JavaScript is disabled in your browser. Please enable JavaScript to view this website.
AB232221

Anti-DPP4 antibody [EPR18215] - BSA and Azide free

Be the first to review this product! Submit a review

|

(1 Publication)

Rabbit Recombinant Monoclonal DPP4 antibody. Carrier free. Suitable for WB, IHC-Fr, IHC-P and reacts with Mouse, Rat samples. Cited in 1 publication.

View Alternative Names

CD26, Cd26, Dpp4, Dipeptidyl peptidase 4, Dipeptidyl peptidase IV, T-cell activation antigen CD26, Thymocyte-activating molecule, DPP IV, THAM

4 Images
Immunohistochemistry (Formalin/PFA-fixed paraffin-embedded sections) - Anti-DPP4 antibody [EPR18215] - BSA and Azide free (AB232221)
  • IHC-P

Supplier Data

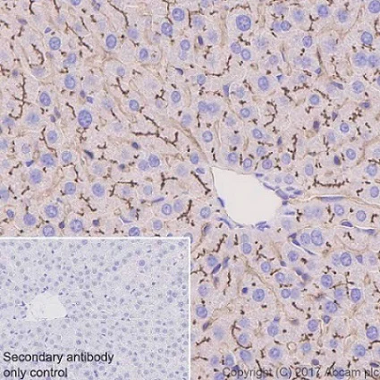
Immunohistochemistry (Formalin/PFA-fixed paraffin-embedded sections) - Anti-DPP4 antibody [EPR18215] - BSA and Azide free (AB232221)

Immunohistochemical analysis of paraffin-embedded rat liver tissue labeling CD26 with ab187048 at 1/2000 dilution, followed by Goat Anti-Rabbit IgG H&L (HRP) Ready to use. Membranous staining on bile canaliculi of rat liver is observed (PMID : 23361237). Counter stained with hematoxylin.
Secondary antibody only control : Used PBS instead of primary antibody, secondary antibody is Goat Anti-Rabbit IgG H&L (HRP) Ready to use.

Perform heat mediated antigen retrieval using ab93684 (Tris/EDTA buffer, pH 9.0).

This data was developed using the same antibody clone in a different buffer formulation containing PBS, BSA, glycerol, and sodium azide (ab187048).

Immunohistochemistry (Formalin/PFA-fixed paraffin-embedded sections) - Anti-DPP4 antibody [EPR18215] - BSA and Azide free (AB232221)
  • IHC-P

Supplier Data

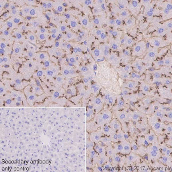
Immunohistochemistry (Formalin/PFA-fixed paraffin-embedded sections) - Anti-DPP4 antibody [EPR18215] - BSA and Azide free (AB232221)

Immunohistochemical analysis of paraffin-embedded mouse liver tissue labeling CD26 with ab187048 at 1/2000 dilution, followed by Goat Anti-Rabbit IgG H&L (HRP) Ready to use. Membranous staining on bile canaliculi of mouse liver is observed (PMID : 23361237). Counter stained with hematoxylin.
Secondary antibody only control : Used PBS instead of primary antibody, secondary antibody is Goat Anti-Rabbit IgG H&L (HRP) Ready to use.

Perform heat mediated antigen retrieval using ab93684 (Tris/EDTA buffer, pH 9.0).

This data was developed using the same antibody clone in a different buffer formulation containing PBS, BSA, glycerol, and sodium azide (ab187048).

Immunohistochemistry (Frozen sections) - Anti-DPP4 antibody [EPR18215] - BSA and Azide free (AB232221)
  • IHC-Fr

Supplier Data

Immunohistochemistry (Frozen sections) - Anti-DPP4 antibody [EPR18215] - BSA and Azide free (AB232221)

Immunohistochemical analysis of 4% PFA-fixed, 0.2 % Triton X-100 permeabilized rat liver tissue labeling CD26 with ab187048 at 1/200 dilution, followed by Goat Anti-Rabbit IgG H&L (Alexa Fluor® 488) (ab150077) at 1/1000 dilution (green). Strong positive staining on the bile canaliculi and moderate positive staining in sinusoid endothelial cells is observed (PMID : 23361237). The nuclear counter stain is DAPI (blue)
Secondary antibody only control : Used PBS instead of primary antibody, secondary antibody is Goat Anti-Rabbit IgG H&L (Alexa Fluor® 488) (ab150077) at 1/1000 dilution.

Antigen retrieval : Heated Tris-EDTA (pH9.0) (ab94681).

This data was developed using the same antibody clone in a different buffer formulation containing PBS, BSA, glycerol, and sodium azide (ab187048).

Immunohistochemistry (Frozen sections) - Anti-DPP4 antibody [EPR18215] - BSA and Azide free (AB232221)
  • IHC-Fr

Supplier Data

Immunohistochemistry (Frozen sections) - Anti-DPP4 antibody [EPR18215] - BSA and Azide free (AB232221)

Immunohistochemical analysis of 4% PFA-fixed, 0.2 % Triton X-100 permeabilized mouse liver tissue labeling CD26 with ab187048 at 1/1000 dilution, followed by Goat Anti-Rabbit IgG H&L (Alexa Fluor® 488) (ab150077) at 1/1000 dilution (green). Strong positive staining on the bile canaliculi and moderate positive staining in sinusoid endothelial cells is observed (PMID : 23361237). The nuclear counter stain is DAPI (blue)
Secondary antibody only control : Used PBS instead of primary antibody, secondary antibody is Goat Anti-Rabbit IgG H&L (Alexa Fluor® 488) (ab150077) at 1/1000 dilution.

Antigen retrieval : Heated Tris-EDTA (pH9.0) (ab94681).

This data was developed using the same antibody clone in a different buffer formulation containing PBS, BSA, glycerol, and sodium azide (ab187048).

Key facts

Host species

Rabbit

Clonality

Monoclonal

Clone number

EPR18215

Isotype

IgG

Carrier free

Yes

Reacts with

Mouse, Rat

Applications

IHC-Fr, WB, IHC-P

applications

Immunogen

The exact immunogen used to generate this antibody is proprietary information.

Reactivity data

{ "title": "Reactivity Data", "filters": { "stats": ["", "Species", "Dilution Info", "Notes"], "tabs": { "all-applications": {"fullname" : "All Applications", "shortname": "All Applications"}, "WB" : {"fullname" : "Western blot", "shortname":"WB"}, "IHCFr" : {"fullname" : "Immunohistochemistry (Frozen sections)", "shortname":"IHC-Fr"}, "IHCP" : {"fullname" : "Immunohistochemistry (Formalin/PFA-fixed paraffin-embedded sections)", "shortname":"IHC-P"} }, "product-promise": { "all": "all", "testedAndGuaranteed": "tested", "guaranteed": "expected", "predicted": "predicted", "notRecommended": "not-recommended" } }, "values": { "Mouse": { "WB-species-checked": "guaranteed", "WB-species-dilution-info": "", "WB-species-notes": "<p></p>", "IHCFr-species-checked": "guaranteed", "IHCFr-species-dilution-info": "", "IHCFr-species-notes": "", "IHCP-species-checked": "testedAndGuaranteed", "IHCP-species-dilution-info": "", "IHCP-species-notes": "<p></p>" }, "Rat": { "WB-species-checked": "guaranteed", "WB-species-dilution-info": "", "WB-species-notes": "<p></p>", "IHCFr-species-checked": "testedAndGuaranteed", "IHCFr-species-dilution-info": "", "IHCFr-species-notes": "<p></p>", "IHCP-species-checked": "guaranteed", "IHCP-species-dilution-info": "", "IHCP-species-notes": "" } } }

Product details

ab232221 is the carrier-free version of ab187048.

Patented technology
Our RabMAb® technology is a patented hybridoma-based technology for making rabbit monoclonal antibodies. For details on our patents, please refer to RabMAb® patents.

What are the advantages of a recombinant monoclonal antibody?
This product is a recombinant monoclonal antibody, which offers several advantages including:

  • - High batch-to-batch consistency and reproducibility
  • - Improved sensitivity and specificity
  • - Long-term security of supply
  • - Animal-free batch production

For more information, read more on recombinant antibodies.

Conjugation ready
Our carrier-free antibodies are typically supplied in a PBS-only formulation, purified and free of BSA, sodium azide and glycerol. This conjugation-ready format is designed for use with fluorochromes, metal isotopes, oligonucleotides, and enzymes, which makes them ideal for antibody labelling, functional and cell-based assays, flow-based assays (e.g. mass cytometry) and Multiplex Imaging applications.

Use our conjugation kits for antibody conjugates that are ready-to-use in as little as 20 minutes with 1 minute hands-on-time and 100% antibody recovery: available for fluorescent dyes, HRP, biotin and gold.

Compatibility
This product is compatible with the Maxpar® Antibody Labeling Kit from Fluidigm, without the need for antibody preparation. Maxpar® is a trademark of Fluidigm Canada Inc.

Properties and storage information

Form
Liquid
Purification technique
Affinity purification Protein A
Storage buffer
pH: 7.2 - 7.4 Constituents: PBS
Shipped at conditions
Blue Ice
Appropriate short-term storage conditions
+4°C
Appropriate long-term storage conditions
+4°C
Storage information
Do Not Freeze

Supplementary information

This supplementary information is collated from multiple sources and compiled automatically.

Dipeptidyl peptidase 4 also known as DPP4 or CD26 functions as a serine exopeptidase. This enzyme is involved in cleaving dipeptides from the N-terminus of polypeptides. DPP4 with a mass of approximately 110 kDa is expressed in various tissues such as the liver intestines kidney and lymphocytes. It exists in both a membrane-bound form and a soluble form in blood plasma.
Biological function summary

DPP4 plays a significant role in glucose metabolism and immune function. The enzyme interacts with members of the immune system and regulates proteins such as chemokines growth factors and neuropeptides. DPP4 acts independently and is not known to be part of a larger complex. It modulates biological processes by inactivating peptide hormones and signaling molecules which impacts glucose homeostasis and immune responses.

Pathways

DPP4 impacts the incretin signaling pathway and the immune response pathway. Incretin hormones like glucagon-like peptide-1 (GLP-1) and glucose-dependent insulinotropic polypeptide (GIP) are substrates of DPP4 and play important roles in glucose metabolism. DPP4 also interacts with proteins such as adenosine deaminase (ADA) which impacts T-cell function and immune regulation. The regulation of these pathways by DPP4 influences metabolic and immune health.

DPP4 involvement is relevant in type 2 diabetes and immunological disorders. In type 2 diabetes DPP4 inhibitors modulate the incretin hormones improving glycemic control. Proteins like GLP-1 are affected by DPP4 activity connecting it to diabetes management. In autoimmune diseases altered DPP4 expression can impact immune cell functions influencing conditions such as rheumatoid arthritis. Through its effects on ADA and associated pathways DPP4 can influence both metabolic and immune-related disorders.

Product protocols

For this product, it's our understanding that no specific protocols are required. You can visit:

Target data

Cell surface glycoprotein receptor involved in the costimulatory signal essential for T-cell receptor (TCR)-mediated T-cell activation. Acts as a positive regulator of T-cell coactivation, by binding at least ADA, CAV1, IGF2R, and PTPRC. Its binding to CAV1 and CARD11 induces T-cell proliferation and NF-kappa-B activation in a T-cell receptor/CD3-dependent manner. Its interaction with ADA also regulates lymphocyte-epithelial cell adhesion. In association with FAP is involved in the pericellular proteolysis of the extracellular matrix (ECM), the migration and invasion of endothelial cells into the ECM. May be involved in the promotion of lymphatic endothelial cells adhesion, migration and tube formation. When overexpressed, enhanced cell proliferation, a process inhibited by GPC3. Acts also as a serine exopeptidase with a dipeptidyl peptidase activity that regulates various physiological processes by cleaving peptides in the circulation, including many chemokines, mitogenic growth factors, neuropeptides and peptide hormones. Removes N-terminal dipeptides sequentially from polypeptides having unsubstituted N-termini provided that the penultimate residue is proline.
See full target information Dpp4

Publications (1)

Recent publications for all applications. Explore the full list and refine your search

Translational lung cancer research 10:2523-2538 PubMed34295659

2021

One carbon metabolism in human lung cancer.

Applications

Unspecified application

Species

Unspecified reactive species

Sha Yao,Luogen Peng,Omar Elakad,Stefan Küffer,Marc Hinterthaner,Bernhard C Danner,Alexander von Hammerstein-Equord,Philipp Ströbel,Hanibal Bohnenberger
View all publications

Product promise

We are committed to supporting your work with high-quality reagents, and we're here for you every step of the way. In the unlikely event that one of our products does not perform as expected, you're protected by our Product Promise.
For full details, please see our Terms & Conditions

Please note: All products are 'FOR RESEARCH USE ONLY. NOT FOR USE IN DIAGNOSTIC OR THERAPEUTIC PROCEDURES'.

For licensing inquiries, please contact partnerships@abcam.com