JavaScript is disabled in your browser. Please enable JavaScript to view this website.
AB230977

Anti-DPEP1/MDP antibody [EPR22222]

Be the first to review this product! Submit a review

|

(4 Publications)

Rabbit Recombinant Monoclonal DPEP1/MDP antibody. Suitable for WB, IHC-P and reacts with Human samples. Cited in 4 publications.

View Alternative Names

MDP, RDP, DPEP1, Dipeptidase 1, Beta-lactamase, Dehydropeptidase-I, Microsomal dipeptidase, Renal dipeptidase, hRDP

4 Images
Immunohistochemistry (Formalin/PFA-fixed paraffin-embedded sections) - Anti-DPEP1/MDP antibody [EPR22222] (AB230977)
  • IHC-P

Supplier Data

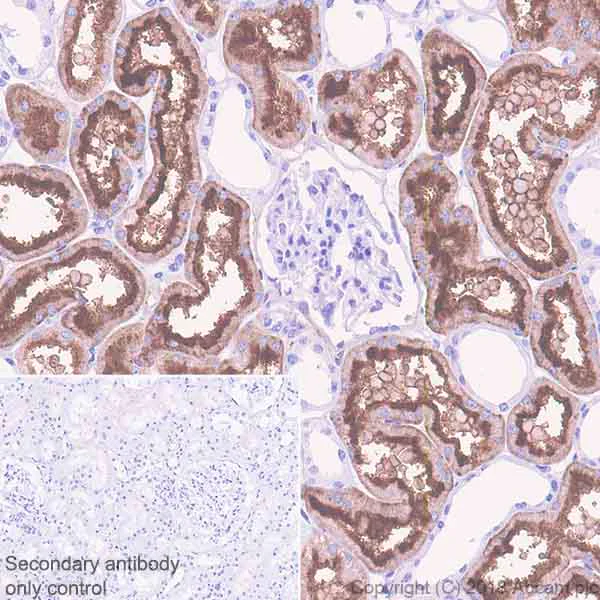
Immunohistochemistry (Formalin/PFA-fixed paraffin-embedded sections) - Anti-DPEP1/MDP antibody [EPR22222] (AB230977)

Immunohistochemical analysis of paraffin-embedded human kidney tissue labeling DPEP1/MDP with ab230977 at 1/5000 dilution, followed by a ready to use Goat Anti-Rabbit IgG H&L (HRP). Positive staining in proximal tubules of human kidney (PMID : 8663190) is observed. Counterstained with hematoxylin.
Secondary antibody only control : Used PBS instead of primary antibody, secondary antibody is a ready to use Goat Anti-Rabbit IgG H&L (HRP).
Perform heat mediated antigen retrieval using ab93684 (Tris/EDTA buffer, pH 9.0).

Immunohistochemistry (Formalin/PFA-fixed paraffin-embedded sections) - Anti-DPEP1/MDP antibody [EPR22222] (AB230977)
  • IHC-P

Supplier Data

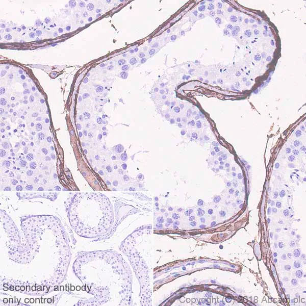
Immunohistochemistry (Formalin/PFA-fixed paraffin-embedded sections) - Anti-DPEP1/MDP antibody [EPR22222] (AB230977)

Immunohistochemical analysis of paraffin-embedded human testis tissue labeling DPEP1/MDP with ab230977 at 1/5000 dilution, followed by a ready to use Goat Anti-Rabbit IgG H&L (HRP). Positive staining in the basement membrane of human testis is observed. Counterstained with hematoxylin.
Secondary antibody only control : Used PBS instead of primary antibody, secondary antibody is a ready to use Goat Anti-Rabbit IgG H&L (HRP).
Perform heat mediated antigen retrieval using ab93684 (Tris/EDTA buffer, pH 9.0).

Immunohistochemistry (Formalin/PFA-fixed paraffin-embedded sections) - Anti-DPEP1/MDP antibody [EPR22222] (AB230977)
  • IHC-P

Supplier Data

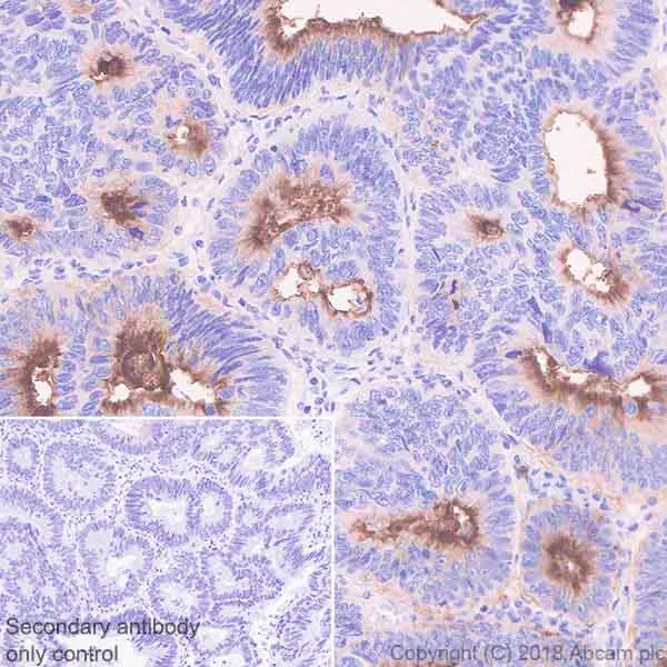
Immunohistochemistry (Formalin/PFA-fixed paraffin-embedded sections) - Anti-DPEP1/MDP antibody [EPR22222] (AB230977)

Immunohistochemical analysis of paraffin-embedded human colon cancer tissue labeling DPEP1/MDP with ab230977 at 1/5000 dilution, followed by a ready to use Goat Anti-Rabbit IgG H&L (HRP). Positive staining in apical surface of human colon cancer (PMID : 28413640; PMID 23839495) is observed. Counterstained with hematoxylin.
Secondary antibody only control : Used PBS instead of primary antibody, secondary antibody is a ready to use Goat Anti-Rabbit IgG H&L (HRP).
Perform heat mediated antigen retrieval using ab93684 (Tris/EDTA buffer, pH 9.0).

Western blot - Anti-DPEP1/MDP antibody [EPR22222] (AB230977)
  • WB

Supplier Data

Western blot - Anti-DPEP1/MDP antibody [EPR22222] (AB230977)

This blot was developed using a higher sensitivity ECL substrate.

Blocking/Dilution buffer : 5% NFDM/TBST.

The molecular weight observed is consistent with what has been described in the literature (PMID : 23839495).

All lanes:

Western blot - Anti-DPEP1/MDP antibody [EPR22222] (ab230977) at 1/1000 dilution

Lane 1:

Human kidney lysate at 20 µg

Lane 2:

Human testis lysate at 20 µg

Secondary

All lanes:

Western blot - VeriBlot for IP Detection Reagent (HRP) (<a href='/en-us/products/reagents/veriblot-for-ip-detection-reagent-hrp-ab131366'>ab131366</a>) at 1/1000 dilution

Predicted band size: 46 kDa

Observed band size: 55 kDa

true

Exposure time: 48s

  • Carrier free

    Anti-DPEP1/MDP antibody [EPR22222] - BSA and Azide free

Key facts

Host species

Rabbit

Clonality

Monoclonal

Clone number

EPR22222

Isotype

IgG

Carrier free

No

Reacts with

Human

Applications

IHC-P, WB

applications

Immunogen

The exact immunogen used to generate this antibody is proprietary information.

Reactivity data

{ "title": "Reactivity Data", "filters": { "stats": ["", "Species", "Dilution Info", "Notes"], "tabs": { "all-applications": {"fullname" : "All Applications", "shortname": "All Applications"}, "IP" : {"fullname" : "Immunoprecipitation", "shortname":"IP"}, "FlowCyt" : {"fullname" : "Flow Cytometry", "shortname":"Flow Cyt"}, "WB" : {"fullname" : "Western blot", "shortname":"WB"}, "ICCIF" : {"fullname" : "Immunocytochemistry/ Immunofluorescence", "shortname":"ICC/IF"}, "IHCP" : {"fullname" : "Immunohistochemistry (Formalin/PFA-fixed paraffin-embedded sections)", "shortname":"IHC-P"} }, "product-promise": { "all": "all", "testedAndGuaranteed": "tested", "guaranteed": "expected", "predicted": "predicted", "notRecommended": "not-recommended" } }, "values": { "Human": { "IP-species-checked": "notRecommended", "IP-species-dilution-info": "", "IP-species-notes": "<p></p>", "FlowCyt-species-checked": "notRecommended", "FlowCyt-species-dilution-info": "", "FlowCyt-species-notes": "<p></p>", "WB-species-checked": "testedAndGuaranteed", "WB-species-dilution-info": "1/1000", "WB-species-notes": "<p></p>", "ICCIF-species-checked": "notRecommended", "ICCIF-species-dilution-info": "", "ICCIF-species-notes": "<p></p>", "IHCP-species-checked": "testedAndGuaranteed", "IHCP-species-dilution-info": "1/5000", "IHCP-species-notes": "<p></p> Perform heat-mediated antigen retrieval with Tris/EDTA buffer pH 9.0 before commencing with IHC staining protocol." } } }

Product details

Patented technology
Our RabMAb® technology is a patented hybridoma-based technology for making rabbit monoclonal antibodies. For details on our patents, please refer to RabMAb® patents.

What are the advantages of a recombinant monoclonal antibody?
This product is a recombinant monoclonal antibody, which offers several advantages including:

  • - High batch-to-batch consistency and reproducibility
  • - Improved sensitivity and specificity
  • - Long-term security of supply
  • - Animal-free batch production

For more information, read more on recombinant antibodies.

Properties and storage information

Form
Liquid
Purification technique
Affinity purification Protein A
Storage buffer
pH: 7.2 - 7.4 Preservative: 0.01% Sodium azide Constituents: PBS, 40% Glycerol (glycerin, glycerine), 0.05% BSA
Shipped at conditions
Blue Ice
Appropriate short-term storage duration
1-2 weeks
Appropriate short-term storage conditions
+4°C
Appropriate long-term storage conditions
-20°C
Aliquoting information
Upon delivery aliquot
Storage information
Avoid freeze / thaw cycle

Supplementary information

This supplementary information is collated from multiple sources and compiled automatically.

DPEP1 also known as MDP or dipeptidase 1 functions as a membrane-bound enzyme responsible for hydrolyzing dipeptides. It exhibits a mass of approximately 60 kDa and requires zinc ions for its enzymatic activity. Researchers often find DPEP1 in the kidney where it plays a role in the renal brush border. It is expressed also in other tissues including the intestine and can be found in the lungs and placenta. Its structure allows it to effectively act on a variety of dipeptides primarily those with hydrophobic amino acids.
Biological function summary

DPEP1 is involved in the metabolism of leukotriene and the hydrolysis of cysteinyl leukotrienes. It is a component of the renal proximal tubule and contributes to amino acid transport and homeostasis. Its enzymatic activity modulates the levels of these substrates impacting inflammatory responses. The protein does not function alone; it often forms homomeric structures or interacts with other cellular components to perform its biological duties efficiently.

Pathways

The enzymatic activity of DPEP1 makes it integral to the leukotriene pathway affecting both inflammatory and immune responses. It plays a role in the glutathione metabolism pathway contributing to homeostasis and detoxification processes. DPEP1's activity parallels that of other metabolic enzymes such as gamma-glutamyltransferase 1 (GGT1) which also contributes to glutathione and amino acid metabolism. These pathways showcase how DPEP1's function is tied into broader metabolic and regulatory networks.

DPEP1 is associated with conditions such as acute kidney injury and asthma. Abnormal expression or activity of DPEP1 can lead to distorted cysteinyl leukotriene levels affecting inflammation and tissue remodeling in asthmatic conditions. Additionally its expression patterns in renal tissues make it a potential marker or target in kidney disease contexts. Other proteins such as leukotriene C4 synthase interact with DPEP1 in these disease states illustrating its relevance in pathophysiological conditions.

Product protocols

For this product, it's our understanding that no specific protocols are required. You can visit:

Target data

Hydrolyzes a wide range of dipeptides including the conversion of leukotriene D4 to leukotriene E4 (PubMed : 2303490, PubMed : 31442408, PubMed : 32325220, PubMed : 6334084). Hydrolyzes cystinyl-bis-glycine (cys-bis-gly) formed during glutathione degradation (PubMed : 32325220). Possesses also beta lactamase activity and can hydrolyze the beta-lactam antibiotic imipenem (PubMed : 32325220, PubMed : 6334084).. Independently of its dipeptidase activity, acts as an adhesion receptor for neutrophil recruitment from bloodstream into inflamed lungs and liver.
See full target information DPEP1

Publications (4)

Recent publications for all applications. Explore the full list and refine your search

Frontiers in immunology 14:1324205 PubMed38090559

2023

Lipid metabolism-related gene expression in the immune microenvironment predicts prognostic outcomes in renal cell carcinoma.

Applications

Unspecified application

Species

Unspecified reactive species

Qian Zhang,Bingbiao Lin,Huikun Chen,Yinyan Ye,Yijie Huang,Zhen Chen,Jun Li

Frontiers in genetics 14:1118889 PubMed37124627

2023

Unveiling DNA damage repair-based molecular subtypes, tumor microenvironment and pharmacogenomic landscape in gastric cancer.

Applications

Unspecified application

Species

Unspecified reactive species

Weiqi Kong,Zhiqiang Wang,Bingyi Wang

Frontiers in immunology 12:778329 PubMed34975867

2021

Colorectal Cancer-Associated Immune Exhaustion Involves T and B Lymphocytes and Conventional NK Cells and Correlates With a Shorter Overall Survival.

Applications

Unspecified application

Species

Unspecified reactive species

Carlo Sorrentino,Luigi D'Antonio,Cristiano Fieni,Stefania Livia Ciummo,Emma Di Carlo

Clinical and translational medicine : PubMed32628818

2020

Comprehensive analysis of 5-hydroxymethylcytosine in zw10 kinetochore protein as a promising biomarker for screening and diagnosis of early colorectal cancer.

Applications

Unspecified application

Species

Unspecified reactive species

Yanqi Dang,Dan Hu,Jingjuan Xu,Chunlin Li,Yingjue Tang,Zhenhua Yang,Yang Liu,Wenjun Zhou,Li Zhang,Hanchen Xu,Yangxian Xu,Guang Ji
View all publications

Product promise

We are committed to supporting your work with high-quality reagents, and we're here for you every step of the way. In the unlikely event that one of our products does not perform as expected, you're protected by our Product Promise.
For full details, please see our Terms & Conditions

Please note: All products are 'FOR RESEARCH USE ONLY. NOT FOR USE IN DIAGNOSTIC OR THERAPEUTIC PROCEDURES'.

For licensing inquiries, please contact partnerships@abcam.com