JavaScript is disabled in your browser. Please enable JavaScript to view this website.
AB221845

Anti-Dopamine Transporter antibody [EPR19695] - BSA and Azide free

Be the first to review this product! Submit a review

|

(3 Publications)

Rabbit Recombinant Monoclonal Dopamine Transporter antibody. Carrier free. Suitable for IP, WB, IHC-P, IHC-Fr and reacts with Mouse, Rat, Human samples. Cited in 3 publications.

View Alternative Names

Dat, Dat1, Slc6a3, Sodium-dependent dopamine transporter, DA transporter, DAT, Solute carrier family 6 member 3

12 Images
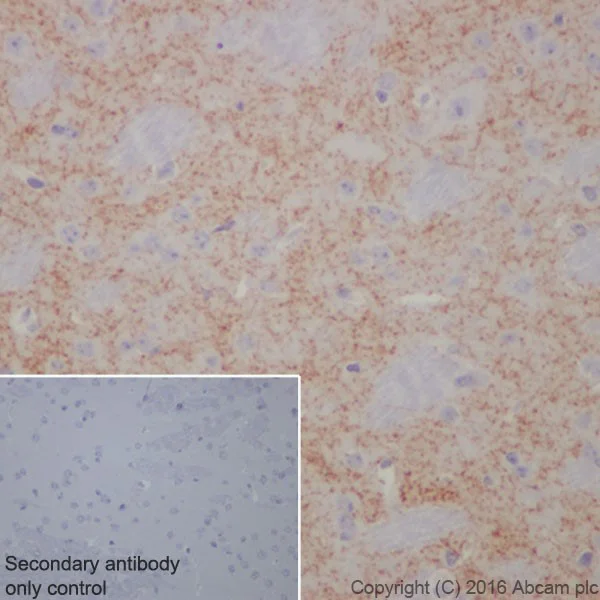
Immunohistochemistry (Frozen sections) - Anti-Dopamine Transporter antibody [EPR19695] - BSA and Azide free (AB221845)
  • IHC-Fr

Lab

Immunohistochemistry (Frozen sections) - Anti-Dopamine Transporter antibody [EPR19695] - BSA and Azide free (AB221845)

This data was developed using the same antibody clone in a different buffer formulation containing PBS, BSA, glycerol, and sodium azide (ab184451).

IHC image of Dopamine Transporter staining in a section of formalin fixed paraffin embedded normal human striatum* performed on a Leica BOND™. The section was pre-treated using heat mediated antigen retrieval with sodium citrate buffer (pH6, epitope retrieval solution 1) for 20mins. The section was fixed in 10% paraformaldehyde (10 min) prior to staining. The section was incubated with ab184451, 5ugml, for 15 mins at room temperature and detected using an HRP conjugated compact polymer system. DAB was used as the chromogen.

The section was then counterstained with haematoxylin and mounted with DPX. The inset secondary-only control image is taken from an identical assay without primary antibody.

For other IHC staining systems (automated and non-automated) customers should optimize variable parameters such as antigen retrieval conditions, primary antibody concentration and antibody incubation times.

*Tissue obtained from the Human Research Tissue Bank, supported by the NIHR Cambridge Biomedical Research Centre

Immunohistochemistry (Formalin/PFA-fixed paraffin-embedded sections) - Anti-Dopamine Transporter antibody [EPR19695] - BSA and Azide free (AB221845)
  • IHC-P

Lab

Immunohistochemistry (Formalin/PFA-fixed paraffin-embedded sections) - Anti-Dopamine Transporter antibody [EPR19695] - BSA and Azide free (AB221845)

This data was developed using the same antibody clone in a different buffer formulation containing PBS, BSA, glycerol, and sodium azide (ab184451).

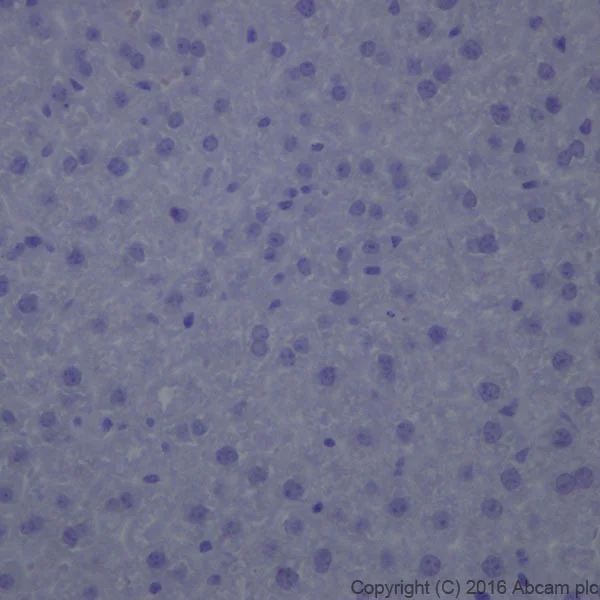
Negative control image : IHC image of Dopamine Transporter staining in a section of formalin fixed paraffin embedded normal human liver* performed on a Leica BOND™. The section was pre-treated using heat mediated antigen retrieval with sodium citrate buffer (pH6, epitope retrieval solution 1) for 20mins. The section was incubated with ab184451, 5ugml, for 15 mins at room temperature and detected using an HRP conjugated compact polymer system. DAB was used as the chromogen. The section was then counterstained with haematoxylin and mounted with DPX. The inset secondary-only control image is taken from an identical assay without primary antibody.

For other IHC staining systems (automated and non-automated) customers should optimize variable parameters such as antigen retrieval conditions, primary antibody concentration and antibody incubation times.

*Tissue obtained from the Human Research Tissue Bank, supported by the NIHR Cambridge Biomedical Research Centre

Immunohistochemistry (Frozen sections) - Anti-Dopamine Transporter antibody [EPR19695] - BSA and Azide free (AB221845)
  • IHC-Fr

Lab

Immunohistochemistry (Frozen sections) - Anti-Dopamine Transporter antibody [EPR19695] - BSA and Azide free (AB221845)

This data was developed using the same antibody clone in a different buffer formulation containing PBS, BSA, glycerol, and sodium azide (ab184451).

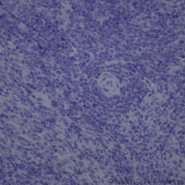
IHC image of Dopamine Transporter staining in a section of formalin fixed paraffin embedded normal human substantia nigra* performed on a Leica BOND™. The section was pre-treated using heat mediated antigen retrieval with sodium citrate buffer (pH6, epitope retrieval solution 1) for 20mins. The section was incubated with ab184451, 5ugml, for 15 mins at room temperature and detected using an HRP conjugated compact polymer system. DAB was used as the chromogen. The section was then counterstained with haematoxylin and mounted with DPX. The inset secondary-only control image is taken from an identical assay without primary antibody.

For other IHC staining systems (automated and non-automated) customers should optimize variable parameters such as antigen retrieval conditions, primary antibody concentration and antibody incubation times.

*Tissue obtained from the Human Research Tissue Bank, supported by the NIHR Cambridge Biomedical Research Centre

Immunohistochemistry (Formalin/PFA-fixed paraffin-embedded sections) - Anti-Dopamine Transporter antibody [EPR19695] - BSA and Azide free (AB221845)
  • IHC-P

Supplier Data

Immunohistochemistry (Formalin/PFA-fixed paraffin-embedded sections) - Anti-Dopamine Transporter antibody [EPR19695] - BSA and Azide free (AB221845)

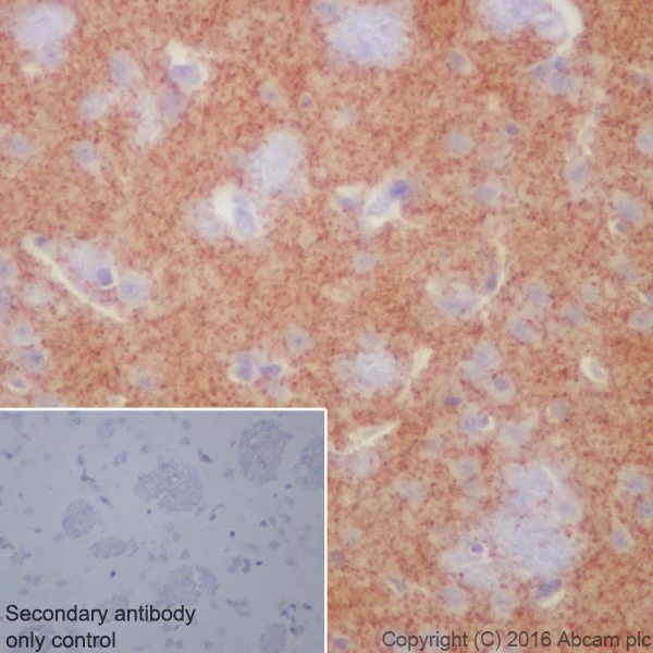
Immunohistochemical analysis of paraffin-embedded Mouse liver tissue labeling Dopamine Transporter with ab184451 at 1/250 dilution, followed by Goat Anti-Rabbit IgG H&L (HRP) (ab97051) at 1/500 dilution.

Counter stained with Hematoxylin.

Negative control : Negative staining on mouse liver.

Secondary antibody only control : Used PBS instead of primary antibody, secondary antibody is ab97051 at 1/500 dilution.

Perform heat mediated antigen retrieval with Tris/EDTA buffer pH 9.0 before commencing with IHC staining protocol.

This data was developed using the same antibody clone in a different buffer formulation containing PBS, BSA, glycerol, and sodium azide (ab184451).

Immunohistochemistry (Formalin/PFA-fixed paraffin-embedded sections) - Anti-Dopamine Transporter antibody [EPR19695] - BSA and Azide free (AB221845)
  • IHC-P

Supplier Data

Immunohistochemistry (Formalin/PFA-fixed paraffin-embedded sections) - Anti-Dopamine Transporter antibody [EPR19695] - BSA and Azide free (AB221845)

Immunohistochemical analysis of paraffin-embedded Rat striatum tissue labeling Dopamine Transporter with ab184451 at 1/250 dilution, followed by Goat Anti-Rabbit IgG H&L (HRP) (ab97051) at 1/500 dilution.

Cytoplasm staining on rat striatum is observed.

Counter stained with Hematoxylin.

Secondary antibody only control : Used PBS instead of primary antibody, secondary antibody is ab97051 at 1/500 dilution.

Perform heat mediated antigen retrieval with Tris/EDTA buffer pH 9.0 before commencing with IHC staining protocol.

This data was developed using the same antibody clone in a different buffer formulation containing PBS, BSA, glycerol, and sodium azide (ab184451).

Immunohistochemistry (Frozen sections) - Anti-Dopamine Transporter antibody [EPR19695] - BSA and Azide free (AB221845)
  • IHC-Fr

Supplier Data

Immunohistochemistry (Frozen sections) - Anti-Dopamine Transporter antibody [EPR19695] - BSA and Azide free (AB221845)

Immunohistochemical analysis of 4% paraformaldehyde-fixed, 0.2% Triton X-100 permeabilized frozen Rat brain (sagittal section) tissue labeling Dopamine Transporter with ab184451 at 1/500 dilution, followed by Goat Anti-Rabbit IgG (Alexa Fluor® 488) (ab150077) secondary antibody at 1/1000 dilution (green).

The result showed cytoplasmic staining on rat striatum.

The nuclear counterstain is DAPI (blue).

Secondary antibody only control : Used PBS instead of primary antibody, secondary antibody is ab150077 at 1/1000 dilution.

This data was developed using the same antibody clone in a different buffer formulation containing PBS, BSA, glycerol, and sodium azide (ab184451).

Immunohistochemistry (Formalin/PFA-fixed paraffin-embedded sections) - Anti-Dopamine Transporter antibody [EPR19695] - BSA and Azide free (AB221845)
  • IHC-P

Supplier Data

Immunohistochemistry (Formalin/PFA-fixed paraffin-embedded sections) - Anti-Dopamine Transporter antibody [EPR19695] - BSA and Azide free (AB221845)

Immunohistochemical analysis of paraffin-embedded Rat spleen tissue labeling Dopamine Transporter with ab184451 at 1/250 dilution, followed by Goat Anti-Rabbit IgG H&L (HRP) (ab97051) at 1/500 dilution.

Counter stained with Hematoxylin.

Negative control : Negative staining on rat spleen.

Secondary antibody only control : Used PBS instead of primary antibody, secondary antibody is ab97051 at 1/500 dilution.

Perform heat mediated antigen retrieval with Tris/EDTA buffer pH 9.0 before commencing with IHC staining protocol.

This data was developed using the same antibody clone in a different buffer formulation containing PBS, BSA, glycerol, and sodium azide (ab184451).

Immunohistochemistry (Frozen sections) - Anti-Dopamine Transporter antibody [EPR19695] - BSA and Azide free (AB221845)
  • IHC-Fr

Supplier Data

Immunohistochemistry (Frozen sections) - Anti-Dopamine Transporter antibody [EPR19695] - BSA and Azide free (AB221845)

Immunohistochemical analysis of 4% paraformaldehyde-fixed, 0.2% Triton X-100 permeabilized frozen Mouse brain (Coronal section) tissue labeling Dopamine Transporter with ab184451 at 1/500 dilution, followed by Goat Anti-Rabbit IgG (Alexa Fluor® 488) (ab150077) secondary antibody at 1/1000 dilution (green).

The result showed cytoplasmic staining on mouse striatum but negative on lateral ventricle (LA).

The nuclear counterstain is DAPI (blue).

Secondary antibody only control : Used PBS instead of primary antibody, secondary antibody is ab150077 at 1/1000 dilution.

This data was developed using the same antibody clone in a different buffer formulation containing PBS, BSA, glycerol, and sodium azide (ab184451).

Immunohistochemistry (Formalin/PFA-fixed paraffin-embedded sections) - Anti-Dopamine Transporter antibody [EPR19695] - BSA and Azide free (AB221845)
  • IHC-P

Supplier Data

Immunohistochemistry (Formalin/PFA-fixed paraffin-embedded sections) - Anti-Dopamine Transporter antibody [EPR19695] - BSA and Azide free (AB221845)

Immunohistochemical analysis of paraffin-embedded Mouse striatum tissue labeling Dopamine Transporter with ab184451 at 1/250 dilution, followed by Goat Anti-Rabbit IgG H&L (HRP) (ab97051) at 1/500 dilution.

Membrane and cytoplasm staining on mouse striatum is observed.

Counter stained with Hematoxylin.

Secondary antibody only control : Used PBS instead of primary antibody, secondary antibody is ab97051 at 1/500 dilution.

Perform heat mediated antigen retrieval with Tris/EDTA buffer pH 9.0 before commencing with IHC staining protocol.

This data was developed using the same antibody clone in a different buffer formulation containing PBS, BSA, glycerol, and sodium azide (ab184451).

Immunoprecipitation - Anti-Dopamine Transporter antibody [EPR19695] - BSA and Azide free (AB221845)
  • IP

Supplier Data

Immunoprecipitation - Anti-Dopamine Transporter antibody [EPR19695] - BSA and Azide free (AB221845)

Dopamine Transporter was immunoprecipitated from 0.35mg of Mouse striatum whole cell lysate with ab184451 at 1/30 dilution.

Western blot was performed from the immunoprecipitate using ab184451 at 1/1000 dilution.

VeriBlot for IP Detection Reagent (HRP) (ab131366), was used for detection at 1/10000 dilution.

Lane 1 : Mouse striatum whole cell lysate, 10μg (Input).

Lane 2 : ab184451 IP in Mouse striatum whole cell lysate.

Lane 3 : Rabbit IgG, monoclonal [EPR25A] - Isotype Control (ab172730) instead of ab184451 in Mouse striatum whole cell lysate.

Blocking and dilution buffer and concentration : 5% NFDM/TBST.

Exposure time : 30 seconds.

This data was developed using the same antibody clone in a different buffer formulation containing PBS, BSA, glycerol, and sodium azide (ab184451).

All lanes:

Immunoprecipitation - Anti-Dopamine Transporter antibody [EPR19695] (<a href='/en-us/products/primary-antibodies/dopamine-transporter-antibody-epr19695-ab184451'>ab184451</a>)

Predicted band size: 68 kDa

false

Western blot - Anti-Dopamine Transporter antibody [EPR19695] - BSA and Azide free (AB221845)
  • WB

Supplier Data

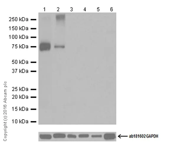
Western blot - Anti-Dopamine Transporter antibody [EPR19695] - BSA and Azide free (AB221845)

Blocking/Dilution buffer : 5% NFDM/TBST.

ab181602 was used as GAPDH loading control.

Dopamine transporters are distributed widely across the brain in regions with high dopaminergic activity, such as the striatum and substantia nigra (PMID : 1765147), so non-related tissues and cells were chosen as negative controls; and DAT is a glycoprotein with molecular weight of 70-85KD (PMID : 25356398, PMID : 20643191).

This data was developed using the same antibody clone in a different buffer formulation containing PBS, BSA, glycerol, and sodium azide (ab184451).

All lanes:

Western blot - Anti-Dopamine Transporter antibody [EPR19695] (<a href='/en-us/products/primary-antibodies/dopamine-transporter-antibody-epr19695-ab184451'>ab184451</a>) at 1/1000 dilution

Lane 1:

Mouse striatum lysate at 20 µg

Lane 2:

Rat striatum lysate at 20 µg

Lane 3:

Mouse kidney lysate at 20 µg

Lane 4:

Rat liver lysate at 20 µg

Lane 5:

Neuro-2a (Mouse neuroblastoma cell line) whole cell lysate at 20 µg

Lane 6:

C6 (Rat glial tumor cell line) whole cell lysate at 20 µg

Secondary

All lanes:

Western blot - Goat Anti-Rabbit IgG H&L (HRP) (<a href='/en-us/products/secondary-antibodies/goat-rabbit-igg-h-l-hrp-ab97051'>ab97051</a>) at 1/100000 dilution

Predicted band size: 68 kDa

Observed band size: 70-85 kDa

false

Exposure time: 3min

Western blot - Anti-Dopamine Transporter antibody [EPR19695] - BSA and Azide free (AB221845)
  • WB

Unknown

Western blot - Anti-Dopamine Transporter antibody [EPR19695] - BSA and Azide free (AB221845)

We recommend not to boil the samples after lysis to get desired WB results.

ab181602 was used as a GAPDH loading control.

This data was developed using the same antibody clone in a different buffer formulation containing PBS, BSA, glycerol, and sodium azide (ab184451).

All lanes:

Western blot - Anti-Dopamine Transporter antibody [EPR19695] (<a href='/en-us/products/primary-antibodies/dopamine-transporter-antibody-epr19695-ab184451'>ab184451</a>) at 1/1000 dilution

Lane 1:

Mouse striatum lysate boiled at 20 µg

Lane 2:

Mouse striatum lysate unboiled at 20 µg

Lane 3:

Rat striatum lysate boiled at 20 µg

Lane 4:

Rat striatum lysate unboiled at 20 µg

Secondary

All lanes:

Western blot - Goat Anti-Rabbit IgG H&L (HRP) (<a href='/en-us/products/secondary-antibodies/goat-rabbit-igg-h-l-hrp-ab97051'>ab97051</a>) at 1/20000 dilution

Predicted band size: 68 kDa

false

  • Unconjugated

    Anti-Dopamine Transporter antibody [EPR19695]

  • 665 Alexa Fluor® 647

    Alexa Fluor® 647 Anti-Dopamine Transporter antibody [EPR19695]

  • 565 Alexa Fluor® 555

    Alexa Fluor® 555 Anti-Dopamine Transporter antibody [EPR19695]

  • 519 Alexa Fluor® 488

    Alexa Fluor® 488 Anti-Dopamine Transporter antibody [EPR19695]

  • 617 Alexa Fluor® 594

    Alexa Fluor® 594 Anti-Dopamine Transporter antibody [EPR19695]

  • 603 Alexa Fluor® 568

    Alexa Fluor® 568 Anti-Dopamine Transporter antibody [EPR19695]

Key facts

Host species

Rabbit

Clonality

Monoclonal

Clone number

EPR19695

Isotype

IgG

Carrier free

Yes

Reacts with

Human, Mouse, Rat

Applications

IHC-P, IP, WB, IHC-Fr

applications

Immunogen

The exact immunogen used to generate this antibody is proprietary information.

Specificity

Human species is recommended based on IHC-P results, we do not guarantee IHC-Fr, WB and IP for human.

Reactivity data

{ "title": "Reactivity Data", "filters": { "stats": ["", "Species", "Dilution Info", "Notes"], "tabs": { "all-applications": {"fullname" : "All Applications", "shortname": "All Applications"}, "IP" : {"fullname" : "Immunoprecipitation", "shortname":"IP"}, "WB" : {"fullname" : "Western blot", "shortname":"WB"}, "IHCP" : {"fullname" : "Immunohistochemistry (Formalin/PFA-fixed paraffin-embedded sections)", "shortname":"IHC-P"}, "IHCFr" : {"fullname" : "Immunohistochemistry (Frozen sections)", "shortname":"IHC-Fr"} }, "product-promise": { "all": "all", "testedAndGuaranteed": "tested", "guaranteed": "expected", "predicted": "predicted", "notRecommended": "not-recommended" } }, "values": { "Human": { "IP-species-checked": "guaranteed", "IP-species-dilution-info": "", "IP-species-notes": "", "WB-species-checked": "guaranteed", "WB-species-dilution-info": "", "WB-species-notes": "", "IHCP-species-checked": "testedAndGuaranteed", "IHCP-species-dilution-info": "", "IHCP-species-notes": "<p></p>", "IHCFr-species-checked": "guaranteed", "IHCFr-species-dilution-info": "", "IHCFr-species-notes": "" }, "Mouse": { "IP-species-checked": "testedAndGuaranteed", "IP-species-dilution-info": "", "IP-species-notes": "<p></p>", "WB-species-checked": "testedAndGuaranteed", "WB-species-dilution-info": "", "WB-species-notes": "<p></p>", "IHCP-species-checked": "testedAndGuaranteed", "IHCP-species-dilution-info": "", "IHCP-species-notes": "<p></p>", "IHCFr-species-checked": "testedAndGuaranteed", "IHCFr-species-dilution-info": "", "IHCFr-species-notes": "<p></p>" }, "Rat": { "IP-species-checked": "guaranteed", "IP-species-dilution-info": "", "IP-species-notes": "", "WB-species-checked": "testedAndGuaranteed", "WB-species-dilution-info": "", "WB-species-notes": "<p></p>", "IHCP-species-checked": "testedAndGuaranteed", "IHCP-species-dilution-info": "", "IHCP-species-notes": "<p></p>", "IHCFr-species-checked": "testedAndGuaranteed", "IHCFr-species-dilution-info": "", "IHCFr-species-notes": "<p></p>" } } }

Product details

ab221845 is the carrier-free version of ab184451.

Patented technology
Our RabMAb® technology is a patented hybridoma-based technology for making rabbit monoclonal antibodies. For details on our patents, please refer to RabMAb® patents.

What are the advantages of a recombinant monoclonal antibody?
This product is a recombinant monoclonal antibody, which offers several advantages including:

  • - High batch-to-batch consistency and reproducibility
  • - Improved sensitivity and specificity
  • - Long-term security of supply
  • - Animal-free batch production

For more information, read more on recombinant antibodies.

Conjugation ready
Our carrier-free antibodies are typically supplied in a PBS-only formulation, purified and free of BSA, sodium azide and glycerol. This conjugation-ready format is designed for use with fluorochromes, metal isotopes, oligonucleotides, and enzymes, which makes them ideal for antibody labelling, functional and cell-based assays, flow-based assays (e.g. mass cytometry) and Multiplex Imaging applications.

Use our conjugation kits for antibody conjugates that are ready-to-use in as little as 20 minutes with 1 minute hands-on-time and 100% antibody recovery: available for fluorescent dyes, HRP, biotin and gold.

Compatibility
This product is compatible with the Maxpar® Antibody Labeling Kit from Fluidigm, without the need for antibody preparation. Maxpar® is a trademark of Fluidigm Canada Inc.

Properties and storage information

Form
Liquid
Purification technique
Affinity purification Protein A
Storage buffer
pH: 7.2 - 7.4 Constituents: PBS
Shipped at conditions
Blue Ice
Appropriate short-term storage conditions
+4°C
Appropriate long-term storage conditions
+4°C
Storage information
Do Not Freeze

Product protocols

For this product, it's our understanding that no specific protocols are required. You can visit:

Target data

Mediates sodium- and chloride-dependent transport of dopamine (PubMed : 10375632, PubMed : 12606774). Also mediates sodium- and chloride-dependent transport of norepinephrine (also known as noradrenaline) (By similarity). Regulator of light-dependent retinal hyaloid vessel regression, downstream of OPN5 signaling (PubMed : 30936473).
See full target information Slc6a3

Publications (3)

Recent publications for all applications. Explore the full list and refine your search

Oncology letters 30:409 PubMed40613036

2025

BLID is a drug-responsive target of FOXO3a and multi-omics analysis reveals survival mechanisms and therapeutic vulnerabilities in BLID-deficient breast cancer cells.

Applications

Unspecified application

Species

Unspecified reactive species

Sivaramakrishna Yadavalli,Rong Hu,Antonina Rait,Rency Varghese,James Li,Ofer Eidelman,Xiaojun Zou,Habtom Ressom,Esther Chang,Meera Srivastava,Robert Clarke,Usha Kasid

Stem cells international 2024:2792909 PubMed39257865

2024

Astragaloside IV Treats Parkinson's Disease by Regulating the Proliferation and Differentiation of NSCs through the SHH-Nurr1 Pathway.

Applications

Unspecified application

Species

Unspecified reactive species

Zicong Wu,Jianing Zhang,Han Gao,Wentao Li

Annals of translational medicine 9:366 PubMed33842587

2021

alleviates depression-like behavior through inhibiting toll-like receptor 4 (TLR4) signaling in mice.

Applications

Unspecified application

Species

Unspecified reactive species

Xiangjie Qiu,Guojun Wu,Lili Wang,Yurong Tan,Zhi Song
View all publications

Product promise

We are committed to supporting your work with high-quality reagents, and we're here for you every step of the way. In the unlikely event that one of our products does not perform as expected, you're protected by our Product Promise.
For full details, please see our Terms & Conditions

Please note: All products are 'FOR RESEARCH USE ONLY. NOT FOR USE IN DIAGNOSTIC OR THERAPEUTIC PROCEDURES'.

For licensing inquiries, please contact partnerships@abcam.com