JavaScript is disabled in your browser. Please enable JavaScript to view this website.
AB187690

Anti-DPY30 antibody - N-terminal

Be the first to review this product! Submit a review

|

(3 Publications)

Rabbit Polyclonal DPY30 antibody. N-terminal. Suitable for IP, IHC-Fr and reacts with Human, Mouse samples. Cited in 3 publications. Immunogen corresponding to Synthetic Peptide within Human DPY30 aa 1-50.

View Alternative Names

Protein dpy-30 homolog, Dpy-30-like protein, Dpy-30L, DPY30

3 Images
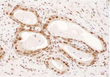
Immunohistochemistry (Frozen sections) - Anti-DPY30 antibody - N-terminal (AB187690)
  • IHC-Fr

Supplier Data

Immunohistochemistry (Frozen sections) - Anti-DPY30 antibody - N-terminal (AB187690)

Immunohistochemical analysis of frozen section of Human prostate carcinoma tissue with ab187690 at 1/1000 (1μg/ml) dilution. Detection : DAB. Counterstain : IHC Hematoxylin (blue).

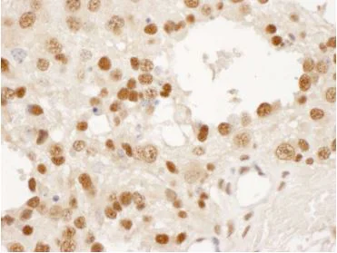
Immunohistochemistry (Frozen sections) - Anti-DPY30 antibody - N-terminal (AB187690)
  • IHC-Fr

Supplier Data

Immunohistochemistry (Frozen sections) - Anti-DPY30 antibody - N-terminal (AB187690)

Immunohistochemical analysis of frozen section of Mouse teratoma tissue with ab187690 at 1/1000 (1μg/ml) dilution.

Detection : DAB. Counterstain : IHC Hematoxylin (blue).

Immunoprecipitation - Anti-DPY30 antibody - N-terminal (AB187690)
  • IP

Supplier Data

Immunoprecipitation - Anti-DPY30 antibody - N-terminal (AB187690)

Detection of DPY30 by Western Blot of Immunoprecipitate.
ab187690 at 1μg/ml labeling DPY30 in 293T whole cell lysate immunoprecipitated using ab187690 at 6μg/mg lysate (Lane 1) Control IgG (Lane 2) (1 mg/IP; 20% of IP loaded/lane). Detection : Chemiluminescence with exposure time of 3 minutes.

Please note : ab187690 has not performed satisfactorily when used for WB of DPY30 in crude preparations (e.g. whole cell lysate). It can be used for WB of enriched DPY30 (e.g. immunoprecipitated).

All lanes:

Immunoprecipitation - Anti-DPY30 antibody - N-terminal (ab187690)

Predicted band size: 11 kDa

true

Exposure time: 3min

Key facts

Host species

Rabbit

Clonality

Polyclonal

Isotype

IgG

Carrier free

No

Reacts with

Mouse, Human

Applications

IHC-Fr, IP

applications

Immunogen

Synthetic Peptide within Human DPY30 aa 1-50. The exact immunogen used to generate this antibody is proprietary information.

Q9C005

Reactivity data

{ "title": "Reactivity Data", "filters": { "stats": ["", "Species", "Dilution Info", "Notes"], "tabs": { "all-applications": {"fullname" : "All Applications", "shortname": "All Applications"}, "IP" : {"fullname" : "Immunoprecipitation", "shortname":"IP"}, "IHCFr" : {"fullname" : "Immunohistochemistry (Frozen sections)", "shortname":"IHC-Fr"} }, "product-promise": { "all": "all", "testedAndGuaranteed": "tested", "guaranteed": "expected", "predicted": "predicted", "notRecommended": "not-recommended" } }, "values": { "Human": { "IP-species-checked": "testedAndGuaranteed", "IP-species-dilution-info": "2-10 µg/mg of lysate", "IP-species-notes": "<p></p>", "IHCFr-species-checked": "testedAndGuaranteed", "IHCFr-species-dilution-info": "1/1000 - 1/5000", "IHCFr-species-notes": "<p>Epitope retrieval with citrate buffer pH 6.0 is recommended for FFPE tissue sections.</p>" }, "Mouse": { "IP-species-checked": "guaranteed", "IP-species-dilution-info": "", "IP-species-notes": "", "IHCFr-species-checked": "testedAndGuaranteed", "IHCFr-species-dilution-info": "1/1000 - 1/5000", "IHCFr-species-notes": "<p>Epitope retrieval with citrate buffer pH 6.0 is recommended for FFPE tissue sections.</p>" }, "Rat": { "IP-species-checked": "predicted", "IP-species-dilution-info": "", "IP-species-notes": "", "IHCFr-species-checked": "predicted", "IHCFr-species-dilution-info": "", "IHCFr-species-notes": "" }, "Chimpanzee": { "IP-species-checked": "predicted", "IP-species-dilution-info": "", "IP-species-notes": "", "IHCFr-species-checked": "predicted", "IHCFr-species-dilution-info": "", "IHCFr-species-notes": "" }, "Chinese hamster": { "IP-species-checked": "predicted", "IP-species-dilution-info": "", "IP-species-notes": "", "IHCFr-species-checked": "predicted", "IHCFr-species-dilution-info": "", "IHCFr-species-notes": "" }, "Cow": { "IP-species-checked": "predicted", "IP-species-dilution-info": "", "IP-species-notes": "", "IHCFr-species-checked": "predicted", "IHCFr-species-dilution-info": "", "IHCFr-species-notes": "" }, "Cynomolgus monkey": { "IP-species-checked": "predicted", "IP-species-dilution-info": "", "IP-species-notes": "", "IHCFr-species-checked": "predicted", "IHCFr-species-dilution-info": "", "IHCFr-species-notes": "" }, "Dog": { "IP-species-checked": "predicted", "IP-species-dilution-info": "", "IP-species-notes": "", "IHCFr-species-checked": "predicted", "IHCFr-species-dilution-info": "", "IHCFr-species-notes": "" }, "Orangutan": { "IP-species-checked": "predicted", "IP-species-dilution-info": "", "IP-species-notes": "", "IHCFr-species-checked": "predicted", "IHCFr-species-dilution-info": "", "IHCFr-species-notes": "" }, "Pig": { "IP-species-checked": "predicted", "IP-species-dilution-info": "", "IP-species-notes": "", "IHCFr-species-checked": "predicted", "IHCFr-species-dilution-info": "", "IHCFr-species-notes": "" }, "Rabbit": { "IP-species-checked": "predicted", "IP-species-dilution-info": "", "IP-species-notes": "", "IHCFr-species-checked": "predicted", "IHCFr-species-dilution-info": "", "IHCFr-species-notes": "" }, "Rhesus monkey": { "IP-species-checked": "predicted", "IP-species-dilution-info": "", "IP-species-notes": "", "IHCFr-species-checked": "predicted", "IHCFr-species-dilution-info": "", "IHCFr-species-notes": "" } } }

Properties and storage information

Form
Liquid
Purification technique
Affinity purification Immunogen
Purification notes
ab187690 was affinity purified using an epitope specific to DPY30 immobilized on solid support.
Storage buffer
pH: 7 - 8 Preservative: 0.09% Sodium azide Constituents: 99% Tris citrate/phosphate
Shipped at conditions
Blue Ice
Appropriate short-term storage duration
1-2 weeks
Appropriate short-term storage conditions
+4°C
Appropriate long-term storage conditions
-20°C
Aliquoting information
Upon delivery aliquot
Storage information
Avoid freeze / thaw cycle

Supplementary information

This supplementary information is collated from multiple sources and compiled automatically.

DPY30 also known as Dpy-30-like protein or DPy-30 homolog is a component of the MLL/SET1 histone methyltransferase complexes implicated in histone H3 lysine 4 (H3K4) methylation. This protein has an estimated molecular mass of approximately 9 kDa. It is widely expressed in different tissues which indicates its importance across various cellular environments. The primary role of DPY30 involves facilitating the catalytic activity within these complexes influencing the transcriptional states by modulating chromatin structure.
Biological function summary

DPY30 functions as a core component of the SET1A and SET1B complexes participating in the regulation of gene expression by promoting the trimethylation of H3K4. This histone modification is associated with transcriptionally active chromatin influencing gene activation. DPY30 cooperates with other components like RBBP5 and WDR5 to achieve this modification. By modulating gene expression DPY30 is critical in processes like differentiation and development.

Pathways

DPY30 is deeply involved in chromatin modification and gene transcription pathways. It plays a significant role in the Wnt signaling pathway known for its involvement in developmental processes and cell growth. DPY30 interacts with related proteins within these pathways such as ASH2L which functions as another component of the SET1/MLL complexes to exert its effects on chromatin dynamics and transcription regulation.

DPY30 has been linked to certain cancers particularly acute myeloid leukemia (AML). Research indicates that abnormal activity of the SET1/MLL complexes possibly involving DPY30 may contribute to the leukemogenic process. Additionally it has connections to developmental disorders where mutations impacting histone modification processes disrupt normal developmental signaling pathways. The connection to proteins like MEN1 which interacts with histone modification complexes highlights its role in disease progression.

Product protocols

For this product, it's our understanding that no specific protocols are required. You can visit:

Target data

As part of the MLL1/MLL complex, involved in the methylation of histone H3 at 'Lys-4', particularly trimethylation. Histone H3 'Lys-4' methylation represents a specific tag for epigenetic transcriptional activation. May play some role in histone H3 acetylation. In a teratocarcinoma cell, plays a crucial role in retinoic acid-induced differentiation along the neural lineage, regulating gene induction and H3 'Lys-4' methylation at key developmental loci. May also play an indirect or direct role in endosomal transport.
See full target information DPY30

Publications (3)

Recent publications for all applications. Explore the full list and refine your search

Neural regeneration research 16:1294-1301 PubMed33318408

2020

Identification of potential oxidative stress biomarkers for spinal cord injury in erythrocytes using mass spectrometry.

Applications

Unspecified application

Species

Unspecified reactive species

Li-Jian Zhang,Yao Chen,Lu-Xuan Wang,Xiao-Qing Zhuang,He-Chun Xia

Nucleic acids research 48:10768-10784 PubMed32986841

2020

An H3K4me3 reader, BAP18 as an adaptor of COMPASS-like core subunits co-activates ERα action and associates with the sensitivity of antiestrogen in breast cancer.

Applications

Unspecified application

Species

Unspecified reactive species

Ge Sun,Chunyu Wang,Shengli Wang,Hongmiao Sun,Kai Zeng,Renlong Zou,Lin Lin,Wei Liu,Ning Sun,Huijuan Song,Wensu Liu,Tingting Zhou,Feng Jin,Zhongyan Shan,Yue Zhao

EBioMedicine 53:102685 PubMed32113162

2020

BAP18 is involved in upregulation of CCND1/2 transcription to promote cell growth in oral squamous cell carcinoma.

Applications

Unspecified application

Species

Unspecified reactive species

Xue Wang,Chunyu Wang,Guangqi Yan,Yuanyuan Kang,Ge Sun,Shengli Wang,Renlong Zou,Hongmiao Sun,Kai Zeng,Huijuan Song,Wei Liu,Ning Sun,Wensu Liu,Yue Zhao
View all publications

Product promise

We are committed to supporting your work with high-quality reagents, and we're here for you every step of the way. In the unlikely event that one of our products does not perform as expected, you're protected by our Product Promise.
For full details, please see our Terms & Conditions

Please note: All products are 'FOR RESEARCH USE ONLY. NOT FOR USE IN DIAGNOSTIC OR THERAPEUTIC PROCEDURES'.

For licensing inquiries, please contact partnerships@abcam.com