JavaScript is disabled in your browser. Please enable JavaScript to view this website.
AB96727

Anti-DRAGON antibody

4

(1 Review)

|

(3 Publications)

Rabbit Polyclonal DRAGON antibody. Suitable for WB, IHC-P and reacts with Human samples. Cited in 3 publications. Immunogen corresponding to Recombinant Fragment Protein within Human RGM domain family member B aa 200 to C-terminus.

View Alternative Names

Repulsive guidance molecule B, DRG11-responsive axonal guidance and outgrowth of neurite, DRAGON, RGMB

2 Images
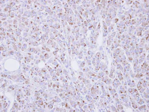
Immunohistochemistry (Formalin/PFA-fixed paraffin-embedded sections) - Anti-DRAGON antibody (AB96727)
  • IHC-P

Supplier Data

Immunohistochemistry (Formalin/PFA-fixed paraffin-embedded sections) - Anti-DRAGON antibody (AB96727)

Immunohistochemical analysis of paraffin-embedded U87 xenograft, using ab96727 at 1/100 dilution.

Western blot - Anti-DRAGON antibody (AB96727)
  • WB

Supplier Data

Western blot - Anti-DRAGON antibody (AB96727)

10% SDS PAGE

All lanes:

Western blot - Anti-DRAGON antibody (ab96727) at 1/1000 dilution

Lane 1:

A431 whole cell lysate at 30 µg

Lane 2:

H1299 whole cell lysate at 30 µg

Lane 3:

HeLa S3 whole cell lysate at 30 µg

Predicted band size: 48 kDa

false

Key facts

Host species

Rabbit

Clonality

Polyclonal

Isotype

IgG

Carrier free

No

Reacts with

Human

Applications

IHC-P, WB

applications

Immunogen

Recombinant Fragment Protein within Human RGM domain family member B aa 200 to C-terminus. The exact immunogen used to generate this antibody is proprietary information.

Q6NW40

Reactivity data

{ "title": "Reactivity Data", "filters": { "stats": ["", "Species", "Dilution Info", "Notes"], "tabs": { "all-applications": {"fullname" : "All Applications", "shortname": "All Applications"}, "WB" : {"fullname" : "Western blot", "shortname":"WB"}, "IHCP" : {"fullname" : "Immunohistochemistry (Formalin/PFA-fixed paraffin-embedded sections)", "shortname":"IHC-P"} }, "product-promise": { "all": "all", "testedAndGuaranteed": "tested", "guaranteed": "expected", "predicted": "predicted", "notRecommended": "not-recommended" } }, "values": { "Human": { "WB-species-checked": "testedAndGuaranteed", "WB-species-dilution-info": "1/500 - 1/3000", "WB-species-notes": "<p></p>", "IHCP-species-checked": "testedAndGuaranteed", "IHCP-species-dilution-info": "1/100 - 1/1000", "IHCP-species-notes": "<p></p>" } } }

Properties and storage information

Form
Liquid
Purification technique
Affinity purification Immunogen
Storage buffer
pH: 7 Preservative: 0.01% Thimerosal (merthiolate) Constituents: 10% Glycerol (glycerin, glycerine), 1.21% Tris, 0.75% Glycine
Shipped at conditions
Blue Ice
Appropriate short-term storage conditions
+4°C
Appropriate long-term storage conditions
-20°C
Aliquoting information
Upon delivery aliquot
Storage information
Avoid freeze / thaw cycle

Supplementary information

This supplementary information is collated from multiple sources and compiled automatically.

DRAGON also known as Repulsive Guidance Molecule b (RGMb) is a glycoprotein involved in the regulation of signaling pathways. It weighs approximately 50 kDa and is widely expressed in various tissues including the central nervous system liver and developing limbs. As a prominent member of the RGM family DRAGON plays a part in critical cellular processes such as growth and differentiation although the detailed mechanical actions require further exploration.
Biological function summary

This protein is significant in iron metabolism and the bone morphogenetic protein (BMP) signaling pathway. It acts not only independently but also as part of a complex with the BMP receptors playing roles in embryogenesis and neurodevelopment. Its binding properties enable it to modulate BMP signals important in processes like bone formation and neural patterning.

Pathways

DRAGON interacts primarily within the BMP signaling pathway and the hepcidin pathway. By coupling with BMPs such as BMP-2 and BMP-6 DRAGON influences processes like cellular growth and apoptosis guide. Its participation in the hepcidin pathway impacts iron homeostasis as it potentially regulates hepcidin an essential hormone produced by the liver that governs iron absorption and distribution in the body. These interactions highlight DRAGON's role in coordinating complex biological activities alongside proteins like hemojuvelin and neogenin.

DRAGON's dysfunction links to conditions like anemia and cancer. Abnormalities in its expression or interaction may result in improper iron metabolism seen in anemia of chronic disease. Further its role in BMP signaling connects it to oncogenic processes contributing to tumor development in cancer. The interaction with other proteins such as BMPs and neogenin suggests that modulation of these pathways could present therapeutic avenues in diseases linked to DRAGON dysregulation.

Product protocols

For this product, it's our understanding that no specific protocols are required. You can visit:

Target data

Member of the repulsive guidance molecule (RGM) family that contributes to the patterning of the developing nervous system (By similarity). Acts as a bone morphogenetic protein (BMP) coreceptor that potentiates BMP signaling (By similarity). Promotes neuronal adhesion (By similarity). May inhibit neurite outgrowth.
See full target information RGM domain family member B

Publications (3)

Recent publications for all applications. Explore the full list and refine your search

Cell biology international 47:1799-1812 PubMed37434531

2023

RGMb impacts partial epithelial-mesenchymal transition and BMP2-Induced ID mRNA expression independent of PD-L2 in nonsmall cell lung cancer cells.

Applications

Unspecified application

Species

Unspecified reactive species

Sofie Rahbek Dorset,Tina Fuglsang Daugaard,Trine Vilsbøll Larsen,Anders Lade Nielsen

The Biochemical journal 480:1109-1127 PubMed37409526

2023

RhoGAP6 interacts with COPI to regulate protein transport.

Applications

Unspecified application

Species

Unspecified reactive species

Lorna O'Donoghue,Shane P Comer,Dishon W Hiebner,Ingmar Schoen,Alex von Kriegsheim,Albert Smolenski

Cell journal 23:684-691 PubMed34939762

2021

Circular RNA_0001073 () Suppresses The Progression of Non-Small Cell Lung Cancer via Axis.

Applications

Unspecified application

Species

Unspecified reactive species

Xue Fen Jing,Mei Ying Ren,Yong Shun Fan,Yu Hua Fu,Cui Feng Wang
View all publications

Product promise

We are committed to supporting your work with high-quality reagents, and we're here for you every step of the way. In the unlikely event that one of our products does not perform as expected, you're protected by our Product Promise.
For full details, please see our Terms & Conditions

Please note: All products are 'FOR RESEARCH USE ONLY. NOT FOR USE IN DIAGNOSTIC OR THERAPEUTIC PROCEDURES'.

For licensing inquiries, please contact partnerships@abcam.com