JavaScript is disabled in your browser. Please enable JavaScript to view this website.
AB97437

Anti-DPP3 antibody

4

(1 Review)

|

(1 Publication)

Rabbit Polyclonal DPP3 antibody. Suitable for WB, IHC-P, ICC/IF and reacts with Human samples. Cited in 1 publication. Immunogen corresponding to Synthetic Peptide within Human DPP3 aa 100-450.

View Alternative Names

Dipeptidyl peptidase 3, Dipeptidyl aminopeptidase III, Dipeptidyl arylamidase III, Dipeptidyl peptidase III, Enkephalinase B, DPP III, DPP3

3 Images
Immunocytochemistry/ Immunofluorescence - Anti-DPP3 antibody (AB97437)
  • ICC/IF

Unknown

Immunocytochemistry/ Immunofluorescence - Anti-DPP3 antibody (AB97437)

Top : immunofluorescence analysis of paraformaldehyde-fixed HeLa cells, using ab97437 at 1/200 dilution. Bottom : image merged with DNA probe.

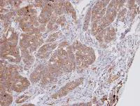
Immunohistochemistry (Formalin/PFA-fixed paraffin-embedded sections) - Anti-DPP3 antibody (AB97437)
  • IHC-P

Unknown

Immunohistochemistry (Formalin/PFA-fixed paraffin-embedded sections) - Anti-DPP3 antibody (AB97437)

Immunohistochemical analysis of paraffin-embedded AGS xenograft, using ab97437 at 1/100 dilution.

Western blot - Anti-DPP3 antibody (AB97437)
  • WB

Unknown

Western blot - Anti-DPP3 antibody (AB97437)

All lanes:

Western blot - Anti-DPP3 antibody (ab97437) at 1/1000 dilution

All lanes:

MOLT4 whole cell lysate at 30 µg

Predicted band size: 83 kDa,91 kDa,96 kDa

false

Key facts

Host species

Rabbit

Clonality

Polyclonal

Isotype

IgG

Carrier free

No

Reacts with

Human

Applications

ICC/IF, WB, IHC-P

applications

Immunogen

Synthetic Peptide within Human DPP3 aa 100-450. The exact immunogen used to generate this antibody is proprietary information.

Q9NY33

Reactivity data

{ "title": "Reactivity Data", "filters": { "stats": ["", "Species", "Dilution Info", "Notes"], "tabs": { "all-applications": {"fullname" : "All Applications", "shortname": "All Applications"}, "WB" : {"fullname" : "Western blot", "shortname":"WB"}, "IHCP" : {"fullname" : "Immunohistochemistry (Formalin/PFA-fixed paraffin-embedded sections)", "shortname":"IHC-P"}, "ICCIF" : {"fullname" : "Immunocytochemistry/ Immunofluorescence", "shortname":"ICC/IF"} }, "product-promise": { "all": "all", "testedAndGuaranteed": "tested", "guaranteed": "expected", "predicted": "predicted", "notRecommended": "not-recommended" } }, "values": { "Human": { "WB-species-checked": "testedAndGuaranteed", "WB-species-dilution-info": "1/500 - 1/3000", "WB-species-notes": "<p></p>", "IHCP-species-checked": "testedAndGuaranteed", "IHCP-species-dilution-info": "1/100 - 1/250", "IHCP-species-notes": "<p></p>", "ICCIF-species-checked": "testedAndGuaranteed", "ICCIF-species-dilution-info": "1/100 - 1/200", "ICCIF-species-notes": "<p></p>" }, "Mouse": { "WB-species-checked": "predicted", "WB-species-dilution-info": "", "WB-species-notes": "", "IHCP-species-checked": "predicted", "IHCP-species-dilution-info": "", "IHCP-species-notes": "", "ICCIF-species-checked": "predicted", "ICCIF-species-dilution-info": "", "ICCIF-species-notes": "" }, "Rat": { "WB-species-checked": "predicted", "WB-species-dilution-info": "", "WB-species-notes": "", "IHCP-species-checked": "predicted", "IHCP-species-dilution-info": "", "IHCP-species-notes": "", "ICCIF-species-checked": "predicted", "ICCIF-species-dilution-info": "", "ICCIF-species-notes": "" }, "Cow": { "WB-species-checked": "predicted", "WB-species-dilution-info": "", "WB-species-notes": "", "IHCP-species-checked": "predicted", "IHCP-species-dilution-info": "", "IHCP-species-notes": "", "ICCIF-species-checked": "predicted", "ICCIF-species-dilution-info": "", "ICCIF-species-notes": "" } } }

Properties and storage information

Form
Liquid
Purification technique
Affinity purification Immunogen
Storage buffer
pH: 7 Preservative: 0.01% Thimerosal (merthiolate) Constituents: 10% Glycerol (glycerin, glycerine), 1.21% Tris, 0.75% Glycine
Shipped at conditions
Blue Ice
Appropriate short-term storage conditions
+4°C
Appropriate long-term storage conditions
-20°C
Aliquoting information
Upon delivery aliquot
Storage information
Avoid freeze / thaw cycle

Supplementary information

This supplementary information is collated from multiple sources and compiled automatically.

The protein DPP3 short for Dipeptidyl Peptidase 3 is an enzyme with a mass of approximately 82 kDa. It belongs to the M49 family of metallopeptidases and is widely expressed in human tissues including kidney heart liver and brain. This enzyme has the function of cleaving dipeptides from the N-terminus of polypeptides. Alternative names for DPP3 include DPP III and dipeptidyl peptidase III. By breaking down peptides DPP3 plays an important role in proteolysis.
Biological function summary

DPP3 influences several physiological processes. It is reported to participate in the degradation of enkephalins which are neuropeptides involved in regulating pain. DPP3 does not form part of a larger complex but operates independently within cells to execute its functions. By degrading its substrates DPP3 helps modulate peptide signaling pathways and maintain cellular homeostasis.

Pathways

DPP3 has significant involvement in the enkephalin degradation pathway which is essential in pain modulation and stress responses. It also plays a part in the ubiquitin-proteasome pathway facilitating the degradation of damaged or misfolded proteins. DPP3 interacts with proteins such as the ubiquitin-conjugating enzyme influencing protein turnover processes.

DPP3 links closely to cardiovascular diseases and cancer. Elevated levels of DPP3 are observed in heart failure where it may disrupt normal peptide balance and contribute to disease progression. Additionally its relationship with proteins such as angiotensin-converting enzyme (ACE) may affect blood pressure regulation. In certain cancers DPP3 expression changes can influence tumor growth by altering peptide-mediated signaling pathways with its interactions suggesting potential as a therapeutic target.

Product protocols

For this product, it's our understanding that no specific protocols are required. You can visit:

Target data

Cleaves and degrades bioactive peptides, including angiotensin, Leu-enkephalin and Met-enkephalin (PubMed : 1515063, PubMed : 3233187). Also cleaves Arg-Arg-beta-naphthylamide (in vitro) (PubMed : 11209758, PubMed : 3233187, PubMed : 9425109).
See full target information DPP3

Publications (1)

Recent publications for all applications. Explore the full list and refine your search

Cancer research 74:808-17 PubMed24322982

2013

Cancer-derived mutations in KEAP1 impair NRF2 degradation but not ubiquitination.

Applications

Unspecified application

Species

Human

Bridgid E Hast,Erica W Cloer,Dennis Goldfarb,Heng Li,Priscila F Siesser,Feng Yan,Vonn Walter,Ning Zheng,D Neil Hayes,Michael B Major
View all publications

Product promise

We are committed to supporting your work with high-quality reagents, and we're here for you every step of the way. In the unlikely event that one of our products does not perform as expected, you're protected by our Product Promise.
For full details, please see our Terms & Conditions

Please note: All products are 'FOR RESEARCH USE ONLY. NOT FOR USE IN DIAGNOSTIC OR THERAPEUTIC PROCEDURES'.

For licensing inquiries, please contact partnerships@abcam.com