JavaScript is disabled in your browser. Please enable JavaScript to view this website.
AB232327

Anti-DPF2/REQ antibody [EPR9206(B)] - BSA and Azide free

Be the first to review this product! Submit a review

|

(1 Publication)

Rabbit Recombinant Monoclonal DPF2/REQ antibody. Carrier free. Suitable for IHC-P, IP, WB, ICC/IF and reacts with Human, Mouse, Rat samples. Cited in 1 publication.

View Alternative Names

BAF45D, REQ, UBID4, DPF2, Zinc finger protein ubi-d4, Apoptosis response zinc finger protein, BRG1-associated factor 45D, Protein requiem

9 Images
Immunocytochemistry/ Immunofluorescence - Anti-DPF2/REQ antibody [EPR9206(B)] - BSA and Azide free (AB232327)
  • ICC/IF

Lab

Immunocytochemistry/ Immunofluorescence - Anti-DPF2/REQ antibody [EPR9206(B)] - BSA and Azide free (AB232327)

Immunocytochemistry/ Immunofluorescence analysis of HeLa (Human epithelial cell line from cervix adenocarcinoma) cells labeling DPF2/REQ with purified ab134942 at 1/200 dilution (8.3μg/ml). Cells were fixed in 4% paraformaldehyde and permeabilized with 0.1% tritonX-100. Cells were counterstained with ab195889, an anti-alpha Tubulin antibody [DM1A] - Microtubule Marker (Alexa Fluor® 594) at 1/200 (2.5 μg/ml). ab150077, a Goat anti-rabbit IgG(Alexa Fluor® 488) was used as the secondary antibody at 1/1000 dilution. DAPI nuclear counterstain. PBS instead of the primary antibody was used as the secondary antibody only control.

This data was developed using the same antibody clone in a different buffer formulation containing PBS, BSA, glycerol, and sodium azide (ab134942).

Immunohistochemistry (Formalin/PFA-fixed paraffin-embedded sections) - Anti-DPF2/REQ antibody [EPR9206(B)] - BSA and Azide free (AB232327)
  • IHC-P

Lab

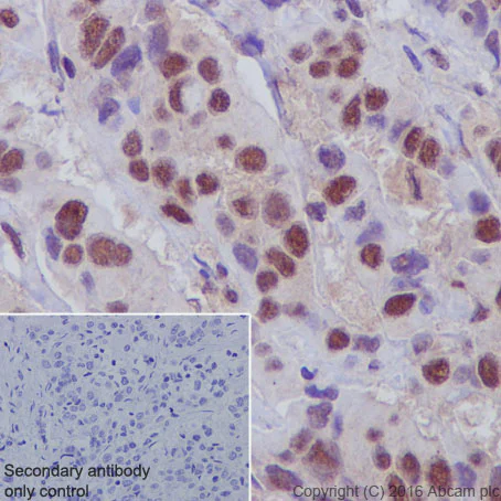
Immunohistochemistry (Formalin/PFA-fixed paraffin-embedded sections) - Anti-DPF2/REQ antibody [EPR9206(B)] - BSA and Azide free (AB232327)

Immunohistochemistry (Formalin/PFA-fixed paraffin-embedded sections) analysis of human breast carcinoma tissue sections labeling DPF2/REQ with purified ab134942 at 1/200 dilution (8.3 μg/ml). Heat mediated antigen retrieval was performed using EDTA Buffer, pH9. Tissue was counterstained with hematoxylin. ab97051, a Goat Anti-Rabbit IgG H&L (HRP) secondary antibody was used at 1/500 dilution. PBS instead of the primary antibody was used as the negative control.

This data was developed using the same antibody clone in a different buffer formulation containing PBS, BSA, glycerol, and sodium azide (ab134942).

Immunohistochemistry (Formalin/PFA-fixed paraffin-embedded sections) - Anti-DPF2/REQ antibody [EPR9206(B)] - BSA and Azide free (AB232327)
  • IHC-P

Unknown

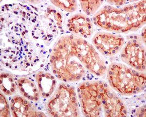
Immunohistochemistry (Formalin/PFA-fixed paraffin-embedded sections) - Anti-DPF2/REQ antibody [EPR9206(B)] - BSA and Azide free (AB232327)

Immunohistochemical analysis of paraffin-embedded, formalin-fixed Human kidney tissue, labelling DPF2/REQ using unpurified ab134942 at a 1/100 dilution.

This data was developed using the same antibody clone in a different buffer formulation containing PBS, BSA, glycerol, and sodium azide (ab134942).

Perform heat mediated antigen retrieval with citrate buffer pH 6 before commencing with IHC staining protocol.

Immunohistochemistry (Formalin/PFA-fixed paraffin-embedded sections) - Anti-DPF2/REQ antibody [EPR9206(B)] - BSA and Azide free (AB232327)
  • IHC-P

Lab

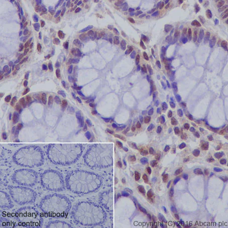
Immunohistochemistry (Formalin/PFA-fixed paraffin-embedded sections) - Anti-DPF2/REQ antibody [EPR9206(B)] - BSA and Azide free (AB232327)

Immunohistochemistry (Formalin/PFA-fixed paraffin-embedded sections) analysis of human colon tissue sections labeling DPF2/REQ with purified ab134942 at 1/200 dilution (8.3 μg/ml). Heat mediated antigen retrieval was performed using EDTA Buffer, pH9. Tissue was counterstained with hematoxylin. ab97051, a Goat Anti-Rabbit IgG H&L (HRP) secondary antibody was used at 1/500 dilution. PBS instead of the primary antibody was used as the negative control.

This data was developed using the same antibody clone in a different buffer formulation containing PBS, BSA, glycerol, and sodium azide (ab134942).

Immunoprecipitation - Anti-DPF2/REQ antibody [EPR9206(B)] - BSA and Azide free (AB232327)
  • IP

Lab

Immunoprecipitation - Anti-DPF2/REQ antibody [EPR9206(B)] - BSA and Azide free (AB232327)

ab134942 (purified) at 1/100 dilution (2μg) immunoprecipitating DPF2/REQ in HeLa (Human epithelial cell line from cervix adenocarcinoma) whole cell lysate.

Lane 1 (input) : HeLa (Human epithelial cell line from cervix adenocarcinoma) whole cell lysate 10ug
Lane 2 (+) : ab134942 + HeLa whole cell lysate
Lane 3 (-) : Rabbit monoclonal IgG (ab172730) instead of ab134942 in HeLa (Human epithelial cell line from cervix adenocarcinoma) whole cell lysate

For western blotting, VeriBlot for IP Detection Reagent (HRP) (ab131366), was used for detection at 1/1000 dilution.

Blocking and diluting buffer and concentration : 5% NFDM/TBST.

This data was developed using the same antibody clone in a different buffer formulation containing PBS, BSA, glycerol, and sodium azide (ab134942).

All lanes:

Immunoprecipitation - Anti-DPF2/REQ antibody [EPR9206(B)] (<a href='/en-us/products/primary-antibodies/dpf2-req-antibody-epr9206b-ab134942'>ab134942</a>)

Predicted band size: 44 kDa

Observed band size: 44 kDa

false

Immunohistochemistry (Formalin/PFA-fixed paraffin-embedded sections) - Anti-DPF2/REQ antibody [EPR9206(B)] - BSA and Azide free (AB232327)
  • IHC-P

Lab

Immunohistochemistry (Formalin/PFA-fixed paraffin-embedded sections) - Anti-DPF2/REQ antibody [EPR9206(B)] - BSA and Azide free (AB232327)

Immunohistochemistry (Formalin/PFA-fixed paraffin-embedded sections) analysis of mouse cerebral cortex tissue sections labeling DPF2/REQ with purified ab134942 at 1/200 dilution (8.3 μg/ml). Heat mediated antigen retrieval was performed using EDTA Buffer, pH9. Tissue was counterstained with hematoxylin. ab97051, a Goat Anti-Rabbit IgG H&L (HRP) secondary antibody was used at 1/500 dilution. PBS instead of the primary antibody was used as the negative control.

This data was developed using the same antibody clone in a different buffer formulation containing PBS, BSA, glycerol, and sodium azide (ab134942).

Immunohistochemistry (Formalin/PFA-fixed paraffin-embedded sections) - Anti-DPF2/REQ antibody [EPR9206(B)] - BSA and Azide free (AB232327)
  • IHC-P

Lab

Immunohistochemistry (Formalin/PFA-fixed paraffin-embedded sections) - Anti-DPF2/REQ antibody [EPR9206(B)] - BSA and Azide free (AB232327)

Immunohistochemistry (Formalin/PFA-fixed paraffin-embedded sections) analysis of rat cerebral cortex tissue sections labeling DPF2/REQ with purified ab134942 at 1/200 dilution (8.3 μg/ml). Heat mediated antigen retrieval was performed using EDTA Buffer, pH9. Tissue was counterstained with hematoxylin. ab97051, a Goat Anti-Rabbit IgG H&L (HRP) secondary antibody was used at 1/500 dilution. PBS instead of the primary antibody was used as the negative control.

This data was developed using the same antibody clone in a different buffer formulation containing PBS, BSA, glycerol, and sodium azide (ab134942).

Western blot - Anti-DPF2/REQ antibody [EPR9206(B)] - BSA and Azide free (AB232327)
  • WB

Lab

Western blot - Anti-DPF2/REQ antibody [EPR9206(B)] - BSA and Azide free (AB232327)

This data was developed using the same antibody clone in a different buffer formulation (ab134942).

Lanes 1 - 4 : Merged signal (red and green). Green - ab134942 observed at 50 kDa. Red - loading control, ab7291 (Mouse anti-Alpha Tubulin [DM1A]) observed at 55kDa.

ab134942 was shown to react with DPF2/REQ in wild-type A431 cells in western blot. Loss of signal was observed when DPF2 knockout sample was used. Wild-type and DPF2 knockout A431 cell lysates were subjected to SDS-PAGE. Membranes were blocked in 3% milk in TBS-T (0.1% Tween®) before incubation with ab134942 and ab7291 (Mouse anti-Alpha Tubulin [DM1A]) overnight at 4°C at a 1 in 1000 Dilution and a 1 in 20000 dilution respectively. Blots were incubated with Goat anti-Rabbit IgG H&L (IRDye® 800CW) preabsorbed (ab216773) and Goat anti-Mouse IgG H&L (IRDye® 680RD) preabsorbed (ab216776) secondary antibodies at 1 in 20000 dilution for 1 hour at room temperature before imaging.

All lanes:

Western blot - Anti-DPF2/REQ antibody [EPR9206(B)] (<a href='/en-us/products/primary-antibodies/dpf2-req-antibody-epr9206b-ab134942'>ab134942</a>) at 1/1000 dilution

Lane 1:

Wild-type A-431 (Human epidermoid carcinoma cell line) whole cell lysate at 20 µg

Lane 2:

DPF2 knockout A-431 (Human epidermoid carcinoma cell line) whole cell lysate at 20 µg

Lane 2:

Western blot - Human DPF2 knockout A-431 cell line (<a href='/en-us/products/cell-lines/human-dpf2-knockout-a-431-cell-line-ab270473'>ab270473</a>)

Lane 3:

HeLa (Human epithelial cell line from cervix adenocarcinoma) whole cell lysate at 20 µg

Lane 4:

LNCaP (Human prostate cancer cell line) whole cell lysate at 20 µg

Predicted band size: 44 kDa

Observed band size: 50 kDa

false

OI-RD Scanning - Anti-DPF2/REQ antibody [EPR9206(B)] - BSA and Azide free (AB232327)
  • OI-RD Scanning

Unknown

OI-RD Scanning - Anti-DPF2/REQ antibody [EPR9206(B)] - BSA and Azide free (AB232327)

We have systematically measured KD (the equilibrium dissociation constant between the antibody and its antigen), of more than 840 recombinant antibodies to assess not only their individual KD values but also to see the average affinity of antibody. Based on the comparison with published literature values for mouse monoclonal antibodies, Recombinant antibodies appear to be on average 1-2 order of magnitude higher affinity.

  • Unconjugated

    Anti-DPF2/REQ antibody [EPR9206(B)]

  • 617 Alexa Fluor® 594

    Alexa Fluor® 594 Anti-DPF2/REQ antibody [EPR9206(B)]

  • 660 APC

    APC Anti-DPF2/REQ antibody [EPR9206(B)]

  • 519 Alexa Fluor® 488

    Alexa Fluor® 488 Anti-DPF2/REQ antibody [EPR9206(B)]

  • 565 Alexa Fluor® 555

    Alexa Fluor® 555 Anti-DPF2/REQ antibody [EPR9206(B)]

  • 578 PE

    PE Anti-DPF2/REQ antibody [EPR9206(B)]

  • 665 Alexa Fluor® 647

    Alexa Fluor® 647 Anti-DPF2/REQ antibody [EPR9206(B)]

  • 775 Alexa Fluor® 750

    Alexa Fluor® 750 Anti-DPF2/REQ antibody [EPR9206(B)]

Key facts

Host species

Rabbit

Clonality

Monoclonal

Clone number

EPR9206(B)

Isotype

IgG

Carrier free

Yes

Reacts with

Mouse, Rat, Human

Applications

WB, ICC/IF, IP, IHC-P

applications

Immunogen

The exact immunogen used to generate this antibody is proprietary information.

Reactivity data

{ "title": "Reactivity Data", "filters": { "stats": ["", "Species", "Dilution Info", "Notes"], "tabs": { "all-applications": {"fullname" : "All Applications", "shortname": "All Applications"}, "IHCP" : {"fullname" : "Immunohistochemistry (Formalin/PFA-fixed paraffin-embedded sections)", "shortname":"IHC-P"}, "IP" : {"fullname" : "Immunoprecipitation", "shortname":"IP"}, "WB" : {"fullname" : "Western blot", "shortname":"WB"}, "ICCIF" : {"fullname" : "Immunocytochemistry/ Immunofluorescence", "shortname":"ICC/IF"} }, "product-promise": { "all": "all", "testedAndGuaranteed": "tested", "guaranteed": "expected", "predicted": "predicted", "notRecommended": "not-recommended" } }, "values": { "Human": { "IHCP-species-checked": "testedAndGuaranteed", "IHCP-species-dilution-info": "", "IHCP-species-notes": "<p></p>", "IP-species-checked": "testedAndGuaranteed", "IP-species-dilution-info": "", "IP-species-notes": "<p></p>", "WB-species-checked": "testedAndGuaranteed", "WB-species-dilution-info": "", "WB-species-notes": "<p></p>", "ICCIF-species-checked": "testedAndGuaranteed", "ICCIF-species-dilution-info": "", "ICCIF-species-notes": "<p></p>" }, "Mouse": { "IHCP-species-checked": "testedAndGuaranteed", "IHCP-species-dilution-info": "", "IHCP-species-notes": "<p></p>", "IP-species-checked": "guaranteed", "IP-species-dilution-info": "", "IP-species-notes": "", "WB-species-checked": "guaranteed", "WB-species-dilution-info": "", "WB-species-notes": "", "ICCIF-species-checked": "guaranteed", "ICCIF-species-dilution-info": "", "ICCIF-species-notes": "" }, "Rat": { "IHCP-species-checked": "testedAndGuaranteed", "IHCP-species-dilution-info": "", "IHCP-species-notes": "<p></p>", "IP-species-checked": "guaranteed", "IP-species-dilution-info": "", "IP-species-notes": "", "WB-species-checked": "guaranteed", "WB-species-dilution-info": "", "WB-species-notes": "", "ICCIF-species-checked": "guaranteed", "ICCIF-species-dilution-info": "", "ICCIF-species-notes": "" } } }

Product details

ab232327 is the carrier-free version of ab134942.

Patented technology
Our RabMAb® technology is a patented hybridoma-based technology for making rabbit monoclonal antibodies. For details on our patents, please refer to RabMAb® patents.

What are the advantages of a recombinant monoclonal antibody?
This product is a recombinant monoclonal antibody, which offers several advantages including:

  • - High batch-to-batch consistency and reproducibility
  • - Improved sensitivity and specificity
  • - Long-term security of supply
  • - Animal-free batch production

For more information, read more on recombinant antibodies.

Conjugation ready
Our carrier-free antibodies are typically supplied in a PBS-only formulation, purified and free of BSA, sodium azide and glycerol. This conjugation-ready format is designed for use with fluorochromes, metal isotopes, oligonucleotides, and enzymes, which makes them ideal for antibody labelling, functional and cell-based assays, flow-based assays (e.g. mass cytometry) and Multiplex Imaging applications.

Use our conjugation kits for antibody conjugates that are ready-to-use in as little as 20 minutes with 1 minute hands-on-time and 100% antibody recovery: available for fluorescent dyes, HRP, biotin and gold.

Compatibility
This product is compatible with the Maxpar® Antibody Labeling Kit from Fluidigm, without the need for antibody preparation. Maxpar® is a trademark of Fluidigm Canada Inc.

Properties and storage information

Form
Liquid
Purification technique
Affinity purification Protein A
Storage buffer
pH: 7.2 - 7.4 Constituents: PBS
Shipped at conditions
Blue Ice
Appropriate short-term storage conditions
+4°C
Appropriate long-term storage conditions
+4°C
Storage information
Do Not Freeze

Supplementary information

This supplementary information is collated from multiple sources and compiled automatically.

DPF2 also known as REQ is a protein that plays a role in chromatin remodeling an important process in gene expression regulation. The molecular weight of DPF2 is approximately 48 kDa. This protein is ubiquitously expressed in various tissues indicating its broad functional roles across different cell types. DPF2 participates actively in the modification of chromatin structure facilitating accessibility of DNA for transcription factors and other regulatory proteins.
Biological function summary

DPF2 acts as a component of the BAF complex which is a multi-subunit chromatin remodeling complex. The BAF complex modifies the structure of chromatin to regulate gene transcription affecting gene expression outcomes. DPF2 helps recruit other important proteins to the BAF complex contributing to the control of gene transcription dynamics during cell differentiation and development. Its function is essential in maintaining proper chromatin state which is important for cellular identity and function.

Pathways

DPF2 interacts significantly within the Wnt and Notch signaling pathways. In the Wnt pathway DPF2 contributes to the regulation of genes involved in cell proliferation differentiation and apoptosis. This protein also interfaces with related pathways by influencing the activity of other proteins such as beta-catenin in the Wnt pathway. In the Notch signaling pathway DPF2 modulates gene expression by affecting chromatin structure which influences cellular processes like proliferation and differentiation.

DPF2 has correlations with leukemia and other cancers. Abnormal expression or mutations of DPF2 possibly affect the balance of chromatin remodeling leading to misregulation of genes that control cell growth and survival. This protein potentially interacts with proteins such as MLL found in mixed lineage leukemia linking DPF2 to pathways that when dysregulated result in oncogenic transformation. Understanding DPF2's role in these disorders might offer novel therapeutic targets or diagnostic markers in oncology.

Product protocols

For this product, it's our understanding that no specific protocols are required. You can visit:

Target data

Plays an active role in transcriptional regulation by binding modified histones H3 and H4 (PubMed : 27775714, PubMed : 28533407). Is a negative regulator of myeloid differentiation of hematopoietic progenitor cells (PubMed : 28533407). Might also have a role in the development and maturation of lymphoid cells (By similarity). Involved in the regulation of non-canonical NF-kappa-B pathway (PubMed : 20460684).
See full target information DPF2

Publications (1)

Recent publications for all applications. Explore the full list and refine your search

Journal of diabetes research 2024:6942156 PubMed38282657

2024

Huaju Xiaoji Formula Regulates ERS-lncMGC/miRNA to Enhance the Renal Function of Hypertensive Diabetic Mice with Nephropathy.

Applications

Unspecified application

Species

Unspecified reactive species

Zeng Zhang,Xiaodong Fu,Fengzhu Zhou,Duanchun Zhang,Yanqiu Xu,Zhaohua Fan,Shimei Wen,Yanting Shao,Zheng Yao,Yanming He
View all publications

Product promise

We are committed to supporting your work with high-quality reagents, and we're here for you every step of the way. In the unlikely event that one of our products does not perform as expected, you're protected by our Product Promise.
For full details, please see our Terms & Conditions

Please note: All products are 'FOR RESEARCH USE ONLY. NOT FOR USE IN DIAGNOSTIC OR THERAPEUTIC PROCEDURES'.

For licensing inquiries, please contact partnerships@abcam.com