JavaScript is disabled in your browser. Please enable JavaScript to view this website.
AB231701

Anti-DPD antibody [EPR8811] - BSA and Azide free

Be the first to review this product! Submit a review

|

(0 Publication)

Rabbit Recombinant Monoclonal DPD antibody. Carrier free. Suitable for IHC-P, WB, ICC/IF, Flow Cyt (Intra) and reacts with Human samples.

View Alternative Names

Dihydropyrimidine dehydrogenase [NADP(+)], DHPDHase, DPD, Dihydrothymine dehydrogenase, Dihydrouracil dehydrogenase, DPYD

5 Images
Flow Cytometry (Intracellular) - Anti-DPD antibody [EPR8811] - BSA and Azide free (AB231701)
  • Flow Cyt (Intra)

Unknown

Flow Cytometry (Intracellular) - Anti-DPD antibody [EPR8811] - BSA and Azide free (AB231701)

Intracellular Flow Cytometry analysis of THP-1 (Human monocytic leukemia monocyte) cells labeling DPD with Purified ab134922 at 1/50 dilution (10 μg/ml) (Red). Cells were fixed with 4% Paraformaldehyde and permeabilised with 90% Methanol. A Goat anti rabbit IgG (Alexa Fluor® 488, ab150077) secondary antibody was used at 1/2000. Isotype control - Rabbit monoclonal IgG (Black). Unlabeled control - Cell without incubation with primary antibody and secondary antibody (Blue). This data was developed using the same antibody clone in a different buffer formulation containing PBS, BSA, glycerol, and sodium azide (ab134922)

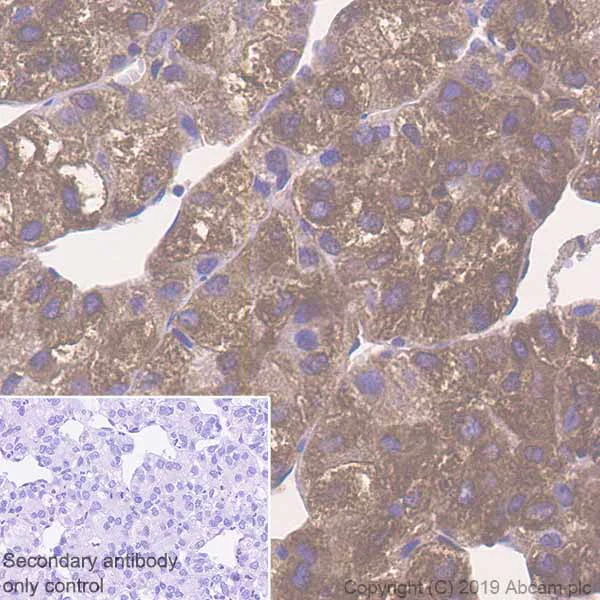
Immunohistochemistry (Formalin/PFA-fixed paraffin-embedded sections) - Anti-DPD antibody [EPR8811] - BSA and Azide free (AB231701)
  • IHC-P

Unknown

Immunohistochemistry (Formalin/PFA-fixed paraffin-embedded sections) - Anti-DPD antibody [EPR8811] - BSA and Azide free (AB231701)

Immunohistochemistry (Formalin/PFA-fixed paraffin-embedded sections) analysis of human hepatocellular carcinoma tissue sections labeling DPD with Purified ab134922 at 1 : 500 dilution (0.998 µg/ml). Heat mediated antigen retrieval using Bond™ Epitope Retrieval Solution 1 (pH 6.0). Rabbit specific IHC polymer detection kit HRP/DAB (ab209101) was used for detection. Negative control : PBS instead of the primary antibody. Hematoxylin was used as a counterstain.
This data was developed using the same antibody clone in a different buffer formulation containing PBS, BSA, glycerol, and sodium azide (ab134922)

Immunocytochemistry/ Immunofluorescence - Anti-DPD antibody [EPR8811] - BSA and Azide free (AB231701)
  • ICC/IF

Lab

Immunocytochemistry/ Immunofluorescence - Anti-DPD antibody [EPR8811] - BSA and Azide free (AB231701)

Immunocytochemistry/Immunofluorescence analysis Jurkat (human acute T cell leukaemia) cells labelling DPD with purified ab134922 at a dilution of 1/500. Cells were fixed with 100% methanol. An Alexa Fluor® 488-conjugated goat anti-rabbit IgG (ab150077) at dilution of 1/1000 was used as the secondary antibody. Nuclei counterstained with DAPI (blue).

Secondary Only Control : PBS was used instead of the primary antibody as the negative control.

This data was developed using the same antibody clone in a different buffer formulation containing PBS, BSA, glycerol, and sodium azide (ab134922)

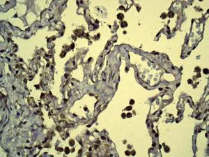
Immunohistochemistry (Formalin/PFA-fixed paraffin-embedded sections) - Anti-DPD antibody [EPR8811] - BSA and Azide free (AB231701)
  • IHC-P

Unknown

Immunohistochemistry (Formalin/PFA-fixed paraffin-embedded sections) - Anti-DPD antibody [EPR8811] - BSA and Azide free (AB231701)

Immunohistochemical analysis of paraffin-embedded Human lung tissue staining DPD with unpurified ab134922 at 1/250 dilution.

This data was developed using the same antibody clone in a different buffer formulation containing PBS, BSA, glycerol, and sodium azide (ab134922)

Perform heat mediated antigen retrieval with citrate buffer pH 6 before commencing with IHC staining protocol.

Immunohistochemistry (Formalin/PFA-fixed paraffin-embedded sections) - Anti-DPD antibody [EPR8811] - BSA and Azide free (AB231701)
  • IHC-P

Unknown

Immunohistochemistry (Formalin/PFA-fixed paraffin-embedded sections) - Anti-DPD antibody [EPR8811] - BSA and Azide free (AB231701)

Immunohistochemical analysis of paraffin-embedded Human colon tissue staining DPD with unpurified ab134922 at 1/250 dilution.

This data was developed using the same antibody clone in a different buffer formulation containing PBS, BSA, glycerol, and sodium azide (ab134922)

Perform heat mediated antigen retrieval with citrate buffer pH 6 before commencing with IHC staining protocol.

Key facts

Host species

Rabbit

Clonality

Monoclonal

Clone number

EPR8811

Isotype

IgG

Carrier free

Yes

Reacts with

Human

Applications

IHC-P, WB, Flow Cyt (Intra), ICC/IF

applications

Immunogen

The exact immunogen used to generate this antibody is proprietary information.

Reactivity data

{ "title": "Reactivity Data", "filters": { "stats": ["", "Species", "Dilution Info", "Notes"], "tabs": { "all-applications": {"fullname" : "All Applications", "shortname": "All Applications"}, "IHCP" : {"fullname" : "Immunohistochemistry (Formalin/PFA-fixed paraffin-embedded sections)", "shortname":"IHC-P"}, "WB" : {"fullname" : "Western blot", "shortname":"WB"}, "ICCIF" : {"fullname" : "Immunocytochemistry/ Immunofluorescence", "shortname":"ICC/IF"}, "FlowCytIntra" : {"fullname" : "Flow Cytometry (Intracellular)", "shortname":"Flow Cyt (Intra)"} }, "product-promise": { "all": "all", "testedAndGuaranteed": "tested", "guaranteed": "expected", "predicted": "predicted", "notRecommended": "not-recommended" } }, "values": { "Human": { "IHCP-species-checked": "testedAndGuaranteed", "IHCP-species-dilution-info": "", "IHCP-species-notes": "<p></p>", "WB-species-checked": "guaranteed", "WB-species-dilution-info": "", "WB-species-notes": "<p></p>", "ICCIF-species-checked": "testedAndGuaranteed", "ICCIF-species-dilution-info": "", "ICCIF-species-notes": "<p></p>", "FlowCytIntra-species-checked": "testedAndGuaranteed", "FlowCytIntra-species-dilution-info": "", "FlowCytIntra-species-notes": "<p></p>" } } }

Product details

ab231701 is the carrier-free version of ab134922.

Species reactivity
Mouse, Rat: We have preliminary internal testing data to indicate this antibody may not react with these species.
Please contact us for more information.

Patented technology
Our RabMAb® technology is a patented hybridoma-based technology for making rabbit monoclonal antibodies. For details on our patents, please refer to RabMAb® patents.

What are the advantages of a recombinant monoclonal antibody?
This product is a recombinant monoclonal antibody, which offers several advantages including:

  • - High batch-to-batch consistency and reproducibility
  • - Improved sensitivity and specificity
  • - Long-term security of supply
  • - Animal-free batch production

For more information, read more on recombinant antibodies.

Conjugation ready
Our carrier-free antibodies are typically supplied in a PBS-only formulation, purified and free of BSA, sodium azide and glycerol. This conjugation-ready format is designed for use with fluorochromes, metal isotopes, oligonucleotides, and enzymes, which makes them ideal for antibody labelling, functional and cell-based assays, flow-based assays (e.g. mass cytometry) and Multiplex Imaging applications.

Use our conjugation kits for antibody conjugates that are ready-to-use in as little as 20 minutes with 1 minute hands-on-time and 100% antibody recovery: available for fluorescent dyes, HRP, biotin and gold.

Compatibility
This product is compatible with the Maxpar® Antibody Labeling Kit from Fluidigm, without the need for antibody preparation. Maxpar® is a trademark of Fluidigm Canada Inc.

Properties and storage information

Form
Liquid
Purification technique
Affinity purification Protein A
Storage buffer
pH: 7.2 - 7.4 Constituents: PBS
Shipped at conditions
Blue Ice
Appropriate short-term storage conditions
+4°C
Appropriate long-term storage conditions
+4°C
Storage information
Do Not Freeze

Supplementary information

This supplementary information is collated from multiple sources and compiled automatically.

DPD also known as dihydropyrimidine dehydrogenase is an enzyme important for the breakdown of pyrimidines particularly uracil and thymine. The DPD protein has an important role in the initial step of pyrimidine catabolism. It catalyzes the NADPH-dependent reduction of these pyrimidines to dihydrouracil and dihydrothymine. It consists of 1025 amino acids giving it a mass of approximately 111 kDa. DPD is expressed in various tissues with significant expression in the liver and to a lesser extent in peripheral blood lymphocytes.
Biological function summary

Dihydropyrimidine dehydrogenase impacts nucleotide metabolism which is significant for cellular replication and repair processes. DPD exists as part of a multi-enzyme complex that handles pyrimidine metabolism. It serves an important regulatory function by controlling the level of pyrimidines within cells. This regulation keeps the balance of free nucleotides which is critical for DNA synthesis and overall cellular homeostasis.

Pathways

DPD holds an important position in pyrimidine metabolism pathways and the drug metabolism pathway specifically influencing fluoropyrimidine-based chemotherapeutic agents. Within the pyrimidine metabolic pathway DPD links to other enzymes that further breakdown pyrimidines into more basic compounds. In drug metabolism DPD plays a vital role by metabolizing drugs like 5-fluorouracil. Its activity affects how individuals process these medications linking it to enzymes like thymidylate synthase that share pathways in cancer treatment drug action.

DPD deficiency relates to a genetic disorder that causes an excessive build-up of uracil and thymine leading to developmental disorders and neurological problems. Additionally abnormalities in DPD activity influence the efficacy and toxicity of fluorouracil chemotherapy in cancer treatments. DPD enzymatic activity when not properly regulated can lead to severe toxic reactions especially in relation to therapies reliant on enzymes such as thymidylate synthase emphasizing the critical interplay between these proteins in the management of fluoropyrimidine drug treatments.

Product protocols

For this product, it's our understanding that no specific protocols are required. You can visit:

Target data

Involved in pyrimidine base degradation (PubMed : 1512248). Catalyzes the reduction of uracil and thymine (PubMed : 1512248). Also involved the degradation of the chemotherapeutic drug 5-fluorouracil (PubMed : 1512248).
See full target information Dihydropyrimidine dehydrogenase [NADP(+)]

Product promise

We are committed to supporting your work with high-quality reagents, and we're here for you every step of the way. In the unlikely event that one of our products does not perform as expected, you're protected by our Product Promise.
For full details, please see our Terms & Conditions

Please note: All products are 'FOR RESEARCH USE ONLY. NOT FOR USE IN DIAGNOSTIC OR THERAPEUTIC PROCEDURES'.

For licensing inquiries, please contact partnerships@abcam.com