JavaScript is disabled in your browser. Please enable JavaScript to view this website.
AB242409

Anti-DPP6 antibody [EPR15944-24] - BSA and Azide free

Be the first to review this product! Submit a review

|

(1 Publication)

Rabbit Recombinant Monoclonal DPP6 antibody. Carrier free. Suitable for WB, IHC-P and reacts with Mouse, Rat, Human samples. Cited in 1 publication.

View Alternative Names

A-type potassium channel modulatory protein DPP6, DPPX, Dipeptidyl aminopeptidase-like protein 6, Dipeptidyl aminopeptidase-related protein, Dipeptidyl peptidase 6, Dipeptidyl peptidase IV-like protein, Dipeptidyl peptidase VI, DPP VI, DPP6

4 Images
Immunohistochemistry (Formalin/PFA-fixed paraffin-embedded sections) - Anti-DPP6 antibody [EPR15944-24] - BSA and Azide free (AB242409)
  • IHC-P

Supplier Data

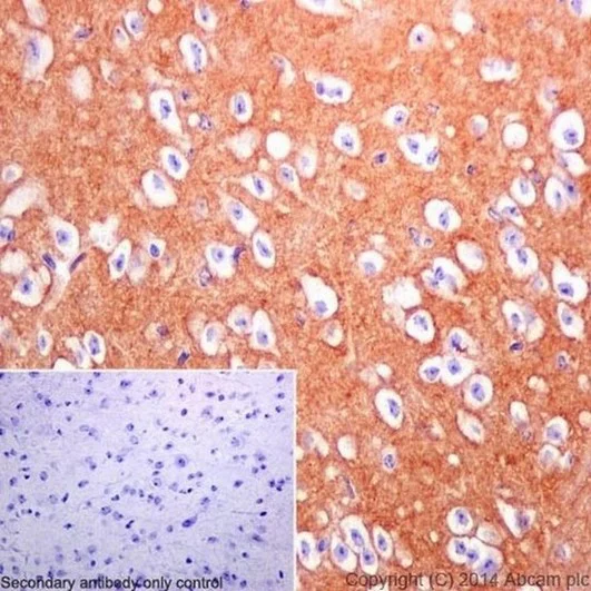
Immunohistochemistry (Formalin/PFA-fixed paraffin-embedded sections) - Anti-DPP6 antibody [EPR15944-24] - BSA and Azide free (AB242409)

Immunohistochemical analysis of paraffin-embedded Human cerebral cortex tissue labeling DPP6 with ab198506 at 1/500 dilution followed by Goat Anti-Rabbit IgG H&L (HRP) (ab97051) at 1/500 dilution. Cell membrane and cytoplasm staining of Human cerebral cortex tissue is observed. Counter stained with Hematoxylin.

Secondary antibody only control : Used PBS instead of primary antibody, secondary antibody is Goat Anti-Rabbit IgG H&L (HRP) (ab97051) at 1/500 dilution.

This data was developed using the same antibody clone in a different buffer formulation containing PBS, BSA, glycerol, and sodium azide (ab198506)

Perform heat mediated antigen retrieval with Tris/EDTA buffer pH 9.0 before commencing with IHC staining protocol.

Immunohistochemistry (Formalin/PFA-fixed paraffin-embedded sections) - Anti-DPP6 antibody [EPR15944-24] - BSA and Azide free (AB242409)
  • IHC-P

Supplier Data

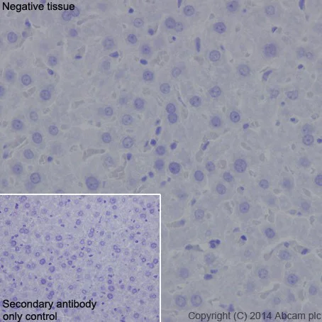
Immunohistochemistry (Formalin/PFA-fixed paraffin-embedded sections) - Anti-DPP6 antibody [EPR15944-24] - BSA and Azide free (AB242409)

Immunohistochemical analysis of paraffin-embedded Human liver tissue labeling DPP6 with ab198506 at 1/500 dilution followed by Goat Anti-Rabbit IgG H&L (HRP) (ab97051) at 1/500 dilution. No staining of Human liver tissue is observed. Counter stained with Hematoxylin.

Secondary antibody only control : Used PBS instead of primary antibody, secondary antibody is Goat Anti-Rabbit IgG H&L (HRP) (ab97051) at 1/500 dilution.

This data was developed using the same antibody clone in a different buffer formulation containing PBS, BSA, glycerol, and sodium azide (ab198506)

Perform heat mediated antigen retrieval with Tris/EDTA buffer pH 9.0 before commencing with IHC staining protocol.

Immunohistochemistry (Formalin/PFA-fixed paraffin-embedded sections) - Anti-DPP6 antibody [EPR15944-24] - BSA and Azide free (AB242409)
  • IHC-P

Supplier Data

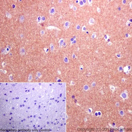
Immunohistochemistry (Formalin/PFA-fixed paraffin-embedded sections) - Anti-DPP6 antibody [EPR15944-24] - BSA and Azide free (AB242409)

Immunohistochemical analysis of paraffin-embedded Mouse cerebral cortex tissue labeling DPP6 with ab198506 at 1/500 dilution followed by Goat Anti-Rabbit IgG H&L (HRP) (ab97051) at 1/500 dilution. Cell membrane and cytoplasm staining of Mouse cerebral cortex tissue is observed. Counter stained with Hematoxylin.

Secondary antibody only control : Used PBS instead of primary antibody, secondary antibody is Goat Anti-Rabbit IgG H&L (HRP) (ab97051) at 1/500 dilution.

This data was developed using the same antibody clone in a different buffer formulation containing PBS, BSA, glycerol, and sodium azide (ab198506)

Perform heat mediated antigen retrieval with Tris/EDTA buffer pH 9.0 before commencing with IHC staining protocol.

Immunohistochemistry (Formalin/PFA-fixed paraffin-embedded sections) - Anti-DPP6 antibody [EPR15944-24] - BSA and Azide free (AB242409)
  • IHC-P

Supplier Data

Immunohistochemistry (Formalin/PFA-fixed paraffin-embedded sections) - Anti-DPP6 antibody [EPR15944-24] - BSA and Azide free (AB242409)

Immunohistochemical analysis of paraffin-embedded Mouse liver tissue labeling DPP6 with ab198506 at 1/500 followed by Goat Anti-Rabbit IgG H&L (HRP) (ab97051) at 1/500 dilution. No staining of Mouse liver tissue is observed. Counter stained with Hematoxylin.

Secondary antibody only control : Used PBS instead of primary antibody, secondary antibody is Goat Anti-Rabbit IgG H&L (HRP) (ab97051) at 1/500 dilution.

This data was developed using the same antibody clone in a different buffer formulation containing PBS, BSA, glycerol, and sodium azide (ab198506)

Perform heat mediated antigen retrieval with Tris/EDTA buffer pH 9.0 before commencing with IHC staining protocol.

Key facts

Host species

Rabbit

Clonality

Monoclonal

Clone number

EPR15944-24

Isotype

IgG

Carrier free

Yes

Reacts with

Mouse, Rat, Human

Applications

IHC-P, WB

applications

Immunogen

The exact immunogen used to generate this antibody is proprietary information.

Reactivity data

{ "title": "Reactivity Data", "filters": { "stats": ["", "Species", "Dilution Info", "Notes"], "tabs": { "all-applications": {"fullname" : "All Applications", "shortname": "All Applications"}, "WB" : {"fullname" : "Western blot", "shortname":"WB"}, "IHCP" : {"fullname" : "Immunohistochemistry (Formalin/PFA-fixed paraffin-embedded sections)", "shortname":"IHC-P"} }, "product-promise": { "all": "all", "testedAndGuaranteed": "tested", "guaranteed": "expected", "predicted": "predicted", "notRecommended": "not-recommended" } }, "values": { "Human": { "WB-species-checked": "guaranteed", "WB-species-dilution-info": "", "WB-species-notes": "<p></p>", "IHCP-species-checked": "testedAndGuaranteed", "IHCP-species-dilution-info": "", "IHCP-species-notes": "<p></p>" }, "Mouse": { "WB-species-checked": "guaranteed", "WB-species-dilution-info": "", "WB-species-notes": "<p></p>", "IHCP-species-checked": "predicted", "IHCP-species-dilution-info": "", "IHCP-species-notes": "" }, "Rat": { "WB-species-checked": "guaranteed", "WB-species-dilution-info": "", "WB-species-notes": "<p></p>", "IHCP-species-checked": "predicted", "IHCP-species-dilution-info": "", "IHCP-species-notes": "" } } }

Product details

ab242409 is the carrier-free version of ab198506.

Patented technology
Our RabMAb® technology is a patented hybridoma-based technology for making rabbit monoclonal antibodies. For details on our patents, please refer to RabMAb® patents.

What are the advantages of a recombinant monoclonal antibody?
This product is a recombinant monoclonal antibody, which offers several advantages including:

  • - High batch-to-batch consistency and reproducibility
  • - Improved sensitivity and specificity
  • - Long-term security of supply
  • - Animal-free batch production

For more information, read more on recombinant antibodies.

Conjugation ready
Our carrier-free antibodies are typically supplied in a PBS-only formulation, purified and free of BSA, sodium azide and glycerol. This conjugation-ready format is designed for use with fluorochromes, metal isotopes, oligonucleotides, and enzymes, which makes them ideal for antibody labelling, functional and cell-based assays, flow-based assays (e.g. mass cytometry) and Multiplex Imaging applications.

Use our conjugation kits for antibody conjugates that are ready-to-use in as little as 20 minutes with 1 minute hands-on-time and 100% antibody recovery: available for fluorescent dyes, HRP, biotin and gold.

Compatibility
This product is compatible with the Maxpar® Antibody Labeling Kit from Fluidigm, without the need for antibody preparation. Maxpar® is a trademark of Fluidigm Canada Inc.

Properties and storage information

Form
Liquid
Purification technique
Affinity purification Protein A
Storage buffer
pH: 7.2 - 7.4 Constituents: PBS
Shipped at conditions
Blue Ice
Appropriate short-term storage conditions
+4°C
Appropriate long-term storage conditions
+4°C
Storage information
Do Not Freeze

Supplementary information

This supplementary information is collated from multiple sources and compiled automatically.

The protein dipeptidyl peptidase-like protein 6 (DPP6) also known as DPPX plays a significant role in the regulation of neuronal excitability. It is a single-pass type II membrane protein with a molecular mass of approximately 93 kDa. DPP6 is mainly expressed in the brain where it is found in various regions such as the cerebellum and hippocampus. This protein is not a conventional dipeptidyl peptidase as it lacks the catalytic activity found in other members of its family. Instead DPP6 associates with other proteins to influence their functions.
Biological function summary

DPP6 interacts with voltage-gated potassium channels specifically the Kv4 family to form a multiprotein complex. This complex plays an essential role in controlling the electrical signaling properties of neurons by regulating the fast inactivation and recovery of the potassium current. The modulation of these channels impacts neuronal firing frequency and synaptic integration implicating DPP6 in diverse neurophysiological processes.

Pathways

DPP6 is involved in pathways related to synaptic transmission and cortical excitability. It prominently influences the MAPK signaling pathway as its interaction with Kv4 channels affects the downstream signaling cascades. Additionally DPP6 relates to the Wnt signaling pathway which involves several proteins like ß-catenin impacting cell communication and neuronal development. These associations highlight the protein's involvement in neuronal function and plasticity.

Dysfunction in DPP6 is linked to neurological conditions such as epilepsy and ataxia. Alterations in DPP6 expression or mutations can lead to impaired neuron excitability contributing to these disorders. DPP6 also connects with other proteins like KCND2 through its role in epilepsy influencing how these conditions manifest at a molecular level. Understanding DPP6's involvement in these diseases assists in identifying potential therapeutic targets for intervention.

Product protocols

For this product, it's our understanding that no specific protocols are required. You can visit:

Target data

Promotes cell surface expression of the potassium channel KCND2 (PubMed : 15454437, PubMed : 19441798). Modulates the activity and gating characteristics of the potassium channel KCND2 (PubMed : 18364354). Has no dipeptidyl aminopeptidase activity (PubMed : 15476821, PubMed : 8103397).
See full target information DPP6

Publications (1)

Recent publications for all applications. Explore the full list and refine your search

Frontiers in pharmacology 11:820 PubMed32625084

2020

BCL11A Is Oncogenic and Predicts Poor Outcomes in Natural Killer/T-Cell Lymphoma.

Applications

Unspecified application

Species

Unspecified reactive species

Hongyun Shi,Chun Li,Wei Feng,Jianjun Yue,Jingfang Song,Aizhi Peng,Hua Wang
View all publications

Product promise

We are committed to supporting your work with high-quality reagents, and we're here for you every step of the way. In the unlikely event that one of our products does not perform as expected, you're protected by our Product Promise.
For full details, please see our Terms & Conditions

Please note: All products are 'FOR RESEARCH USE ONLY. NOT FOR USE IN DIAGNOSTIC OR THERAPEUTIC PROCEDURES'.

For licensing inquiries, please contact partnerships@abcam.com