JavaScript is disabled in your browser. Please enable JavaScript to view this website.
AB236611

Anti-Dppa5 antibody

Be the first to review this product! Submit a review

|

(1 Publication)

Rabbit Polyclonal DPPA5 antibody. Suitable for IHC-P, ICC/IF and reacts with Human samples. Cited in 1 publication. Immunogen corresponding to Recombinant Full Length Protein corresponding to Human DPPA5.

View Alternative Names

ESG1, DPPA5, Developmental pluripotency-associated 5 protein, hDPPA5, Embryonal stem cell-specific gene 1 protein, ESG-1

3 Images
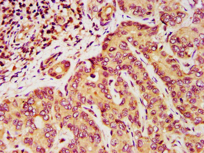
Immunohistochemistry (Formalin/PFA-fixed paraffin-embedded sections) - Anti-Dppa5 antibody (AB236611)
  • IHC-P

Supplier Data

Immunohistochemistry (Formalin/PFA-fixed paraffin-embedded sections) - Anti-Dppa5 antibody (AB236611)

Paraffin-embedded human ovarian cancer tissue stained for Dppa5 using ab236611 at 1/200 dilution in immunohistochemical analysis.

After dewaxing and hydration, antigen retrieval was mediated by high pressure in a citrate buffer (pH 6.0). Section was blocked with 10% normal goat serum 30 minutes at RT. Then primary antibody (1% BSA) was incubated at 4°C overnight. The primary is detected by a biotinylated secondary antibody and visualized using an HRP conjugated SP system.

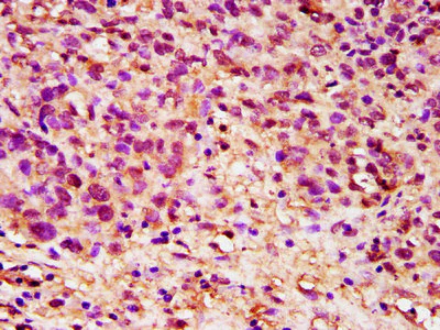
Immunohistochemistry (Formalin/PFA-fixed paraffin-embedded sections) - Anti-Dppa5 antibody (AB236611)
  • IHC-P

Supplier Data

Immunohistochemistry (Formalin/PFA-fixed paraffin-embedded sections) - Anti-Dppa5 antibody (AB236611)

Paraffin-embedded human liver cancer tissue stained for Dppa5 using ab236611 at 1/200 dilution in immunohistochemical analysis.

After dewaxing and hydration, antigen retrieval was mediated by high pressure in a citrate buffer (pH 6.0). Section was blocked with 10% normal goat serum 30 minutes at RT. Then primary antibody (1% BSA) was incubated at 4°C overnight. The primary is detected by a biotinylated secondary antibody and visualized using an HRP conjugated SP system.

Immunocytochemistry/ Immunofluorescence - Anti-Dppa5 antibody (AB236611)
  • ICC/IF

Supplier Data

Immunocytochemistry/ Immunofluorescence - Anti-Dppa5 antibody (AB236611)

HepG2 (human liver hepatocellular carcinoma cell line) cells stained for Dppa5 using ab236611 at a dilution of 1/66 in ICC/IF.
The cells were fixed in 4% formaldehyde, permeabilized using 0.2% Triton X-100 and blocked in 10% normal goat serum. The cells were then incubated with the primary antibody overnight at 4°C. Secondary used is an Alexa-Fluor®488-conjugated Goat Anti-Rabbit IgG (H+L).

Key facts

Host species

Rabbit

Clonality

Polyclonal

Isotype

IgG

Carrier free

No

Reacts with

Human

Applications

ICC/IF, IHC-P

applications

Immunogen

Recombinant Full Length Protein corresponding to Human DPPA5.

A6NC42

Reactivity data

{ "title": "Reactivity Data", "filters": { "stats": ["", "Species", "Dilution Info", "Notes"], "tabs": { "all-applications": {"fullname" : "All Applications", "shortname": "All Applications"}, "IHCP" : {"fullname" : "Immunohistochemistry (Formalin/PFA-fixed paraffin-embedded sections)", "shortname":"IHC-P"}, "ICCIF" : {"fullname" : "Immunocytochemistry/ Immunofluorescence", "shortname":"ICC/IF"} }, "product-promise": { "all": "all", "testedAndGuaranteed": "tested", "guaranteed": "expected", "predicted": "predicted", "notRecommended": "not-recommended" } }, "values": { "Human": { "IHCP-species-checked": "testedAndGuaranteed", "IHCP-species-dilution-info": "1/200 - 1/500", "IHCP-species-notes": "<p></p>", "ICCIF-species-checked": "testedAndGuaranteed", "ICCIF-species-dilution-info": "1/50 - 1/200", "ICCIF-species-notes": "<p></p>" } } }

Properties and storage information

Form
Liquid
Purification technique
Affinity purification Protein G
Purification notes
Purity >95%.
Storage buffer
pH: 7.4 Preservative: 0.03% Proclin 300 Constituents: PBS, 50% Glycerol (glycerin, glycerine)
Shipped at conditions
Blue Ice
Appropriate short-term storage duration
1-2 weeks
Appropriate short-term storage conditions
+4°C
Appropriate long-term storage conditions
-20°C
Aliquoting information
Upon delivery aliquot
Storage information
Avoid freeze / thaw cycle

Product protocols

For this product, it's our understanding that no specific protocols are required. You can visit:

Target data

Involved in the maintenance of embryonic stem (ES) cell pluripotency. Dispensable for self-renewal of pluripotent ES cells and establishment of germ cells. Associates with specific target mRNAs (By similarity).
See full target information DPPA5

Publications (1)

Recent publications for all applications. Explore the full list and refine your search

BMC cancer 24:534 PubMed38671413

2024

Association of DOK3 and infiltrated tumor-associated macrophages with risk for the prognosis of Porphyromonas gingivalis-infected oral cancer: a 12-year data analysis of 200 patients from a tertiary teaching hospital, Urumqi, China.

Applications

Unspecified application

Species

Unspecified reactive species

Chenxi Li,Muqiu Li,Wei Wei,Zhengye Wang,Jingwen Yu,Zhongcheng Gong
View all publications

Product promise

We are committed to supporting your work with high-quality reagents, and we're here for you every step of the way. In the unlikely event that one of our products does not perform as expected, you're protected by our Product Promise.
For full details, please see our Terms & Conditions

Please note: All products are 'FOR RESEARCH USE ONLY. NOT FOR USE IN DIAGNOSTIC OR THERAPEUTIC PROCEDURES'.

For licensing inquiries, please contact partnerships@abcam.com