JavaScript is disabled in your browser. Please enable JavaScript to view this website.
AB216662

Anti-DR4 antibody

Be the first to review this product! Submit a review

|

(2 Publications)

Rabbit Polyclonal DR4 antibody. Suitable for WB, IHC-P and reacts with Human, Rat samples. Cited in 2 publications. Immunogen corresponding to Synthetic Peptide within Human TNFRSF10A aa 400 to C-terminus conjugated to Keyhole Limpet Haemocyanin.

View Alternative Names

CD261, APO2, DR4, TRAILR1, TNFRSF10A, Tumor necrosis factor receptor superfamily member 10A, Death receptor 4, TNF-related apoptosis-inducing ligand receptor 1, TRAIL receptor 1, TRAIL-R1

4 Images
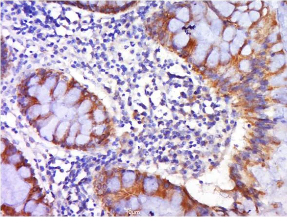
Immunohistochemistry (Formalin/PFA-fixed paraffin-embedded sections) - Anti-DR4 antibody (AB216662)
  • IHC-P

Supplier Data

Immunohistochemistry (Formalin/PFA-fixed paraffin-embedded sections) - Anti-DR4 antibody (AB216662)

Immunohistochemical analysis of formalin-fixed, paraffin-embedded human colon carcinoma tissue labeling DR4 with ab216662 at 1/500 dilution overnight at 4°C followed by conjugation to the secondary antibody and DAB staining. Prior to addition of the primary antibody, antigen retrieval was carried out by boiling in sodium citrate buffer (pH6.0) for 15min. Endogenous peroxidase was blocked by 3% hydrogen peroxide for 30 minutes and blocking buffer (normal goat serum) added at 37°C for 20 min.

Western blot - Anti-DR4 antibody (AB216662)
  • WB

Lab

Western blot - Anti-DR4 antibody (AB216662)

All lanes:

Western blot - Anti-DR4 antibody (ab216662) at 1/500 dilution

All lanes:

MCF-7 cell lysates

Secondary

All lanes:

Conjugated secondary antibody at 1/10000 dilution

Predicted band size: 50 kDa

false

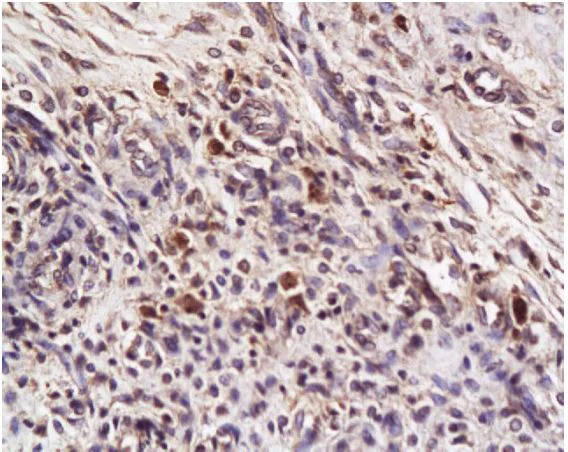
Immunohistochemistry (Formalin/PFA-fixed paraffin-embedded sections) - Anti-DR4 antibody (AB216662)
  • IHC-P

Supplier Data

Immunohistochemistry (Formalin/PFA-fixed paraffin-embedded sections) - Anti-DR4 antibody (AB216662)

Immunohistochemical analysis of formalin-fixed, paraffin-embedded rat colon tissue labeling DR4 with ab216662 at 1/200 dilution followed by conjugation to the secondary antibody and DAB staining.

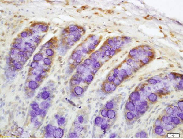
Immunohistochemistry (Formalin/PFA-fixed paraffin-embedded sections) - Anti-DR4 antibody (AB216662)
  • IHC-P

Supplier Data

Immunohistochemistry (Formalin/PFA-fixed paraffin-embedded sections) - Anti-DR4 antibody (AB216662)

Immunohistochemical analysis of formalin-fixed, paraffin-embedded rat uterus tissue labeling DR4 with ab216662 at 1/200 dilution followed by conjugation to the secondary antibody and DAB staining.

Key facts

Host species

Rabbit

Clonality

Polyclonal

Isotype

IgG

Carrier free

No

Reacts with

Rat, Human

Applications

WB, IHC-P

applications

Immunogen

Synthetic Peptide within Human TNFRSF10A aa 400 to C-terminus conjugated to Keyhole Limpet Haemocyanin. The exact immunogen used to generate this antibody is proprietary information.

O00220

Reactivity data

{ "title": "Reactivity Data", "filters": { "stats": ["", "Species", "Dilution Info", "Notes"], "tabs": { "all-applications": {"fullname" : "All Applications", "shortname": "All Applications"}, "WB" : {"fullname" : "Western blot", "shortname":"WB"}, "IHCP" : {"fullname" : "Immunohistochemistry (Formalin/PFA-fixed paraffin-embedded sections)", "shortname":"IHC-P"} }, "product-promise": { "all": "all", "testedAndGuaranteed": "tested", "guaranteed": "expected", "predicted": "predicted", "notRecommended": "not-recommended" } }, "values": { "Human": { "WB-species-checked": "testedAndGuaranteed", "WB-species-dilution-info": "1/500", "WB-species-notes": "<p></p>", "IHCP-species-checked": "testedAndGuaranteed", "IHCP-species-dilution-info": "1/100 - 1/500", "IHCP-species-notes": "<p></p>" }, "Rat": { "WB-species-checked": "guaranteed", "WB-species-dilution-info": "", "WB-species-notes": "", "IHCP-species-checked": "testedAndGuaranteed", "IHCP-species-dilution-info": "1/100 - 1/500", "IHCP-species-notes": "<p></p>" } } }

Properties and storage information

Form
Liquid
Purification technique
Affinity purification Protein A
Storage buffer
pH: 7.4 Preservative: 0.02% Proclin 300 Constituents: 50% Glycerol (glycerin, glycerine), 48.98% TBS, 1X, 1% BSA
Shipped at conditions
Blue Ice
Appropriate short-term storage duration
1-2 weeks
Appropriate short-term storage conditions
+4°C
Appropriate long-term storage conditions
-20°C
Aliquoting information
Upon delivery aliquot
Storage information
Avoid freeze / thaw cycle

Supplementary information

This supplementary information is collated from multiple sources and compiled automatically.

DR4 also known as TRAIL-R1 is a receptor with a molecular weight of approximately 60 kDa. It is part of the tumor necrosis factor receptor (TNFR) superfamily. DR4 is widely expressed in various types of tissues such as the liver spleen thymus and peripheral blood leukocytes. It functions mechanically by binding to its ligand TNF-related apoptosis-inducing ligand (TRAIL) which initiates signaling cascades that lead to apoptosis or programmed cell death.
Biological function summary

The death receptor 4 plays an important role in mediating cell apoptosis. Upon ligand binding DR4 interacts with the adapter molecule FADD (FAS-associated protein with death domain) facilitating the formation of the death-inducing signaling complex (DISC). This complex recruits and activates caspase-8 which eventually leads to the activation of the downstream effector caspases driving the cell towards apoptosis. DR4 operates as a significant component of the extrinsic pathway of apoptosis a process important for maintaining cellular homeostasis and eliminating harmful cells.

Pathways

DR4 functions critically within the extrinsic apoptotic pathway. This pathway involves other death receptors such as DR5 which also binds TRAIL similarly leading to apoptosis through DISC formation and caspase activation. The extrinsic pathway interconnects with the intrinsic pathway via the mitochondria with proteins like Bid acting as a bridge between them. The engagement of these pathways highlights DR4’s importance in regulatory mechanisms of cell death tightly controlling cellular proliferation and survival.

DR4 plays a significant role in cancer and autoimmune diseases. Alterations in DR4 expression or function can lead to evasion of apoptosis by cancer cells contributing to tumor progression. The defective apoptotic signaling via DR4 is also linked to autoimmune disorders where insufficient apoptosis may allow for the survival of autoreactive immune cells. In both scenarios DR4's involvement usually associates with its counterpart DR5 as they share similar ligand-binding properties and signal transduction mechanisms in diseased states.

Product protocols

For this product, it's our understanding that no specific protocols are required. You can visit:

Target data

Receptor for the cytotoxic ligand TNFSF10/TRAIL (PubMed : 26457518, PubMed : 38532423). The adapter molecule FADD recruits caspase-8 to the activated receptor. The resulting death-inducing signaling complex (DISC) performs caspase-8 proteolytic activation which initiates the subsequent cascade of caspases (aspartate-specific cysteine proteases) mediating apoptosis (PubMed : 19090789). Promotes the activation of NF-kappa-B (PubMed : 9430227).
See full target information TNFRSF10A

Publications (2)

Recent publications for all applications. Explore the full list and refine your search

Lipids in health and disease 23:94 PubMed38566151

2024

GLUT4 localisation with the plasma membrane is unaffected by an increase in plasma free fatty acid availability.

Applications

Unspecified application

Species

Unspecified reactive species

J S Barrett,J A Strauss,L S Chow,S O Shepherd,A J M Wagenmakers,Y Wang

Experimental and therapeutic medicine 24:726 PubMed36340606

2022

ASPP2 promotes cell apoptosis in cervical cancer through inhibiting autophagy.

Applications

Unspecified application

Species

Unspecified reactive species

Feiyun Jiang,Ganxia Bian,Jiehua Li
View all publications

Product promise

We are committed to supporting your work with high-quality reagents, and we're here for you every step of the way. In the unlikely event that one of our products does not perform as expected, you're protected by our Product Promise.
For full details, please see our Terms & Conditions

Please note: All products are 'FOR RESEARCH USE ONLY. NOT FOR USE IN DIAGNOSTIC OR THERAPEUTIC PROCEDURES'.

For licensing inquiries, please contact partnerships@abcam.com