JavaScript is disabled in your browser. Please enable JavaScript to view this website.
AB313394

Anti-DREAM antibody [K66/38]

Be the first to review this product! Submit a review

|

(0 Publication)

Mouse Recombinant Monoclonal DREAM antibody. Suitable for WB and reacts with Mouse, Rat samples.

View Alternative Names

Csen, Dream, Kchip3, Kcnip3, Calsenilin, A-type potassium channel modulatory protein 3, DRE-antagonist modulator, Kv channel-interacting protein 3, DREAM, KChIP3

2 Images
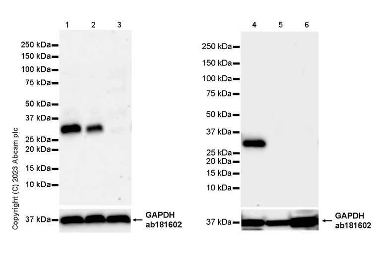
Western blot - Anti-DREAM antibody [K66/38] (AB313394)
  • WB

Supplier Data

Western blot - Anti-DREAM antibody [K66/38] (AB313394)

Blocking and diluting buffer and concentration : 5% NFDM/TBSTNegative control : heart, kidney, skeletal muscle. Samples are non-boiled as boiling may cause protein aggregation. Exposure time : Lane 1-3 : 180 seconds, Lane 4-6 : 37 seconds

All lanes:

Western blot - Anti-DREAM antibody [K66/38] (ab313394) at 1/1000 dilution

Lane 1:

Rat brain tissue lysate at 20 µg

Lane 2:

Rat cerebral cortex tissue lysate at 20 µg

Lane 3:

Rat heart tissue lysate at 20 µg

Lane 4:

Rat cerebellum tissue lysate at 20 µg

Lane 5:

Rat kidney tissue lysate at 20 µg

Lane 6:

Rat skeletal muscle tissue lysate at 20 µg

Secondary

All lanes:

Peroxidase-Conjugated Goat anti-Mouse IgG (H+L) at 1/10000 dilution

Observed band size: 34 kDa

false

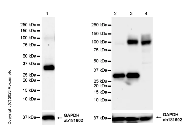
Western blot - Anti-DREAM antibody [K66/38] (AB313394)
  • WB

Supplier Data

Western blot - Anti-DREAM antibody [K66/38] (AB313394)

Blocking and diluting buffer and concentration : 5% NFDM/TBSTNegative control : skeletal muscle Extra bands around 100 kDa were observed. Samples are non-boiled as boiling may cause protein aggregation. Exposure time : Lane 1 : 180 seconds, Lane 2-4 : 37 seconds.

All lanes:

Western blot - Anti-DREAM antibody [K66/38] (ab313394) at 1/1000 dilution

Lane 1:

Mouse cerebral cortex tissue lysate at 20 µg

Lane 2:

Mouse brain tissue lysate at 20 µg

Lane 3:

Mouse cerebellum tissue lysate at 20 µg

Lane 4:

Mouse skeletal muscle tissue lysate at 20 µg

Secondary

All lanes:

Peroxidase-Conjugated Goat anti-Mouse IgG (H+L) at 1/10000 dilution

Observed band size: 34 kDa

false

Key facts

Host species

Mouse

Clonality

Monoclonal

Clone number

K66/38

Isotype

IgG2a

Carrier free

No

Reacts with

Mouse, Rat

Applications

WB

applications

Immunogen

The exact immunogen used to generate this antibody is proprietary information.

Reactivity data

{ "title": "Reactivity Data", "filters": { "stats": ["", "Species", "Dilution Info", "Notes"], "tabs": { "all-applications": {"fullname" : "All Applications", "shortname": "All Applications"}, "WB" : {"fullname" : "Western blot", "shortname":"WB"}, "IP" : {"fullname" : "Immunoprecipitation", "shortname":"IP"}, "IHCP" : {"fullname" : "Immunohistochemistry (Formalin/PFA-fixed paraffin-embedded sections)", "shortname":"IHC-P"}, "ICCIF" : {"fullname" : "Immunocytochemistry/ Immunofluorescence", "shortname":"ICC/IF"} }, "product-promise": { "all": "all", "testedAndGuaranteed": "tested", "guaranteed": "expected", "predicted": "predicted", "notRecommended": "not-recommended" } }, "values": { "Human": { "WB-species-checked": "notRecommended", "WB-species-dilution-info": "", "WB-species-notes": "<p></p>", "IP-species-checked": "notRecommended", "IP-species-dilution-info": "", "IP-species-notes": "<p></p>", "IHCP-species-checked": "notRecommended", "IHCP-species-dilution-info": "", "IHCP-species-notes": "<p></p>", "ICCIF-species-checked": "notRecommended", "ICCIF-species-dilution-info": "", "ICCIF-species-notes": "" }, "Mouse": { "WB-species-checked": "testedAndGuaranteed", "WB-species-dilution-info": "1/1000", "WB-species-notes": "<p></p>", "IP-species-checked": "notRecommended", "IP-species-dilution-info": "", "IP-species-notes": "<p></p>", "IHCP-species-checked": "notRecommended", "IHCP-species-dilution-info": "", "IHCP-species-notes": "<p></p>", "ICCIF-species-checked": "notRecommended", "ICCIF-species-dilution-info": "", "ICCIF-species-notes": "<p></p>" }, "Rat": { "WB-species-checked": "testedAndGuaranteed", "WB-species-dilution-info": "1/1000", "WB-species-notes": "<p></p>", "IP-species-checked": "notRecommended", "IP-species-dilution-info": "", "IP-species-notes": "<p></p>", "IHCP-species-checked": "notRecommended", "IHCP-species-dilution-info": "", "IHCP-species-notes": "<p></p>", "ICCIF-species-checked": "notRecommended", "ICCIF-species-dilution-info": "", "ICCIF-species-notes": "<p></p>" } } }

Product details

Want a custom formulation?
This antibody clone is manufactured by Abcam. If you require a custom buffer formulation or conjugation for your experiments, please contact orders@abcam.com

What are the advantages of a recombinant monoclonal antibody?
This product is a recombinant monoclonal antibody, which offers several advantages including:

  • - High batch-to-batch consistency and reproducibility
  • - Improved sensitivity and specificity
  • - Long-term security of supply
  • - Animal-free batch production

For more information, read more on recombinant antibodies.

Properties and storage information

Form
Liquid
Purification technique
Affinity purification Protein A
Storage buffer
pH: 7.2 - 7.4 Preservative: 0.01% Sodium azide Constituents: PBS, 40% Glycerol (glycerin, glycerine), 0.05% BSA
Shipped at conditions
Blue Ice
Appropriate short-term storage duration
1-2 weeks
Appropriate short-term storage conditions
+4°C
Appropriate long-term storage conditions
-20°C
Aliquoting information
Upon delivery aliquot
Storage information
Avoid freeze / thaw cycle

Supplementary information

This supplementary information is collated from multiple sources and compiled automatically.

DREAM also called Downstream Regulatory Element Antagonist Modulator is a calcium-binding protein with a molecular mass of about 29 kDa. It is expressed in various tissues but shows higher levels in the brain and heart. DREAM belongs to the neuronal calcium sensory (NCS) family and acts as a transcriptional repressor that binds to the downstream regulatory element (DRE) sites on DNA. Through its calcium-binding ability DREAM modulates gene expression by changing its conformation depending on intracellular calcium levels.
Biological function summary

Calcium-binding proteins influence multiple cellular processes and DREAM participates in calcium signaling pathways important for neuronal function and gene transcription regulation. As part of the complex interactions within the cell DREAM modulates the expression of target genes by interacting with DRE sequences. Its regulatory role extends to processes including synaptic plasticity neuronal excitability and long-term depression. DREAM's function as a modulator of transcription links it to a broader regulatory network within cells.

Pathways

DREAM engages in calcium signaling pathways and is significant in the transcriptional regulation of genes involved in neuronal processes. DREAM interacts with CREB (cAMP response element-binding protein) and influences downstream gene expression in response to calcium fluctuations impacting the CREB signaling pathway. Additionally DREAM participates in pathways connected to the regulation of pain and inflammatory responses linking to proteins such as NF-kB which plays a role in immune response regulation.

Aberrations in DREAM function associate with neurodegenerative diseases and chronic pain conditions. Its regulatory role in neuronal gene expression connects DREAM to disorders like Alzheimer's and neuropathic pain. In these contexts altered DREAM activity can impact the expression of NF-kB and CREB target genes which are critical in mediating inflammatory responses and neuronal survival. Understanding DREAM's interactions and regulation could therefore provide insights into potential therapeutic targets for these conditions.

Product protocols

For this product, it's our understanding that no specific protocols are required. You can visit:

Target data

Calcium-dependent transcriptional repressor that binds to the DRE element of genes including PDYN and FOS. Affinity for DNA is reduced upon binding to calcium and enhanced by binding to magnesium. Seems to be involved in nociception (By similarity).. Regulatory subunit of Kv4/D (Shal)-type voltage-gated rapidly inactivating A-type potassium channels, such as KCND2/Kv4.2 and KCND3/Kv4.3. Modulates channel expression at the cell membrane, gating characteristics, inactivation kinetics and rate of recovery from inactivation in a calcium-dependent and isoform-specific manner (By similarity).. May play a role in the regulation of PSEN2 proteolytic processing and apoptosis. Together with PSEN2 involved in modulation of amyloid-beta formation (By similarity).
See full target information Kcnip3

Product promise

We are committed to supporting your work with high-quality reagents, and we're here for you every step of the way. In the unlikely event that one of our products does not perform as expected, you're protected by our Product Promise.
For full details, please see our Terms & Conditions

Please note: All products are 'FOR RESEARCH USE ONLY. NOT FOR USE IN DIAGNOSTIC OR THERAPEUTIC PROCEDURES'.

For licensing inquiries, please contact partnerships@abcam.com