiao-Ying Sun,Ling-Jie Li,Fang Cui,Qi-Xin Huang,Ying-Bo Jia,Yu-Jiong Wang,Rui-Tian Liu

The FEBS journal 291:2792-2810 PubMed38465368

2024

Structural insights into the recognition of the A/T-rich motif in target gene promoters by the LMX1a homeobox domain.

Applications

Unspecified application

Species

Unspecified reactive species

Liqing Lin,Jie Deng,Junhui Peng,Jing Cui,Lei Wang,Min Zhang,Jia Gao,Fudong Li,Yunyu Shi,Mengqi Lv

International journal of molecular sciences 24: PubMed38069404

2023

Chronic Voluntary Morphine Intake Is Associated with Changes in Brain Structures Involved in Drug Dependence in a Rat Model of Polydrug Use.

Applications

Unspecified application

Species

Unspecified reactive species

María Elena Quintanilla,Paola Morales,Daniela Santapau,Alba Ávila,Carolina Ponce,Pablo Berrios-Cárcamo,Belén Olivares,Javiera Gallardo,Marcelo Ezquer,Mario Herrera-Marschitz,Yedy Israel,Fernando Ezquer

JCI insight 8: PubMed37937646

2023

Cholestanol accelerates α-synuclein aggregation and spreading by activating asparagine endopeptidase.

Applications

Unspecified application

Species

Unspecified reactive species

Ting Yu,Shuke Nie,Lihong Bu,Miao Liu,Juanfeng He,Xuan Niu,Hongyan Feng,Jifeng Guo,Beisha Tang,Zhaohui Zhang,Keqiang Ye,Haiqiang Jiang,Liam Chen,Zhentao Zhang

Science advances 9:eadj1092 PubMed37910610

2023

The yeast prion protein Sup35 initiates α-synuclein pathology in mouse models of Parkinson's disease.

Applications

Unspecified application

Species

Unspecified reactive species

Lanxia Meng,Congcong Liu,Yiming Li,Guiqin Chen,Min Xiong,Ting Yu,Lina Pan,Xingyu Zhang,Lingyan Zhou,Tao Guo,Xin Yuan,Chaoyang Liu,Zhaohui Zhang,Zhentao Zhang
View all publications

Product promise

We are committed to supporting your work with high-quality reagents, and we're here for you every step of the way. In the unlikely event that one of our products does not perform as expected, you're protected by our Product Promise.
For full details, please see our Terms & Conditions

Please note: All products are 'FOR RESEARCH USE ONLY. NOT FOR USE IN DIAGNOSTIC OR THERAPEUTIC PROCEDURES'.

For licensing inquiries, please contact partnerships@abcam.com