JavaScript is disabled in your browser. Please enable JavaScript to view this website.
AB126352

Anti-DPY30 antibody

4

(1 Review)

|

(8 Publications)

Rabbit Polyclonal DPY30 antibody. Suitable for IHC-P, ICC/IF and reacts with Human samples. Cited in 8 publications. Immunogen corresponding to Recombinant Fragment Protein within Human DPY30.

View Alternative Names

Protein dpy-30 homolog, Dpy-30-like protein, Dpy-30L, DPY30

3 Images
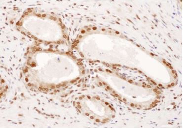
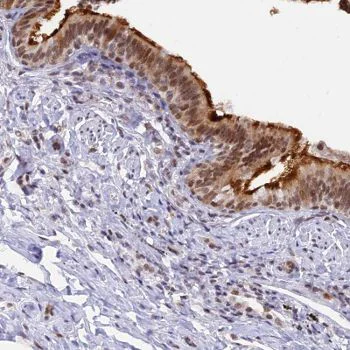
Immunohistochemistry (Formalin/PFA-fixed paraffin-embedded sections) - Anti-DPY30 antibody (AB126352)
  • IHC-P

Unknown

Immunohistochemistry (Formalin/PFA-fixed paraffin-embedded sections) - Anti-DPY30 antibody (AB126352)

ab126352 at a 1/200 dilution staining DPY30 in paraffin embedded human bronchus tissue by Imunohistochemistry.

Immunocytochemistry/ Immunofluorescence - Anti-DPY30 antibody (AB126352)
  • ICC/IF

Unknown

Immunocytochemistry/ Immunofluorescence - Anti-DPY30 antibody (AB126352)

ab126352 at 4 μg/ml staining DPY30 in in PFA/Triton X-100 fixed/permeabilized U251 cells by Immunofluorescence (green).

Immunocytochemistry/ Immunofluorescence - Anti-DPY30 antibody (AB126352)
  • ICC/IF

AbReview37834****

Immunocytochemistry/ Immunofluorescence - Anti-DPY30 antibody (AB126352)

ab126352 staining DPY30 in Mouse NIH/3T3 cells by ICC/IF (Immunocytochemistry/immunofluorescence). Cells were fixed with paraformaldehyde, permeabilized with 0.2% Tween 20 in PBS and blocked with 3% BSA for 30 minutes at 25°C. Samples were incubated with primary antibody (2μg/ml in 3% BSA + 0.2% Tween 20 + PBS) for 16 hours at 4°C. An Alexa Fluor® 488-conjugated Goat anti-rabbit IgG polyclonal (4μg/ml in blocking solution for 1 hour) was used as the secondary antibody.

This image is courtesy of an anonymous Abreview

Key facts

Host species

Rabbit

Clonality

Polyclonal

Isotype

IgG

Carrier free

No

Reacts with

Human

Applications

IHC-P, ICC/IF

applications

Immunogen

Recombinant Fragment Protein within Human DPY30. The exact immunogen used to generate this antibody is proprietary information.

Q9C005

Reactivity data

{ "title": "Reactivity Data", "filters": { "stats": ["", "Species", "Dilution Info", "Notes"], "tabs": { "all-applications": {"fullname" : "All Applications", "shortname": "All Applications"}, "IHCP" : {"fullname" : "Immunohistochemistry (Formalin/PFA-fixed paraffin-embedded sections)", "shortname":"IHC-P"}, "ICCIF" : {"fullname" : "Immunocytochemistry/ Immunofluorescence", "shortname":"ICC/IF"} }, "product-promise": { "all": "all", "testedAndGuaranteed": "tested", "guaranteed": "expected", "predicted": "predicted", "notRecommended": "not-recommended" } }, "values": { "Human": { "IHCP-species-checked": "testedAndGuaranteed", "IHCP-species-dilution-info": "1/200 - 1/500", "IHCP-species-notes": "<p></p> Perform heat-mediated antigen retrieval with citrate buffer pH 6 before commencing with IHC staining protocol.", "ICCIF-species-checked": "testedAndGuaranteed", "ICCIF-species-dilution-info": "0.25-2 µg/mL", "ICCIF-species-notes": "<p></p>" } } }

Properties and storage information

Form
Liquid
Purification technique
Affinity purification Immunogen
Storage buffer
pH: 7.2 Preservative: 0.02% Sodium azide Constituents: PBS, 40% Glycerol (glycerin, glycerine)
Shipped at conditions
Blue Ice
Appropriate short-term storage conditions
+4°C
Appropriate long-term storage conditions
-20°C
Aliquoting information
Upon delivery aliquot
Storage information
Avoid freeze / thaw cycle

Supplementary information

This supplementary information is collated from multiple sources and compiled automatically.

DPY30 also known as Dpy-30-like protein or DPy-30 homolog is a component of the MLL/SET1 histone methyltransferase complexes implicated in histone H3 lysine 4 (H3K4) methylation. This protein has an estimated molecular mass of approximately 9 kDa. It is widely expressed in different tissues which indicates its importance across various cellular environments. The primary role of DPY30 involves facilitating the catalytic activity within these complexes influencing the transcriptional states by modulating chromatin structure.
Biological function summary

DPY30 functions as a core component of the SET1A and SET1B complexes participating in the regulation of gene expression by promoting the trimethylation of H3K4. This histone modification is associated with transcriptionally active chromatin influencing gene activation. DPY30 cooperates with other components like RBBP5 and WDR5 to achieve this modification. By modulating gene expression DPY30 is critical in processes like differentiation and development.

Pathways

DPY30 is deeply involved in chromatin modification and gene transcription pathways. It plays a significant role in the Wnt signaling pathway known for its involvement in developmental processes and cell growth. DPY30 interacts with related proteins within these pathways such as ASH2L which functions as another component of the SET1/MLL complexes to exert its effects on chromatin dynamics and transcription regulation.

DPY30 has been linked to certain cancers particularly acute myeloid leukemia (AML). Research indicates that abnormal activity of the SET1/MLL complexes possibly involving DPY30 may contribute to the leukemogenic process. Additionally it has connections to developmental disorders where mutations impacting histone modification processes disrupt normal developmental signaling pathways. The connection to proteins like MEN1 which interacts with histone modification complexes highlights its role in disease progression.

Product protocols

For this product, it's our understanding that no specific protocols are required. You can visit:

Target data

As part of the MLL1/MLL complex, involved in the methylation of histone H3 at 'Lys-4', particularly trimethylation. Histone H3 'Lys-4' methylation represents a specific tag for epigenetic transcriptional activation. May play some role in histone H3 acetylation. In a teratocarcinoma cell, plays a crucial role in retinoic acid-induced differentiation along the neural lineage, regulating gene induction and H3 'Lys-4' methylation at key developmental loci. May also play an indirect or direct role in endosomal transport.
See full target information DPY30

Publications (8)

Recent publications for all applications. Explore the full list and refine your search

Communications biology 8:829 PubMed40442479

2025

RBAP48 facilitates the oral squamous cell carcinoma process in an androgen receptor-dependent and independent manners.

Applications

Unspecified application

Species

Unspecified reactive species

Xue Wang,Guangqi Yan,Hao Li,Chunyu Wang,Ye Kang,Shengli Wang,Wei Liu,Lin Lin,Renlong Zou,Kai Zeng,Manlin Wang,Ruina Luan,Baosheng Zhou,Yu Bai,Dongjun Yang,Bolin Ning,Ge Sun,Yue Zhao

Translational cancer research 13:4205-4218 PubMed39262496

2024

The role of chromatin modulator DPY30 in glucose metabolism of colorectal cancer cells.

Applications

Unspecified application

Species

Unspecified reactive species

Xiaomei Mao,Shiqin Yang,Ye Zhang,Huajun Yang,Danhong Yan,Lingzhi Zhang

International journal of medical sciences 20:901-917 PubMed37324189

2023

DPY30 Promotes Proliferation and Cell Cycle Progression of Colorectal Cancer Cells via Mediating H3K4 Trimethylation.

Applications

Unspecified application

Species

Unspecified reactive species

Wei-Chao Su,Xiao-Mei Mao,Si-Yang Li,Chun-Ying Luo,Rui Fan,Hai-Feng Jiang,Lin-Jun Zhang,Ya-Tao Wang,Guo-Qiang Su,Dong-Yan Shen

FASEB journal : official publication of the Federation of American Societies for Experimental Biology 34:12634-12645 PubMed32716582

2020

Single-cell RNA sequencing reveals the landscape of early female germ cell development.

Applications

Unspecified application

Species

Unspecified reactive species

Zheng-Hui Zhao,Jun-Yu Ma,Tie-Gang Meng,Zhen-Bo Wang,Wei Yue,Qian Zhou,Sen Li,Xie Feng,Yi Hou,Heide Schatten,Xiang-Hong Ou,Qing-Yuan Sun

Cell reports 28:1830-1844.e6 PubMed31412250

2019

TrxG Complex Catalytic and Non-catalytic Activity Play Distinct Roles in Pancreas Progenitor Specification and Differentiation.

Applications

Unspecified application

Species

Unspecified reactive species

Stephanie A Campbell,Cassandra L McDonald,Nicole A J Krentz,Francis C Lynn,Brad G Hoffman

Cancer cell 34:103-118.e9 PubMed30008322

2018

SET1A-Mediated Mono-Methylation at K342 Regulates YAP Activation by Blocking Its Nuclear Export and Promotes Tumorigenesis.

Applications

Unspecified application

Species

Unspecified reactive species

Lan Fang,Hongqi Teng,Yilin Wang,Guanghong Liao,Linjun Weng,Yaxu Li,Xinbo Wang,Jiali Jin,Chenchen Jiao,Lei Chen,Xiaoping Peng,Jiayu Chen,Yongzhi Yang,Houqin Fang,Dongyan Han,Cheng Li,Xueling Jin,Shihao Zhang,Zhongchen Liu,Min Liu,Qing Wei,Lujian Liao,Xin Ge,Bin Zhao,Dawang Zhou,Huan-Long Qin,Jun Zhou,Ping Wang

Biology open 5:1449-1460 PubMed27744293

2016

Regulation of DNA replication and chromosomal polyploidy by the MLL-WDR5-RBBP5 methyltransferases.

Applications

Unspecified application

Species

Unspecified reactive species

Fei Lu,Xiaojun Wu,Feng Yin,Christina Chia-Fang Lee,Min Yu,Ivailo S Mihaylov,Jiekai Yu,Hong Sun,Hui Zhang

Molecular therapy. Nucleic acids 4:e226 PubMed25668340

2015

Histone-targeted Polyplexes Avoid Endosomal Escape and Enter the Nucleus During Postmitotic Redistribution of ER Membranes.

Applications

Unspecified application

Species

Unspecified reactive species

Nikki L Ross,Erik V Munsell,Chandran Sabanayagam,Millicent O Sullivan
View all publications

Product promise

We are committed to supporting your work with high-quality reagents, and we're here for you every step of the way. In the unlikely event that one of our products does not perform as expected, you're protected by our Product Promise.
For full details, please see our Terms & Conditions

Please note: All products are 'FOR RESEARCH USE ONLY. NOT FOR USE IN DIAGNOSTIC OR THERAPEUTIC PROCEDURES'.

For licensing inquiries, please contact partnerships@abcam.com