JavaScript is disabled in your browser. Please enable JavaScript to view this website.
AB32620

Anti-DRD5 antibody

Be the first to review this product! Submit a review

|

(4 Publications)

Rabbit Polyclonal DRD5 antibody. Suitable for IHC-P, ICC/IF and reacts with Human samples. Cited in 4 publications.

View Alternative Names

DRD1B, DRD1L2, DRD5, D(1B) dopamine receptor, D(5) dopamine receptor, D1beta dopamine receptor, Dopamine D5 receptor

2 Images
Immunocytochemistry/ Immunofluorescence - Anti-DRD5 antibody (AB32620)
  • ICC/IF

Unknown

Immunocytochemistry/ Immunofluorescence - Anti-DRD5 antibody (AB32620)

ICC/IF image of ab32620 stained SKNSH cells. The cells were 4% formaldehyde (10 min) and then incubated in 1%BSA / 10% normal goat serum / 0.3M glycine in 0.1% PBS-Tween for 1h to permeabilise the cells and block non-specific protein-protein interactions. The cells were then incubated with the antibody (ab32620, 5µg/ml) overnight at +4°C. The secondary antibody (green) was ab96899 Dylight 488 goat anti-rabbit IgG (H+L) used at a 1/250 dilution for 1h. Alexa Fluor® 594 WGA was used to label plasma membranes (red) at a 1/200 dilution for 1h. DAPI was used to stain the cell nuclei (blue) at a concentration of 1.43µM.

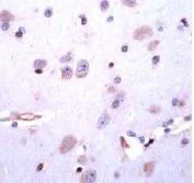
Immunohistochemistry (Formalin/PFA-fixed paraffin-embedded sections) - Anti-DRD5 antibody (AB32620)
  • IHC-P

Unknown

Immunohistochemistry (Formalin/PFA-fixed paraffin-embedded sections) - Anti-DRD5 antibody (AB32620)

ab32620, at a 1/50 dilution, staining DRD5 in formalin fixed paraffin embedded human brain tissue by Immunohistochemistry.

Key facts

Host species

Rabbit

Clonality

Polyclonal

Isotype

IgG

Carrier free

No

Reacts with

Human

Applications

ICC/IF, IHC-P

applications

Immunogen

The exact immunogen used to generate this antibody is proprietary information.

Reactivity data

{ "title": "Reactivity Data", "filters": { "stats": ["", "Species", "Dilution Info", "Notes"], "tabs": { "all-applications": {"fullname" : "All Applications", "shortname": "All Applications"}, "IHCP" : {"fullname" : "Immunohistochemistry (Formalin/PFA-fixed paraffin-embedded sections)", "shortname":"IHC-P"}, "ICCIF" : {"fullname" : "Immunocytochemistry/ Immunofluorescence", "shortname":"ICC/IF"} }, "product-promise": { "all": "all", "testedAndGuaranteed": "tested", "guaranteed": "expected", "predicted": "predicted", "notRecommended": "not-recommended" } }, "values": { "Human": { "IHCP-species-checked": "testedAndGuaranteed", "IHCP-species-dilution-info": "1/50", "IHCP-species-notes": "<p></p>", "ICCIF-species-checked": "testedAndGuaranteed", "ICCIF-species-dilution-info": "5 µg/mL", "ICCIF-species-notes": "<p></p>" } } }

Properties and storage information

Form
Liquid
Purification technique
Affinity purification Immunogen
Storage buffer
pH: 7.6 Preservative: 0.1% Sodium azide Constituents: PBS, 1% BSA
Shipped at conditions
Blue Ice
Appropriate long-term storage conditions
-20°C
Aliquoting information
Upon delivery aliquot
Storage information
Avoid freeze / thaw cycle

Supplementary information

This supplementary information is collated from multiple sources and compiled automatically.

DRD5 also known as dopamine receptor D5 is a protein encoded by the DRD5 gene. It is part of the D1-like receptor family and selectively binds dopamine with high affinity. DRD5 is a G-protein coupled receptor (GPCR) involved in the activation of adenylyl cyclase which increases cyclic AMP levels in the cell. The protein has a mass of approximately 53 kDa and is mainly expressed in the central nervous system including regions such as the frontal cortex basal ganglia and limbic system.
Biological function summary

DRD5 plays an important role in modulating neurotransmission and influencing behavior and cognition. It interacts with other dopamine receptors and is not generally considered to form stable complexes but it can be part of transient signaling complexes during signaling events. Its function impacts motor control emotional response and cognitive functions such as learning and memory by modulating synaptic plasticity and neural circuit activity.

Pathways

DRD5 is an important component of dopamine signaling cascades particularly those impacting the cAMP-PKA pathway. This pathway influences neuronal excitability and synaptic transmission. DRD5 works alongside other dopamine receptors particularly dopamine receptor D1 (DRD1) to mediate these effects. The signaling through DRD5 and DRD1 plays a role in pathways regulating the reward system and motor control impacting behavior and movement.

DRD5 has been implicated in neurological and psychiatric conditions. One example is schizophrenia where dysregulation of dopamine signaling involving DRD5 and DRD2 contributes to pathophysiology. Another condition is Parkinson's disease characterized by motor dysfunction where alterations in dopamine receptor activity including DRD5 impact disease progression. Understanding DRD5’s role provides insight into the mechanistic pathways of these disorders and potential therapeutic approaches.

Product protocols

For this product, it's our understanding that no specific protocols are required. You can visit:

Target data

Dopamine receptor whose activity is mediated by G proteins which activate adenylyl cyclase.
See full target information DRD5

Publications (4)

Recent publications for all applications. Explore the full list and refine your search

Cells 14: PubMed40214472

2025

-Null Osteoblasts Have Increased Proliferation, Protein Secretion, and Skeletal Morphogenesis Gene Expression with Downregulation of Cellular Adhesion.

Applications

Unspecified application

Species

Unspecified reactive species

Aileen M Barnes,Apratim Mitra,Marianne M Knue,Alberta Derkyi,An Dang Do,Ryan K Dale,Joan C Marini

Frontiers in oncology 12:960005 PubMed36439461

2022

Methylation-based reclassification and risk stratification of skull-base chordomas.

Applications

Unspecified application

Species

Unspecified reactive species

Xulei Huo,Tengxian Guo,Ke Wang,Bohan Yao,Da Li,Huan Li,Wei Chen,Liang Wang,Zhen Wu

Frontiers in immunology 13:909324 PubMed35898507

2022

Immunogenomic Characteristics of Cell-Death-Associated Genes with Prognostic Implications in Bladder Cancer.

Applications

Unspecified application

Species

Unspecified reactive species

Wenhao Xu,Hai-Jia Tang,Aihetaimujiang Anwaier,Wangrui Liu,Xi Tian,Jiaqi Su,Shiyin Wei,Yuanyuan Qu,Hailiang Zhang,Dingwei Ye

Frontiers in oncology 11:655861 PubMed33898321

2021

Dopamine Pathway Mediated by DRD5 Facilitates Tumor Growth Enhancing Warburg Effect in Esophageal Cancer.

Applications

Unspecified application

Species

Unspecified reactive species

Xiaozhe Qian,Donglei Zhang,Ziang Cao,Haitao Ma
View all publications

Product promise

We are committed to supporting your work with high-quality reagents, and we're here for you every step of the way. In the unlikely event that one of our products does not perform as expected, you're protected by our Product Promise.
For full details, please see our Terms & Conditions

Please note: All products are 'FOR RESEARCH USE ONLY. NOT FOR USE IN DIAGNOSTIC OR THERAPEUTIC PROCEDURES'.

For licensing inquiries, please contact partnerships@abcam.com