JavaScript is disabled in your browser. Please enable JavaScript to view this website.
AB236604

Anti-DPM1 antibody

Be the first to review this product! Submit a review

|

(1 Publication)

Rabbit Polyclonal DPM1 antibody. Suitable for WB, IHC-P, ICC/IF and reacts with Mouse, Human samples. Cited in 1 publication. Immunogen corresponding to Recombinant Full Length Protein corresponding to Human DPM1.

View Alternative Names

Dolichol-phosphate mannosyltransferase subunit 1, Dolichol-phosphate mannose synthase subunit 1, Dolichyl-phosphate beta-D-mannosyltransferase subunit 1, Mannose-P-dolichol synthase subunit 1, DPM synthase subunit 1, MPD synthase subunit 1, DPM1

4 Images
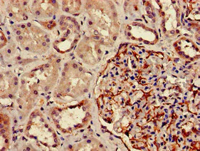
Immunohistochemistry (Formalin/PFA-fixed paraffin-embedded sections) - Anti-DPM1 antibody (AB236604)
  • IHC-P

Supplier Data

Immunohistochemistry (Formalin/PFA-fixed paraffin-embedded sections) - Anti-DPM1 antibody (AB236604)

Paraffin-embedded human kidney tissue stained for DPM1 using ab236604 at 1/100 dilution in immunohistochemical analysis.

Immunocytochemistry/ Immunofluorescence - Anti-DPM1 antibody (AB236604)
  • ICC/IF

Supplier Data

Immunocytochemistry/ Immunofluorescence - Anti-DPM1 antibody (AB236604)

HepG2 (human liver hepatocellular carcinoma cell line) cells stained for DPM1 (green) using ab236604 at 1/100 dilution in ICC/IF. Secondary antibody is Alexa Fluor® 488-conjugated Goat Anti-Rabbit IgG (H+L).

Western blot - Anti-DPM1 antibody (AB236604)
  • WB

Supplier Data

Western blot - Anti-DPM1 antibody (AB236604)

All lanes:

Western blot - Anti-DPM1 antibody (ab236604) at 1/500 dilution

All lanes:

Mouse lung lysate

Secondary

All lanes:

Goat polyclonal to rabbit IgG at 1/50000 dilution

Predicted band size: 29 kDa

false

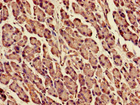
Immunohistochemistry (Formalin/PFA-fixed paraffin-embedded sections) - Anti-DPM1 antibody (AB236604)
  • IHC-P

Supplier Data

Immunohistochemistry (Formalin/PFA-fixed paraffin-embedded sections) - Anti-DPM1 antibody (AB236604)

Paraffin-embedded human pancreas tissue stained for DPM1 using ab236604 at 1/100 dilution in immunohistochemical analysis.

Key facts

Host species

Rabbit

Clonality

Polyclonal

Isotype

IgG

Carrier free

No

Reacts with

Mouse, Human

Applications

IHC-P, WB, ICC/IF

applications

Immunogen

Recombinant Full Length Protein corresponding to Human DPM1.

O60762

Reactivity data

{ "title": "Reactivity Data", "filters": { "stats": ["", "Species", "Dilution Info", "Notes"], "tabs": { "all-applications": {"fullname" : "All Applications", "shortname": "All Applications"}, "WB" : {"fullname" : "Western blot", "shortname":"WB"}, "IHCP" : {"fullname" : "Immunohistochemistry (Formalin/PFA-fixed paraffin-embedded sections)", "shortname":"IHC-P"}, "ICCIF" : {"fullname" : "Immunocytochemistry/ Immunofluorescence", "shortname":"ICC/IF"} }, "product-promise": { "all": "all", "testedAndGuaranteed": "tested", "guaranteed": "expected", "predicted": "predicted", "notRecommended": "not-recommended" } }, "values": { "Human": { "WB-species-checked": "guaranteed", "WB-species-dilution-info": "", "WB-species-notes": "", "IHCP-species-checked": "testedAndGuaranteed", "IHCP-species-dilution-info": "1/20 - 1/200", "IHCP-species-notes": "<p></p>", "ICCIF-species-checked": "testedAndGuaranteed", "ICCIF-species-dilution-info": "1/50 - 1/200", "ICCIF-species-notes": "<p></p>" }, "Mouse": { "WB-species-checked": "testedAndGuaranteed", "WB-species-dilution-info": "1/500 - 1/5000", "WB-species-notes": "<p></p>", "IHCP-species-checked": "guaranteed", "IHCP-species-dilution-info": "", "IHCP-species-notes": "", "ICCIF-species-checked": "guaranteed", "ICCIF-species-dilution-info": "", "ICCIF-species-notes": "" }, "Cow": { "WB-species-checked": "predicted", "WB-species-dilution-info": "", "WB-species-notes": "", "IHCP-species-checked": "predicted", "IHCP-species-dilution-info": "", "IHCP-species-notes": "", "ICCIF-species-checked": "predicted", "ICCIF-species-dilution-info": "", "ICCIF-species-notes": "" }, "Pig": { "WB-species-checked": "predicted", "WB-species-dilution-info": "", "WB-species-notes": "", "IHCP-species-checked": "predicted", "IHCP-species-dilution-info": "", "IHCP-species-notes": "", "ICCIF-species-checked": "predicted", "ICCIF-species-dilution-info": "", "ICCIF-species-notes": "" } } }

Properties and storage information

Form
Liquid
Purification technique
Affinity purification Protein G
Purification notes
Purity >95%.
Storage buffer
pH: 7.4 Preservative: 0.03% Proclin 300 Constituents: PBS, 50% Glycerol (glycerin, glycerine)
Shipped at conditions
Blue Ice
Appropriate short-term storage duration
1-2 weeks
Appropriate short-term storage conditions
+4°C
Appropriate long-term storage conditions
-20°C
Aliquoting information
Upon delivery aliquot
Storage information
Avoid freeze / thaw cycle

Supplementary information

This supplementary information is collated from multiple sources and compiled automatically.

DPM1 also known as dolichyl-phosphate beta-D-mannosyltransferase subunit 1 is an important component of the dolichol-phosphate mannose synthase complex. It has a molecular mass of approximately 29 kDa. DPM1 is localized in the endoplasmic reticulum membrane where it plays a significant role in the synthesis of glycosylphosphatidylinositol (GPI) anchors and protein glycosylation.
Biological function summary

This protein is essential in transferring mannose from GDP-mannose to dolichol phosphate a reaction that synthesizes dolichol-phosphate mannose (DPM). DPM is an important donor substrate in the glycan assembly pathways. DPM1 does not have a transmembrane domain unlike other components of the DPM synthase complex. Association with other complex subunits like DPM2 and DPM3 stabilize its structure and function within the cell ensuring glycosylation processes proceed correctly.

Pathways

Glycosylation is one of the fundamental pathways DPM1 participates in. Its role in glycosylation links it to the protein N-glycosylation pathway and GPI anchor biosynthesis pathway. DPM1 interacts with proteins such as DPM2 in the synthase complex to facilitate the conversion process necessary for glycosylation of proteins and lipids impacting various cellular processes like cell-cell adhesion and protein folding.

DPM1 molecule relates to congenital disorders of glycosylation (CDG) particularly CDG-Ie. Mutations in the gene encoding DPM1 can disrupt enzymatic activity leading to issues in glycosylation which manifest in multisystem disorders. The connection of DPM1 to these disorders often involves deficiencies in dolichol-phosphate mannose production. Similarly defects in associated proteins like DPM2 can compound the glycosylation defects exacerbating disease symptoms.

Product protocols

For this product, it's our understanding that no specific protocols are required. You can visit:

Target data

Transfers mannose from GDP-mannose to dolichol monophosphate to form dolichol phosphate mannose (Dol-P-Man) which is the mannosyl donor in pathways leading to N-glycosylation, glycosyl phosphatidylinositol membrane anchoring, and O-mannosylation of proteins; catalytic subunit of the dolichol-phosphate mannose (DPM) synthase complex.
See full target information DPM1

Publications (1)

Recent publications for all applications. Explore the full list and refine your search

International journal of molecular sciences 24: PubMed37373386

2023

Hif1α/Dhrs3a Pathway Participates in Lipid Droplet Accumulation via Retinol and Ppar-γ in Fish Hepatocytes.

Applications

Unspecified application

Species

Unspecified reactive species

Jingjing Tian,Yihui Du,Binbin Wang,Mengmeng Ji,Hongyan Li,Yun Xia,Kai Zhang,Zhifei Li,Wenping Xie,Wangbao Gong,Ermeng Yu,Guangjun Wang,Jun Xie
View all publications

Product promise

We are committed to supporting your work with high-quality reagents, and we're here for you every step of the way. In the unlikely event that one of our products does not perform as expected, you're protected by our Product Promise.
For full details, please see our Terms & Conditions

Please note: All products are 'FOR RESEARCH USE ONLY. NOT FOR USE IN DIAGNOSTIC OR THERAPEUTIC PROCEDURES'.

For licensing inquiries, please contact partnerships@abcam.com