JavaScript is disabled in your browser. Please enable JavaScript to view this website.
AB248606

Anti-DPP3 antibody [EPR9020(B)] - BSA and Azide free

Be the first to review this product! Submit a review

|

(0 Publication)

Rabbit Recombinant Monoclonal DPP3 antibody. Carrier free. Suitable for WB and reacts with Human samples.

View Alternative Names

Dipeptidyl peptidase 3, Dipeptidyl aminopeptidase III, Dipeptidyl arylamidase III, Dipeptidyl peptidase III, Enkephalinase B, DPP III, DPP3

2 Images
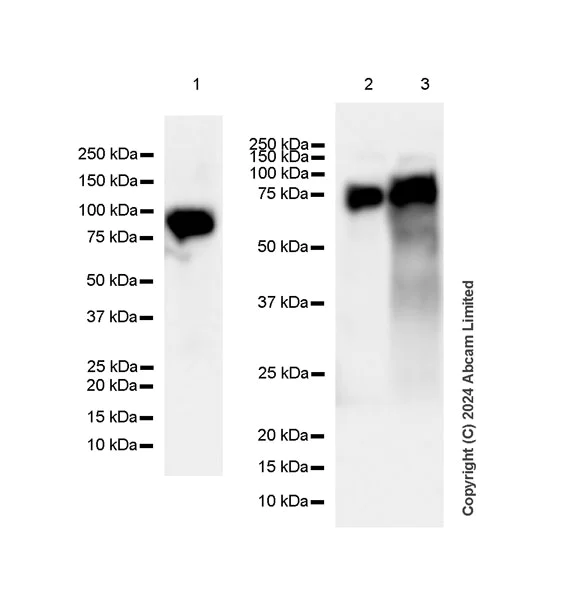
Western blot - Anti-DPP3 antibody [EPR9020(B)] - BSA and Azide free (AB248606)
  • WB

Lab

Western blot - Anti-DPP3 antibody [EPR9020(B)] - BSA and Azide free (AB248606)

Blocking and diluting buffer concentrations : 5% NFDM/TBST.

Exposure time : Lane 1 : 8 seconds, Lanes 2-3 : 6 seconds.

In lane 1, to minimize protein degradation, cells were lysed immediately after harvest and then applied to a gel and transfer membrane for Western blotting as soon as possible.

This data was developed using ab133671, the same antibody clone in a different buffer formulation.

All lanes:

Western blot - Anti-DPP3 antibody [EPR9020(B)] (<a href='/en-us/products/primary-antibodies/dpp3-antibody-epr9020b-ab133671'>ab133671</a>) at 1/1000 dilution

Lane 1:

THP-1 (human monocytic leukemia monocyte) whole cell lysate at 20 µg

Lane 2:

U-937 (human histiocytic lymphoma monocyte) whole cell lysate at 20 µg

Lane 3:

HCT 116 (human colorectal carcinoma epithelial cell) whole cell lysate at 40 µg

Secondary

All lanes:

Goat Anti-Rabbit IgG (HRP) with minimal cross-reactivity with human IgG at 1/2000 dilution

Predicted band size: 83 kDa

Observed band size: 82 kDa

false

Western blot - Anti-DPP3 antibody [EPR9020(B)] - BSA and Azide free (AB248606)
  • WB

Unknown

Western blot - Anti-DPP3 antibody [EPR9020(B)] - BSA and Azide free (AB248606)

This data was developed using ab133671, the same antibody clone in a different buffer formulation.

All lanes:

Western blot - Anti-DPP3 antibody [EPR9020(B)] - BSA and Azide free (ab248606) at 1/10000 dilution

Lane 1:

Human fetal liver lysate at 10 µg

Lane 2:

HeLa cell lysate at 10 µg

Lane 3:

293T cell lysate at 10 µg

Lane 4:

U87 MG cell lysate at 10 µg

Secondary

All lanes:

Goat anti-rabbit HRP conjugated antibody at 1/2000 dilution

Predicted band size: 83 kDa

false

Key facts

Host species

Rabbit

Clonality

Monoclonal

Clone number

EPR9020(B)

Isotype

IgG

Carrier free

Yes

Reacts with

Human

Applications

WB

applications

Immunogen

The exact immunogen used to generate this antibody is proprietary information.

Reactivity data

{ "title": "Reactivity Data", "filters": { "stats": ["", "Species", "Dilution Info", "Notes"], "tabs": { "all-applications": {"fullname" : "All Applications", "shortname": "All Applications"}, "IP" : {"fullname" : "Immunoprecipitation", "shortname":"IP"}, "WB" : {"fullname" : "Western blot", "shortname":"WB"}, "IHCP" : {"fullname" : "Immunohistochemistry (Formalin/PFA-fixed paraffin-embedded sections)", "shortname":"IHC-P"}, "ICCIF" : {"fullname" : "Immunocytochemistry/ Immunofluorescence", "shortname":"ICC/IF"}, "FlowCytIntra" : {"fullname" : "Flow Cytometry (Intracellular)", "shortname":"Flow Cyt (Intra)"} }, "product-promise": { "all": "all", "testedAndGuaranteed": "tested", "guaranteed": "expected", "predicted": "predicted", "notRecommended": "not-recommended" } }, "values": { "Human": { "IP-species-checked": "notRecommended", "IP-species-dilution-info": "", "IP-species-notes": "<p></p>", "WB-species-checked": "testedAndGuaranteed", "WB-species-dilution-info": "", "WB-species-notes": "<p></p>", "IHCP-species-checked": "notRecommended", "IHCP-species-dilution-info": "", "IHCP-species-notes": "<p></p>", "ICCIF-species-checked": "notRecommended", "ICCIF-species-dilution-info": "", "ICCIF-species-notes": "<p></p>", "FlowCytIntra-species-checked": "notRecommended", "FlowCytIntra-species-dilution-info": "", "FlowCytIntra-species-notes": "<p></p>" } } }

Product details

ab248606 is the carrier-free version of ab133671.

Species reactivity
Mouse, Rat: We have preliminary internal testing data to indicate this antibody may not react with these species.
Please contact us for more information.

Patented technology
Our RabMAb® technology is a patented hybridoma-based technology for making rabbit monoclonal antibodies. For details on our patents, please refer to RabMAb® patents.

What are the advantages of a recombinant monoclonal antibody?
This product is a recombinant monoclonal antibody, which offers several advantages including:

  • - High batch-to-batch consistency and reproducibility
  • - Improved sensitivity and specificity
  • - Long-term security of supply
  • - Animal-free batch production

For more information, read more on recombinant antibodies.

Conjugation ready
Our carrier-free antibodies are typically supplied in a PBS-only formulation, purified and free of BSA, sodium azide and glycerol. This conjugation-ready format is designed for use with fluorochromes, metal isotopes, oligonucleotides, and enzymes, which makes them ideal for antibody labelling, functional and cell-based assays, flow-based assays (e.g. mass cytometry) and Multiplex Imaging applications.

Use our conjugation kits for antibody conjugates that are ready-to-use in as little as 20 minutes with 1 minute hands-on-time and 100% antibody recovery: available for fluorescent dyes, HRP, biotin and gold.

Compatibility
This product is compatible with the Maxpar® Antibody Labeling Kit from Fluidigm, without the need for antibody preparation. Maxpar® is a trademark of Fluidigm Canada Inc.

Properties and storage information

Form
Liquid
Purification technique
Affinity purification
Storage buffer
pH: 7.2 - 7.4 Constituents: PBS
Shipped at conditions
Blue Ice
Appropriate short-term storage conditions
+4°C
Appropriate long-term storage conditions
+4°C
Storage information
Do Not Freeze

Supplementary information

This supplementary information is collated from multiple sources and compiled automatically.

The protein DPP3 short for Dipeptidyl Peptidase 3 is an enzyme with a mass of approximately 82 kDa. It belongs to the M49 family of metallopeptidases and is widely expressed in human tissues including kidney heart liver and brain. This enzyme has the function of cleaving dipeptides from the N-terminus of polypeptides. Alternative names for DPP3 include DPP III and dipeptidyl peptidase III. By breaking down peptides DPP3 plays an important role in proteolysis.
Biological function summary

DPP3 influences several physiological processes. It is reported to participate in the degradation of enkephalins which are neuropeptides involved in regulating pain. DPP3 does not form part of a larger complex but operates independently within cells to execute its functions. By degrading its substrates DPP3 helps modulate peptide signaling pathways and maintain cellular homeostasis.

Pathways

DPP3 has significant involvement in the enkephalin degradation pathway which is essential in pain modulation and stress responses. It also plays a part in the ubiquitin-proteasome pathway facilitating the degradation of damaged or misfolded proteins. DPP3 interacts with proteins such as the ubiquitin-conjugating enzyme influencing protein turnover processes.

DPP3 links closely to cardiovascular diseases and cancer. Elevated levels of DPP3 are observed in heart failure where it may disrupt normal peptide balance and contribute to disease progression. Additionally its relationship with proteins such as angiotensin-converting enzyme (ACE) may affect blood pressure regulation. In certain cancers DPP3 expression changes can influence tumor growth by altering peptide-mediated signaling pathways with its interactions suggesting potential as a therapeutic target.

Product protocols

For this product, it's our understanding that no specific protocols are required. You can visit:

Target data

Cleaves and degrades bioactive peptides, including angiotensin, Leu-enkephalin and Met-enkephalin (PubMed : 1515063, PubMed : 3233187). Also cleaves Arg-Arg-beta-naphthylamide (in vitro) (PubMed : 11209758, PubMed : 3233187, PubMed : 9425109).
See full target information DPP3

Product promise

We are committed to supporting your work with high-quality reagents, and we're here for you every step of the way. In the unlikely event that one of our products does not perform as expected, you're protected by our Product Promise.
For full details, please see our Terms & Conditions

Please note: All products are 'FOR RESEARCH USE ONLY. NOT FOR USE IN DIAGNOSTIC OR THERAPEUTIC PROCEDURES'.

For licensing inquiries, please contact partnerships@abcam.com