JavaScript is disabled in your browser. Please enable JavaScript to view this website.
AB240977

Anti-DRIP130 antibody [EPR17418] - BSA and Azide free

Be the first to review this product! Submit a review

|

(1 Publication)

Rabbit Recombinant Monoclonal DRIP130 antibody. Carrier free. Suitable for WB, ICC/IF, IHC-P and reacts with Mouse, Rat, Human samples. Cited in 1 publication.

View Alternative Names

ARC130, CRSP3, DRIP130, KIAA1216, SUR2, MED23, Mediator of RNA polymerase II transcription subunit 23, Activator-recruited cofactor 130 kDa component, Cofactor required for Sp1 transcriptional activation subunit 3, Mediator complex subunit 23, Protein sur-2 homolog, Transcriptional coactivator CRSP130, Vitamin D3 receptor-interacting protein complex 130 kDa component, CRSP complex subunit 3, hSur-2

3 Images
Immunocytochemistry/ Immunofluorescence - Anti-DRIP130 antibody [EPR17418] - BSA and Azide free (AB240977)
  • ICC/IF

Supplier Data

Immunocytochemistry/ Immunofluorescence - Anti-DRIP130 antibody [EPR17418] - BSA and Azide free (AB240977)

Immunofluorescent analysis of 4% paraformaldehyde-fixed, 0.1% Triton X-100 permeabilized MCF7 (Human breast adenocarcinoma cell line) cells labeling DRIP130 with ab200351 at 1/1000 dilution, followed by Goat anti-rabbit IgG (Alexa Fluor® 488) (ab150077) secondary antibody at 1/500 dilution (green). Confocal image showing nuclear staining on MCF7 cell line. The nuclear counter stain is DAPI (blue). Tubulin is detected with ab7291 (anti-Tubulin mouse mAb) at 1/1000 dilution and ab150120 (AlexaFluor®594 Goat anti-Mouse secondary) at 1/500 dilution (red).

The negative controls are as follows :
-ve control 1 : ab200351 at 1/1000 dilution followed by ab150120 (AlexaFluor®594 Goat anti-Mouse secondary) at 1/500 dilution.
-ve control 2 : ab7291 (anti-Tubulin mouse mAb) at 1/1000 dilution followed by ab150077 (Alexa Fluor®488 Goat Anti-Rabbit IgG H&L) at 1/500 dilution.

This data was developed using the same antibody clone in a different buffer formulation containing PBS, BSA, glycerol, and sodium azide (ab200351).

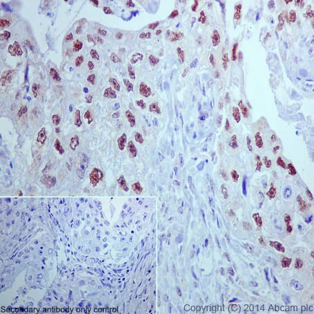
Immunohistochemistry (Formalin/PFA-fixed paraffin-embedded sections) - Anti-DRIP130 antibody [EPR17418] - BSA and Azide free (AB240977)
  • IHC-P

Supplier Data

Immunohistochemistry (Formalin/PFA-fixed paraffin-embedded sections) - Anti-DRIP130 antibody [EPR17418] - BSA and Azide free (AB240977)

Immunohistochemical analysis of paraffin-embedded Human breast carcinoma tissue labeling DRIP130 with ab200351 at 1/250 dilution, followed by Goat Anti-Rabbit IgG H&L (HRP) (ab97051) secondary antibody at 1/500 dilution. Nuclear staining on Human breast carcinoma tissue is observed. Counter stained with Hematoxylin.

Secondary antibody only control : Used PBS instead of primary antibody, secondary antibody is Goat Anti-Rabbit IgG H&L (HRP) (ab97051) at 1/500 dilution.

This data was developed using the same antibody clone in a different buffer formulation containing PBS, BSA, glycerol, and sodium azide (ab200351).

Perform heat mediated antigen retrieval with Tris/EDTA buffer pH 9.0 before commencing with IHC staining protocol.

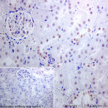
Immunohistochemistry (Formalin/PFA-fixed paraffin-embedded sections) - Anti-DRIP130 antibody [EPR17418] - BSA and Azide free (AB240977)
  • IHC-P

Supplier Data

Immunohistochemistry (Formalin/PFA-fixed paraffin-embedded sections) - Anti-DRIP130 antibody [EPR17418] - BSA and Azide free (AB240977)

Immunohistochemical analysis of paraffin-embedded rat kidney tissue labeling DRIP130 with ab200351 at 1/250 dilution, followed by Goat Anti-Rabbit IgG H&L (HRP) (ab97051) secondary antibody at 1/500 dilution. Nuclear staining on rat kidney tissue is observed. Counter stained with Hematoxylin.

Secondary antibody only control : Used PBS instead of primary antibody, secondary antibody is Goat Anti-Rabbit IgG H&L (HRP) (ab97051) at 1/500 dilution.

This data was developed using the same antibody clone in a different buffer formulation containing PBS, BSA, glycerol, and sodium azide (ab200351).

Perform heat mediated antigen retrieval with Tris/EDTA buffer pH 9.0 before commencing with IHC staining protocol.

Key facts

Host species

Rabbit

Clonality

Monoclonal

Clone number

EPR17418

Isotype

IgG

Carrier free

Yes

Reacts with

Mouse, Rat, Human

Applications

IHC-P, WB, ICC/IF

applications

Immunogen

The exact immunogen used to generate this antibody is proprietary information.

Reactivity data

{ "title": "Reactivity Data", "filters": { "stats": ["", "Species", "Dilution Info", "Notes"], "tabs": { "all-applications": {"fullname" : "All Applications", "shortname": "All Applications"}, "WB" : {"fullname" : "Western blot", "shortname":"WB"}, "ICCIF" : {"fullname" : "Immunocytochemistry/ Immunofluorescence", "shortname":"ICC/IF"}, "IHCP" : {"fullname" : "Immunohistochemistry (Formalin/PFA-fixed paraffin-embedded sections)", "shortname":"IHC-P"} }, "product-promise": { "all": "all", "testedAndGuaranteed": "tested", "guaranteed": "expected", "predicted": "predicted", "notRecommended": "not-recommended" } }, "values": { "Human": { "WB-species-checked": "guaranteed", "WB-species-dilution-info": "", "WB-species-notes": "<p></p>", "ICCIF-species-checked": "testedAndGuaranteed", "ICCIF-species-dilution-info": "", "ICCIF-species-notes": "<p></p>", "IHCP-species-checked": "guaranteed", "IHCP-species-dilution-info": "", "IHCP-species-notes": "" }, "Mouse": { "WB-species-checked": "guaranteed", "WB-species-dilution-info": "", "WB-species-notes": "<p></p>", "ICCIF-species-checked": "predicted", "ICCIF-species-dilution-info": "", "ICCIF-species-notes": "", "IHCP-species-checked": "predicted", "IHCP-species-dilution-info": "", "IHCP-species-notes": "" }, "Rat": { "WB-species-checked": "guaranteed", "WB-species-dilution-info": "", "WB-species-notes": "<p></p>", "ICCIF-species-checked": "guaranteed", "ICCIF-species-dilution-info": "", "ICCIF-species-notes": "", "IHCP-species-checked": "testedAndGuaranteed", "IHCP-species-dilution-info": "", "IHCP-species-notes": "<p></p>" } } }

Product details

ab240977 is the carrier-free version of ab200351.

Patented technology
Our RabMAb® technology is a patented hybridoma-based technology for making rabbit monoclonal antibodies. For details on our patents, please refer to RabMAb® patents.

What are the advantages of a recombinant monoclonal antibody?
This product is a recombinant monoclonal antibody, which offers several advantages including:

  • - High batch-to-batch consistency and reproducibility
  • - Improved sensitivity and specificity
  • - Long-term security of supply
  • - Animal-free batch production

For more information, read more on recombinant antibodies.

Conjugation ready
Our carrier-free antibodies are typically supplied in a PBS-only formulation, purified and free of BSA, sodium azide and glycerol. This conjugation-ready format is designed for use with fluorochromes, metal isotopes, oligonucleotides, and enzymes, which makes them ideal for antibody labelling, functional and cell-based assays, flow-based assays (e.g. mass cytometry) and Multiplex Imaging applications.

Use our conjugation kits for antibody conjugates that are ready-to-use in as little as 20 minutes with 1 minute hands-on-time and 100% antibody recovery: available for fluorescent dyes, HRP, biotin and gold.

Compatibility
This product is compatible with the Maxpar® Antibody Labeling Kit from Fluidigm, without the need for antibody preparation. Maxpar® is a trademark of Fluidigm Canada Inc.

Properties and storage information

Form
Liquid
Purification technique
Affinity purification Protein A
Storage buffer
pH: 7.2 - 7.4 Constituents: PBS
Shipped at conditions
Blue Ice
Appropriate short-term storage conditions
+4°C
Appropriate long-term storage conditions
+4°C
Storage information
Do Not Freeze

Supplementary information

This supplementary information is collated from multiple sources and compiled automatically.

DRIP130 also known as MED23 is a component of the Mediator complex. It plays a significant role as a transcriptional co-activator for RNA polymerase II transcription. DRIP130 has a molecular mass of approximately 130 kDa. Expression of DRIP130 occurs in various tissues more notably in the liver and heart indicating its widespread biological roles in the body.
Biological function summary

DRIP130 integrates signals from activators and repressors to facilitate transcription regulation. It is a part of the larger Mediator complex which is essential for conveying instructions from transcription factors to RNA polymerase II. By acting at promoters DRIP130 helps modulate gene expression impacting processes like cell growth and differentiation. Its function within this multi-subunit complex emphasizes its importance in cellular communication and transcriptional regulation.

Pathways

DRIP130 contributes to the MAPK/ERK signaling pathway and the Wnt signaling pathway. Within these pathways it interacts with proteins such as MAPK and β-catenin to influence cell cycle progression and cellular responses. These pathways are critical for controlling growth and maintaining cellular functions indicating DRIP130's vital role in pathway integration and cellular homeostasis.

DRIP130 has connections to cancer and neurological disorders. Alterations in DRIP130 expression or function can lead to aberrant cell proliferation contributing to cancer development. Moreover DRIP130's interaction with proteins like β-catenin in the Wnt pathway may influence neurological conditions by affecting neural cell signaling or development. Understanding these links provides insight into potential therapeutic targets for managing such disorders.

Product protocols

For this product, it's our understanding that no specific protocols are required. You can visit:

Target data

Required for transcriptional activation subsequent to the assembly of the pre-initiation complex (By similarity). Component of the Mediator complex, a coactivator involved in the regulated transcription of nearly all RNA polymerase II-dependent genes. Mediator functions as a bridge to convey information from gene-specific regulatory proteins to the basal RNA polymerase II transcription machinery. Mediator is recruited to promoters by direct interactions with regulatory proteins and serves as a scaffold for the assembly of a functional pre-initiation complex with RNA polymerase II and the general transcription factors. Required for transcriptional activation by adenovirus E1A protein. Required for ELK1-dependent transcriptional activation in response to activated Ras signaling.
See full target information MED23

Publications (1)

Recent publications for all applications. Explore the full list and refine your search

Molecular cancer 20:123 PubMed34579723

2021

p113 isoform encoded by CUX1 circular RNA drives tumor progression via facilitating ZRF1/BRD4 transactivation.

Applications

Unspecified application

Species

Unspecified reactive species

Feng Yang,Anpei Hu,Yanhua Guo,Jianqun Wang,Dan Li,Xiaojing Wang,Shikai Jin,Boling Yuan,Shuang Cai,Yi Zhou,Qilan Li,Guo Chen,Haiyang Gao,Liduan Zheng,Qiangsong Tong
View all publications

Product promise

We are committed to supporting your work with high-quality reagents, and we're here for you every step of the way. In the unlikely event that one of our products does not perform as expected, you're protected by our Product Promise.
For full details, please see our Terms & Conditions

Please note: All products are 'FOR RESEARCH USE ONLY. NOT FOR USE IN DIAGNOSTIC OR THERAPEUTIC PROCEDURES'.

For licensing inquiries, please contact partnerships@abcam.com