JavaScript is disabled in your browser. Please enable JavaScript to view this website.
AB230969

Anti-DR5 antibody [EPR22276]

Be the first to review this product! Submit a review

|

(3 Publications)

Rabbit Recombinant Monoclonal DR5 antibody. Suitable for IP, WB, IHC-P and reacts with Human samples. Cited in 3 publications.

View Alternative Names

CD262, DR5, KILLER, TRAILR2, TRICK2, ZTNFR9, UNQ160/PRO186, TNFRSF10B, Tumor necrosis factor receptor superfamily member 10B, Death receptor 5, TNF-related apoptosis-inducing ligand receptor 2, TRAIL receptor 2, TRAIL-R2

5 Images
Immunohistochemistry (Formalin/PFA-fixed paraffin-embedded sections) - Anti-DR5 antibody [EPR22276] (AB230969)
  • IHC-P

Supplier Data

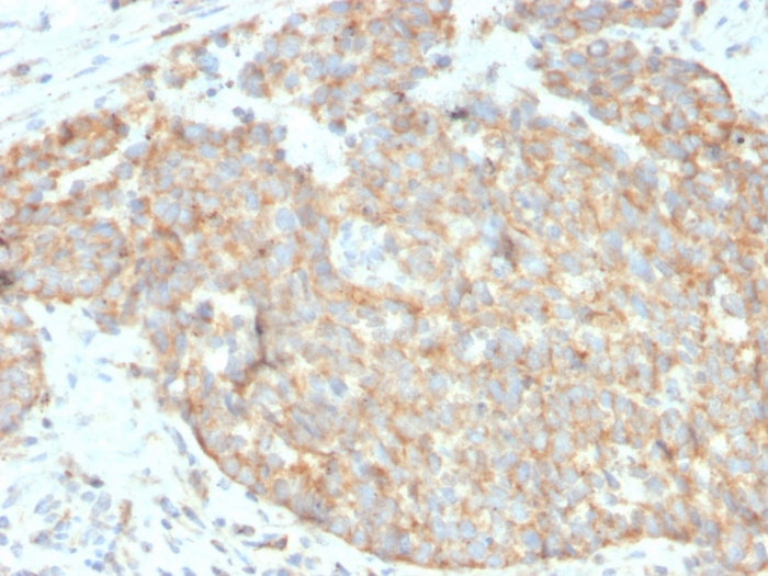
Immunohistochemistry (Formalin/PFA-fixed paraffin-embedded sections) - Anti-DR5 antibody [EPR22276] (AB230969)

Immunohistochemical analysis of paraffin-embedded human colon cancer tissue labeling DR5 with ab230969 at 1/1000 dilution, followed by a ready to use Goat Anti-Rabbit IgG H&L (HRP). Membranous and cytoplasmic staining in human colon cancer cells (PMID : 23284732) is observed. Counterstained with hematoxylin.
Secondary antibody only control : Used PBS instead of primary antibody, secondary antibody is a ready to use Goat Anti-Rabbit IgG H&L (HRP).
Perform heat mediated antigen retrieval using ab93684 (Tris/EDTA buffer, pH 9.0).

Immunohistochemistry (Formalin/PFA-fixed paraffin-embedded sections) - Anti-DR5 antibody [EPR22276] (AB230969)
  • IHC-P

Supplier Data

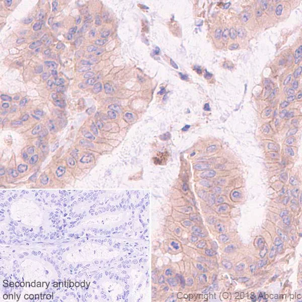
Immunohistochemistry (Formalin/PFA-fixed paraffin-embedded sections) - Anti-DR5 antibody [EPR22276] (AB230969)

Immunohistochemical analysis of paraffin-embedded human endometrium tissue labeling DR5 with ab230969 at 1/2000 dilution, followed by a ready to use Goat Anti-Rabbit IgG H&L (HRP). Cytoplasmic staining in endothelial cells of human endometrium (PMID : 22789540, 12874246, 15987601) is observed. Counterstained with hematoxylin.
Secondary antibody only control : Used PBS instead of primary antibody, secondary antibody is a ready to use Goat Anti-Rabbit IgG H&L (HRP).
Perform heat mediated antigen retrieval using ab93684 (Tris/EDTA buffer, pH 9.0).

Immunoprecipitation - Anti-DR5 antibody [EPR22276] (AB230969)
  • IP

Supplier Data

Immunoprecipitation - Anti-DR5 antibody [EPR22276] (AB230969)

DR5 was immunoprecipitated from 0.35 mg U-87 MG (human glioblastoma-astrocytoma epithelial cell) whole cell lysate with ab230969 at 1/30 dilution. Western blot was performed from the immunoprecipitate using ab230969 at 1/1000 dilution. VeriBlot for IP Detection Reagent (HRP) (ab131366), was used for detection at 1/5000 dilution.
Lane 1 : U-87 MG whole cell lysate 10 μg (Input).
Lane 2 : ab230969 IP in U-87 MG whole cell lysate.
Lane 3 : Rabbit monoclonal IgG (ab172730) instead of ab230969 in U-87 MG whole cell lysate.
Blocking/Dilution buffer : 5% NFDM/TBST.
Exposure time : 20 seconds.

The molecular weight observed is consistent with what has been described in the literature. The 40kDa band is a cleaved form (PMID : 20515924, 16297203).

All lanes:

Immunoprecipitation - Anti-DR5 antibody [EPR22276] (ab230969)

Predicted band size: 47 kDa

Observed band size: 40 kDa,48 kDa

false

Western blot - Anti-DR5 antibody [EPR22276] (AB230969)
  • WB

Lab

Western blot - Anti-DR5 antibody [EPR22276] (AB230969)

The molecular weight observed is consistent with what has been described in the literature, the 40kDa band is a cleaved form (PMID : 20515924, 16297203).

Blocking/Dilution buffer : 5% NFDM/TBST.

All lanes:

Western blot - Anti-DR5 antibody [EPR22276] (ab230969) at 1/1000 dilution

Lane 1:

Untreated HCT116 (human colorectal carcinoma epithelial cell), whole cell lysate at 20 µg

Lane 2:

HCT116 treated with 0.5 μM doxorubicin (<a href='/en-us/products/biochemicals/doxorubicin-hydrochloride-topoisomerase-ii-inhibitor-ab120629'>ab120629</a>) for 24 hours, whole cell lysate at 20 µg

Secondary

All lanes:

Western blot - Goat Anti-Rabbit IgG H&L (HRP) (<a href='/en-us/products/secondary-antibodies/goat-rabbit-igg-h-l-hrp-ab97051'>ab97051</a>) at 1/100000 dilution

Predicted band size: 47 kDa

false

Exposure time: 3min

Western blot - Anti-DR5 antibody [EPR22276] (AB230969)
  • WB

Supplier Data

Western blot - Anti-DR5 antibody [EPR22276] (AB230969)

The molecular weight observed is consistent with what has been described in the literature. The 40kDa band is a cleaved form (PMID : 20515924, 16297203).

Blocking/Dilution buffer : 5% NFDM/TBST.

Exposure times : Lanes 1 : 3 minutes; Lanes 2-3 : 59 seconds.

All lanes:

Western blot - Anti-DR5 antibody [EPR22276] (ab230969) at 1/1000 dilution

Lane 1:

HepG2 (human hepatocellular carcinoma epithelial cell), whole cell lysate at 20 µg

Lane 2:

HT-1080 (human fibrosarcoma epithelial cell), whole cell lysate at 20 µg

Lane 3:

U-87 MG (human glioblastoma-astrocytoma epithelial cell), whole cell lysate at 20 µg

Secondary

All lanes:

Western blot - Goat Anti-Rabbit IgG H&L (HRP) (<a href='/en-us/products/secondary-antibodies/goat-rabbit-igg-h-l-hrp-ab97051'>ab97051</a>) at 1/100000 dilution

Predicted band size: 47 kDa

false

  • Carrier free

    Anti-DR5 antibody [EPR22276] - BSA and Azide free

Key facts

Host species

Rabbit

Clonality

Monoclonal

Clone number

EPR22276

Isotype

IgG

Carrier free

No

Reacts with

Human

Applications

IP, IHC-P, WB

applications

Immunogen

The exact immunogen used to generate this antibody is proprietary information.

Reactivity data

{ "title": "Reactivity Data", "filters": { "stats": ["", "Species", "Dilution Info", "Notes"], "tabs": { "all-applications": {"fullname" : "All Applications", "shortname": "All Applications"}, "IP" : {"fullname" : "Immunoprecipitation", "shortname":"IP"}, "FlowCyt" : {"fullname" : "Flow Cytometry", "shortname":"Flow Cyt"}, "WB" : {"fullname" : "Western blot", "shortname":"WB"}, "ICCIF" : {"fullname" : "Immunocytochemistry/ Immunofluorescence", "shortname":"ICC/IF"}, "IHCP" : {"fullname" : "Immunohistochemistry (Formalin/PFA-fixed paraffin-embedded sections)", "shortname":"IHC-P"} }, "product-promise": { "all": "all", "testedAndGuaranteed": "tested", "guaranteed": "expected", "predicted": "predicted", "notRecommended": "not-recommended" } }, "values": { "Human": { "IP-species-checked": "testedAndGuaranteed", "IP-species-dilution-info": "1/30", "IP-species-notes": "<p></p>", "FlowCyt-species-checked": "notRecommended", "FlowCyt-species-dilution-info": "", "FlowCyt-species-notes": "<p></p>", "WB-species-checked": "testedAndGuaranteed", "WB-species-dilution-info": "1/1000", "WB-species-notes": "<p></p>", "ICCIF-species-checked": "notRecommended", "ICCIF-species-dilution-info": "", "ICCIF-species-notes": "<p></p>", "IHCP-species-checked": "testedAndGuaranteed", "IHCP-species-dilution-info": "1/2000", "IHCP-species-notes": "<p></p>" } } }

Product details

Patented technology
Our RabMAb® technology is a patented hybridoma-based technology for making rabbit monoclonal antibodies. For details on our patents, please refer to RabMAb® patents.

What are the advantages of a recombinant monoclonal antibody?
This product is a recombinant monoclonal antibody, which offers several advantages including:

  • - High batch-to-batch consistency and reproducibility
  • - Improved sensitivity and specificity
  • - Long-term security of supply
  • - Animal-free batch production

For more information, read more on recombinant antibodies.

Properties and storage information

Form
Liquid
Purification technique
Affinity purification Protein A
Storage buffer
pH: 7.2 - 7.4 Preservative: 0.01% Sodium azide Constituents: PBS, 40% Glycerol (glycerin, glycerine), 0.05% BSA
Shipped at conditions
Blue Ice
Appropriate short-term storage duration
1-2 weeks
Appropriate short-term storage conditions
+4°C
Appropriate long-term storage conditions
-20°C
Aliquoting information
Upon delivery aliquot
Storage information
Avoid freeze / thaw cycle

Supplementary information

This supplementary information is collated from multiple sources and compiled automatically.

DR5 also known as Death Receptor 5 TRAIL-R2 or TNFRSF10B is a protein critical in apoptosis. It is a transmembrane receptor with a mass of approximately 54 kDa. Researchers find it expressed mostly in tissues such as lung colon and prostate. DR5 functions by binding to its ligand TRAIL triggering the extrinsic apoptotic pathway. Through this mechanism DR5 initiates a cascade of caspase activation that leads to cell death.
Biological function summary

DR5 plays a significant role in the regulation of apoptosis particularly in cancer cells. It is a component of the TRAIL receptor complex which includes several other death receptors like DR4. This complex formation allows DR5 to mediate apoptotic signals more efficiently. By controlling apoptosis DR5 helps maintain tissue homeostasis and prevents abnormal cell proliferation.

Pathways

DR5 is an important part of the TRAIL signaling pathway and the extrinsic apoptosis pathway. It connects with proteins like FADD and Caspase-8 essential in the apoptotic signaling cascade. By interacting with these proteins DR5 drives the progression of the apoptotic signal ensuring the removal of dysfunctional cells. Such pathways are vital for restraining tumor development and progression.

DR5 exhibits significant relevance to cancer and autoimmune diseases. Its ability to induce apoptosis through the TRAIL pathway keeps oncogenic transformations in check. In cancer DR5 often interfaces with other proteins like Bcl-2 which are involved in cell survival. Furthermore defects or aberrant expressions in DR5 have associations with autoimmune disorders where excessive cell death or survival contributes to disease pathology. DR5's role in these conditions makes it a promising target in therapeutic strategies.

Product protocols

For this product, it's our understanding that no specific protocols are required. You can visit:

Target data

Receptor for the cytotoxic ligand TNFSF10/TRAIL (PubMed : 10549288). The adapter molecule FADD recruits caspase-8 to the activated receptor. The resulting death-inducing signaling complex (DISC) performs caspase-8 proteolytic activation which initiates the subsequent cascade of caspases (aspartate-specific cysteine proteases) mediating apoptosis. Promotes the activation of NF-kappa-B. Essential for ER stress-induced apoptosis.
See full target information TNFRSF10B

Publications (3)

Recent publications for all applications. Explore the full list and refine your search

Nature communications 16:6327 PubMed40645931

2025

Opposing roles of pseudokinases NRBP1 and NRBP2 in regulating L1 retrotransposition.

Applications

Unspecified application

Species

Unspecified reactive species

Wei Yang,Shaobo Cong,Ruoyao Li,Jennifer Schwarz,Thilo Schulze,Raban A Gevelhoff,Xinyan Chen,Sara Ullrich,Kristina Falkenstein,Denis Ott,Pia Eixmann,Angelica Trentino,Antje Thien,Thierry Heidmann,Ekkehard Schulze,Bettina Warscheid,Ralf Baumeister,Wenjing Qi

MedComm 5:e457 PubMed38222315

2024

Silibinin, a potential fasting mimetic, inhibits hepatocellular carcinoma by triggering extrinsic apoptosis.

Applications

Unspecified application

Species

Unspecified reactive species

Biying Xiao,Yanyu Jiang,Shuying Yuan,Lili Cai,Tong Xu,Lijun Jia

Environmental toxicology 35:1100-1113 PubMed32506763

2020

ROS-mediated PERK-eIF2α-ATF4 pathway plays an important role in arsenite-induced L-02 cells apoptosis via regulating CHOP-DR5 signaling.

Applications

Unspecified application

Species

Unspecified reactive species

Chunyan Liu,Aihua Zhang
View all publications

Product promise

We are committed to supporting your work with high-quality reagents, and we're here for you every step of the way. In the unlikely event that one of our products does not perform as expected, you're protected by our Product Promise.
For full details, please see our Terms & Conditions

Please note: All products are 'FOR RESEARCH USE ONLY. NOT FOR USE IN DIAGNOSTIC OR THERAPEUTIC PROCEDURES'.

For licensing inquiries, please contact partnerships@abcam.com