JavaScript is disabled in your browser. Please enable JavaScript to view this website.
AB268264

Anti-DR5 antibody [DR5/3381] - BSA and Azide free

Be the first to review this product! Submit a review

|

(0 Publication)

Mouse Monoclonal DR5 antibody. Carrier free. Suitable for Protein Array, IHC-P and reacts with Human samples. Immunogen corresponding to Recombinant Fragment Protein within Human TNFRSF10B aa 250-400.

View Alternative Names

CD262, DR5, KILLER, TRAILR2, TRICK2, ZTNFR9, UNQ160/PRO186, TNFRSF10B, Tumor necrosis factor receptor superfamily member 10B, Death receptor 5, TNF-related apoptosis-inducing ligand receptor 2, TRAIL receptor 2, TRAIL-R2

3 Images
Immunohistochemistry (Formalin/PFA-fixed paraffin-embedded sections) - Anti-DR5 antibody [DR5/3381] - BSA and Azide free (AB268264)
  • IHC-P

Unknown

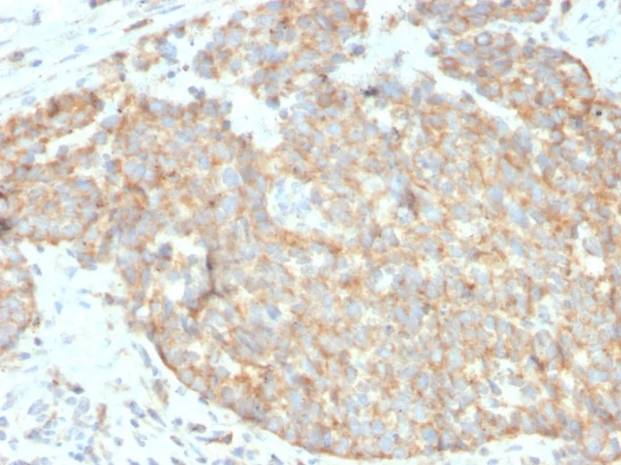
Immunohistochemistry (Formalin/PFA-fixed paraffin-embedded sections) - Anti-DR5 antibody [DR5/3381] - BSA and Azide free (AB268264)

Formalin-fixed, paraffin-embedded human colon carcinoma tissue stained for DR5 using ab268140 at 2 μg/ml for 30 minutes at room temperature in immunohistochemical analysis

This data was developed using the same antibody clone in a different buffer formulation containing PBS, BSA and Sodium azide (ab268140)

Immunohistochemistry (Formalin/PFA-fixed paraffin-embedded sections) - Anti-DR5 antibody [DR5/3381] - BSA and Azide free (AB268264)
  • IHC-P

Unknown

Immunohistochemistry (Formalin/PFA-fixed paraffin-embedded sections) - Anti-DR5 antibody [DR5/3381] - BSA and Azide free (AB268264)

Formalin-fixed, paraffin-embedded human breast carcinoma tissue stained for DR5 using ab268140 at 2 μg/ml for 30 minutes at room temperature in immunohistochemical analysis.

This data was developed using the same antibody clone in a different buffer formulation containing PBS, BSA and Sodium azide (ab268140)

Protein Array - Anti-DR5 antibody [DR5/3381] - BSA and Azide free (AB268264)
  • Protein Array

Unknown

Protein Array - Anti-DR5 antibody [DR5/3381] - BSA and Azide free (AB268264)

Protein Array containing >19,000 full-length human proteins using ab268140.

Z- and S- Score : The Z-score represents the strength of a signal that a monoclonal antibody (Monoclonal Antibody) (in combination with a fluorescently-tagged anti-IgG secondary antibody) produces when binding to a particular protein on the HuProtTM array. Z-scores are described in units of standard deviations (SDs) above the mean value of all signals generated on that array. If targets on HuProtTM are arranged in descending order of the Z-score, the S-score is the difference (also in units of SDs) between the Z-score. S-score therefore represents the relative target specificity of a Monoclonal Antibody to its intended target. A Monoclonal Antibody is considered to specific to its intended target, if the Monoclonal Antibody has an S-score of at least 2.5. For example, if a Monoclonal Antibody binds to protein X with a Z-score of 43 and to protein Y with a Z-score of 14, then the S-score for the binding of that Monoclonal Antibody to protein X is equal to 29.

This data was developed using the same antibody clone in a different buffer formulation containing PBS, BSA and Sodium azide (ab268140)

Key facts

Host species

Mouse

Clonality

Monoclonal

Clone number

DR5/3381

Isotype

IgG1

Light chain type

kappa

Carrier free

Yes

Reacts with

Human

Applications

IHC-P, Protein Array

applications

Immunogen

Recombinant Fragment Protein within Human TNFRSF10B aa 250-400. The exact immunogen used to generate this antibody is proprietary information.

O14763

Reactivity data

{ "title": "Reactivity Data", "filters": { "stats": ["", "Species", "Dilution Info", "Notes"], "tabs": { "all-applications": {"fullname" : "All Applications", "shortname": "All Applications"}, "ProteinArray" : {"fullname" : "Protein Array", "shortname":"Protein Array"}, "IHCP" : {"fullname" : "Immunohistochemistry (Formalin/PFA-fixed paraffin-embedded sections)", "shortname":"IHC-P"} }, "product-promise": { "all": "all", "testedAndGuaranteed": "tested", "guaranteed": "expected", "predicted": "predicted", "notRecommended": "not-recommended" } }, "values": { "Human": { "ProteinArray-species-checked": "testedAndGuaranteed", "ProteinArray-species-dilution-info": "", "ProteinArray-species-notes": "<p></p>", "IHCP-species-checked": "testedAndGuaranteed", "IHCP-species-dilution-info": "1-2 µg/mL", "IHCP-species-notes": "<p></p> Perform heat-mediated antigen retrieval with Tris/EDTA buffer pH 9.0 before commencing with IHC staining protocol." } } }

You may be interested in:

AB46013

Human DR5 ELISA Kit (CD262)

0

0 Reviews

View product

We recommend this product because it’s often used in the same experiment or related research.

We advise that you always check the datasheet to ensure it fits your experiments, or contact ourtechnical teamfor help.

Properties and storage information

Form
Liquid
Purification technique
Affinity purification Protein A/G
Purification notes
Purified from bioreactor concentrate.
Storage buffer
pH: 7.2 - 7.4 Constituents: PBS
Shipped at conditions
Blue Ice
Appropriate short-term storage duration
1-2 weeks
Appropriate short-term storage conditions
+4°C
Appropriate long-term storage conditions
-20°C
Aliquoting information
Upon delivery aliquot
Storage information
Avoid freeze / thaw cycle

Supplementary information

This supplementary information is collated from multiple sources and compiled automatically.

DR5 also known as Death Receptor 5 TRAIL-R2 or TNFRSF10B is a protein critical in apoptosis. It is a transmembrane receptor with a mass of approximately 54 kDa. Researchers find it expressed mostly in tissues such as lung colon and prostate. DR5 functions by binding to its ligand TRAIL triggering the extrinsic apoptotic pathway. Through this mechanism DR5 initiates a cascade of caspase activation that leads to cell death.
Biological function summary

DR5 plays a significant role in the regulation of apoptosis particularly in cancer cells. It is a component of the TRAIL receptor complex which includes several other death receptors like DR4. This complex formation allows DR5 to mediate apoptotic signals more efficiently. By controlling apoptosis DR5 helps maintain tissue homeostasis and prevents abnormal cell proliferation.

Pathways

DR5 is an important part of the TRAIL signaling pathway and the extrinsic apoptosis pathway. It connects with proteins like FADD and Caspase-8 essential in the apoptotic signaling cascade. By interacting with these proteins DR5 drives the progression of the apoptotic signal ensuring the removal of dysfunctional cells. Such pathways are vital for restraining tumor development and progression.

DR5 exhibits significant relevance to cancer and autoimmune diseases. Its ability to induce apoptosis through the TRAIL pathway keeps oncogenic transformations in check. In cancer DR5 often interfaces with other proteins like Bcl-2 which are involved in cell survival. Furthermore defects or aberrant expressions in DR5 have associations with autoimmune disorders where excessive cell death or survival contributes to disease pathology. DR5's role in these conditions makes it a promising target in therapeutic strategies.

Product protocols

For this product, it's our understanding that no specific protocols are required. You can visit:

Target data

Receptor for the cytotoxic ligand TNFSF10/TRAIL (PubMed : 10549288). The adapter molecule FADD recruits caspase-8 to the activated receptor. The resulting death-inducing signaling complex (DISC) performs caspase-8 proteolytic activation which initiates the subsequent cascade of caspases (aspartate-specific cysteine proteases) mediating apoptosis. Promotes the activation of NF-kappa-B. Essential for ER stress-induced apoptosis.
See full target information TNFRSF10B

Product promise

We are committed to supporting your work with high-quality reagents, and we're here for you every step of the way. In the unlikely event that one of our products does not perform as expected, you're protected by our Product Promise.
For full details, please see our Terms & Conditions

Associated Products

Select an associated product type
Alternative Product
Primary Antibodies

AB251269

Anti-DR5 antibody [EPR19310] - BSA and Azide free

primary-antibodies

dr5-antibody-epr19310-bsa-and-azide-free-ab251269

0

(0 reviews)

Alternative Product
Primary Antibodies

AB199357

Anti-DR5 antibody [EPR19310]

primary-antibodies

dr5-antibody-epr19310-ab199357

5

(5 reviews)

Alternative Product
Primary Antibodies

AB230969

Anti-DR5 antibody [EPR22276]

primary-antibodies

dr5-antibody-epr22276-ab230969

0

(0 reviews)

Alternative Product
Primary Antibodies

AB243847

Anti-DR5 antibody [EPR22276] - BSA and Azide free

primary-antibodies

dr5-antibody-epr22276-bsa-and-azide-free-ab243847

0

(0 reviews)

Alternative Version
Primary Antibodies

AB268140

Anti-DR5 antibody [DR5/3381]

primary-antibodies

dr5-antibody-dr5-3381-ab268140

0

(0 reviews)

Please note: All products are 'FOR RESEARCH USE ONLY. NOT FOR USE IN DIAGNOSTIC OR THERAPEUTIC PROCEDURES'.

For licensing inquiries, please contact partnerships@abcam.com