JavaScript is disabled in your browser. Please enable JavaScript to view this website.
AB198506

Anti-DPP6 antibody [EPR15944-24]

4

(1 Review)

|

(2 Publications)

Rabbit Recombinant Monoclonal DPP6 antibody. Suitable for WB, IHC-P and reacts with Mouse, Rat, Human samples. Cited in 2 publications.

View Alternative Names

A-type potassium channel modulatory protein DPP6, DPPX, Dipeptidyl aminopeptidase-like protein 6, Dipeptidyl aminopeptidase-related protein, Dipeptidyl peptidase 6, Dipeptidyl peptidase IV-like protein, Dipeptidyl peptidase VI, DPP VI, DPP6

6 Images
Immunohistochemistry (Formalin/PFA-fixed paraffin-embedded sections) - Anti-DPP6 antibody [EPR15944-24] (AB198506)
  • IHC-P

Supplier Data

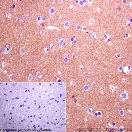
Immunohistochemistry (Formalin/PFA-fixed paraffin-embedded sections) - Anti-DPP6 antibody [EPR15944-24] (AB198506)

Immunohistochemical analysis of paraffin-embedded Human cerebral cortex tissue labeling DPP6 with ab198506 at 1/500 dilution followed by Goat Anti-Rabbit IgG H&L (HRP) (ab97051) at 1/500 dilution. Cell membrane and cytoplasm staining of Human cerebral cortex tissue is observed. Counter stained with Hematoxylin.

Secondary antibody only control : Used PBS instead of primary antibody, secondary antibody is Goat Anti-Rabbit IgG H&L (HRP) (ab97051) at 1/500 dilution.

Perform heat mediated antigen retrieval with Tris/EDTA buffer pH 9.0 before commencing with IHC staining protocol.

Immunohistochemistry (Formalin/PFA-fixed paraffin-embedded sections) - Anti-DPP6 antibody [EPR15944-24] (AB198506)
  • IHC-P

Supplier Data

Immunohistochemistry (Formalin/PFA-fixed paraffin-embedded sections) - Anti-DPP6 antibody [EPR15944-24] (AB198506)

Immunohistochemical analysis of paraffin-embedded Human liver tissue labeling DPP6 with ab198506 at 1/500 dilution followed by Goat Anti-Rabbit IgG H&L (HRP) (ab97051) at 1/500 dilution. No staining of Human liver tissue is observed. Counter stained with Hematoxylin.

Secondary antibody only control : Used PBS instead of primary antibody, secondary antibody is Goat Anti-Rabbit IgG H&L (HRP) (ab97051) at 1/500 dilution.

Perform heat mediated antigen retrieval with Tris/EDTA buffer pH 9.0 before commencing with IHC staining protocol.

Immunohistochemistry (Formalin/PFA-fixed paraffin-embedded sections) - Anti-DPP6 antibody [EPR15944-24] (AB198506)
  • IHC-P

Supplier Data

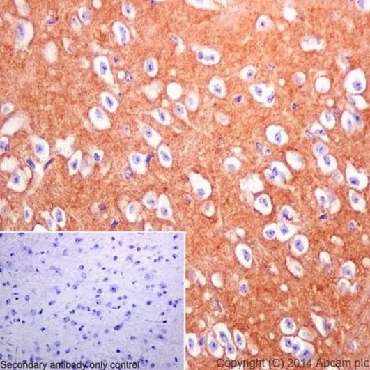
Immunohistochemistry (Formalin/PFA-fixed paraffin-embedded sections) - Anti-DPP6 antibody [EPR15944-24] (AB198506)

Immunohistochemical analysis of paraffin-embedded Mouse cerebral cortex tissue labeling DPP6 with ab198506 at 1/500 dilution followed by Goat Anti-Rabbit IgG H&L (HRP) (ab97051) at 1/500 dilution. Cell membrane and cytoplasm staining of Mouse cerebral cortex tissue is observed. Counter stained with Hematoxylin.

Secondary antibody only control : Used PBS instead of primary antibody, secondary antibody is Goat Anti-Rabbit IgG H&L (HRP) (ab97051) at 1/500 dilution.

Perform heat mediated antigen retrieval with Tris/EDTA buffer pH 9.0 before commencing with IHC staining protocol.

Immunohistochemistry (Formalin/PFA-fixed paraffin-embedded sections) - Anti-DPP6 antibody [EPR15944-24] (AB198506)
  • IHC-P

Supplier Data

Immunohistochemistry (Formalin/PFA-fixed paraffin-embedded sections) - Anti-DPP6 antibody [EPR15944-24] (AB198506)

Immunohistochemical analysis of paraffin-embedded Mouse liver tissue labeling DPP6 with ab198506 at 1/500 followed by Goat Anti-Rabbit IgG H&L (HRP) (ab97051) at 1/500 dilution. No staining of Mouse liver tissue is observed. Counter stained with Hematoxylin.

Secondary antibody only control : Used PBS instead of primary antibody, secondary antibody is Goat Anti-Rabbit IgG H&L (HRP) (ab97051) at 1/500 dilution.

Perform heat mediated antigen retrieval with Tris/EDTA buffer pH 9.0 before commencing with IHC staining protocol.

Western blot - Anti-DPP6 antibody [EPR15944-24] (AB198506)
  • WB

Supplier Data

Western blot - Anti-DPP6 antibody [EPR15944-24] (AB198506)

Blocking/Dilution buffer : 5% NFDM/TBST.

The expression profile observed is consistent with what has been described in the literature PMID : 12575952

All lanes:

Western blot - Anti-DPP6 antibody [EPR15944-24] (ab198506) at 1/5000 dilution

Lane 1:

Rat brain lysate at 10 µg

Lane 2:

Human fetal brain lysate at 10 µg

Secondary

All lanes:

Anti-Rabbit IgG (HRP), specific to the non-reduced form of IgG at 1/1000 dilution

Predicted band size: 98 kDa

Observed band size: 115 kDa

false

Exposure time: 3min

Western blot - Anti-DPP6 antibody [EPR15944-24] (AB198506)
  • WB

Unknown

Western blot - Anti-DPP6 antibody [EPR15944-24] (AB198506)

Blocking/Dilution buffer : 5% NFDM/TBST.

The expression profile observed is consistent with what has been described in the literature PMID : 12575952.

All lanes:

Western blot - Anti-DPP6 antibody [EPR15944-24] (ab198506) at 1/1000 dilution

All lanes:

Mouse brain lysate at 10 µg

Secondary

All lanes:

Goat Anti-Rabbit IgG, (H+L), Peroxidase conjugated at 1/1000 dilution

Predicted band size: 98 kDa

Observed band size: 115 kDa

false

Exposure time: 3min

  • Carrier free

    Anti-DPP6 antibody [EPR15944-24] - BSA and Azide free

Key facts

Host species

Rabbit

Clonality

Monoclonal

Clone number

EPR15944-24

Isotype

IgG

Carrier free

No

Reacts with

Mouse, Rat, Human

Applications

WB, IHC-P

applications

Immunogen

The exact immunogen used to generate this antibody is proprietary information.

Reactivity data

{ "title": "Reactivity Data", "filters": { "stats": ["", "Species", "Dilution Info", "Notes"], "tabs": { "all-applications": {"fullname" : "All Applications", "shortname": "All Applications"}, "WB" : {"fullname" : "Western blot", "shortname":"WB"}, "IHCP" : {"fullname" : "Immunohistochemistry (Formalin/PFA-fixed paraffin-embedded sections)", "shortname":"IHC-P"} }, "product-promise": { "all": "all", "testedAndGuaranteed": "tested", "guaranteed": "expected", "predicted": "predicted", "notRecommended": "not-recommended" } }, "values": { "Human": { "WB-species-checked": "testedAndGuaranteed", "WB-species-dilution-info": "1/1000", "WB-species-notes": "<p></p>", "IHCP-species-checked": "testedAndGuaranteed", "IHCP-species-dilution-info": "1/500", "IHCP-species-notes": "<p></p> Perform heat-mediated antigen retrieval with Tris/EDTA buffer pH 9.0 before commencing with IHC staining protocol." }, "Mouse": { "WB-species-checked": "testedAndGuaranteed", "WB-species-dilution-info": "1/1000", "WB-species-notes": "<p></p>", "IHCP-species-checked": "testedAndGuaranteed", "IHCP-species-dilution-info": "1/500", "IHCP-species-notes": "<p></p> Perform heat-mediated antigen retrieval with Tris/EDTA buffer pH 9.0 before commencing with IHC staining protocol." }, "Rat": { "WB-species-checked": "testedAndGuaranteed", "WB-species-dilution-info": "1/1000", "WB-species-notes": "<p></p>", "IHCP-species-checked": "guaranteed", "IHCP-species-dilution-info": "", "IHCP-species-notes": "" } } }

Product details

Patented technology
Our RabMAb® technology is a patented hybridoma-based technology for making rabbit monoclonal antibodies. For details on our patents, please refer to RabMAb® patents.

What are the advantages of a recombinant monoclonal antibody?
This product is a recombinant monoclonal antibody, which offers several advantages including:

  • - High batch-to-batch consistency and reproducibility
  • - Improved sensitivity and specificity
  • - Long-term security of supply
  • - Animal-free batch production

For more information, read more on recombinant antibodies.

Properties and storage information

Form
Liquid
Purification technique
Affinity purification Protein A
Storage buffer
pH: 7.2 - 7.4 Preservative: 0.01% Sodium azide Constituents: PBS, 40% Glycerol (glycerin, glycerine), 0.05% BSA
Shipped at conditions
Blue Ice
Appropriate short-term storage duration
1-2 weeks
Appropriate short-term storage conditions
+4°C
Appropriate long-term storage conditions
-20°C
Aliquoting information
Upon delivery aliquot
Storage information
Avoid freeze / thaw cycle

Supplementary information

This supplementary information is collated from multiple sources and compiled automatically.

The protein dipeptidyl peptidase-like protein 6 (DPP6) also known as DPPX plays a significant role in the regulation of neuronal excitability. It is a single-pass type II membrane protein with a molecular mass of approximately 93 kDa. DPP6 is mainly expressed in the brain where it is found in various regions such as the cerebellum and hippocampus. This protein is not a conventional dipeptidyl peptidase as it lacks the catalytic activity found in other members of its family. Instead DPP6 associates with other proteins to influence their functions.
Biological function summary

DPP6 interacts with voltage-gated potassium channels specifically the Kv4 family to form a multiprotein complex. This complex plays an essential role in controlling the electrical signaling properties of neurons by regulating the fast inactivation and recovery of the potassium current. The modulation of these channels impacts neuronal firing frequency and synaptic integration implicating DPP6 in diverse neurophysiological processes.

Pathways

DPP6 is involved in pathways related to synaptic transmission and cortical excitability. It prominently influences the MAPK signaling pathway as its interaction with Kv4 channels affects the downstream signaling cascades. Additionally DPP6 relates to the Wnt signaling pathway which involves several proteins like ß-catenin impacting cell communication and neuronal development. These associations highlight the protein's involvement in neuronal function and plasticity.

Dysfunction in DPP6 is linked to neurological conditions such as epilepsy and ataxia. Alterations in DPP6 expression or mutations can lead to impaired neuron excitability contributing to these disorders. DPP6 also connects with other proteins like KCND2 through its role in epilepsy influencing how these conditions manifest at a molecular level. Understanding DPP6's involvement in these diseases assists in identifying potential therapeutic targets for intervention.

Product protocols

For this product, it's our understanding that no specific protocols are required. You can visit:

Target data

Promotes cell surface expression of the potassium channel KCND2 (PubMed : 15454437, PubMed : 19441798). Modulates the activity and gating characteristics of the potassium channel KCND2 (PubMed : 18364354). Has no dipeptidyl aminopeptidase activity (PubMed : 15476821, PubMed : 8103397).
See full target information DPP6

Publications (2)

Recent publications for all applications. Explore the full list and refine your search

Journal of extracellular biology 2: PubMed37744304

2023

Survey of organ-derived small extracellular vesicles and particles (sEVPs) to identify selective protein markers in mouse serum.

Applications

Unspecified application

Species

Unspecified reactive species

Kotb Abdelmohsen,Allison B Herman,Angelica E Carr,Charnae' A Henry-Smith,Martina Rossi,Qiong Meng,Jen-Hao Yang,Dimitrios Tsitsipatis,Alhassan Bangura,Rachel Munk,Jennifer L Martindale,Carlos J Nogueras-Ortiz,Jon Hao,Yi Gong,Yie Liu,Chang-Yi Cui,Lisa M Hartnell,Nathan L Price,Luigi Ferrucci,Dimitrios Kapogiannis,Rafael de Cabo,Myriam Gorospe

Scientific reports 7:15130 PubMed29123178

2017

A nanobody-based tracer targeting DPP6 for non-invasive imaging of human pancreatic endocrine cells.

Applications

WB

Species

Unspecified reactive species

Alexander Balhuizen,Sam Massa,Iris Mathijs,Jean-Valery Turatsinze,Jens De Vos,Stéphane Demine,Catarina Xavier,Olatz Villate,Isabelle Millard,Dominique Egrise,Carmen Capito,Raphaël Scharfmann,Pieter In't Veld,Piero Marchetti,Serge Muyldermans,Serge Goldman,Tony Lahoutte,Luc Bouwens,Decio L Eizirik,Nick Devoogdt
View all publications

Product promise

We are committed to supporting your work with high-quality reagents, and we're here for you every step of the way. In the unlikely event that one of our products does not perform as expected, you're protected by our Product Promise.
For full details, please see our Terms & Conditions

Please note: All products are 'FOR RESEARCH USE ONLY. NOT FOR USE IN DIAGNOSTIC OR THERAPEUTIC PROCEDURES'.

For licensing inquiries, please contact partnerships@abcam.com