JavaScript is disabled in your browser. Please enable JavaScript to view this website.
AB214179

Anti-DPAGT1/GPT antibody

Be the first to review this product! Submit a review

|

(2 Publications)

Rabbit Polyclonal DPAGT1/GPT antibody. Suitable for IHC-P, WB and reacts with Rat, Mouse samples. Cited in 2 publications. Immunogen corresponding to Synthetic Peptide within Human DPAGT1 aa 300-350 conjugated to Keyhole Limpet Haemocyanin.

View Alternative Names

DPAGT2, DPAGT1, UDP-N-acetylglucosamine--dolichyl-phosphate N-acetylglucosaminephosphotransferase, GlcNAc-1-P transferase, N-acetylglucosamine-1-phosphate transferase, G1PT, GPT

2 Images
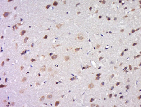
Immunohistochemistry (Formalin/PFA-fixed paraffin-embedded sections) - Anti-DPAGT1/GPT antibody (AB214179)
  • IHC-P

Supplier Data

Immunohistochemistry (Formalin/PFA-fixed paraffin-embedded sections) - Anti-DPAGT1/GPT antibody (AB214179)

Immunohistochemical analysis of paraformaldehyde-fixed, paraffin-embedded rat brain tissue labeling DPAGT1/GPT with ab214179 at 1/500 dilution, followed by secondary antibody detection and DAB staining.

Antigen retrieval by boiling in sodium citrate buffer (pH6) for 15min; Block endogenous peroxidase by 3% hydrogen peroxide for 30 minutes; Blocking buffer (normal goat serum) at 37°C for 20min.

Western blot - Anti-DPAGT1/GPT antibody (AB214179)
  • WB

Supplier Data

Western blot - Anti-DPAGT1/GPT antibody (AB214179)

All lanes:

Western blot - Anti-DPAGT1/GPT antibody (ab214179) at 1/300 dilution

All lanes:

Mouse lung lysate

Secondary

All lanes:

Goat Anti-Rabbit IgG Antibody (H+L), HRP Conjugated at 1/5000 dilution

Predicted band size: 46 kDa

false

Key facts

Host species

Rabbit

Clonality

Polyclonal

Isotype

IgG

Carrier free

No

Reacts with

Mouse, Rat

Applications

WB, IHC-P

applications

Immunogen

Synthetic Peptide within Human DPAGT1 aa 300-350 conjugated to Keyhole Limpet Haemocyanin. The exact immunogen used to generate this antibody is proprietary information.

Q9H3H5

Reactivity data

{ "title": "Reactivity Data", "filters": { "stats": ["", "Species", "Dilution Info", "Notes"], "tabs": { "all-applications": {"fullname" : "All Applications", "shortname": "All Applications"}, "IHCP" : {"fullname" : "Immunohistochemistry (Formalin/PFA-fixed paraffin-embedded sections)", "shortname":"IHC-P"}, "WB" : {"fullname" : "Western blot", "shortname":"WB"} }, "product-promise": { "all": "all", "testedAndGuaranteed": "tested", "guaranteed": "expected", "predicted": "predicted", "notRecommended": "not-recommended" } }, "values": { "Human": { "IHCP-species-checked": "predicted", "IHCP-species-dilution-info": "", "IHCP-species-notes": "", "WB-species-checked": "predicted", "WB-species-dilution-info": "", "WB-species-notes": "" }, "Mouse": { "IHCP-species-checked": "guaranteed", "IHCP-species-dilution-info": "", "IHCP-species-notes": "", "WB-species-checked": "testedAndGuaranteed", "WB-species-dilution-info": "1/100 - 1/1000", "WB-species-notes": "<p></p>" }, "Rat": { "IHCP-species-checked": "testedAndGuaranteed", "IHCP-species-dilution-info": "1/100 - 1/500", "IHCP-species-notes": "<p></p> Perform heat-mediated antigen retrieval with citrate buffer pH 6 before commencing with IHC staining protocol.", "WB-species-checked": "guaranteed", "WB-species-dilution-info": "", "WB-species-notes": "" } } }

Properties and storage information

Form
Liquid
Purification technique
Affinity purification Protein A
Storage buffer
pH: 7.4 Preservative: 0.02% Proclin 300 Constituents: 50% Glycerol (glycerin, glycerine), 48.98% TBS, 1X, 1% BSA
Shipped at conditions
Blue Ice
Appropriate short-term storage duration
1-2 weeks
Appropriate short-term storage conditions
+4°C
Appropriate long-term storage conditions
-20°C
Aliquoting information
Upon delivery aliquot
Storage information
Avoid freeze / thaw cycle

Supplementary information

This supplementary information is collated from multiple sources and compiled automatically.

DPAGT1 also known as dolichyl-phosphate (UDP-N-acetylglucosamine) N-acetylglucosamine-1-phosphate transferase and sometimes referred to as GPT is an important enzyme in the N-glycosylation pathway. It functions primarily in the endoplasmatic reticulum (ER) of cells. The protein is encoded by the DPAGT1 gene and has a molecular mass typically around 41 kDa. This enzyme is mainly expressed in tissues with high secretory activities such as liver pancreas and placenta where it plays a role in preparing proteins for secretion or membrane localization.
Biological function summary

DPAGT1 initiates the dolichol-linked oligosaccharide synthesis which is critical in protein glycosylation. This protein acts in transferring N-acetylglucosamine (GlcNAc) to dolichol phosphate on the cytoplasmic side of the ER membrane forming GlcNAc-P-P-dolichol an essential precursor for further glycan assembly. DPAGT1 is part of a larger enzyme complex involved in glycoprotein assembly connecting with other enzymes that sequentially build up the oligosaccharide on the dolichol phosphates.

Pathways

Dolichyl-phosphate (UDP-N-acetylglucosamine) N-acetylglucosamine-1-phosphate transferase is a catalytic component in the N-glycosylation pathway. This pathway is pivotal for proper folding and function of glycoproteins. N-glycosylation is important for cellular processes like cell-cell recognition and signal transduction. The pathway closely links DPAGT1 with proteins involved in ER-associated degradation (ERAD). DPAGT1 interacts also with downstream glycosyltransferases which further process the glycoproteins for maturation and function.

Dysfunction of DPAGT1 relates to congenital disorders of glycosylation (CDG) particularly CDG type Ij. This disorder arises from improper glycosylation of proteins leading to widespread developmental issues. Dysregulation in DPAGT1 activity can also connect with muscle-eye-brain disease where glycosylation defects affect muscle and ocular tissue development. Disease associations illuminate its interactions with proteins involved in cell differentiation and muscle development pointing to DPAGT1’s broad impact on human health.

Product protocols

For this product, it's our understanding that no specific protocols are required. You can visit:

Target data

UDP-N-acetylglucosamine--dolichyl-phosphate N-acetylglucosaminephosphotransferase that operates in the biosynthetic pathway of dolichol-linked oligosaccharides, the glycan precursors employed in protein asparagine (N)-glycosylation. The assembly of dolichol-linked oligosaccharides begins on the cytosolic side of the endoplasmic reticulum membrane and finishes in its lumen. The sequential addition of sugars to dolichol pyrophosphate produces dolichol-linked oligosaccharides containing fourteen sugars, including two GlcNAcs, nine mannoses and three glucoses. Once assembled, the oligosaccharide is transferred from the lipid to nascent proteins by oligosaccharyltransferases. Catalyzes the initial step of dolichol-linked oligosaccharide biosynthesis, transfering GlcNAc-1-P from cytosolic UDP-GlcNAc onto the carrier lipid dolichyl phosphate (P-dolichol), yielding GlcNAc-P-P-dolichol embedded in the cytoplasmic leaflet of the endoplasmic reticulum membrane.
See full target information DPAGT1

Publications (2)

Recent publications for all applications. Explore the full list and refine your search

Frontiers in immunology 15:1500478 PubMed39687617

2024

PCDHGA10 as a potential prognostic biomarker and correlated with immune infiltration in gastric cancer.

Applications

Unspecified application

Species

Unspecified reactive species

Mingyang Zhong,Zhuoqun Yu,Qianqian Wu,Bing Lu,PingPing Sun,Xiaojing Zhang,Lei Yang,Han Wu

PeerJ 12:e16740 PubMed38274331

2024

Regulation of lipid metabolism by APOE4 in intrahepatic cholangiocarcinoma the enhancement of ABCA1 membrane expression.

Applications

Unspecified application

Species

Unspecified reactive species

Liqiang Qian,Gang Wang,Bin Li,Haoyuan Su,Lei Qin
View all publications

Product promise

We are committed to supporting your work with high-quality reagents, and we're here for you every step of the way. In the unlikely event that one of our products does not perform as expected, you're protected by our Product Promise.
For full details, please see our Terms & Conditions

Please note: All products are 'FOR RESEARCH USE ONLY. NOT FOR USE IN DIAGNOSTIC OR THERAPEUTIC PROCEDURES'.

For licensing inquiries, please contact partnerships@abcam.com