JavaScript is disabled in your browser. Please enable JavaScript to view this website.
AB18723

Anti-Doublecortin antibody

5

(60 Reviews)

|

(621 Publications)

Anti-Doublecortin antibody (ab18723) is a rabbit polyclonal antibody detecting Doublecortin in Western Blot, IHC-P, IHC-Fr, ICC/IF. Suitable for Mouse, Quail, Rat.

- Over 470 publications
- Trusted since 2006

View Alternative Names

DBCN, LISX, DCX, Neuronal migration protein doublecortin, Doublin, Lissencephalin-X, Lis-X

18 Images
Immunohistochemistry (PFA perfusion fixed frozen sections) - Anti-Doublecortin antibody (AB18723)
  • IHC-FoFr

Lab

Immunohistochemistry (PFA perfusion fixed frozen sections) - Anti-Doublecortin antibody (AB18723)

IHC image of Doublecortin staining in a section of frozen PFA perfusion fixed 6 week old rat dentate gyrus. After dissection, the tissue was further fixed in PFA overnight, washed in PBS and then incubated overnight in 30% sucrose. It was then embedded in OCT and cryosectioned. Non-specific protein-protein interactions were blocked in TBS containing 0.025% (v/v) Triton X-100, 0.3M glycine and 1% (w/v) BSA for 1h at room temperature. The section was incubated overnight at +4°C in TBS containing 0.025% (v/v) Triton X-100 and 1% (w/v) BSA with ab18723 at 1/1300 dilution and then incubated with ab150080 (Goat Anti-Rabbit IgG H&L (Alexa Fluor® 594) preabsorbed, (Shown in red) 1/1000) for 1 hour at room temperature. DAPI was used to stain the cell nuclei (blue). The secondary-only control insert image is taken from an identical assay without primary antibody.
Image was taken with a confocal microscope (Leica-Microsystems, TCS SP8).
For IHC staining systems (automated and non-automated), customers should optimize variable parameters such as antibody concentrations and incubation times.

Immunohistochemistry (Frozen sections) - Anti-Doublecortin antibody (AB18723)
  • IHC-Fr

Lab

Immunohistochemistry (Frozen sections) - Anti-Doublecortin antibody (AB18723)

Immunofluorescence staining of Doublecortin in a section of frozen PFA perfusion fixed 6 week old rat dentate gyrus.

After dissection, the tissue was further fixed in PFA overnight, washed in PBS and then incubated overnight in 30% sucrose. It was then embedded in OCT and cryosectioned. No antigen retrieval step was performed prior to staining. Performed on a Leica BONDTM. The section was incubated at room temperature for 1 hour with ab18723 at 1ug/mL and then incubated with ab150080 (Goat Anti-Rabbit IgG H&L (Alexa Fluor® 594) preabsorbed, (Shown in magenta) 1/1000) for 1 hour at room temperature. Nuclear DNA was labelled with DAPI (shown in blue). The section was then mounted using Dako Fluorescence Mounting Medium®.

Image was taken with a confocal microscope (Leica-Microsystems, TCS SP8).

For other IHC staining systems (automated and non-automated), customers should optimize variable parameters such as antigen retrieval conditions, antibody concentrations and incubation times.

Immunohistochemistry (Formalin/PFA-fixed paraffin-embedded sections) - Anti-Doublecortin antibody (AB18723)
  • IHC-P

Unknown

Immunohistochemistry (Formalin/PFA-fixed paraffin-embedded sections) - Anti-Doublecortin antibody (AB18723)

ab18723 staining 6 week rat brain tissue dentate gyrus (DG) by IHC-P using rabbit-specific EXPOSE IHC detection kit (ab80437). Formalin fixed paraffin embedded tissue sections were pre-treated using heat mediated antigen retrieval (using a pressure cooker) with sodium citrate buffer (pH6) for 30 mins. The section was incubated with ab18723 0.1μg/ml for 1 hour at room temperature. DAB was used as the chromogen and the section was counterstained with haematoxylin and mounted with DPX.

Immunocytochemistry/ Immunofluorescence - Anti-Doublecortin antibody (AB18723)
  • ICC/IF

Collaborator

Immunocytochemistry/ Immunofluorescence - Anti-Doublecortin antibody (AB18723)

Doublecortin antibody (ab18723; green) labeling cell extensions from rat embryos consistent with dendrite morphology in 4 day old cultures. Preincubation of ab18723 with its immunising peptide (ab19804) quenched immunostaining (see review).

Dorsal root ganglion explants were dissected from 16 day-old rat embryos and cultured for 4 days in vitro with Neurobasal Medium containing 10% fetal calf serum and B27 supplement. Immunocytochemistry : All steps were performed in PBS. Cells or explants were fixed in 4% PFA for 15min, permeabilised with 0.1% TX100 for 10min and blocked with 5% BSA, 0.1% TX100 for 45min. ab18723 was incubated at 5μg/ml for 12h in 5% BSA, 0.1% TX100 at 4°C. For peptide blocking experiments preincubation of the peptide (ab19804; 250μg/ml) and antibody (5μg/ml ) was performed for 2h at 37°C. Cultures were washed (3x) of primary antibody solution. Goat anti-rabbit AlexaFluor 488 was used as secondary antibody (1/400) in 5% BSA, 0.1% TX100 for 2h at R

This image is courtesy of Randal Moldrich, CNRS UMR7637, ESPCI, France

Immunohistochemistry (Formalin/PFA-fixed paraffin-embedded sections) - Anti-Doublecortin antibody (AB18723)
  • IHC-P

AbReview6804****

Immunohistochemistry (Formalin/PFA-fixed paraffin-embedded sections) - Anti-Doublecortin antibody (AB18723)

ab18723 at 1/2000 staining mouse brain svr : progenitor olfactory neurones by IHC-P. The tissue was formaldehyde fixed and a heat mediated antigen retrieval step was performed before incubation with the antibody for 16 hours. An Alexa-Fluor ® 488 conjugated goat antibody was used as the secondary (green). The tissue was also stained for Ki67 (shown in red).

The MIP image was derived from Apotome-generated Z-stacks from the greyscale image of each of the channels in the MIP.

This image is courtesy of Carl Hobbs, King's College London, United Kingdom

Immunohistochemistry (PFA perfusion fixed frozen sections) - Anti-Doublecortin antibody (AB18723)
  • IHC-FoFr

Collaborator

Immunohistochemistry (PFA perfusion fixed frozen sections) - Anti-Doublecortin antibody (AB18723)

Doublecortin expression in the dentate gyrus of a 1 month-old mouse brain. Doublecortin staining using ab18723 (1/500 dilution) in the dentate gyrus of a 1 month-old mouse brain. The mouse has been perfused with paraformaldehyde 4% (50ml). After dissection the brain has been incubated overnight in sucrose 20% embedded in OCT and cryosectioned (10 µm). No antigen retrieval was used. The secondary antibody used was a non-Abcam Goat anti-rabbit Alexa488.

This image is courtesy of Francois Guillemot, NIMR, UK

Immunohistochemistry (PFA perfusion fixed frozen sections) - Anti-Doublecortin antibody (AB18723)
  • IHC-FoFr

AbReview21093****

Immunohistochemistry (PFA perfusion fixed frozen sections) - Anti-Doublecortin antibody (AB18723)

IHC-FoFr image of Doublecortin staining in Mouse adult dentate gyrus sections using ab18723 (1/100 dilution). The sections were fixed in paraformaldehyde and permeabilized using 1x TBST. The sections were then blocked using 10% donkey serum for 1 hour at 25°C. ab18723 was diluted 1/100 and incubated with the sections for 12 hours at 25°C. The secondary antibody used was Donkey anti-rabbit conjugated to Cy3 Dye (1/500 dilution). DAPI was used to stain the nuclei.

This image is courtesy of an anonymous abreview.

Immunohistochemistry (Formalin/PFA-fixed paraffin-embedded sections) - Anti-Doublecortin antibody (AB18723)
  • IHC-P

Collaborator

Immunohistochemistry (Formalin/PFA-fixed paraffin-embedded sections) - Anti-Doublecortin antibody (AB18723)

ab18723 at 1/200 staining mouse E18 body T/S spinal cord tissue sections by IHC-P. The tissue was formaldehyde fixed and a heat mediated antigen retireval step was perfomed before incubation with the antibody for 24 hours. A biotinylated goat antibody was used as the secondary.

This image is courtesy of Carl Hobbs, King's College London, United Kingdom

Immunohistochemistry (PFA perfusion fixed frozen sections) - Anti-Doublecortin antibody (AB18723)
  • IHC-FoFr

Lab

Immunohistochemistry (PFA perfusion fixed frozen sections) - Anti-Doublecortin antibody (AB18723)

IHC image of Doublecortin staining in a section of frozen PFA perfusion fixed 8 week old mouse SVZ. After dissection, the tissue was further fixed in PFA overnight, washed in PBS and then incubated overnight in 30% sucrose. It was then embedded in OCT and cryosectioned. Non-specific protein-protein interactions were blocked in TBS containing 0.025% (v/v) Triton X-100, 0.3M glycine and 1% (w/v) BSA for 1h at room temperature. The section was incubated overnight at +4°C in TBS containing 0.025% (v/v) Triton X-100 and 1% (w/v) BSA with ab18723 at 1/2000 dilution and then incubated with ab150080 (Goat Anti-Rabbit IgG H&L (Alexa Fluor® 594) preabsorbed, (Shown in red) 1/1000) for 1 hour at room temperature. DAPI was used to stain the cell nuclei (blue). The secondary-only control insert image is taken from an identical assay without primary antibody.
Image was taken with a confocal microscope (Leica-Microsystems, TCS SP8).
For IHC staining systems (automated and non-automated), customers should optimize variable parameters such as antibody concentrations and incubation times.

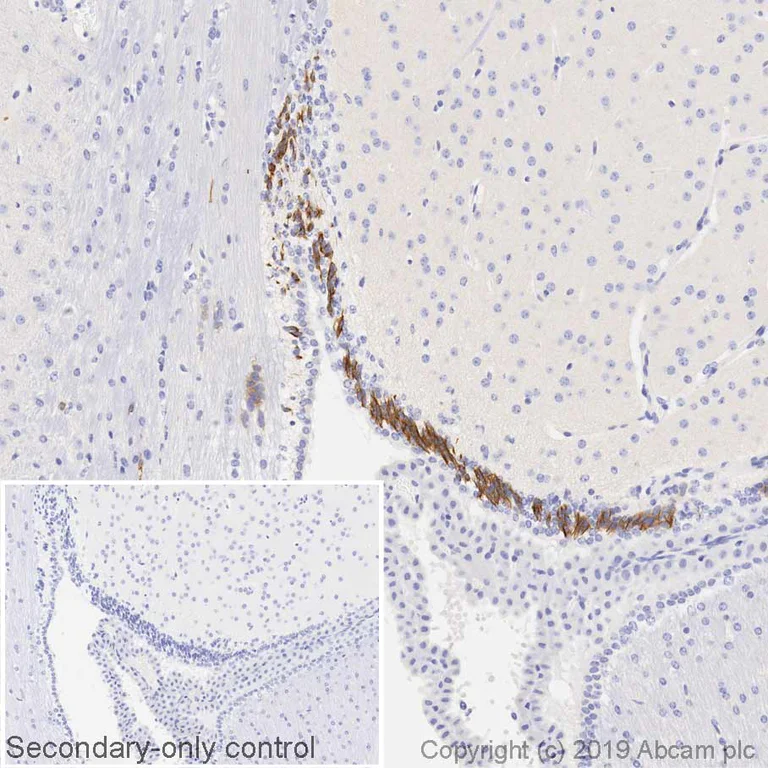
Immunohistochemistry (Formalin/PFA-fixed paraffin-embedded sections) - Anti-Doublecortin antibody (AB18723)
  • IHC-P

Lab

Immunohistochemistry (Formalin/PFA-fixed paraffin-embedded sections) - Anti-Doublecortin antibody (AB18723)

IHC image of ab18723 staining in Mouse 8 weeks brain formalin fixed paraffin embedded tissue section, performed on a Leica BONDTM system using the standard protocol F (with no post primary). The section was pre-treated using heat mediated antigen retrieval with sodium citrate buffer (pH6, epitope retrieval solution 1) for 20 mins. The section was then incubated with ab18723, 0.1μg/ml, for 15 mins at room temperature and detected using an HRP conjugated compact polymer system. DAB was used as the chromogen. The section was then counterstained with haematoxylin and mounted with DPX. Secondary-only control image is shown as insert.

For other IHC staining systems (automated and non-automated) customers should optimize variable parameters such as antigen retrieval conditions, primary antibody concentration and antibody incubation times.

Immunohistochemistry (PFA perfusion fixed frozen sections) - Anti-Doublecortin antibody (AB18723)
  • IHC-FoFr

Lab

Immunohistochemistry (PFA perfusion fixed frozen sections) - Anti-Doublecortin antibody (AB18723)

IHC image of Doublecortin staining in a section of frozen PFA perfusion fixed 8 week old mouse dentate gyrus. After dissection, the tissue was further fixed in PFA overnight, washed in PBS and then incubated overnight in 30% sucrose. It was then embedded in OCT and cryosectioned. Non-specific protein-protein interactions were blocked in TBS containing 0.025% (v/v) Triton X-100, 0.3M glycine and 1% (w/v) BSA for 1h at room temperature. The section was incubated overnight at +4°C in TBS containing 0.025% (v/v) Triton X-100 and 1% (w/v) BSA with ab18723 at 1/2000 dilution and then incubated with ab150080 (Goat Anti-Rabbit IgG H&L (Alexa Fluor® 594) preabsorbed, (Shown in red) 1/1000) for 1 hour at room temperature. DAPI was used to stain the cell nuclei (blue). The secondary-only control insert image is taken from an identical assay without primary antibody.
Image was taken with a confocal microscope (Leica-Microsystems, TCS SP8).
For IHC staining systems (automated and non-automated), customers should optimize variable parameters such as antibody concentrations and incubation times.

Immunohistochemistry (Formalin/PFA-fixed paraffin-embedded sections) - Anti-Doublecortin antibody (AB18723)
  • IHC-P

Lab

Immunohistochemistry (Formalin/PFA-fixed paraffin-embedded sections) - Anti-Doublecortin antibody (AB18723)

IHC image of ab18723 staining in rat 6 week brain formalin fixed paraffin embedded tissue section performed on a Leica BondTM system using the standard protocol F. The section was pre-treated using heat mediated antigen retrieval with sodium citrate buffer (pH6) for 20 mins. The section was then incubated with ab18723 0.1μg/ml for 15 mins at room temperature and detected using an HRP conjugated compact polymer system. DAB was used as the chromogen. The section was then counterstained with haematoxylin and mounted with DPX.
For other IHC staining systems (automated and non-automated) customers should optimize variable parameters such as antigen retrieval conditions primary antibody concentration and antibody incubation times.

Immunocytochemistry/ Immunofluorescence - Anti-Doublecortin antibody (AB18723)
  • ICC/IF

Lab

Immunocytochemistry/ Immunofluorescence - Anti-Doublecortin antibody (AB18723)

ab18723 staining Doublecortin in Rt Primary Neurons DIV1 cells. The cells were fixed with 100% methanol (5 min) permeabilized with 0.1% PBS-Tween for 5 minutes and then blocked with 1% BSA/10% normal goat serum/0.3M glycine in 0.1%PBS-Tween for 1h. The cells were then incubated overnight at 4°C with ab18723 at 5µg/ml and ab7291 Mouse monoclonal [DM1A] to alpha Tubulin - Loading Control. Cells were then incubated with ab150081 Goat polyclonal Secondary Antibody to Rabbit IgG - H&L (Alexa Fluor® 488) pre-adsorbed at 1/1000 dilution (shown in green) and ab150120 Goat polyclonal Secondary Antibody to Mouse IgG - H&L (Alexa Fluor® 594) pre-adsorbed at 1/1000 dilution (shown in pseudocolour magenta). Nuclear DNA was labelled with DAPI (shown in blue).

Also suitable in cells fixed with 4% paraformaldehyde (10 min).

Image was acquired with a high-content analyser (Operetta CLS Perkin Elmer) and a maximum intensity projection of confocal sections is shown.

Immunohistochemistry (Formalin/PFA-fixed paraffin-embedded sections) - Anti-Doublecortin antibody (AB18723)
  • IHC-P

Lab

Immunohistochemistry (Formalin/PFA-fixed paraffin-embedded sections) - Anti-Doublecortin antibody (AB18723)

Immunohistochemical analysis of formalin-fixed paraffin-embedded mouse brain labelling doublecortin with ab18723 at a dilution of 0.8µg/ml. The immunostaining was performed on a Ventana DISCOVERY ULTRA (Roche Tissue Diagnostics) instrument with an OptiView DAB IHC Detection Kit. Heat mediated antigen retrieval was conducted for 32min with ULTRA cell conditioning solution (CC1 pH8.5). ab18723 anti doublecortin antibody was incubated at 37°C for 16min. Sections were counterstained is with Hematoxylin II. Image inset shows absence of staining in secondary antibody only control.

Immunohistochemistry (Frozen sections) - Anti-Doublecortin antibody (AB18723)
  • IHC-Fr

Lab

Immunohistochemistry (Frozen sections) - Anti-Doublecortin antibody (AB18723)

Immunofluorescence staining of Doublecortin in a section of frozen PFA perfusion fixed 8 week old mouse dentate gyrus.

After dissection, the tissue was further fixed in PFA overnight, washed in PBS and then incubated overnight in 30% sucrose. It was then embedded in OCT and cryosectioned. No antigen retrieval step was performed prior to staining. Performed on a Leica BONDTM. The section was incubated at room temperature for 1 hour with ab18723 at 1ug/mL and then incubated with ab150080 (Goat Anti-Rabbit IgG H&L (Alexa Fluor® 594) preabsorbed, (Shown in magenta) 1/1000) for 1 hour at room temperature. Nuclear DNA was labelled with DAPI (shown in blue). The section was then mounted using Dako Fluorescence Mounting Medium®.

Image was taken with a confocal microscope (Leica-Microsystems, TCS SP8).

For other IHC staining systems (automated and non-automated), customers should optimize variable parameters such as antigen retrieval conditions, antibody concentrations and incubation times.

Western blot - Anti-Doublecortin antibody (AB18723)
  • WB

Unknown

Western blot - Anti-Doublecortin antibody (AB18723)

Blocking buffer : 3% Milk

Gel type : MOPS

Exposure Time : 1 minute 30 seconds

All lanes:

Western blot - Anti-Doublecortin antibody (ab18723) at 1 µg/mL

Lane 1:

Mouse brain tissue lysate - total protein (0 days) at 10 µg

Lane 2:

Rat brain tissue lysate - total protein (0 days) at 10 µg

Secondary

All lanes:

Goat polyclonal to Rabbit IgG - H&L - Pre-Adsorbed (HRP) at 1/50000 dilution

Predicted band size: 49 kDa

Observed band size: 45 kDa

false

Immunohistochemistry (Formalin/PFA-fixed paraffin-embedded sections) - Anti-Doublecortin antibody (AB18723)
  • IHC-P

Collaborator

Immunohistochemistry (Formalin/PFA-fixed paraffin-embedded sections) - Anti-Doublecortin antibody (AB18723)

Immunohistochemistical staining (on formaldehyde/PFA-fixed paraffin-embedded sections) of Doublecortin antibody - Neuronal Marker (ab18723) on Quail Tissue sections (E6/7 brain (Saggital section). Antigen retrieval step : Heat mediated. Blocking step : 1% BSA for 10 mins at RT. Primary Antibody ab18723 incubated at 1/400 for 2 hours RT. Secondary Antibody : Biotin conjugated goat anti rabbit Ig (1/300).

This image is courtesy of Carl Hobbs, King's College London, United Kingdom

Western blot - Anti-Doublecortin antibody (AB18723)
  • WB

Project5908****

Western blot - Anti-Doublecortin antibody (AB18723)

All lanes:

Western blot - Anti-Doublecortin antibody (ab18723) at 1 µg/mL

All lanes:

Western blot - Mouse brain tissue lysate - total protein (0 days) (<a href='/en-us/products/tissue-lysates/mouse-brain-tissue-lysate-total-protein-0-days-ab7188'>ab7188</a>) at 10 µg

Secondary

All lanes:

Goat polyclonal to Rabbit IgG - H&L - Pre-Adsorbed (HRP) at 1/3000 dilution

Predicted band size: 49 kDa

Observed band size: 45 kDa,49 kDa

false

Key facts

Host species

Rabbit

Clonality

Polyclonal

Isotype

IgG

Carrier free

No

Reacts with

Mouse, Rat, Quail

Applications

IHC-P, WB, IHC-FoFr, IHC-Fr, ICC/IF

applications

Immunogen

The exact immunogen used to generate this antibody is proprietary information.

Specificity

Please note: Low dilutions of this antibody can cause high background in IHC. Please use as high a dilution as possible. Optimal working dilutions are batch dependent.

Reactivity data

{ "title": "Reactivity Data", "filters": { "stats": ["", "Species", "Dilution Info", "Notes"], "tabs": { "all-applications": {"fullname" : "All Applications", "shortname": "All Applications"}, "IHCP" : {"fullname" : "Immunohistochemistry (Formalin/PFA-fixed paraffin-embedded sections)", "shortname":"IHC-P"}, "ICCIF" : {"fullname" : "Immunocytochemistry/ Immunofluorescence", "shortname":"ICC/IF"}, "WB" : {"fullname" : "Western blot", "shortname":"WB"}, "IHCFoFr" : {"fullname" : "Immunohistochemistry (PFA perfusion fixed frozen sections)", "shortname":"IHC-FoFr"}, "IHCFr" : {"fullname" : "Immunohistochemistry (Frozen sections)", "shortname":"IHC-Fr"} }, "product-promise": { "all": "all", "testedAndGuaranteed": "tested", "guaranteed": "expected", "predicted": "predicted", "notRecommended": "not-recommended" } }, "values": { "Human": { "IHCP-species-checked": "predicted", "IHCP-species-dilution-info": "", "IHCP-species-notes": "", "ICCIF-species-checked": "predicted", "ICCIF-species-dilution-info": "", "ICCIF-species-notes": "", "WB-species-checked": "predicted", "WB-species-dilution-info": "", "WB-species-notes": "", "IHCFoFr-species-checked": "predicted", "IHCFoFr-species-dilution-info": "", "IHCFoFr-species-notes": "", "IHCFr-species-checked": "predicted", "IHCFr-species-dilution-info": "", "IHCFr-species-notes": "" }, "Mouse": { "IHCP-species-checked": "testedAndGuaranteed", "IHCP-species-dilution-info": "0.05-1 µg/mL", "IHCP-species-notes": "<p></p> Perform heat-mediated antigen retrieval before commencing with IHC staining protocol.", "ICCIF-species-checked": "guaranteed", "ICCIF-species-dilution-info": "", "ICCIF-species-notes": "", "WB-species-checked": "testedAndGuaranteed", "WB-species-dilution-info": "1 µg/mL", "WB-species-notes": "<p></p>", "IHCFoFr-species-checked": "testedAndGuaranteed", "IHCFoFr-species-dilution-info": "1/300 - 1/2000", "IHCFoFr-species-notes": "<p></p>", "IHCFr-species-checked": "testedAndGuaranteed", "IHCFr-species-dilution-info": "1 µg/mL", "IHCFr-species-notes": "<p><strong>This antibody works well on Formalin fixed frozen sections, but will not work on fresh-frozen sections. For IHC-Fr, we recommend to use PFA perfusion fixed tissues. After dissection, fix the tissue further in PFA overnight, wash in PBS and incubate overnight in 30% sucrose/PBS, and then embed in OCT compound and cryosection.</strong></p>" }, "Rat": { "IHCP-species-checked": "testedAndGuaranteed", "IHCP-species-dilution-info": "0.05-1 µg/mL", "IHCP-species-notes": "<p></p> Perform heat-mediated antigen retrieval before commencing with IHC staining protocol.", "ICCIF-species-checked": "testedAndGuaranteed", "ICCIF-species-dilution-info": "1-5 µg/mL", "ICCIF-species-notes": "<p></p>", "WB-species-checked": "testedAndGuaranteed", "WB-species-dilution-info": "1 µg/mL", "WB-species-notes": "<p></p>", "IHCFoFr-species-checked": "testedAndGuaranteed", "IHCFoFr-species-dilution-info": "1/3000", "IHCFoFr-species-notes": "<p></p>", "IHCFr-species-checked": "testedAndGuaranteed", "IHCFr-species-dilution-info": "1 µg/mL", "IHCFr-species-notes": "<p></p>" }, "Cynomolgus monkey": { "IHCP-species-checked": "predicted", "IHCP-species-dilution-info": "", "IHCP-species-notes": "", "ICCIF-species-checked": "predicted", "ICCIF-species-dilution-info": "", "ICCIF-species-notes": "", "WB-species-checked": "predicted", "WB-species-dilution-info": "", "WB-species-notes": "", "IHCFoFr-species-checked": "predicted", "IHCFoFr-species-dilution-info": "", "IHCFoFr-species-notes": "", "IHCFr-species-checked": "predicted", "IHCFr-species-dilution-info": "", "IHCFr-species-notes": "" }, "Quail": { "IHCP-species-checked": "guaranteed", "IHCP-species-dilution-info": "0.05-1 µg/mL", "IHCP-species-notes": "<p></p> Perform heat-mediated antigen retrieval before commencing with IHC staining protocol.", "ICCIF-species-checked": "guaranteed", "ICCIF-species-dilution-info": "", "ICCIF-species-notes": "<p></p>", "WB-species-checked": "guaranteed", "WB-species-dilution-info": "", "WB-species-notes": "<p></p>", "IHCFoFr-species-checked": "guaranteed", "IHCFoFr-species-dilution-info": "", "IHCFoFr-species-notes": "<p></p>", "IHCFr-species-checked": "guaranteed", "IHCFr-species-dilution-info": "", "IHCFr-species-notes": "<p></p>" } } }

Product details

Anti-Doublecortin antibody (ab18723) is a rabbit polyclonal antibody and is validated for use in ICC/IF, IHC-FoFr, IHC-Fr, IHC-P and WB.

Anti-Doublecortin antibody (ab18723) was first used in a scientific publication in 2004 and has been cited over 474 times in peer reviewed journals. It's performance in Western blot and IHC in human, mouse and rat samples is trusted by the scientific community.

Abcam's high quality validation processes ensure Anti-Doublecortin antibody (ab18723) has high sensitivity and specificity.

Anti-Doublecortin antibody (ab18723) has 59 independent reviews from customers.

Anti-Doublecortin antibody (ab18723) specifically detects Doublecortin (UniProt ID: O43602; Molecular weight: 41kDa) and is sold in 50 µg selling sizes.

Doublecortin (DCX) is a critical protein in neuro research, particularly for its role in neuronal migration and neurogenesis. It is predominantly expressed in immature neurons and is essential for proper brain development. Researchers use doublecortin to study the formation and migration of new neurons, making it vital for understanding neurodevelopmental disorders and brain repair mechanisms. Its expression helps in assessing the dynamics of neuronal growth and the potential for neuroplasticity in various neurological conditions.

Properties and storage information

Form
Liquid
Purification technique
Affinity purification Immunogen
Storage buffer
pH: 7.4 Preservative: 0.02% Sodium azide Constituents: PBS, 1% BSA
Shipped at conditions
Blue Ice
Appropriate short-term storage duration
1-2 weeks
Appropriate short-term storage conditions
+4°C
Appropriate long-term storage conditions
-20°C
Aliquoting information
Upon delivery aliquot
Storage information
Avoid freeze / thaw cycle

Supplementary information

This supplementary information is collated from multiple sources and compiled automatically.

Doublecortin also known as DCX or Doublecortin-X is a microtubule-associated protein with a mass of approximately 40 kDa. This protein is found mainly in the developing nervous system where it plays an important role in neuronal migration. Doublecortin locates to neuroblasts and immature neurons serving as a marker for neuronal precursor cells. Its level of expression decreases as neurons mature making doublecortin staining a valuable tool in identifying neuronal progenitors during development.
Biological function summary

Doublecortin stabilizes microtubules facilitating proper neuronal migration. It does not operate alone but collaborates within microtubule-binding protein complexes to guide neurons to their destination during the cortical development process. The protein along with its isoforms like Doublecortin-Anticuerpo serves as a reliable indicator of neurogenesis impacting the cytoskeletal dynamics important for brain architecture.

Pathways

Doublecortin participates chiefly in the Reelin and L1CAM pathways which are involved in neuronal positioning and axonal growth. In these pathways doublecortin interacts with proteins like LIS1 playing a significant role in transporting molecular cargo along microtubules. These pathways are essential for the proper layering of neurons in the cerebral cortex and are highly coordinated with signaling and adaptor proteins.

Mutations in doublecortin relate directly to lissencephaly a brain malformation disorder and epilepsy. These conditions showcase a strong connection between doublecortin and the LIS1 protein both of which regulate neuronal migration. While DCX marker analysis can elucidate disease mechanisms doublecortin ELISA and other techniques help in diagnosing disorders linked to its dysfunction such as Eilrayna Gelyana a syndrome affecting brain development and function.

Product protocols

For this product, it's our understanding that no specific protocols are required. You can visit:

Target data

Microtubule-associated protein required for initial steps of neuronal dispersion and cortex lamination during cerebral cortex development. May act by competing with the putative neuronal protein kinase DCLK1 in binding to a target protein. May in that way participate in a signaling pathway that is crucial for neuronal interaction before and during migration, possibly as part of a calcium ion-dependent signal transduction pathway. May be part with PAFAH1B1/LIS-1 of overlapping, but distinct, signaling pathways that promote neuronal migration.
See full target information DCX

Publications (621)

Recent publications for all applications. Explore the full list and refine your search

International journal of molecular sciences 26: PubMed41009388

2025

Neuroprotective Effects of Low-Dose Graphenic Materials on SN4741 Embryonic Stem Cells Against ER Stress and MPTP-Induced Oxidative Stress.

Applications

Unspecified application

Species

Unspecified reactive species

David Vallejo Perez,Monica Navarro,Beatriz Segura-Segura,Rune Wendelbo,Sara Bandrés-Ciga,Miguel A Arraez,Cinta Arraez,Noela Rodriguez-Losada

iScience 28:113334 PubMed40917877

2025

Human cerebral organoids model tumor initiation and infiltration in an autologous astrocyte-supported setting.

Applications

Unspecified application

Species

Unspecified reactive species

Esther Schickel,Tamara Bender,Leon Kaysan,Simone Hufgard,Margot Mayer,David R Grosshans,Christiane Thielemann,Insa S Schroeder

Frontiers in neurology 16:1606606 PubMed40895108

2025

Intraventricular continuous BDNF administration ameliorates neuroinflammation and enhances neurogenesis against rodent intracerebral hemorrhage model.

Applications

Unspecified application

Species

Unspecified reactive species

Ting-Chun Lin,Masahito Kawabori,Erika Yoshie,Yo Nakahara,Li-Kai Tsai,Miki Fujimura

Stem cell research & therapy 16:462 PubMed40866997

2025

Extracellular lactate improves neurogenesis by modulating H3K9 lactylation and SnoN expression under hypoxic conditions.

Applications

Unspecified application

Species

Unspecified reactive species

Wenhong Xu,Anqi Zhao,Rui Han,Junyuan Wei,Qi Yu,Miaomiao Wang,Haokun Li,Baofeng Xu,Meiying Li,Guangfan Chi

iScience 28:113255 PubMed40837231

2025

Tissue stiffness controls neuroblast migratory behavior and reprogramming during myelin repair.

Applications

Unspecified application

Species

Unspecified reactive species

Marie Falque,Karine Magalon,Florian Gil,Pascale Durbec

Nature communications 16:7499 PubMed40835596

2025

Non-genetic neuromodulation with graphene optoelectronic actuators for disease models, stem cell maturation, and biohybrid robotics.

Applications

Unspecified application

Species

Unspecified reactive species

Elena Molokanova,Teng Zhou,Pragna Vasupal,Volodymyr P Cherkas,Prashant Narute,Mariana S A Ferraz,Michael Reiss,Angels Almenar-Queralt,Georgia Chaldaiopoulou,Janaina Sena de Souza,Honieh Hemati,Francisco Downey,Omowuyi O Olajide,Carolina Thörn Perez,Francesca Puppo,Pinar Mesci,Samuel L Pfaff,Dmitry Kireev,Alysson R Muotri,Alex Savchenko

eLife 13: PubMed40827993

2025

Gliogenesis from the subventricular zone modulates the extracellular matrix at the glial scar after brain ischemia.

Applications

Unspecified application

Species

Unspecified reactive species

Maria Ardaya,Marie-Catherine Tiveron,Harold Cremer,Esther Rubio-López,Abraham Martín,Benjamin Dehay,Fernando Pérez-Cerdá,Carlos Matute,Federico N Soria,Fabio Cavaliere

Cells 14: PubMed40801629

2025

Potential of Lactoferrin Against the Radiation-Induced Brain Injury.

Applications

Unspecified application

Species

Unspecified reactive species

Marina Yu Kopaeva,Anton B Cherepov,Irina B Alchinova,Daria A Shaposhnikova,Anna V Rybakova,Alexandr P Trashkov

Cellular and molecular neurobiology 45:78 PubMed40788579

2025

Role of Repressive Histone Lysine Demethylases and Methylases in Susceptibility to Depression Using a Novel Progressive Social Defeat Stress Mouse Model.

Applications

Unspecified application

Species

Unspecified reactive species

Arpan Mukhoti,P K Annapoorna,Ashutosh Kumar,Pratishtha Wadnerkar,Ayesha Atqa Khan,Salil Saurav Pathak,Sumana Chakravarty,Arvind Kumar

PLoS biology 23:e3002654 PubMed40720543

2025

Sox5 controls the establishment of quiescence in neural stem cells during postnatal development.

Applications

Unspecified application

Species

Unspecified reactive species

Cristina Medina-Menéndez,Paula Tirado-Melendro,Lingling Li,Pilar Rodríguez-Martín,Elena Melgarejo-de la Peña,Mario Díaz-García,María Valdés-Bescós,Rafael López-Sansegundo,Aixa V Morales
View all publications

Product promise

We are committed to supporting your work with high-quality reagents, and we're here for you every step of the way. In the unlikely event that one of our products does not perform as expected, you're protected by our Product Promise.
For full details, please see our Terms & Conditions

Please note: All products are 'FOR RESEARCH USE ONLY. NOT FOR USE IN DIAGNOSTIC OR THERAPEUTIC PROCEDURES'.

For licensing inquiries, please contact partnerships@abcam.com