JavaScript is disabled in your browser. Please enable JavaScript to view this website.
AB302904

Anti-DPP9 antibody [EPR26469-62] - BSA and Azide free

Be the first to review this product! Submit a review

|

(0 Publication)

Rabbit Recombinant Monoclonal DPP9 antibody. Carrier free. Suitable for WB, IHC-P, IP and reacts with Human, Mouse, Rat samples.

View Alternative Names

DPRP2, DPP9, Dipeptidyl peptidase 9, DP9, Dipeptidyl peptidase IV-related protein 2, Dipeptidyl peptidase IX, Dipeptidyl peptidase-like protein 9, DPRP-2, DPP IX, DPLP9

4 Images
Immunohistochemistry - Anti-DPP9 antibody [EPR26469-62] - BSA and Azide free (AB302904)
  • IHC

Supplier Data

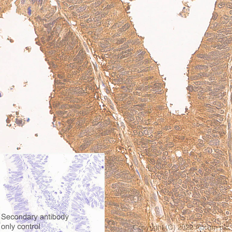
Immunohistochemistry - Anti-DPP9 antibody [EPR26469-62] - BSA and Azide free (AB302904)

This data was developed using ab302903, the same antibody clone in a different buffer formulation. Immunohistochemical analysis of paraffin-embedded Human colon carcinom tissue labeling DPP9 with ab302903 at 1/100 (4.62 ug/ml) followed by a LeicaDS9800 (Bond™ Polymer Refine Detection) was used at Ready to use dilution. Positive staining on human colon carcinoma (PMID : 32734369). The section was incubated with ab302903 for 30 mins at room temperature.The immunostaining was performed on a Leica Biosystems BOND® RX instrument Counterstained with Hematoxylin. Secondary antibody only control : Secondary antibody is LeicaDS9800 (Bond™ Polymer Refine Detection) was used at Ready to use dilution. Heat mediated antigen retrieval with Tris-EDTA buffer (pH 9.0, epitope retrieval solution2) for 20 mins

Immunohistochemistry - Anti-DPP9 antibody [EPR26469-62] - BSA and Azide free (AB302904)
  • IHC

Supplier Data

Immunohistochemistry - Anti-DPP9 antibody [EPR26469-62] - BSA and Azide free (AB302904)

This data was developed using ab302903, the same antibody clone in a different buffer formulation. Immunohistochemical analysis of paraffin-embedded Human cerebrum tissue labeling DPP9 with ab302903 at 1/100 (4.62 ug/ml) followed by a LeicaDS9800 (Bond™ Polymer Refine Detection) was used at Ready to use dilution. Cytoplasmic staining on human cerebrum at low expression level. The section was incubated with ab302903 for 30 mins at room temperature.The immunostaining was performed on a Leica Biosystems BOND® RX instrument Counterstained with Hematoxylin. Secondary antibody only control : Secondary antibody is LeicaDS9800 (Bond™ Polymer Refine Detection) was used at Ready to use dilution. Heat mediated antigen retrieval was performed with Tris-EDTA buffer (pH 9.0, Epitope Retrieval Solution2) for 20 mins

Immunohistochemistry - Anti-DPP9 antibody [EPR26469-62] - BSA and Azide free (AB302904)
  • IHC

Supplier Data

Immunohistochemistry - Anti-DPP9 antibody [EPR26469-62] - BSA and Azide free (AB302904)

This data was developed using ab302903, the same antibody clone in a different buffer formulation. Immunohistochemical analysis of paraffin-embedded Rat liver tissue labeling DPP9 with ab302903 at 1/100 (0.231 ug/ml) followed by a LeicaDS9800 (Bond™ Polymer Refine Detection) was used at Ready to use dilution. Positive staining on rat liver (PMID : 12459266). The section was incubated with ab302903 for 30 mins at room temperature.The immunostaining was performed on a Leica Biosystems BOND® RX instrument Counterstained with Hematoxylin. Secondary antibody only control : Secondary antibody is LeicaDS9800 (Bond™ Polymer Refine Detection) was used at Ready to use dilution. Heat mediated antigen retrieval with Tris-EDTA buffer (pH 9.0, epitope retrieval solution2) for 20 mins

Immunohistochemistry - Anti-DPP9 antibody [EPR26469-62] - BSA and Azide free (AB302904)
  • IHC

Supplier Data

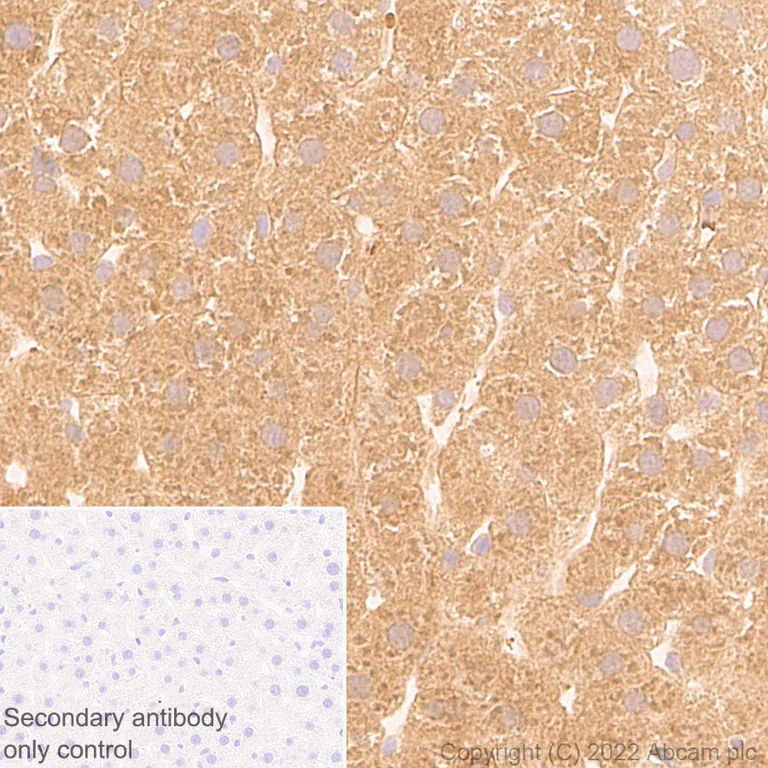
Immunohistochemistry - Anti-DPP9 antibody [EPR26469-62] - BSA and Azide free (AB302904)

This data was developed using ab302903, the same antibody clone in a different buffer formulation. Immunohistochemical analysis of paraffin-embedded Mouse liver tissue labeling DPP9 with ab302903 at 1/100 (4.62 ug/ml) followed by a LeicaDS9800 (Bond™ Polymer Refine Detection) was used at Ready to use dilution. Positive staining on mouse liver (PMID : 12459266). The section was incubated with ab302903 for 30 mins at room temperature.The immunostaining was performed on a Leica Biosystems BOND® RX instrument Counterstained with Hematoxylin. Secondary antibody only control : Secondary antibody is LeicaDS9800 (Bond™ Polymer Refine Detection) was used at Ready to use dilution. Heat mediated antigen retrieval with Tris-EDTA buffer (pH 9.0, epitope retrieval solution2) for 20 mins

Key facts

Host species

Rabbit

Clonality

Monoclonal

Clone number

EPR26469-62

Isotype

IgG

Carrier free

Yes

Reacts with

Human, Mouse, Rat

Applications

IP, IHC-P, WB

applications

Immunogen

The exact immunogen used to generate this antibody is proprietary information.

Reactivity data

{ "title": "Reactivity Data", "filters": { "stats": ["", "Species", "Dilution Info", "Notes"], "tabs": { "all-applications": {"fullname" : "All Applications", "shortname": "All Applications"}, "WB" : {"fullname" : "Western blot", "shortname":"WB"}, "IHCP" : {"fullname" : "Immunohistochemistry (Formalin/PFA-fixed paraffin-embedded sections)", "shortname":"IHC-P"}, "ICCIF" : {"fullname" : "Immunocytochemistry/ Immunofluorescence", "shortname":"ICC/IF"}, "FlowCytIntra" : {"fullname" : "Flow Cytometry (Intracellular)", "shortname":"Flow Cyt (Intra)"}, "IP" : {"fullname" : "Immunoprecipitation", "shortname":"IP"} }, "product-promise": { "all": "all", "testedAndGuaranteed": "tested", "guaranteed": "expected", "predicted": "predicted", "notRecommended": "not-recommended" } }, "values": { "Human": { "WB-species-checked": "testedAndGuaranteed", "WB-species-dilution-info": "", "WB-species-notes": "<p></p>", "IHCP-species-checked": "testedAndGuaranteed", "IHCP-species-dilution-info": "", "IHCP-species-notes": "<p></p> Perform heat-mediated antigen retrieval with Tris/EDTA buffer pH 9.0 before commencing with IHC staining protocol.", "ICCIF-species-checked": "notRecommended", "ICCIF-species-dilution-info": "", "ICCIF-species-notes": "<p></p>", "FlowCytIntra-species-checked": "notRecommended", "FlowCytIntra-species-dilution-info": "", "FlowCytIntra-species-notes": "<p></p>", "IP-species-checked": "testedAndGuaranteed", "IP-species-dilution-info": "", "IP-species-notes": "<p></p>" }, "Mouse": { "WB-species-checked": "testedAndGuaranteed", "WB-species-dilution-info": "", "WB-species-notes": "<p></p>", "IHCP-species-checked": "testedAndGuaranteed", "IHCP-species-dilution-info": "", "IHCP-species-notes": "<p></p> Perform heat-mediated antigen retrieval with Tris/EDTA buffer pH 9.0 before commencing with IHC staining protocol.", "ICCIF-species-checked": "notRecommended", "ICCIF-species-dilution-info": "", "ICCIF-species-notes": "", "FlowCytIntra-species-checked": "notRecommended", "FlowCytIntra-species-dilution-info": "", "FlowCytIntra-species-notes": "", "IP-species-checked": "testedAndGuaranteed", "IP-species-dilution-info": "", "IP-species-notes": "<p></p>" }, "Rat": { "WB-species-checked": "testedAndGuaranteed", "WB-species-dilution-info": "", "WB-species-notes": "<p></p>", "IHCP-species-checked": "testedAndGuaranteed", "IHCP-species-dilution-info": "", "IHCP-species-notes": "<p></p> Perform heat-mediated antigen retrieval with Tris/EDTA buffer pH 9.0 before commencing with IHC staining protocol.", "ICCIF-species-checked": "notRecommended", "ICCIF-species-dilution-info": "", "ICCIF-species-notes": "", "FlowCytIntra-species-checked": "notRecommended", "FlowCytIntra-species-dilution-info": "", "FlowCytIntra-species-notes": "", "IP-species-checked": "guaranteed", "IP-species-dilution-info": "", "IP-species-notes": "" } } }

Product details

Patented technology
Our RabMAb® technology is a patented hybridoma-based technology for making rabbit monoclonal antibodies. For details on our patents, please refer to RabMAb® patents.

What are the advantages of a recombinant monoclonal antibody?
This product is a recombinant monoclonal antibody, which offers several advantages including:

  • - High batch-to-batch consistency and reproducibility
  • - Improved sensitivity and specificity
  • - Long-term security of supply
  • - Animal-free batch production

For more information, read more on recombinant antibodies.

Conjugation ready
Our carrier-free antibodies are typically supplied in a PBS-only formulation, purified and free of BSA, sodium azide and glycerol. This conjugation-ready format is designed for use with fluorochromes, metal isotopes, oligonucleotides, and enzymes, which makes them ideal for antibody labelling, functional and cell-based assays, flow-based assays (e.g. mass cytometry) and Multiplex Imaging applications.

Use our conjugation kits for antibody conjugates that are ready-to-use in as little as 20 minutes with 1 minute hands-on-time and 100% antibody recovery: available for fluorescent dyes, HRP, biotin and gold.

Compatibility
This product is compatible with the Maxpar® Antibody Labeling Kit from Fluidigm, without the need for antibody preparation. Maxpar® is a trademark of Fluidigm Canada Inc.

Properties and storage information

Form
Liquid
Purification technique
Affinity purification Protein A
Storage buffer
pH: 7.2 - 7.4 Constituents: 100% PBS
Shipped at conditions
Blue Ice
Appropriate short-term storage conditions
+4°C
Appropriate long-term storage conditions
+4°C

Supplementary information

This supplementary information is collated from multiple sources and compiled automatically.

Dipeptidyl peptidase 9 (DPP9) is an intracellular serine protease belonging to the S9B family primarily recognized for its enzymatic function of cleaving dipeptides from polypeptides. It is known alternatively as DPPIV-like protease with a molecular weight of approximately 92 kDa. DPP9 is expressed in multiple tissues with higher levels seen in the liver kidney and lung. Its role is critical for processing proteins influencing their maturation and function.
Biological function summary

DPP9 acts in several processes beyond simple protease activity. It modulates antigen presentation and immune responses. It functions mainly intracellularly and is not typically secreted. While DPP9 does not form stable complexes with other proteins it does interact dynamically with several cellular proteins to perform its roles. Its enzyme activity can regulate peptide hormones and chemokines implicating it in immune modulation.

Pathways

DPP9 plays roles in the regulation of insulin signaling and immune system pathways. It modulates the activity of proteins like fibroblast growth factor (FGF) and is directly involved in the processing of bioactive peptides related to the immune response. DPP9 shares functional traits with DPP8 another member of the dipeptidyl peptidase family which also cleaves similar substrates and participates in overlapping pathways.

DPP9 is implicated in certain cancers and inflammatory diseases. For instance its dysregulation correlates with hepatocellular carcinoma. High DPP9 expression is also linked to inflammatory diseases where immune system alterations are pronounced. DPP4 a related enzyme also participates in these conditions highlighting potential therapeutic intervention points targeting both DPP9 and DPP4.

Product protocols

For this product, it's our understanding that no specific protocols are required. You can visit:

Target data

Dipeptidyl peptidase that cleaves off N-terminal dipeptides from proteins having a Pro or Ala residue at position 2 (PubMed : 12662155, PubMed : 16475979, PubMed : 19667070, PubMed : 29382749, PubMed : 30291141, PubMed : 33731929, PubMed : 36112693). Acts as a key inhibitor of caspase-1-dependent monocyte and macrophage pyroptosis in resting cells by preventing activation of NLRP1 and CARD8 (PubMed : 27820798, PubMed : 29967349, PubMed : 30291141, PubMed : 31525884, PubMed : 32796818, PubMed : 36112693, PubMed : 36357533). Sequesters the cleaved C-terminal part of NLRP1 and CARD8, which respectively constitute the active part of the NLRP1 and CARD8 inflammasomes, in a ternary complex, thereby preventing their oligomerization and activation (PubMed : 33731929, PubMed : 33731932, PubMed : 34019797). The dipeptidyl peptidase activity is required to suppress NLRP1 and CARD8; however, neither NLRP1 nor CARD8 are bona fide substrates of DPP9, suggesting the existence of substrate(s) required for NLRP1 and CARD8 inhibition (PubMed : 33731929).
See full target information DPP9

Product promise

We are committed to supporting your work with high-quality reagents, and we're here for you every step of the way. In the unlikely event that one of our products does not perform as expected, you're protected by our Product Promise.
For full details, please see our Terms & Conditions

Please note: All products are 'FOR RESEARCH USE ONLY. NOT FOR USE IN DIAGNOSTIC OR THERAPEUTIC PROCEDURES'.

For licensing inquiries, please contact partnerships@abcam.com