JavaScript is disabled in your browser. Please enable JavaScript to view this website.
AB250168

Anti-DR1 antibody [EPR13122] - BSA and Azide free

Be the first to review this product! Submit a review

|

(0 Publication)

Rabbit Recombinant Monoclonal DR1 antibody. Carrier free. Suitable for IHC-P, IP, WB and reacts with Human samples.

View Alternative Names

Protein Dr1, Down-regulator of transcription 1, Negative cofactor 2-beta, TATA-binding protein-associated phosphoprotein, NC2-beta, DR1

4 Images
Immunohistochemistry (Formalin/PFA-fixed paraffin-embedded sections) - Anti-DR1 antibody [EPR13122] - BSA and Azide free (AB250168)
  • IHC-P

Supplier Data

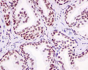
Immunohistochemistry (Formalin/PFA-fixed paraffin-embedded sections) - Anti-DR1 antibody [EPR13122] - BSA and Azide free (AB250168)

This data was developed using ab180164, the same antibody clone in a different buffer formulation.

Immunohistochemical analysis of paraffin-embedded Human ovarian carcinoma tissue labeling DR1 using ab180164 at 1/250.

Perform heat mediated antigen retrieval with citrate buffer pH 6 before commencing with IHC staining protocol.

Immunohistochemistry (Formalin/PFA-fixed paraffin-embedded sections) - Anti-DR1 antibody [EPR13122] - BSA and Azide free (AB250168)
  • IHC-P

Supplier Data

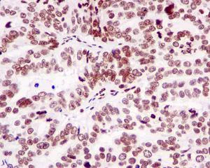
Immunohistochemistry (Formalin/PFA-fixed paraffin-embedded sections) - Anti-DR1 antibody [EPR13122] - BSA and Azide free (AB250168)

This data was developed using ab180164, the same antibody clone in a different buffer formulation.

Immunohistochemical analysis of paraffin-embedded Human prostate tissue labeling DR1 using ab180164 at 1/250.

Perform heat mediated antigen retrieval with citrate buffer pH 6 before commencing with IHC staining protocol.

Immunoprecipitation - Anti-DR1 antibody [EPR13122] - BSA and Azide free (AB250168)
  • IP

Supplier Data

Immunoprecipitation - Anti-DR1 antibody [EPR13122] - BSA and Azide free (AB250168)

This data was developed using ab180164, the same antibody clone in a different buffer formulation.

Western blot analysis on immunoprecipitation pellet from (1) 293T cell lysate or (2) 1X PBS (negative control) pulling down DR1 using ab180164 at 1/10 and HRP-conjugated anti-rabbit IgG preferentially detecting the non-reduced form of rabbit IgG.

All lanes:

Immunoprecipitation - Anti-DR1 antibody [EPR13122] (<a href='/en-us/products/primary-antibodies/dr1-antibody-epr13122-ab180164'>ab180164</a>)

Predicted band size: 19 kDa

true

Western blot - Anti-DR1 antibody [EPR13122] - BSA and Azide free (AB250168)
  • WB

Supplier Data

Western blot - Anti-DR1 antibody [EPR13122] - BSA and Azide free (AB250168)

This data was developed using ab180164, the same antibody clone in a different buffer formulation.

All lanes:

Western blot - Anti-DR1 antibody [EPR13122] (<a href='/en-us/products/primary-antibodies/dr1-antibody-epr13122-ab180164'>ab180164</a>) at 1/1000 dilution

Lane 1:

HeLa cell lysate at 10 µg

Lane 2:

293T cell lysate at 10 µg

Lane 3:

Jurkat cell lysate at 10 µg

Lane 4:

Human testis tissue lysate at 10 µg

Predicted band size: 19 kDa

true

Key facts

Host species

Rabbit

Clonality

Monoclonal

Clone number

EPR13122

Isotype

IgG

Carrier free

Yes

Reacts with

Human

Applications

WB, IP, IHC-P

applications

Immunogen

The exact immunogen used to generate this antibody is proprietary information.

Reactivity data

{ "title": "Reactivity Data", "filters": { "stats": ["", "Species", "Dilution Info", "Notes"], "tabs": { "all-applications": {"fullname" : "All Applications", "shortname": "All Applications"}, "IHCP" : {"fullname" : "Immunohistochemistry (Formalin/PFA-fixed paraffin-embedded sections)", "shortname":"IHC-P"}, "IP" : {"fullname" : "Immunoprecipitation", "shortname":"IP"}, "FlowCyt" : {"fullname" : "Flow Cytometry", "shortname":"Flow Cyt"}, "WB" : {"fullname" : "Western blot", "shortname":"WB"}, "ICCIF" : {"fullname" : "Immunocytochemistry/ Immunofluorescence", "shortname":"ICC/IF"} }, "product-promise": { "all": "all", "testedAndGuaranteed": "tested", "guaranteed": "expected", "predicted": "predicted", "notRecommended": "not-recommended" } }, "values": { "Human": { "IHCP-species-checked": "testedAndGuaranteed", "IHCP-species-dilution-info": "", "IHCP-species-notes": "<p></p>", "IP-species-checked": "testedAndGuaranteed", "IP-species-dilution-info": "", "IP-species-notes": "<p></p>", "FlowCyt-species-checked": "notRecommended", "FlowCyt-species-dilution-info": "", "FlowCyt-species-notes": "<p></p>", "WB-species-checked": "testedAndGuaranteed", "WB-species-dilution-info": "", "WB-species-notes": "<p></p>", "ICCIF-species-checked": "notRecommended", "ICCIF-species-dilution-info": "", "ICCIF-species-notes": "<p></p>" }, "Mouse": { "IHCP-species-checked": "predicted", "IHCP-species-dilution-info": "", "IHCP-species-notes": "", "IP-species-checked": "predicted", "IP-species-dilution-info": "", "IP-species-notes": "", "FlowCyt-species-checked": "notRecommended", "FlowCyt-species-dilution-info": "", "FlowCyt-species-notes": "", "WB-species-checked": "predicted", "WB-species-dilution-info": "", "WB-species-notes": "", "ICCIF-species-checked": "notRecommended", "ICCIF-species-dilution-info": "", "ICCIF-species-notes": "" }, "Rat": { "IHCP-species-checked": "predicted", "IHCP-species-dilution-info": "", "IHCP-species-notes": "", "IP-species-checked": "predicted", "IP-species-dilution-info": "", "IP-species-notes": "", "FlowCyt-species-checked": "notRecommended", "FlowCyt-species-dilution-info": "", "FlowCyt-species-notes": "", "WB-species-checked": "predicted", "WB-species-dilution-info": "", "WB-species-notes": "", "ICCIF-species-checked": "notRecommended", "ICCIF-species-dilution-info": "", "ICCIF-species-notes": "" } } }

Product details

ab250168 is the carrier-free version of ab180164.

Patented technology
Our RabMAb® technology is a patented hybridoma-based technology for making rabbit monoclonal antibodies. For details on our patents, please refer to RabMAb® patents.

What are the advantages of a recombinant monoclonal antibody?
This product is a recombinant monoclonal antibody, which offers several advantages including:

  • - High batch-to-batch consistency and reproducibility
  • - Improved sensitivity and specificity
  • - Long-term security of supply
  • - Animal-free batch production

For more information, read more on recombinant antibodies.

Conjugation ready
Our carrier-free antibodies are typically supplied in a PBS-only formulation, purified and free of BSA, sodium azide and glycerol. This conjugation-ready format is designed for use with fluorochromes, metal isotopes, oligonucleotides, and enzymes, which makes them ideal for antibody labelling, functional and cell-based assays, flow-based assays (e.g. mass cytometry) and Multiplex Imaging applications.

Use our conjugation kits for antibody conjugates that are ready-to-use in as little as 20 minutes with 1 minute hands-on-time and 100% antibody recovery: available for fluorescent dyes, HRP, biotin and gold.

Compatibility
This product is compatible with the Maxpar® Antibody Labeling Kit from Fluidigm, without the need for antibody preparation. Maxpar® is a trademark of Fluidigm Canada Inc.

Properties and storage information

Form
Liquid
Purification technique
Affinity purification Protein A
Storage buffer
pH: 7.2 - 7.4 Constituents: PBS
Shipped at conditions
Blue Ice
Appropriate short-term storage conditions
+4°C
Appropriate long-term storage conditions
+4°C
Storage information
Do Not Freeze

Supplementary information

This supplementary information is collated from multiple sources and compiled automatically.

DR1 also known as negative cofactor 2 (NC2) is an important protein involved in the regulation of gene transcription. It has a molecular weight of approximately 19 kDa and is widely expressed in various tissues. DR1 functions mainly as a transcriptional repressor by interacting with the TATA-binding protein (TBP) therefore inhibiting TBP’s ability to initiate the transcription process. By forming a complex with NC2β also known as DRAP1 DR1 can bind to the TATA box during the transcription initiation step regulating the expression of a diverse range of genes.
Biological function summary

DR1 plays a critical role in chromatin remodeling and transcription regulation. It is a part of the DR1/DRAP1 complex which influences the basal transcription machinery. This complex modulates transcription from TATA-containing promoters by altering the TBP-induced DNA bending leading to changes in gene expression patterns that are necessary for cellular homeostasis and development. Its interaction with other transcriptional modifiers helps to finely tune the transcriptional responses of cells.

Pathways

DR1 is integral to the transcriptional regulation pathway specifically affecting the process of transcription initiation. The DR1/DRAP1 complex plays an essential role in maintaining the balance between activators and repressors at the promoter sites. It works closely with proteins like TBP-associated factors (TAFs) which are part of the transcription factor IID (TFIID) complex. This ensures that transcription is controlled precisely allowing cells to respond accurately to various signaling cues.

Dysregulation of DR1 has been linked to cancer and developmental disorders. For instance abnormalities in DR1 expression or function can contribute to the improper regulation of genes that control cell growth potentially leading to tumorigenesis. Additionally mutations or disruptions in DR1-associated pathways might be implicated in developmental disorders where gene transcription processes are adversely affected. Its interaction with other transcription factors involved in these pathways suggests a broader role in disease pathogenesis.

Product protocols

For this product, it's our understanding that no specific protocols are required. You can visit:

Target data

The association of the DR1/DRAP1 heterodimer with TBP results in a functional repression of both activated and basal transcription of class II genes. This interaction precludes the formation of a transcription-competent complex by inhibiting the association of TFIIA and/or TFIIB with TBP. Can bind to DNA on its own. Component of the ATAC complex, a complex with histone acetyltransferase activity on histones H3 and H4.
See full target information DR1

Product promise

We are committed to supporting your work with high-quality reagents, and we're here for you every step of the way. In the unlikely event that one of our products does not perform as expected, you're protected by our Product Promise.
For full details, please see our Terms & Conditions

Please note: All products are 'FOR RESEARCH USE ONLY. NOT FOR USE IN DIAGNOSTIC OR THERAPEUTIC PROCEDURES'.

For licensing inquiries, please contact partnerships@abcam.com